Mastering O.R.I.F. for Displaced Proximal Humeral Fractures
DEFINITION Proximal humerus fractures may involve the surgical neck, the greater tuberosity, and/or the lesse…
TRAUMA
DEFINITION Proximal humerus fractures may involve the surgical neck, the greater tuberosity, and/or the lesse…
DEFINITION Distal radius malunion is best defined as malalignment associated with dysfunction. Malalignment d…
n DEFINITION Indications for external fixation of the tibial shaft in trauma applications include the treatme…
DEFINITION Displaced, comminuted fractures of the clavicle are at risk for nonunion and malunion 3 , 4 , 6 , …
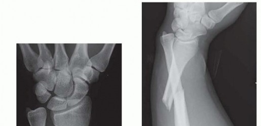
DEFINITION The distal ulna is the fixed point 7 around which the radius and the hand function ( FIG 1A ). Fra…
DEFINITION Simple dislocations of the elbow can most often be treated successfully with closed means: reducti…
DEFINITION Fractures of the femoral head are rare and occur almost exclusively with associated high-energy hi…
DEFINITION Fractures of the proximal femur are usually grouped into four major types reflecting differences i…
DEFINITION Distal radius fractures typically originate in the radial metaphysis and occasionally enter the ra…
DEFINITION Fracture of the radial shaft with an associated distal radioulnar joint (DRUJ) dislocation (FIG 1A…
a DEFINITION Distal radius fractures occur at the distal end of the bone, originating in the metaphyseal regi…
DEFINITION A femoral shaft fracture is any fracture of the femoral diaphysis from 5 cm below the lesser troch…