Managing Intertrochanteric Fractures with Unstable Patterns
INTERTROCHANTERIC FRACTURES EPIDEMIOLOGY Intertrochanteric fractures account for nearly 50% of all fractures …
TRAUMA
INTERTROCHANTERIC FRACTURES EPIDEMIOLOGY Intertrochanteric fractures account for nearly 50% of all fractures …
FEMORAL NECK FRACTURES EPIDEMIOLOGY More than 250,000 hip fractures occur in the United States each year (50%…
SCAPULA FRACTURES EPIDEMIOLOGY This relatively uncommon injury represents 3% to 5% of shoulder fractures and …
PEDIATRIC ORTHOPAEDIC SURGERY: GENERAL PRINCIPLES OVERVIEW The development and growth of the skeletal system …
PEDIATRIC KNEE OVERVIEW The knee is a ginglymoid (hinge) joint consisting of three articulations: patellofemo…
PEDIATRIC FEMORAL SHAFT EPIDEMIOLOGY Represent 1.6% of all fractures in the pediatric population. Males are m…
PEDIATRIC ANKLE EPIDEMIOLOGY Ankle injuries account for up to 18% of all physeal injuries; they are third in …
THORACOLUMBAR SPINE Injuries EPIDEMIOLOGY Neurologic injury complicates 15% to 20% of fractures at the thorac…
SUBTROCHANTERIC FRACTURES EPIDEMIOLOGY Subtrochanteric fractures account for approximately 10% to 30% of all …
ELBOW DISLOCATION EPIDEMIOLOGY Elbow dislocation accounts for 11% to 28% of elbow injuries. Posterior disloca…
HIP DISLOCATIONS EPIDEMIOLOGY Up to 50% of patients sustain concomitant fractures elsewhere at the time of hi…
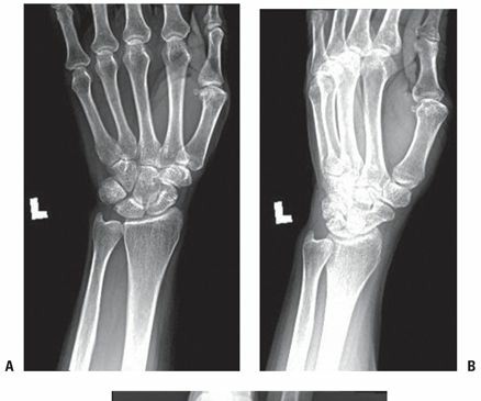
DISTAL RADIUS FRACTURES EPIDEMIOLOGY Distal radius fractures are among the most common fractures of the upper…