جراحة استبدال رأس الكعبرة المعيارية: حل مبتكر لإصابات الكوع المعقدة مع الأستاذ الدكتور محمد هطيف

الخلاصة الطبية
استبدال رأس الكعبرة المعيارية هو إجراء جراحي متقدم لاستعادة وظيفة واستقرار مفصل الكوع بعد كسور رأس الكعبرة المعقدة أو إصابات الأربطة. يتم فيه استبدال الجزء التالف بغرسة معدنية لضمان حركة طبيعية وتقليل الألم، ويقدمه الأستاذ الدكتور محمد هطيف في صنعاء بخبرة عالية.
مقدمة شاملة: ثورة استبدال رأس الكعبرة المعياري واستعادة وظيفة الكوع
مرحباً بكم في الدليل الطبي الأوسع والأكثر شمولية في العالم العربي حول جراحة العظام المتقدمة، حيث يندمج الابتكار التكنولوجي مع الخبرة الجراحية الفذة لإعادة الأمل، الحركة، وجودة الحياة للمرضى. نغوص اليوم في تفاصيل أحد أدق الإجراءات الجراحية وأكثرها تعقيداً في طب العظام: "استبدال رأس الكعبرة المعياري" (Modular Radial Head Arthroplasty).
يُعد هذا التدخل الجراحي حجر الزاوية والخط الفاصل بين الإعاقة الدائمة والعودة إلى الحياة الطبيعية في إدارة إصابات الكوع المعقدة. تتجلى أهمية هذه الجراحة عندما يتعرض رأس عظمة الكعبرة لتهشم بالغ لا يمكن ترميمه بالمسامير والشرائح، وتترافق هذه الحالة غالباً مع تمزقات كارثية في الأربطة الجانبية التي تهدد استقرار الكوع بشكل كامل.
إن الهدف الاستراتيجي من هذه الجراحة يتخطى المفهوم البسيط لاستبدال عظم مكسور؛ بل هو عملية "إعادة هندسة حيوية" (Biomechanical Reconstruction) لمفصل الكوع والساعد بأكمله. في العاصمة اليمنية صنعاء، يتصدر الأستاذ الدكتور محمد هطيف، أستاذ جراحة العظام بجامعة صنعاء، المشهد الطبي كأفضل استشاري جراحة عظام ومفاصل، حيث يقدم هذه الحلول الجراحية فائقة التطور. مستنداً إلى خبرة تتجاوز 20 عاماً، وتقنيات الجراحة الميكروسكوبية، ومناظير 4K، يضمن الدكتور هطيف تقديم رعاية طبية تتوافق مع أعلى المعايير العالمية، مع التزام تام بمبدأ "الأمانة الطبية" في اختيار العلاج الأنسب لكل مريض.



التشريح الدقيق لمفصل الكوع وأهمية رأس الكعبرة
لفهم عبقرية جراحة استبدال رأس الكعبرة المعيارية، يجب أولاً أن نفهم التشريح المعقد لمفصل الكوع. الكوع ليس مجرد مفصل بسيط يعمل كالمفصلة (Hinge Joint)، بل هو مفصل مركب يتكون من ثلاثة مفاصل فرعية تعمل بتناغم تام:
1. المفصل العضدي الزندي (Ulnohumeral Joint): المسؤول الأساسي عن حركة الثني والفرد.
2. المفصل العضدي الكعبري (Radiocapitellar Joint): حيث يلتقي رأس الكعبرة بعظمة العضد.
3. المفصل الكعبري الزندي القريب (Proximal Radioulnar Joint): المسؤول عن حركة دوران الساعد (الكب والاستلقاء - Pronation & Supination).
دور رأس الكعبرة في استقرار الذراع:
رأس الكعبرة يشبه "ممتص الصدمات" الأساسي في الكوع. فهو يتحمل حوالي 60% من القوى الضاغطة التي تنتقل من اليد إلى الكوع. علاوة على ذلك، يُعتبر رأس الكعبرة المُثبِّت الثانوي الأساسي ضد قوى الانحناء الخارجي (Valgus Stress). عندما يتم استئصال رأس الكعبرة بالكامل دون استبداله (كما كان يحدث في الطب القديم)، يعاني المريض من عدم استقرار مزمن، هجرة عظمة الكعبرة للأعلى، وألم مبرح في مفصل الرسغ.



الأسباب العميقة والأعراض السريرية لإصابات رأس الكعبرة المعقدة
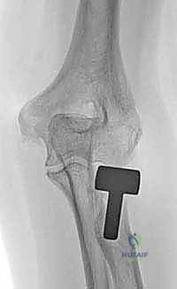
تحدث كسور رأس الكعبرة غالباً نتيجة السقوط على يد ممدودة (FOOSH - Fall On Outstretched Hand)، حيث تنتقل قوة السقوط من راحة اليد، عبر الساعد، لتصطدم بعنف في مفصل الكوع.
متى يصبح الكسر "معقداً" ويحتاج إلى استبدال؟
لا تحتاج جميع كسور رأس الكعبرة إلى استبدال. يصنف الأستاذ الدكتور محمد هطيف الحالات التي تستدعي هذا الإجراء المتقدم إلى:
* الكسور المفتتة بشدة (Comminuted Fractures): عندما ينكسر رأس الكعبرة إلى أكثر من ثلاث قطع صغيرة جداً لا يمكن تجميعها وتثبيتها بالمسامير.
* الثالوث الرهيب لمفصل الكوع (Terrible Triad of the Elbow): وهي إصابة كارثية تتضمن: خلع في مفصل الكوع، كسر في رأس الكعبرة، وكسر في الناتئ الإكليلي (Coronoid). في هذه الحالة، استبدال رأس الكعبرة ضروري لإنقاذ الكوع من الخلع المتكرر.
* إصابات إيسيكس-لوبريستي (Essex-Lopresti Lesion): كسر رأس الكعبرة المصحوب بتمزق الغشاء بين العظام وصولاً إلى مفصل الرسغ.
* الفشل الجراحي السابق: فشل عمليات التثبيت الداخلي (الشرائح والمسامير) السابقة، مما أدى إلى نخر انعدام الدم (Avascular Necrosis) أو عدم التئام الكسر.



الأعراض التي تستدعي تدخلاً عاجلاً:
- ألم حاد ومفاجئ في الجزء الخارجي من الكوع مباشرة بعد الإصابة.
- تورم شديد وتكدم يمتد إلى الساعد.
- إعاقة ميكانيكية (Mechanical Block): عدم القدرة المطلقة على تدوير الساعد (قلب كف اليد لأعلى ولأسفل) أو ثني وفرد الكوع بالكامل.
- الإحساس بعدم استقرار الكوع، وكأنه "ينخلع" من مكانه عند الحركة.



الخيارات العلاجية: العلاج التحفظي مقابل التدخل الجراحي
تتطلب إدارة كسور الكوع تقييماً دقيقاً. كأفضل طبيب عظام في اليمن، يحرص الأستاذ الدكتور محمد هطيف على توضيح كافة الخيارات للمريض بشفافية تامة.
جدول (1): مقارنة شاملة بين مسارات علاج كسور رأس الكعبرة
| معيار المقارنة | العلاج التحفظي (الجبيرة/التعليقة) | التثبيت الداخلي (ORIF) | استبدال رأس الكعبرة المعياري (Arthroplasty) |
|---|---|---|---|
| دواعي الاستعمال | كسور بسيطة، غير متحركة (الدرجة الأولى). | كسور متحركة إلى قطعتين أو ثلاث (يمكن إنقاذ العظم). | كسور مفتتة بالكامل، "الثالوث الرهيب"، عدم استقرار الكوع. |
| آلية العلاج | تثبيت الكوع لفترة قصيرة ثم بدء العلاج الطبيعي. | استخدام شرائح ومسامير دقيقة جداً لربط العظم المكسور. | إزالة العظم المهشم وزرع مفصل معدني معياري متطور. |
| مدة التعافي | 4 إلى 6 أسابيع. | 3 إلى 5 أشهر (انتظار التئام العظم). | تعافي وظيفي أسرع (يمكن تحريك الكوع بعد أيام من الجراحة). |
| استقرار الكوع | يعتمد على الأربطة السليمة. | جيد إذا تم التثبيت بنجاح. | ممتاز جداً، يعيد الميكانيكا الحيوية فوراً بفضل الغرسة. |
| مخاطر محتملة | تيبس الكوع إذا طالت فترة الجبيرة. | فشل التثبيت، نخر العظم، الحاجة لجراحة أخرى. | تآكل الغضروف المقابل على المدى الطويل جداً (نادر مع الغرسات الحديثة). |




لماذا الأستاذ الدكتور محمد هطيف هو الخيار الأول في اليمن؟
عندما نتحدث عن جراحات المفاصل المعقدة، فإن مهارة الجراح هي العامل الحاسم الأول في نجاح العملية. يبرز اسم الأستاذ الدكتور محمد هطيف كعلامة فارقة في سماء الطب اليمني والعربي لعدة أسباب جوهرية:
- المرتبة الأكاديمية والخبرة الطويلة: أستاذ جراحة العظام والكسور بجامعة صنعاء، وصاحب مسيرة مهنية تمتد لأكثر من عقدين من الزمان في أعقد الإصابات.
- استخدام التكنولوجيا الفائقة: رائد في استخدام تقنيات الجراحة الميكروسكوبية (Microsurgery) ومناظير المفاصل بدقة 4K في اليمن، مما يضمن دقة متناهية بأقل تدخل جراحي ممكن.
- التخصص الدقيق في الغرسات المعيارية: يمتلك د. هطيف خبرة استثنائية في اختيار وتركيب المفاصل المعيارية (Modular Arthroplasty) التي تتطلب حسابات هندسية حيوية دقيقة أثناء العملية.
- الأمانة الطبية الصارمة: شعار الدكتور هطيف هو "الجراحة فقط عندما تكون هي الحل الأمثل". يتم تقييم كل مريض بدقة، ولا يتم اللجوء للاستبدال إلا إذا كان ترميم العظم الطبيعي مستحيلاً.




خطوات جراحة استبدال رأس الكعبرة المعيارية بالتفصيل
تعتبر هذه الجراحة من أدق العمليات في جراحة العظام، وتستغرق عادة من ساعة إلى ساعتين. إليكم الخطوات التي يتبعها الأستاذ الدكتور محمد هطيف وفريقه الطبي المتميز:
1. التخدير والتحضير
يتم إجراء العملية تحت التخدير العام أو التخدير الموضعي (إحصار العصب - Nerve Block). يتم تعقيم الذراع وتجهيزها باستخدام أحدث معايير مكافحة العدوى.
2. النهج الجراحي (Surgical Approach)
يقوم د. هطيف بعمل شق جراحي دقيق (عادة نهج Kocher أو Kaplan) في الجزء الخارجي من الكوع. يتم إبعاد العضلات والأعصاب بلطف شديد باستخدام تقنيات الجراحة الميكروسكوبية لحماية العصب الكعبري العميق (PIN).


3. إزالة الشظايا العظمية
يتم استخراج جميع قطع العظم المفتتة من مفصل الكوع بدقة. يقوم الجراح بتنظيف المفصل بالكامل لضمان عدم بقاء أي شظايا قد تعيق الحركة لاحقاً.


4. القياس الدقيق (Sizing the Implant)
هنا تتجلى مهارة الجراح. يجب اختيار حجم الغرسة (المفصل الصناعي) بحيث يطابق حجم العظم الطبيعي المفقود بالملليمتر. إذا كانت الغرسة كبيرة جداً (Overstuffing)، سيؤدي ذلك إلى تيبس الكوع وتآكل الغضروف. وإذا كانت صغيرة، سيظل الكوع غير مستقر. يستخدم د. هطيف أدوات قياس معيارية متطورة لضمان التطابق المثالي.


5. تركيب الغرسة المعيارية (Modular Implantation)
يتم إدخال "الجذع" (Stem) داخل القناة العظمية للكعبرة، ثم يتم تركيب "الرأس" (Head) المعدني فوقه. الميزة هنا أن النظام "معياري"، أي يمكن تركيب رأس بحجم معين على جذع بحجم مختلف، ليتناسب تماماً مع تشريح المريض.


6. ترميم الأربطة وإغلاق الجرح
بعد التأكد من استقرار المفصل وحركته السلسة، يقوم الدكتور هطيف بإصلاح الأربطة الجانبية الممزقة (LCL) باستخدام خطاطيف عظمية (Suture Anchors) متطورة، ثم يتم إغلاق الجرح تجميلياً.




الغرسات المعيارية (Modular Implants): التكنولوجيا التي غيرت قواعد اللعبة
في الماضي، كانت تستخدم غرسات من قطعة واحدة (Monoblock)، والتي كانت تجعل من الصعب جداً مطابقة تشريح كل مريض. أما اليوم، وفي عيادة الأستاذ الدكتور محمد هطيف، يتم استخدام الغرسات المعيارية الحديثة.
هذه الغرسات تتكون من أجزاء منفصلة (رأس وعنق وجذع) يتم تجميعها داخل غرفة العمليات. تُصنع عادة من سبائك الكوبالت-كروم (Cobalt-Chrome) أو التيتانيوم (Titanium)، وهي مواد خاملة حيوياً وتتميز بصلابة شديدة ونعومة فائقة تمنع احتكاك العظام.












آلام العظام والمفاصل وتقييد حركتها ليس قدراً محتوماً! التشخيص الدقيق والعلاج المتخصص يمكن أن يعيد لك كامل وظيفتك وحريتك في الحركة. لا تدع الألم يسيطر على حياتك.
للحصول على استشارة دقيقة وخطة علاجية مخصصة لحالتك، تواصل فوراً مع مركز الأستاذ الدكتور محمد هطيف:
الأستاذ الدكتور محمد هطيف - أفضل دكتور عظام في صنعاء، وخبير في جراحات العظام والمفاصل والعمود الفقري.. نلتزم بإعادتك لحياة خالية من الألم وحركة طبيعية.
مواضيع أخرى قد تهمك