الآفات العظمية الغضروفية في الركبة: دليل شامل لعلاج OCD والنخر اللاوعائي مع الأستاذ الدكتور محمد هطيف في صنعاء

الخلاصة الطبية
الآفات العظمية الغضروفية، مثل التهاب العظم والغضروف السالخ (OCD) والنخر اللاوعائي (AVN) في الركبة، تسبب الألم وتلف الغضروف والعظم. يعتمد العلاج على الحالة، ويشمل التثقيب، التثبيت، أو زراعة الغضاريف. يقدم الأستاذ الدكتور محمد هطيف في صنعاء أحدث الحلول الجراحية وغير الجراحية لاستعادة وظيفة الركبة وتخفيف الألم.
الخلاصة الطبية الشاملة: الآفات العظمية الغضروفية (Osteochondral Lesions) في مفصل الركبة، والتي تشمل حالات معقدة مثل التهاب العظم والغضروف السالخ (OCD)، النخر اللاوعائي (AVN)، والنخر العظمي التلقائي (SONK)، تمثل تحدياً طبياً كبيراً يؤدي إلى ألم مبرح، وتآكل في الغضروف المفصلي، وتلف في العظم الكامن تحته. يعتمد نجاح العلاج على التشخيص المبكر والدقيق، وتتراوح الخيارات بين العلاج التحفظي المتقدم، والتدخلات الجراحية الدقيقة مثل التثقيب (Microfracture)، تثبيت الشظايا العظمية، زراعة الغضاريف (OATS/Mosaicplasty)، أو حتى المفاصل الصناعية في الحالات المتقدمة. يُعد الأستاذ الدكتور محمد هطيف، أستاذ جراحة العظام والمفاصل بجامعة صنعاء، المرجع الطبي الأول والخبير الأبرز في اليمن لعلاج هذه الحالات، معتمداً على خبرة تتجاوز 20 عاماً، وتقنيات المناظير بدقة 4K، والتزام صارم بالأمانة الطبية لتقديم أفضل الحلول الجراحية وغير الجراحية لاستعادة وظيفة الركبة بالكامل.

مقدمة شاملة: المعركة ضد آلام الركبة وتلف الغضاريف
أهلاً بكم في هذا الدليل الطبي المرجعي الأكبر والأكثر شمولاً باللغة العربية، المخصص لفهم وعلاج أحد أكثر أمراض المفاصل تعقيداً وتأثيراً على جودة الحياة: الآفات العظمية الغضروفية في الركبة (Osteochondral Lesions). إن مفصل الركبة هو أكبر مفاصل الجسم وأكثرها تحملاً للوزن، وعندما يتعرض الغضروف المبطن له والعظم الداعم تحته للتلف، فإن النتيجة الحتمية هي ألم مزمن، تورم مستمر، وفقدان القدرة على ممارسة الحياة اليومية والرياضية بشكل طبيعي.
في مركز الأستاذ الدكتور محمد هطيف في العاصمة اليمنية صنعاء، ندرك تماماً حجم المعاناة النفسية والجسدية التي تسببها هذه الآفات. الكثير من المرضى يطوفون بين العيادات بحثاً عن تشخيص دقيق وعلاج جذري ينهي معاناتهم. لذلك، تم إعداد هذا الدليل ليكون بمثابة خريطة طريق متكاملة تضع بين يديك كل ما تحتاج معرفته، بدءاً من التشريح الدقيق للركبة، مروراً بالأسباب الخفية لهذه الأمراض، وصولاً إلى أحدث ما توصل إليه العلم في مجالات التشخيص والعلاج.

تشترك حالات مثل (OCD) و (AVN)، على الرغم من اختلاف مسبباتها الجذرية وطرق ظهورها السريري، في مسار تدميري واحد إذا تُركت دون علاج: تلف الغضروف المفصلي الأملس، وانهيار العظم الكامن تحته (العظم تحت الغضروفي). هذا الانهيار يؤدي إلى خلل ميكانيكي في المفصل، مما يسرع من وتيرة التغيرات التنكسية (خشونة الركبة المبكرة).
هدفنا من خلال هذا الدليل هو تمكينك بالمعرفة الطبية الصحيحة، وتسليط الضوء على الخيارات العلاجية المتقدمة التي يوفرها الأستاذ الدكتور محمد هطيف، والذي يُعد رائداً في جراحة العظام الدقيقة والطب الرياضي في اليمن، لضمان عودتك إلى ممارسة حياتك بحرية وبدون ألم.

التشريح الدقيق: فهم بنية الركبة والغضروف المفصلي
لفهم الآفات العظمية الغضروفية بشكل صحيح، يجب علينا أولاً الغوص في التركيب التشريحي المذهل لمفصل الركبة. الركبة ليست مجرد مفصل مفصلي بسيط؛ بل هي هيكل معقد يتكون من التقاء ثلاث عظام رئيسية: عظمة الفخذ (Femur)، عظمة الساق (Tibia)، والرضفة أو صابونة الركبة (Patella).
1. الغضروف المفصلي (Articular Cartilage)
نهايات هذه العظام مغطاة بطبقة بيضاء، ملساء، ولامعة تُعرف بالغضروف المفصلي. يتراوح سمك هذا الغضروف في الركبة بين 2 إلى 4 مليمترات. وظيفته الأساسية هي تقليل الاحتكاك إلى الحد الأدنى (أقل من احتكاك الجليد على الجليد) وتوزيع الأحمال الميكانيكية وامتصاص الصدمات أثناء المشي، الجري، والقفز.
* المشكلة الكبرى للغضروف: الغضروف المفصلي نسيج "لا وعائي" (Avascular)، أي أنه لا يحتوي على أوعية دموية، ولا أعصاب، ولا أوعية ليمفاوية. هذا يعني أن قدرته على الالتئام والإصلاح الذاتي عند التعرض للإصابة تكاد تكون معدومة. فهو يعتمد في تغذيته على السائل الزليلي (Synovial Fluid) المحيط به.
2. العظم تحت الغضروفي (Subchondral Bone)
مباشرة تحت هذه الطبقة الغضروفية الرقيقة، يوجد العظم تحت الغضروفي. هذا العظم غني جداً بالأوعية الدموية والأعصاب (وهذا هو سبب الشعور بالألم الشديد عند وصول التلف إليه). يعمل هذا العظم كقاعدة داعمة ومرنة للغضروف. أي خلل في التروية الدموية لهذا العظم، أو أي كسر دقيق فيه، سيؤدي حتماً إلى انهيار الغضروف الذي يعلوه، تماماً كما ينهار سقف المنزل إذا تهدمت جدرانه الداعمة.


ما هي الآفات العظمية الغضروفية (Osteochondral Lesions)؟
غالباً ما يتم الخلط بين مصطلحات تلف الغضاريف في الأوساط غير المتخصصة. تحت إشراف الأستاذ الدكتور محمد هطيف، نحرص على الدقة المتناهية في التشخيص لتحديد خطة العلاج المثلى.
الآفات العظمية الغضروفية هي إصابات أو أمراض تخترق وتؤثر على كل من الغضروف المفصلي السطحي والعظم الكامن تحته (العظم تحت الغضروفي). نظراً لأن هذه الآفات تخترق العظم الغني بالدم، فإنها تثير استجابة التهابية ومحاولة للشفاء من قبل الجسم، ولكن غالباً ما تكون هذه المحاولة غير كافية لإصلاح الضرر بشكل مثالي.
التمييز الهام: الآفات الغضروفية مقابل الآفات العظمية الغضروفية
- الآفات الغضروفية (Chondral Lesions): هي عيوب أو شقوق تقتصر فقط على طبقة الغضروف المفصلي ولا تصل إلى العظم. لا تسبب عادة ألماً في مراحلها الأولى (لعدم وجود أعصاب في الغضروف) ولا تثير استجابة دموية للشفاء.
- الآفات العظمية الغضروفية (Osteochondral Lesions): تشمل الغضروف والعظم معاً. تسبب ألماً شديداً، وتورماً، وتتطلب تدخلاً طبياً متخصصاً لمنع تدهور المفصل.

الغوص العميق في أنواع الآفات العظمية الغضروفية
هناك ثلاث حالات رئيسية تندرج تحت هذا التصنيف، ولكل منها خصائصها، أسبابها، وطرق علاجها التي يتقنها الأستاذ الدكتور محمد هطيف.
أولاً: التهاب العظم والغضروف السالخ (Osteochondritis Dissecans - OCD)
التهاب العظم والغضروف السالخ، والمعروف اختصاراً بـ (OCD)، هو حالة مرضية معقدة تنفصل فيها قطعة من العظم تحت الغضروفي (مع طبقة الغضروف التي تغطيها) عن باقي العظم السليم.

آلية الحدوث والأسباب
تُعرف هذه القطعة المنفصلة طبياً باسم "الرقاقة" (Fragment). لسبب غير مفهوم بالكامل (يُعتقد أنه مزيج من الصدمات الدقيقة المتكررة، أو الاستعداد الجيني، أو اضطراب موضعي في تدفق الدم)، تفقد هذه القطعة ترويتها الدموية وتنفصل تدريجياً. في معظم الحالات (حوالي 70-80%)، تحدث هذه الإصابة في الجانب الخارجي من اللقمة الفخذية الإنسية (الداخلية) للركبة.
يُصنف الـ OCD إلى نوعين رئيسيين:
1. النوع اليافع (Juvenile OCD): يحدث لدى الأطفال والمراهقين الذين لا تزال صفائح النمو لديهم مفتوحة. هذا النوع له فرصة ممتازة للشفاء الذاتي إذا تم تشخيصه مبكراً وعلاجه تحفظياً.
2. النوع البالغ (Adult OCD): يحدث لدى البالغين بعد انغلاق صفائح النمو. فرص الشفاء الذاتي هنا ضعيفة جداً، وغالباً ما يتطلب تدخلاً جراحياً.
مراحل تطور OCD
يمر التهاب العظم والغضروف السالخ بأربع مراحل سريرية وإشعاعية:
* المرحلة 1: تليّن الغضروف المفصلي مع بقائه سليماً من الخارج، مع وجود وذمة (تورم) في العظم تحته.
* المرحلة 2: انفصال جزئي للقطعة العظمية الغضروفية، لكنها لا تزال ثابتة في مكانها.
* المرحلة 3: انفصال كامل للقطعة، لكنها لا تزال مستقرة داخل التجويف العظمي (السرير العظمي).
* المرحلة 4: خروج القطعة العظمية الغضروفية من مكانها لتسبح بحرية داخل المفصل (Loose Body)، مما يسبب تعليقاً ميكانيكياً (Locking) للركبة.

ثانياً: النخر اللاوعائي (Avascular Necrosis - AVN)
النخر اللاوعائي، أو موت العظم بسبب نقص التروية، هو حالة أكثر شدة وتدميراً. على عكس الـ OCD الذي يصيب منطقة صغيرة ومحددة، يتضمن الـ AVN فقدان جزء أكبر بكثير من العظم لإمداده بالدم، وغالباً ما يتخذ شكل "إسفين" (Wedge-shaped).
آلية الحدوث والأسباب
عندما ينقطع الدم عن جزء من العظم، تموت الخلايا العظمية (Osteocytes). إذا امتد هذا الموت الخلوي إلى العظم تحت الغضروفي الذي يدعم سطح المفصل، فإن العظم يفقد صلابته ويبدأ في الانهيار تحت تأثير وزن الجسم. بمجرد انهيار العظم، ينهار الغضروف الذي يعلوه ويتشقق، مما يؤدي إلى تدمير سريع للمفصل.
الأسباب الشائعة للنخر اللاوعائي (AVN):
* الاستخدام المفرط أو طويل الأمد لأدوية الكورتيكوستيرويدات (الكورتيزون).
* الإفراط في تناول الكحول.
* الإصابات الشديدة والكسور التي تقطع الأوعية الدموية المغذية للعظم.
* بعض أمراض الدم مثل فقر الدم المنجلي (Sickle Cell Anemia).
* في بعض الحالات، يظل السبب غير معروف (Idiopathic).

ثالثاً: النخر العظمي التلقائي في الركبة (Spontaneous Osteonecrosis of the Knee - SONK)
يُعرف أيضاً بمرض "أهلبك" (Ahlbäck's disease). لفترة طويلة، كان يُعتقد أنه نوع من أنواع النخر اللاوعائي، ولكن الأبحاث الحديثة الدقيقة التي يتابعها الأستاذ الدكتور محمد هطيف باستمرار، أثبتت أن SONK هو في الواقع كسر إجهادي (Stress Fracture) يحدث في العظم تحت الغضروفي.
آلية الحدوث والخصائص
يحدث هذا الكسر الدقيق نتيجة لضعف العظم أو زيادة الحمل الميكانيكي بشكل مفاجئ. إذا لم يلتئم الكسر، تتراكم السوائل مسببة وذمة عظمية شديدة الألم، وقد يؤدي في النهاية إلى انهيار العظم والغضروف.
خصائص SONK التي تميزه:
* يصيب عادةً كبار السن (فوق سن 55-60 عاماً).
* يحدث بشكل مفاجئ وبدون إصابة واضحة مسبقة (ألم حاد ومفاجئ).
* غالباً ما يكون في ركبة واحدة (أحادي الجانب).
* يصيب بنسبة ساحقة اللقمة الفخذية الإنسية (الجزء الداخلي من عظمة الفخذ).
* يرتبط ارتباطاً وثيقاً بتمزقات الغضروف الهلالي الإنسي (Meniscus root tears)، حيث أن فقدان وظيفة الغضروف الهلالي يزيد الضغط الهائل على العظم تحته.


جدول مقارنة شامل: التمييز بين OCD و AVN و SONK
لتبسيط هذه المفاهيم الطبية المعقدة، يقدم لكم فريق الأستاذ الدكتور محمد هطيف هذا الجدول المرجعي الذي يوضح الفروق الجوهرية بين الحالات الثلاث:
| وجه المقارنة | التهاب العظم والغضروف السالخ (OCD) | النخر اللاوعائي (AVN) | النخر العظمي التلقائي (SONK) |
|---|---|---|---|
| الفئة العمرية الأكثر إصابة | الأطفال، المراهقون، والشباب (10-25 سنة) | البالغون (30-50 سنة) | كبار السن (فوق 55 سنة) |
| السبب الرئيسي | صدمات دقيقة متكررة، عوامل جينية، نقص تروية موضعي | انقطاع الدم بسبب (كورتيزون، كحول، أمراض دم، صدمات) | كسر إجهادي (Stress fracture) في العظم تحت الغضروفي |
| الموقع التشريحي الشائع | الجانب الخارجي للقمة الفخذية الإنسية (Medial Condyle) | يمكن أن يصيب مناطق واسعة ومتعددة (اللقمتين، الساق) | اللقمة الفخذية الإنسية (أحادي الجانب غالباً) |
| بداية الألم والأعراض | تدريجي، يزداد مع المجهود الرياضي | تدريجي إلى حاد، ألم حتى أثناء الراحة | حاد جداً ومفاجئ، يسهل تحديد وقت بدايته بدقة |
| العلاقة بالغضروف الهلالي | لا يوجد ارتباط مباشر قوي | لا يوجد ارتباط مباشر قوي | ارتباط قوي جداً بتمزق الغضروف الهلالي الإنسي |
| شكل الإصابة في الأشعة | قطعة عظمية (رقاقة) محاطة بخط شفاف (انفصال) | آفة على شكل "إسفين" (Wedge-shaped) مع انهيار مفصلي | وذمة عظمية شديدة، مع تسطح أو انهيار في اللقمة الإنسية |

الرحلة التشخيصية الدقيقة مع الأستاذ الدكتور محمد هطيف
التشخيص الخاطئ أو المتأخر للآفات العظمية الغضروفية قد يكلف المريض مفصله بالكامل. يتميز الأستاذ الدكتور محمد هطيف بتبني بروتوكول تشخيصي صارم ودقيق يجمع بين الفحص السريري العميق وأحدث تقنيات التصوير الطبي في صنعاء.
1. الفحص السريري الشامل
تبدأ الرحلة بالاستماع الدقيق لقصة المريض (Anamnesis). متى بدأ الألم؟ ما هي طبيعته؟ هل هناك شعور بـ "طقطقة" أو "تعليق" في الركبة؟
يقوم الدكتور هطيف بفحص الركبة بحثاً عن:
* التورم والانصباب المفصلي (تجمع السوائل).
* نقاط الإيلام الموضعي (Tenderness) عند الضغط على اللقمة الفخذية.
* اختبار ويلسون (Wilson's Test): اختبار سريري خاص للكشف عن OCD في اللقمة الإنسية.
* تقييم المدى الحركي واستقرار الأربطة.
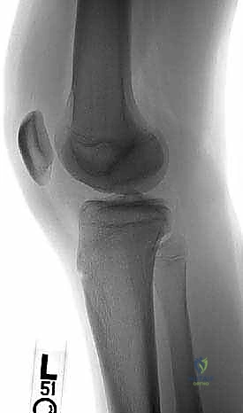
2. التصوير بالأشعة السينية (X-rays)
هي الخطوة التصويرية الأولى والأساسية. يطلب الدكتور هطيف صوراً بوضعيات محددة (أمامية خلفية، جانبية، وضعية النفق Notch view، ووضعية شروق الشمس Skyline view) أثناء الوقوف (تحميل الوزن). تساعد الأشعة السينية في رؤية العيوب العظمية، وتحديد حجم الآفة، واكتشاف أي أجسام حرة (Loose bodies) متكلسة داخل المفصل.
3. التصوير بالرنين المغناطيسي (MRI) – المعيار الذهبي
لا يمكن تقييم الغضروف المفصلي بدقة باستخدام الأشعة السينية. هنا يأتي دور الرنين المغناطيسي العالي الدقة. يُعد الرنين المغناطيسي حجر الزاوية في خطة الأستاذ الدكتور محمد هطيف التشخيصية، حيث يسمح بـ:
* تقييم حالة الغضروف المفصلي (هل هو سليم، متورم، أم ممزق؟).
* تحديد مدى ثبات القطعة العظمية (في حالات OCD). وجود سائل بين القطعة والسرير العظمي في صور T2 يشير إلى عدم الاستقرار.
* اكتشاف الوذمة العظمية (Bone Marrow Edema) التي تميز حالات SONK و AVN في مراحلها المبكرة قبل ظهورها في الأشعة السينية.
* تحديد حجم وعمق الآفة بدقة مليمترية للتخطيط الجراحي.

4. التنظير المفصلي التشخيصي (Diagnostic Arthroscopy)
في بعض الحالات المعقدة، قد يكون التشخيص النهائي وتقييم قابلية الشفاء (عن طريق لمس الغضروف بأداة جراحية لتقييم صلابته) لا يتم إلا من خلال المنظار الجراحي. يستخدم الدكتور هطيف كاميرات 4K عالية الدقة لرؤية المفصل من الداخل بوضوح لا مثيل له.

استراتيجيات العلاج: من التحفظي إلى الجراحي المتقدم
بناءً على التشخيص الدقيق، يضع الأستاذ الدكتور محمد هطيف خطة علاجية مخصصة لكل مريض. الخطة تعتمد على عدة عوامل: عمر المريض، مستوى نشاطه الرياضي، حجم الآفة، موقعها، والأهم من ذلك: مدى استقرار القطعة العظمية الغضروفية.
أولاً: العلاج التحفظي (غير الجراحي)
الأمانة الطبية التي يُعرف بها الأستاذ الدكتور محمد هطيف تحتم عليه عدم اللجوء للجراحة إلا إذا كانت هناك حاجة ماسة لها. العلاج التحفظي هو الخيار الأول في الحالات التالية:
* المرضى صغار السن (Juvenile OCD) حيث لا تزال صفائح النمو مفتوحة وقدرة الجسم على الالتئام عالية.
* الآفات المستقرة (Stable lesions) التي لم تنفصل بعد.
* المراحل المبكرة جداً من SONK.
بروتوكول العلاج التحفظي يشمل:
1. تعديل النشاط وإراحة المفصل: التوقف التام عن الرياضات التصادمية والجري.
2. تخفيف الوزن (Off-loading): استخدام العكازات لأسابيع أو أشهر لمنع الضغط على المنطقة المصابة والسماح للعظم بالالتئام.
3. العلاج الطبيعي الموجه: للحفاظ على المدى الحركي للركبة ومنع ضمور العضلات المحيطة بها (خاصة العضلة الرباعية).
4. الأدوية: مسكنات الألم ومضادات الالتهاب غير الستيرويدية (NSAIDs) لفترات قصيرة.
5. الحقن البيولوجية المتقدمة: في بعض الحالات، قد يتم استخدام حقن البلازما الغنية بالصفائح الدموية (PRP) أو الخلايا الجذعية لتحفيز التئام الأنسجة، وفقاً لأحدث البروتوكولات الطبية المعتمدة.

ثانياً: التدخلات الجراحية المتقدمة (خبرة الأستاذ الدكتور محمد هطيف)
إذا فشل العلاج التحفظي، أو إذا كانت القطعة العظمية غير مستقرة أو منفصلة تماماً (Loose body)، أو في حالات النخر المتقدم (AVN)، يصبح التدخل الجراحي أمراً حتمياً لإنقاذ المفصل.
يُعد الأستاذ الدكتور محمد هطيف المرجعية الأولى في اليمن لإجراء هذه العمليات المعقدة والدقيقة، مستخدماً تقنيات جراحة المناظير ذات التدخل المحدود (Minimally Invasive Surgery).

إليك التفصيل الشامل للتقنيات الجراحية المتاحة:
1. تقنية التثقيب أو الكسور الدقيقة (Microfracture / Drilling)
- الهدف: تحفيز نخاع العظم لإنتاج غضروف بديل.
- كيفية الإجراء: باستخدام المنظار، يقوم الدكتور هطيف بتنظيف المنطقة التالفة من الغضروف، ثم يستخدم أداة دقيقة لإحداث ثقوب صغيرة في العظم تحت الغضروفي المكشوف. هذه الثقوب تسمح بخروج الدم والخلايا الجذعية من نخاع العظم لتشكيل جلطة دموية (Super Clot) فوق المنطقة المصابة. بمرور الوقت، تتحول هذه الجلطة إلى نسيج ندبي يسمى "الغضروف الليفي" (Fibrocartilage).
- الاستطبابات: الآفات الصغيرة (أقل من 2-3 سم مربع)، والآفات المستقرة التي تحتاج إلى تحفيز التروية الدموية.
- الميزة: إجراء بسيط بالمنظار، فترة نقاهة أولية سريعة.










خشونة الركبة وآلامها المزمنة ليس قدراً محتوماً! التشخيص الدقيق والعلاج المتخصص يمكن أن يعيد لك كامل وظيفتك وحريتك في الحركة. لا تدع الألم يسيطر على حياتك.
للحصول على استشارة دقيقة وخطة علاجية مخصصة لحالتك، تواصل فوراً مع مركز الأستاذ الدكتور محمد هطيف:
الأستاذ الدكتور محمد هطيف - أفضل دكتور عظام في صنعاء، وخبير في جراحات منظار الركبة والمفاصل الصناعية.. نلتزم بإعادتك لحياة خالية من الألم وحركة ركبة طبيعية.
مواضيع أخرى قد تهمك