Mastering Posterior Plateau Fractures via Direct Posterior Approaches
k DEFINITION A direct approach with the patient in a prone position to the posterior aspect of the tibial pla…
TRAUMA
k DEFINITION A direct approach with the patient in a prone position to the posterior aspect of the tibial pla…
DEFINITION A diaphyseal forearm fracture should be treated as a nonunion if there is either no likelihood tha…
DEFINITION Malunion of the radial or ulnar shaft can lead to pain, loss of motion, loss of strength, and inst…
DEFINITION The clavicle is one of the most commonly fractured bones. The site on the clavicle most often frac…
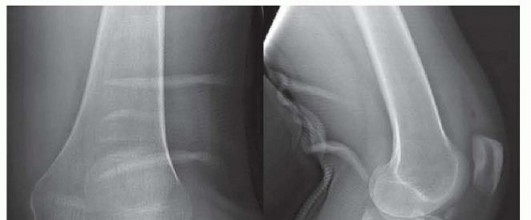
DEFINITION Distal femur fractures are difficult, complex injuries that can result in devastating outcomes. Th…
DEFINITION Fracture of the olecranon process is common, usually displaced, and nearly always treated operativ…
DEFINITION Radial head and neck fractures are the most common elbow fractures in adults representing 33% of e…
DEFINITION The scaphoid is the most commonly fractured carpal bone, accounting for 1 in every 100,000 emergen…
DEFINITION Capitellar fractures are uncommon, accounting for less than 1% of all elbow fractures and 6% of al…
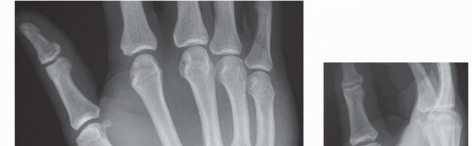
DEFINITION Fractures and dislocations of the carpometacarpal (CMC) joints of the index through small fingers …
DEFINITION This injury was initially reported by Giovanni Monteggia in 1814 as a fracture of the ulna associa…
DEFINITION The patella, the largest sesamoid bone, is an essential component for knee extension (in conjuncti…