Masterclass: Intramedullary Nailing of Tibial Fractures – A Comprehensive Intraoperative Guide

Key Takeaway
This masterclass provides an exhaustive, real-time guide to tibial intramedullary nailing. Fellows will learn comprehensive surgical anatomy, precise patient positioning, and granular, step-by-step intraoperative execution. We cover critical neurovascular risks, instrument use, hardware application, and rationale, alongside extensive pearls, pitfalls, and postoperative management, ensuring a deep understanding of this essential procedure.
Definition
Intramedullary nailing techniques are typically used for closed and open displaced diaphyseal tibial fractures. The indications for intramedullary nailing can be extended to proximal and distal metaphyseal tibia fractures, including those associated with simple articular involvement. Both traditional peripatellar and semiextended approaches are used to attain the entry site for nailing all levels of tibial fractures. ## ANATOMY The triangular-shaped proximal tibia is narrowest medially, and the proximal medial cortex tibia is obliquely oriented to the frontal plane. The medullary canal of the tibia exits at the margin of the lateral articular facet. As a result of this complex proximal anatomy, there is less sagittal plane space for an intramedullary nail within the tibia metaphysis with a medial or central insertion path. With a medial start site, the anteromedial metaphyseal cortex can deflect the nail and create a valgus deformation. Due to these factors, a tendency toward a more lateral start site is favored. The patellar tendon inserts on the tibial tubercle and extends the proximal fracture segment in proximal fracture patterns. This displacement is accentuated with further flexion of the knee, which typically is required to attain the proper starting point for intramedullary nailing ( FIG 1A). Gerdy tubercle—the origin of the anterior compartment muscles and insertion site of the iliotibial band—is palpable along the proximal lateral tibia. In addition to the deforming forces of the patellar tendon, the anterior compartment muscles and the iliotibial band contribute to the shortening and valgus deformity typically seen with more proximal fractures. The anterior tibial crest corresponds to the vertical lateral surface of the tibia. When it is palpable, it is an excellent reference for the anatomic axis and nail path ( FIG 1B). The anteromedial tibial surface is subcutaneous and often is the site of traumatic open wounds. The anterior neurovascular bundle and tibialis anterior tendon are at risk with anterior to posterior distal interlocking screw paths; internal rotation of the nail may decrease the risk of iatrogenic nerve injury 3 ( FIG 1C). The Hoffa fat pad and intermeniscal ligament are commonly injured during all tibial intramedullary nail insertion techniques, especially during lateral parapatellar and patellar tendon-splitting approaches. 27, 34 ## PATHOGENESIS Tibial shaft fractures may occur from high-energy mechanisms of injury, as when a pedestrian is struck by a motor vehicle. Many fractures, however, result from lowenergy mechanisms such as simple falls in elderly patients or those with poor bone quality or sports-related injuries (common in soccer players) in younger patients. 6 In this low-energy fracture group, elderly patients are more likely to have comminuted and open fractures due to simple falls. ## NATURAL HISTORY The long-term outcome of tibial malunion is not clearly defined in the trauma literature. A weak association is seen between a tibial shaft fracture malunion and ipsilateral knee and ankle arthritis. 12, 19, 32 Knee pain is reported in up to 58% of cases after intramedullary nailing. This pain typically is anterior, associated with activity, and exacerbated by kneeling activities. 6, 11 Knee pain improves in about 50% of patients after hardware removal. 6 Attempts to detect a correlation between start sites and knee pain have been inconclusive, and comparative evaluations between traditional start sites and semiextended start sites (ie, suprapatellar) are underway. ## PATIENT HISTORY AND PHYSICAL FINDINGS Understanding the mechanism of injury and the environment in which the injury occurred is important for evaluating a patient's risk for associated injuries and compartment syndrome. In open fractures, it can help determine the choice of prophylactic antibiotic therapy. All patients who sustain tibial shaft fractures from highenergy mechanisms should undergo standard advanced trauma and life support (ATLS) protocol to have a thorough examination for life- and other limb-threatening injuries. Seventy-five percent of patients with open tibia fractures have associated injuries. 1 To evaluate a patient's risk for potential complications, other medical conditions should be investigated, including a history of diabetes mellitus, renal disease, inflammatory arthropathies, tobacco use (which increases healing time by up to 40%), and peripheral vascular disease. 4 It also is important to find out about the patient's normal activities and employment requirements to give them a reasonable expectation for when they will be able to resume those activities. Pain at the fracture site, swelling, and deformity are common findings in patients with tibial shaft fractures. A thorough examination of the skin is important to avoid missing open fracture wounds. Evaluation of the soft tissue envelope for abrasions, contusions, and fracture blisters can help determine whether 548 definitive treatment can be done primarily or if a staged or delayed approach is required.
---
### FIG 1 • A. The metaphyseal segment extends with knee flexion secondary to the pull of the patellar tendon. B. The anterior tibial crest is palpable and represents the vertical lateral border of the tibia. Palpation of the crest can help aid in starting wire orientation. C. Anterior neurovascular structures are at risk during anterior placement of distal interlocking bolts; internal rotation may decrease the risk of arterial injury. A detailed neurovascular examination is critical to avoid the devastating complications associated with compartment syndrome, which can occur in both closed and open fractures (see Cha 53). ## IMAGING AND OTHER DIAGNOSTIC STUDIES Full-length anteroposterior (AP) and lateral plain radiographs are necessary to adequately evaluate the tibia and fibula. Complete orthogonal views of the tibia and fibula help evaluate for concurrent fractures or dislocation and any preexisting deformity or implants. Orthogonal radiographic views of the knee and ankle are required to rule out articular involvement. Axial computed tomography (CT) scan can be used for proximal and distal fractures to rule out intra-articular fracture extension. Nondisplaced fracture lines are common. Gunshot wounds may merit CT evaluation to rule out intra-articular bullet fragments and intra-articular fracture extension. Magnetic resonance imaging (MRI) is not useful for most diaphyseal or metadiaphyseal fractures. Ankle-brachial index (systolic pressure in injured leg below injury divided by systolic pressure of the brachium) after fracture reduction should be used to rule out vascular injuries in severely displaced fractures or fractures with severe soft tissue injury. Values of less than 0.9 may be indicative of vascular injury, requiring further investigation. 18 549 Compartment pressure evaluation with a commercially available handheld single-stick monitor or with a sideported catheter connected to a pressure monitor (using the arterial line setup) is indicated in patients who have severe or increasing swelling and are not able to comply with physical examination and questioning. Observe for early signs of compartment syndrome in all patients with tibial diaphyseal fractures. Open fracture does not preclude development of compartment syndrome. Measure the pressure difference between the diastolic pressure and the intracompartmental pressure—a differential value of less than 30 mm Hg is considered an indication for a four-compartment fasciotomy. 17 ## NONOPERATIVE MANAGEMENT Nonoperative management is indicated in ambulatory patients for closed and open fractures that do not require flap coverage and that do not present with excessive initial shortening or unacceptable angulation when a cast is applied ( FIG 2). An intact fibula with an axially unstable fracture pattern (ie, short oblique, butterfly fragment, or comminuted) is at risk for shortening and varus deformities and is a relative contraindication to nonoperative management. A higher rate of malunion and nonunion with nonoperative management is seen in higher energy fractures. 2, 9 Joint stiffness, especially hindfoot, is common with all forms of prolonged immobilization. 7, 22 Initial treatment includes ˜2 weeks of a long-leg splint, then a long-leg cast for 2 to 4 weeks. When the initial swelling has subsided, the patient is graduated to a patellar tendon or functional brace. Weight bearing is allowed and encouraged.
---
### FIG 2 • A-C. An oblique diaphyseal tibial shaft fracture treated nonoperatively to union. (Courtesy of Paul Tornetta III, MD.) Radiographs are evaluated at 1- to 2-week intervals over the first month of treatment to confirm maintenance of acceptable alignment. ## SURGICAL MANAGEMENT
Classification and Relative Indications Tibia fractures usually are classified according to the AO Foundation and Orthopaedic Trauma Association (AO/OTA) classification ( Table 1). Several relatively well-accepted indications and contraindications have been established for the intramedullary nailing of tibia fractures ( Table 2). A thorough evaluation of the patient's soft tissue envelope will determine when the patient can proceed with definitive fixation. Complete orthogonal radiographs of the entire tibia and fibula are important to determine whether the patient's intramedullary canal is large enough to accommodate an intramedullary nail (approximately 8 mm) and identify any preexisting deformity that may preclude nail placement. Most modern cannulated nail designs start near 8 mm in diameter. Complete radiographs also identify any proximal or distal articular involvement. Preoperative measurement of the intramedullary canal and the length of the tibia will help determine which size nail can be used. The lateral radiograph is the most accurate to use for measuring the appropriate nail length. Measuring the narrowest diameter of the diaphysis on the AP and lateral views will determine the appropriate nail diameter and whether intramedullary reaming will be necessary. 550
---
---
---
---
---
---
---
---
---
AO/OTA Tibial Fracture Classification
- FIG 3 • (continued) E. A posteriorly positioned half-pin can be placed behind the projected nail path. F. A distal half-pin placed just over and parallel to the plafond can be helpful for aligning the distal fragment and lies inferior to the projected end of the nail. G. The knee is maximally flexed over the triangle to allow for the proper starting wire insertion angle. H. Typical setup for semiextended nailing with a small bolster for limited knee flexion and easy access to the limb for reduction and imaging. Semiextended position For proximal fractures, extending the knee to 20 to 30 degrees of flexion counters the pull of the patellar tendon and helps reduce the flexion deformity that is typical for these fractures. 26 Either a radiolucent triangle or bolster can be used ( FIG 3H). ## Approach Use fluoroscopy to determine which approach will allow the starting point to be placed just medial to the lateral tibial spine on the AP view and at the anterior articular margin on the lateral view. 27 A guidewire can be used to assess the relationship between the anatomic axis of the tibia and the appropriate start site ( FIG 4). Externally rotated views are common and can be misleading in selecting the ideal start point. 33 For diaphyseal and distal metaphyseal fractures, any of the following approaches are appropriate. As mentioned earlier, the patient's anatomy and fracture deformity can be used to determine which approach allows for appropriate starting point placement. Medial parapatellar Transpatellar tendon (This approach may be avoided by some surgeons due to previous retrospective series that showed an increased likelihood of knee pain with this approach. 11, 21 However, other retrospective series and more recent prospective trials have found no association between knee pain and the surgical approach used.)5, 29, 30, 31
---
### FIG 4 • Clinical and fluoroscopic examples demonstrating usage of a guidewire to determine tibial anatomic axis and appropriate start site. A. Guidewire placed along tibial crest. B. Correlating fluoroscopic AP view showing guidewire at the medial aspect of the lateral tibial spine. Lateral parapatellar Fractures at the transition between metaphysis and diaphysis The lateral parapatellar approach allows for guidewire and nail placement in the more lateral position, which is beneficial in countering the valgus deformity associated with these fractures. It also allows intramedullary nailing in the familiar hyperflexed knee position. The semiextended position assists for reduction of the flexion deformity associated with these fractures. The limited or formal medial parapatellar may be used if the surgeon is unfamiliar with the suprapatellar approach and special instrumentation is not available. If the suprapatellar approach is being performed, a superomedial or superior midline is used and special instrumentation is required. All of the surgical approaches are performed with the knee in the semiextended position. 553 ## TECHNIQUES -
** Surgical Approach ### Medial Parapatellar Tendon Approach Palpate and mark the medial border of the patellar tendon ( TECH FIG 1, line A). Incise the skin at the medial border of the patellar tendon. Full-thickness skin flaps are developed. Dissection is carried down to the retinaculum. The retinaculum is then split, and the patellar tendon is retracted laterally. Do not incise the capsule. ### Transpatellar Tendon Approach Palpate and mark the medial and lateral border of the patellar tendon, the inferior border of the patella, and the tibial tubercle ( TECH FIG 1, line B). Incise the skin starting at the inferior margin of the patella and continue distally in the middle of the patellar tendon. Full-thickness skin flaps are developed. Incise the paratenon in the midline, and elevate medial and lateral flaps to identify the margins of the patellar tendon. Make a single full-thickness incision in the midline of the patellar tendon. Do not incise the capsule and avoid injuring the menisci at the inferior margin of the incision. ### Lateral Parapatellar Tendon Approach Palpate and mark the lateral border of the patellar tendon ( TECH FIG 1, line C). Incise the skin at the lateral border of the patellar tendon. Full-thickness skin flaps are developed. Dissection is carried down to the retinaculum. The retinaculum is then split, and the patellar tendon is retracted medially. Do not incise the capsule. ### Semiextended Position 26 Medial Parapatellar Approach Either a standard midline or limited medial skin incision can be used ( TECH FIG 2). Full-thickness skin flaps are developed. The distal portion of the quadriceps tendon is incised, leaving a 2-mm cuff of tendon medially for later repair. A formal medial arthrotomy is done extending around the patella, leaving a 2-mm cuff of capsule and retinaculum for later repair, and continuing along the medial border of the patellar tendon.
--- TECH FIG 1 • Options for surgical incisions in relation to the patella and patellar tendon. Medial parapatellar tendon incision (A). Transpatellar tendon incision (B). Lateral parapatellar tendon (C). Superomedial tendon incision (D). Suprapatellar incision (E).
---
### TECH FIG 2 • A. A formal full medial parapatellar approach allows for easy patellar subluxation and start site localization but requires significant dissection. B. The alternative is a limited medial approach. (B: Courtesy of Paul Tornetta III, MD.) Suprapatellar Approach 28 The suprapatellar approach requires special nail insertion instrumentation as well as cannulas for guide pin placement and reaming. The skin incision is made at the superomedial edge of the patella ( TECH FIG 3). Full-thickness skin flaps are developed. Make a superomedial arthrotomy large enough to place the special instrumentation. An alternative skin incision can be made extending from the midline of the superior pole of the patella proximally (see TECH FIG 1, line E). Full-thickness skin flaps are developed. Incise the quadriceps tendon in the midline, extending proximally from the superior pole of the patella, and make an arthrotomy. Mobilize the patella and free up any adhesions in the patellofemoral joint. ### Extra-articular Extended 14 Semiextended nailing is performed with the goal of remaining outside knee synovium/joint. Medial or lateral parapatellar approach is selected based on patellar laxity. A curvilinear incision begins at the medial border of the proximal third of the patellar tendon and extends proximally 554** to the medial border of the patella and then to the level of the proximal pole.
--- - TECH FIG 3 • A partial medial parapatellar arthrotomy that is carried into the intermedius allows enough subluxation of the patella to perform semiextended nailing. (Courtesy of Paul Tornetta III, MD.) Dissect synovium from retinaculum; divide retinaculum sharply. ### Standard Intramedullary Nailing Initial Guidewire Placement Drape the leg free, including the proximal thigh. Draping the leg more distally can limit knee flexion due to bunching of the drapes. Flex the knee over a bolster or radiolucent triangle. A padded thigh tourniquet can be applied and inflated during the surgical approach, but it must not be inflated during reaming because of the risk of thermal injury to the intramedullary canal. For this reason, a thigh tourniquet is usually omitted.
--- - TECH FIG 4 • A. Marking the skin along the crest can assist in aligning the guidewire with the path of the intramedullary canal and lessen the need for fluoroscopic guidance. B. Ideal proximal extra-articular start site as seen on lateral fluoroscopic image; this is near the articular margin. C. An ideal insertion vector approaches a parallel path with anterior cortex and minimizes the likelihood of fragment extension with seating of the nail. The starting guidewire is placed on the skin and radiographically aligned with the anatomic axis and in line with the lateral tibial spine on a true AP fluoroscopic image. The skin can be marked along the guidewire path to allow visualization of the anatomic axis without fluoroscopy ( TECH FIG 4A). The appropriate surgical approach is performed. The knee is maximally flexed, and the guidewire is aligned with the anatomic axis of the tibia. Typically, achieving an appropriate insertion vector will require the wire to be pushed against the patella or the peripatellar tissues. The anterior tibial crest is palpated for frontal plane wire alignment. Lateral plane fluoroscopy is necessary to place the wire at the proximal and superior aspect of the “flat spot” and near parallel with the anterior tibial cortical line ( TECH FIG 4B). The guidewire is directed 8 to 10 cm into the metaphysis. Guidewire position is verified in the AP and lateral planes. The frontal plane wire position should be in line with the anatomic axis and proximally should be just medial to the lateral tibial spine. Lateral alignment should be nearly parallel with the anterior tibial cortex, and all efforts should be made to avoid a posteriorly directed vector ( TECH FIG 4C). Creating and Reaming the Starting Hole The opening reamer (matching the proximal nail diameter) is introduced via a tissue sleeve and inserted while carefully maintaining knee hyperflexion and biplanar alignment. If the knee is allowed to extend or posterior pressure is not maintained on the tissue sleeve, the starting hole will become enlarged anteriorly, and the proximal anterior cortex will be violated. Imprecise reaming technique leads to anteriorization of the nail and violation of the proximal anterior cortex ( TECH FIG 5). Place a 15-degree bend 2 cm from the distal extent of the ball-tipped guidewire to allow for directional control during wire advancement. Alternatively, a straight ball-tipped guidewire can be used with an intramedullary reduction instrument (ie, a cannulated finger device), which can precisely direct the wire and simplify passage across the fracture. A ball-tipped guidewire is introduced into the proximal segment, and the knee is slightly extended for fracture reduction and instrumentation. 555
--- - TECH FIG 5 • If flexion is not maintained during reaming, or reaming is started before entrance into the starting hole, the anterior tibial cortex will be violated by the reamer, and an anterior nail path will be produced.
---
### TECH FIG 6 • Reduction of a simple middle diaphyseal fracture. A. AP radiograph of an oblique spiral distal tibia fracture. B. Use fluoroscopy to demonstrate fracture lines and localize clamp incision locations and clamp positions. C. Pointed reduction clamps can be placed through small stab incisions. D,E. AP and lateral fluoroscopic image demonstrating fracture reduction with percutaneous clamp application. Fracture Reduction ### Simple Middle Diaphyseal Fractures (Transverse or Short Oblique) Manual traction with gross manipulation will reduce simple transverse mid-diaphyseal fractures. Medially based external fixation or distraction with a large universal distractor is helpful for reduction when no assistants are available, in large patients, or when used for provisional fixation. Muscular paralysis is often helpful. Placement of percutaneous pointed reduction forceps can be helpful in oblique and short oblique patterns to achieve anatomic or near-anatomic reduction. Use fluoroscopy to mark the level and orientation of the fracture on the skin to facilitate the reduction clamp orientation and ideal placement of skin incisions. Introduce a small or large pointed clamp under and through skin stab wounds; care must be taken to maintain clamp points against bone ( TECH FIG 6A-C). Typically, the spike on the distal fragment is posterolateral. ### Highly Comminuted Middle Diaphyseal Fractures Have comparison radiographic images of the uninjured extremity available to be used as a template for length and rotational reduction landmarks. 556 Mechanical traction with medially based half-pin fixation is very helpful. A large external fixator or large universal distractor is equally effective. The proximal Schanz is placed posteriorly and parallel to the tibial plateau ( TECH FIG 7A). The distal Schanz pin is placed just above and parallel to the plafond ( TECH FIG 7B). The intramedullary reduction tool available in most nail or reamer sets can be used to manipulate the proximal fragment in order to advance the tool across the fracture, which achieves fracture reduction and guidewire placement. ### Open Middle Diaphyseal Fractures Large segmental and butterfly fragments that are completely devitalized and void of soft tissue attachments should be removed and cleaned of contamination. These pieces can be reintroduced into the fracture site and used to perform anatomic open reduction following passage of the intramedullary rod and interlocking. These pieces should be removed after fixation is completed because they represent a large amount of nonviable material in a high-risk wound.
---
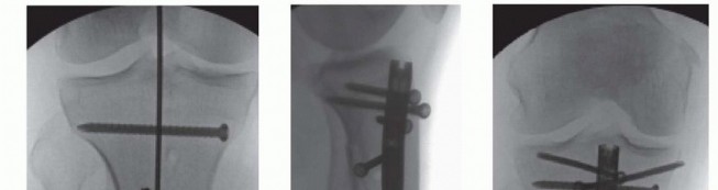
### TECH FIG 7 • A. AP radiograph of a comminuted segmental tibial fracture. B-D. Intraoperative AP and lateral fluoroscopic imaging of the knee and lateral view of the ankle showing appropriate application of the large universal distractor with resultant reduction. A posteriorly positioned half-pin is helpful for fracture reduction and does not block nail passage. E. Clinical image showing application of large universal distractor. F-H. Postoperative AP and lateral radiographs of the knee and tibia showing successful fixation. Occasionally, an osteotome is required to free near-circumferential fragments ( TECH FIG 8A-C). If reduction is difficult, a small fragment unicortical plate can be used to maintain the reduction during reaming and nail placement. Once interlocking is completed, the plate should be removed ( TECH FIG 8D). Passing the Guidewire Once optimal AP and lateral plane reduction is achieved, the wire is advanced past the level of the fracture. Verify that the wire is within the canal on both the AP and lateral views to avoid advancing too far and damaging extramedullary structures. In metadiaphyseal fractures, the wire must be centered in the metaphyseal segment. In proximal and distal fractures, blocking screws or half-pins may be required to ensure centralized positioning of the guidewire ( TECH FIG 9A). 557
---
### TECH FIG 8 • Reduction of an open middle diaphyseal fracture. A. A large segment of stripped cortical bone has been removed and cleaned on the back table. B. The cortical fragment has been placed into the fracture site and clamped in reduced position to reduce the fracture anatomically. C. Intraoperative fluoroscopic image of the fracture with the fracture fragment clamped in reduced position; note that this fragment will be removed after reaming and nail passage. D. Unicortical plates are useful for maintaining reduction during nail passage. Once centralized, the ball-tipped wire must be impacted into the subchondral bone of the tibial plafond at the level of the physeal scar. This decreases the risk of inadvertently removing the guidewire during reaming. Nail length measurement is performed using supplied length gauges and should be verified with lateral fluoroscopic measurement ( TECH FIG 9B). The lateral view is used because it is more accurate in determining the level of the articular surface and avoiding nail prominence. Alternatively, inserting a guidewire of the same length to the nail entry site and then measuring the length differential between wires also provides an accurate measurement. However, this introduces the significant cost of a second guidewire.
---
### TECH FIG 9 • A. A drill bit is used to ensure the guidewire is placed centrally in the distal segment of this distal metadiaphyseal fracture. B,C. The nail length guide is pushed to the opening of the tibia and verified with lateral fluoroscopic imaging. Device manufacturers supply nails in variable increments. When a length measurement falls in between lengths, choose the shorter length. A threaded end cap (usually 5, 10, and 15 mm) can be used if it is desired to bring the nail to top of the canal opening. Leaving the nail countersunk below the bone surface does not compromise stability in middle and distal fractures but may complicate future nail extraction. 558 Reaming the Canal Before reaming, estimate the narrowest canal diameter using both AP and lateral plain radiographs. Alternatively, intramedullary reamer sets typically have a radiolucent ruler that allows for intraoperative fluoroscopic verification, which should be done on both the AP and lateral views. The canal typically is reamed at least 1 mm over the isthmic diameter to minimize the risk of nail incarceration. Reaming should begin with an end-cutting reamer—the 8.5- or 9-mm size in most systems. Reamer heads should be evaluated before insertion and should be sharp and free of defects. Insert the reamer head into the proximal metaphysis with the knee in maximal flexion before applying power to avoid distorting the entrance hole ( TECH FIG 10A). Reamers are advanced at a slow pace under full power. If the reamer shafts are not solid, but are wound, be sure to avoid using reverse when drilling because that would cause the reamers to unwind if resistance is encountered within the intramedullary canal. Care must be taken not to inadvertently extract the guidewire when the reamers are removed. Multiple techniques are used. First, manual downward pressure can be applied to the wire with specialized instruments, medicine cups, or cleaning cannulas ( TECH FIG 10B). Once the reamer has cleared the opening, it can be clamped and held in position ( TECH FIG 10C). For the minimally reamed technique, a single end-cutting reamer (usually 9 mm) is passed down the canal to ensure the smallest diameter nail can pass through the narrowest segment of the intramedullary canal. In an effort to minimize thermal damage to the endosteal cortex, reaming should be discontinued within 0.5 to 1 mm of hearing the reamer head catching (“chatter”) on the endosteal cortex. Care also should be used when there are butterfly or oblique fracture fragments. Continued reaming after encountering chatter may result in iatrogenic comminution and loss of reduction.
---
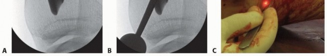
### TECH FIG 10 • A. Maintenance of maximal knee flexion protects the entrance hole from being inadvertently enlarged by the reamer. B. If the guidewire is rotating during reaming, it must be held down as the reamer is pulled back to avoid inadvertent removal of the guidewire. C. A clamp can be used to grasp the guidewire when the reamer head clears the soft tissues. Unreamed Technique Standard preparation technique is used for the starting hole, and the fracture is reduced. Precise evaluation of the lateral isthmic diameter is repeated, and a small-diameter nail is selected, typically in the 7- to 9-mm range. A good guideline is to use a nail 1 to 1.5 mm smaller than the narrowest measure of the isthmus on the lateral radiograph. If lateral plane imaging is suggestive of canal diameter very close to nail size, a single pass with an end-cutting reamer usually is performed to decrease the possibility of nail incarceration. The nail is inserted and impacted in standard fashion. If significant resistance is encountered when the nail reaches the isthmus, the nail is removed to avoid incarceration or iatrogenic fracture propagation. A reamer 0.5 to 1.0 mm larger than the nail is passed down the canal, and nail passage is attempted again. Nail Insertion Once the nail insertion handle is attached, pass a drill through the proximal screw insertion attachment and screw insertion cannulas before inserting the nail to ensure accurate alignment of the attachment jig. Maintain nail rotation during insertion by aligning the center of the insertion handle with the tibial crest. Consider internal rotation of the nail if distal AP interlocking bolts are deemed necessary to minimize damage to distal neurovascular structures. Maintain knee hyperflexion during nail insertion to minimize the risk of posterior cortical abutment and iatrogenic fracture. Impact the nail to the final depth using lateral plane fluoroscopy. Interlocking Bolt Insertion In simple transverse fractures, place distal interlocks first to allow for backslapping for interfragmentary compression and gap minimization. Usually, distal interlock bolts are placed medial to lateral. Position the leg in slight extension and stable neutral rotation. 559 Rotate the C-arm to lateral imaging position and pull the tube back away from the medial side of the leg to allow for drill placement. Rotate the leg and C-arm individually and sequentially to create a perfect circle image; optimize this view before drilling attempts ( TECH FIG 11A). After localizing the interlocking hole using a clamp and fluoroscopy, make an incision large enough to place the locking bolt. Use blunt clamp dissection until the cortex is reached. Use a sharp drill point and place the center of the point in the center of the circle. Hold the drill obliquely to the nail axis to simplify repositioning ( TECH FIG 11B). Once the central location is achieved; align hand and drill with imaging axis. Fluoroscopes with laser alignment guides can be helpful to assist with alignment by centering the laser on the skin incision and then placing the laser in the center of the back of the drill when preparing to drill the hole ( TECH FIG 11C). Drill to the midsagittal point in the tibia. Then, disengage the drill from the drill bit and check the fluoroscopic image. If the drill is accurately positioned in the center of the hole, advance the drill bit with power through the far cortex; avoid broaching the far cortex by impacting with a mallet to avoid iatrogenic fracture. Drill the second interlock hole using the same technique but maintaining a parallel axis with the first successful drill passage. Replace the drill with the appropriate depth gauge and check an AP image before screw length selection. Once interlock lengths and position are verified, “backslapping” can occur to optimize compression. Using the slotted mallet attachment on the insertion handle, superiorly directed mallet blows can be used while pressure is applied to the foot in order to compress the fracture site. Fluoroscopy should be used to monitor the amount of compression and the nail position proximally. If backslapping is planned, the nail should be slightly overinserted to avoid nail prominence after compression is performed.
---
### TECH FIG 11 • A. A perfectly rotated lateral fluoroscopic image will appear as a perfect circle and should be achieved before drilling is attempted. B. The drill point must be aligned in the center of the perfect circle before drilling. C. The laser alignment guide can be helpful for localizing the skin incision. Place proximal interlocks through drill guides. Because the tibia is a triangle, oblique views may be used to more accurately judge screw length for transverse locking bolt measurement. If oblique locking bolts are chosen proximally, oblique fluoroscopic views should be used prior to insertion handle removal to avoid placing long screws that are particularly symptomatic on the medial side of the knee and to avoid injury to the peroneal nerve posterolaterally. ### Lateral Parapatellar Tendon Approach After completing the lateral parapatellar approach described, the standard patient positioning is used. The lateral parapatellar approach allows the guide pin to be more easily placed just medial to the lateral tibial spine on the AP view and along the lateral cortex to correct the valgus angulation. If a true AP view is not obtained and the leg is externally rotated, the starting point will be more medial than desired. 4 It is important to get enough knee flexion over the radiolucent triangle or bolster to allow for the guide pin to be placed as proximal as possible and parallel along the anterior tibial cortex to help correct the typical flexion deformity. 20 ### Semiextended Technique The benefit of the semiextended technique is that the leg position helps neutralize the associated flexion deformity. 26 The patient is placed in the semiextended position as described earlier. The open medial parapatellar approach can be used (see TECH FIG 2). Using the previously described surgical approach, the patella is subluxated to allow for guide pin placement, reaming, and nail placement, with the knee remaining in the semiextended position. No special instruments are required. Suprapatellar approach 28 Either the superomedial or direct superior approach is used. Special instrumentation is required; which instrumentation is needed depends on the specific system used. 560 The patella is subluxated using an elongated cannula ( TECH FIG 12A). The cannula is advanced to the standard starting point using fluoroscopy. The guide pin is placed in the standard position (TECH FIG 12B). The typical steps—using the opening drill, placing the guidewire, and reaming—are all completed through the elongated cannula. Standard intramedullary reamers can be used but reamer extensions are helpful, especially in taller patients. Fracture reduction and passing of the guidewire are performed before reaming. A special elongated nail insertion handle is required for nail insertion ( TECH FIG 12C). Proximal locking bolt insertion is done using the aiming arm. Distal locking bolts are placed using the standard freehand technique, as previously described. ### Adjunct Reduction and Fixation Techniques Blocking/Pöller Screws Screws can be placed across the intramedullary canal to create a “false” cortex outside of the isthmus that narrows the potential space for the nail. This aids in both fracture reduction as the nail is being placed and maintenance of the reduction once the nail is seated. 13, 24
--- - TECH FIG 12 • A. Suprapatellar approach: A specially designed cannula is used to subluxate the patella and pass through the patellofemoral joint and is positioned at the appropriate starting point. B. The guide pin is advanced appropriately and the cannula is used for the opening reamer, guidewire placement, and intramedullary reaming—but not nail insertion. Long reamer extensions are helpful for intramedullary reaming.
- C. A specialized, long insertion handle is required for suprapatellar techniques to reach the tibial start site. Locking bolts found in the nailing set or screws made from the same metal as the nail should be used. Blocking screws can either be placed prior to initial nail insertion or, if the nail is inserted and residual deformity exists, the nail can be removed and blocking screws can be inserted. Coronal and sagittal plane correction can be performed by placing a screw at the concavity of the deformity. To correct valgus, the screw is placed laterally ( TECH FIG 13A). To correct lateral plane extension, the screw is placed posteriorly (TECH FIG 13B). The appropriately sized drill bit is placed with fluoroscopic assistance. The appropriately sized screw replaces the drill bit. The guidewire is then inserted and seated distally. Intramedullary reaming is necessary to ensure the nail follows the newly created path. When a screw that blocks the way is encountered, simply push the reamer head past the screw without reaming. This avoids dulling the reamer head and potentially displacing the blocking screw. Once passed the screw, resume reaming. After reaming is complete, insert the intramedullary nail. If the displacement has not been corrected, it will be necessary to remove the nail, and additional screws may be added. Reaming and reinsertion of the guidewire are required before reinserting the nail. Interlocking bolts through the nail are placed in the standard fashion ( TECH FIG 13B,C). 561 ### TECH FIG 13 • A. A blocking screw positioned just lateral to the ideal nail path to prevent valgus deformation.
| ### B. A posterior blocking screw limits proximal fragment extension by limiting the effective anterior to posterior canal diameter. B,C. Lateral and AP fluoroscopic imaging showing oblique and medial to lateral interlocking bolts placed through the nail.
---
PEARLS AND PITFALLS --- | Starting point ▪ The starting point should be at the anterior articular margin and just medial to the lateral tibial spine. Starting too medial and distal for proximal metaphyseal fractures results in a valgus and flexed malunion. Centering ▪ Center the guidewire distally on the AP and lateral views. If not centered, the nail will the guidewire follow the path of the reamer and guidewire, which will malreduce the fracture. Measuring ▪ Measure on the lateral view. Measuring on the AP view will potentially lead to a nail nail length that is too long, with articular prominence causing knee pain or articular surface damage. Femoral ▪ Half-pins can be placed outside of the path of the nail. The best positions are distractor or posterior in the proximal tibia and distally very close to the subchondral bone of the external tibial plafond. Placement of the proximal pin too anteriorly and the distal pin too fixator for proximally may impede reaming and nail insertion. reduction Unicortical ▪ Metadiaphyseal plates contribute to stability and maintenance of reduction and plates for removal can lead to loss of reduction after nail passage. Diaphyseal reduction plates, reduction however, should be removed to prevent rigid fixation of the fracture ga Blocking ▪ Use interlocking bolts from nail instrumentation rather than small fragment screws to | | screws/Pöller avoid screw breakage during nail passage. screws ▪ Do not remove screws because they provide stability and help maintain reduction. 1. Use caution when using a drill bit because it is prone to breakage during nail insertion and removal after nail passage may destabilize the construct. Posterior ▪ Critically evaluate the posterior malleolus in distal diaphyseal and metaphyseal malleolus fractures pre-, intra-, and postoperatively. 2. If a posterior malleolar fracture or articular involvement is missed, ankle subluxation or displacement of the articular surface can occur with weight bearing. |
| --- | --- | --- |
Postoperative Care
Infection Closed fractures: about 1% Open fractures Type I: 5% Type II: 10% Type III: over 15% Condition of the soft tissues is key for risk of infection and for outcome. ## Nonunion Closed fractures: 3% Open fractures: about 15% and may be higher, depending on the soft tissue injury Risk factors Unreamed smaller diameter nails with smaller locking bolts are associated with delayed or nonunion and an increased risk of locking bolt breakage. Closed fractures carry a risk of severe soft tissue injury, that is, internal degloving. Open fractures may be accompanied by severe soft tissue injury. Delayed bone grafting may be warranted for treatment of bone loss. The use of recombinant human bone morphogenetic protein 2 (RhBMP-2) is U.S. Food and Drug Administration (FDA) approved in open tibia fractures. 8 It decreases the nonunion rate by 29% and decreases secondary interventions. BMP-2 combined with allograft for delayed bone grafting procedures in tibia fractures with cortical defects have shown a similar rate of healing to autograft with the benefit of decreased donor site morbidity. 10 Compartment syndrome Fracture pattern—transverse Host factors Tobacco use Medications: bisphosphonates, nonsteroidal antiinflammatory drugs Diabetes mellitus Vascular disease Malnutrition—albumin level lower than 34 g/L and a lymphocyte count below 1500/mm 3 Infection ## Malunion Occurs in up to 37% of all tibial nailing procedures Malunion is seen in as many as 84% of patients with proximal metaphyseal tibia fractures. These can be avoided with proper surgical techniques. ##
Scientific References
- 1. Baumgartner M, Tornetta P, eds. Orthopaedic Knowledge Update: Trauma 3. Rosemont, IL: American Academy of Orthopaedic Surgeons, 2005. 2. Bone LB, Sucato D, Stegemann PM, et al. Displaced isolated fractures of the tibial shaft treated with either a cast or intramedullary nailing. An outcome analysis of matched pairs of patients. J Bone Joint Surg Am 1997;79(9):1336-1341. 3. Bono CM, Sirkin M, Sabatino CT, et al. Neurovascular and tendinous damage with placement of anteroposterior distal locking bolts in the tibia. J Orthop Trauma 2003;17:677-682. 4. Cannada LK, Anglen JO, Archdeacon MT, et al. Avoiding complications in the care of fractures of the tibia. J Bone Joint Surg Am 2008;90(8):1760-1768. 5. Court-Brown CM, Gustilo T, Shaw AD. Knee pain after intramedullary tibial nailing: its incidence, etiology, and outcome. J Orthop Trauma 1997;11:103-105. 6. Court-Brown CM, McBirnie J. The epidemiology of tibial fractures. J Bone Joint Surg Br 1995;77(3):417-421. 7. Digby JM, Holloway GM, Webb JK. A study of function after tibial cast bracing. Injury 1983;14:432-439. 8. Govender S, Csimma C, Genant HK, et al. Recombinant human bone morphogenetic protein-2 for treatment of open tibial fractures: a prospective, controlled, randomized study of four hundred and fifty patients. J Bone Joint Surg Am 2002;84-A:2123-2134. 9. Hooper GJ, Keddell RG, Penny ID. Conservative management or closed nailing for tibial shaft fractures. A randomised prospective trial. J Bone Joint Surg Br 1991;73(1):83-85. 10. Jones AL, Bucholz RW, Bosse MJ, et al. Recombinant human BMP-2 and allograft compared with autogenous bone graft for reconstruction of diaphyseal tibial fractures with cortical defects: a randomized, controlled trial. J Bone Joint Surg Am 2006;88(7):1431-1441. 11. Keating JF, Orfaly R, O'Brien PJ. Knee pain after tibial nailing. J Orthop Trauma 1997;11:10-13. 12. Kettelkamp DB, Hillberry BM, Murrish DE, et al. Degenerative arthritis of the knee secondary to fracture malunion. Clin Orthop Relat Res 1988;(234):159-169. 13. Krettek C, Miclau T, Schandelmaier P, et al. The mechanical effect of blocking screws (“Poller screws”) in stabilizing tibia fractures with short proximal or distal fragments after insertion of small-diameter intramedullary nails. J Orthop Trauma 1999;13:550-553. 14. Kubiak EN, Widmer BJ, Horwitz DS. Extra-articular technique for semiextended tibial nailing. J Orthop Trauma 2010;24(11):704-708. 15. Kyro A, Lamppu M, Bostman O. Intramedullary nailing of tibial shaft fractures. Ann Chir Gynaecol 1995;84:51-61. 16. McKee MD, Schemitsch EH, Waddell JP, et al. A prospective, randomized clinical trial comparing tibial nailing using fracture table traction versus manual traction. J Orthop Trauma 1999;13:463-469. 17. McQueen MM, Christie J, Court-Brown CM. Acute compartment syndrome in tibial diaphyseal fractures. J Bone Joint Surg Br 1996;78(1):95-98. 18. Mills WJ, Barei DP, McNair The value of the ankle-brachial index for diagnosing arterial injury after knee dislocation: a prospective study. J Trauma 2004;56:1261-1265. 19. Milner S, Greenwood D. Degenerative changes at the knee and ankle related to malunion of tibial fractures. J Bone Joint Surg Br 1997;79(4):698. 20. Nork SE, Barei DP, Schildhauer TA, et al. Intramedullary nailing of proximal quarter tibial fractures. J Orthop Trauma 2006;20:523-528. 563 21. Orfaly R, Keating JE, O'Brien PJ. Knee pain after tibial nailing: does the entry point matter? J Bone Joint Surg Br 1995;77(6):976-977. 22. Pun WK, Chow SP, Fang D, et al. A study of function and residual joint stiffness after functional bracing of tibial shaft fractures. Clin Orthop Relat Res 1991;(267):157-163. 23. Puno RM, Teynor JT, Nagano J, et al. Critical analysis of results of treatment of 201 tibial shaft fractures. Clin Orthop Relat Res 1986;(212):113-121. 24. Ricci WM, O'Boyle M, Borrelli J, et al. Fractures of the proximal third of the tibial shaft treated with intramedullary nails and blocking screws. J Orthop Trauma 2001;15:264-270. [View Source / PubMed]
- 25. Schmidt A, Finkemeier CG, Tornetta Treatment of closed tibia fractures. In: Tornetta P, ed. Instructional Course Lectures: Trauma. Rosemont, IL: American Academy of Orthopaedic Surgeons, 2006:215-229. [View Source / PubMed]
You Might Also Like