Odontoid Process Dens Fractures: Understanding Risks & Recovery
Fractures of the Odontoid Process (Dens) A high association exists with other cervical spine fractures. There…
TRAUMA
Fractures of the Odontoid Process (Dens) A high association exists with other cervical spine fractures. There…
SPINAL STABILITY A spinal injury is considered unstable if normal physiologic loads cause further neurologic …
INJURIES TO C3–C7 Vertebral bodies have a superior cortical surface that is concave in the coronal plane and …
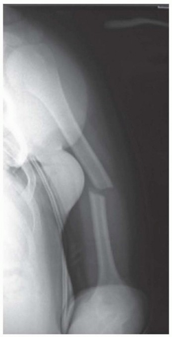
POSTERIOR GLENOHUMERAL DISLOCATION Incidence These injuries represent 2% to 4% of shoulder dislocations and 2…
ORTHOPAEDIC ANALGESIA PHARMACOLOGY: CLASSES OF DRUGS Local anesthetics Vasoconstrictors Opioids Sedatives (be…
BALLISTICS Low velocity (<2,000 ft/sec): This includes all handguns. High velocity (>2,000 ft/sec): This incl…
1. What is a screw and what is the function of a screw? A screw is a mechanical device which converts a rotat…
k DEFINITION A direct approach with the patient in a prone position to the posterior aspect of the tibial pla…
DEFINITION The distal ulna is the fixed point 7 around which the radius and the hand function ( FIG 1A ). Fra…
DEFINITION Humeral shaft fractures, which account for about 3% of adult fractures, usually result from a dire…
DEFINITION Compartment syndrome remains one of the most devastating orthopaedic conditions if not treated app…
DEFINITION Fractures of the proximal humerus can be two, three, or four part according to the Neer classifica…