Mastering Distal Radius Dorsal Plate Fixation: An Intraoperative Guide

Key Takeaway
Welcome to the OR, fellows. Today, we're tackling a dorsally displaced distal radius fracture with dorsal plate fixation. We'll meticulously review surgical anatomy, patient positioning, and a granular, real-time breakdown of the incision, dissection, reduction, and hardware application. Expect critical insights into neurovascular protection, articular fragment management, and essential pearls to optimize outcomes and avoid common pitfalls.
DEFINITION
Distal radius fractures typically originate in the radial metaphysis and occasionally enter the radiocarpal joint and distal radioulnar joint (DRUJ). These fractures may be stable or unstable, intra-articular or extra-articular, and have significant incidences of associated bony and soft tissue injuries about the wrist. Distal radius fractures are most commonly dorsally displaced or angulated (apex volar). Treatment is based on fracture stability, comminution, articular segment displacement, articular surface displacement, and the functional demand of the patient. Stability is related to initial fracture displacement, residual dorsal angulation after closed reduction, dorsal comminution, age of the patient, and associated distal ulnar fracture and intra-articular fracture extension. 9,
11
## ANATOMY The distal radius has articulations at the scaphoid fossa, lunate fossa, and sigmoid notch. The normal bony anatomy includes volar tilt of 10 degrees, radial height of 11 mm, and radial inclination of 22 degrees. Ulnar variance (the length of the radius relative to the ulnar head at the sigmoid notch) is variable and patient dependent. Dorsal ligamentous structures include the dorsal intercarpal ligament and the dorsal radiocarpal ligament. The dorsal radiocarpal ligament originates from the dorsal lip of the radius and attaches on the ulnar carpus. The dorsal intercarpal ligament represents a capsular thickening on the dorsum of the carpus, of which the fiber alignment is perpendicular to the long axis of the radius. Volar ligamentous origins include the radioscaphocapitate ligament, the long radiolunate ligament, and the short radiolunate ligament, among others. The triangular fibrocartilage complex (TFCC) consists of the triangular fibrocartilage and volar radioulnar and dorsal radioulnar ligaments. The volar radioulnar and dorsal radioulnar ligaments originate from the volar and dorsal edges of the sigmoid notch, respectively, become confluent, and then insert together at the base of the ulnar styloid. The extensor retinaculum lies superficial to the extensor tendons and deep to the subcutaneous tissues. It has septations creating six dorsal compartments ( FIG 1). The first compartment lies over the radial styloid and contains the abductor pollicis longus and the extensor pollicis brevis tendons (each may have multiple slips). The second compartment, containing the extensor carpi radialis longus and extensor carpi radialis brevis, lies radial to the tubercle of Lister. The third compartment, containing the extensor pollicis longus (EPL), lies ulnar to the tubercle of Lister. The fourth compartment, containing the extensor indicis proprius and extensor digitorum communis, lies over the dorsoulnar distal radius. The fifth compartment, containing the extensor digiti minimi, lies over the DRUJ. The sixth compartment, containing the extensor carpi ulnaris, lies over the distal ulna. ## PATHOGENESIS Distal radius fractures typically occur due to a fall on an outstretched hand. Fractures occur when the force of axial loading exceeds the failure strength of cortical and trabecular bone. 14 The fracture pattern is determined by the magnitude and direction of the force applied and the position of the hand during impact. 5, 13 Dorsally displaced or angulated fractures occur when the wrist is neutral or extended and an axially or dorsally directed force is applied to the carpus. Osteoporosis, metabolic bone diseases, and bone tumors increase the risk of fracture. ## NATURAL HISTORY
Distal radius fractures are either stable or unstable.
Satisfactorily positioned stable fractures, when treated nonoperatively, historically have excellent outcomes in terms of range of motion, pain, strength, and function. 1 Nonoperative management consists of immobilization with either a cast or a splint molded to prevent dorsal displacement.
---
### FIG 1 • Anatomy of the distal radius. The six dorsal extensor compartments at the level of the extensor retinaculum.
Displaced, unstable, and comminuted fractures often require operative treatment. The goals of surgical treatment are to provide stability and improve bony alignment in order to achieve pain control, improve range of motion, and increase function. 1, 8 Two millimeter or more of the articular surface displacement of the distal radius leads to degenerative changes in young adults. 8, 12 Ten degrees of dorsal tilt (dorsal fracture angulation of 20 or more degrees) is considered unacceptable and may lead to pain, decreased motion, and grip strength. Postreduction radial shortening of more than 3 degrees is considered unsatisfactory because it results in increase load across the ulnocarpal joints, leading to painful impaction syndrome. 10, 12
## PATIENT HISTORY AND PHYSICAL FINDINGS
A history of trauma is the most common patient presentation, but pathologic fractures may occur with minimal stress or trauma. Patients complain of localized pain and present with swelling, decreased range of motion, and ecchymosis about the fracture. A history of previous fractures in an older patient should alert the physician to the possibility of underlying osteoporosis. The skin should be carefully examined to rule out the presence of an open fracture and to assess swelling before surgery or casting. If the wrist is markedly swollen or if swelling is anticipated, casting should be delayed and a splint should be placed. Neurologic symptoms in the form of numbness, tingling, and radiating pain into the digits should alert the physician to the possibility of acute carpal tunnel syndrome (which is considered a surgical emergency). Careful neurologic assessments should be performed to rule out the presence of a progressive neurologic deficit. If acute carpal tunnel syndrome is suspected, then immediate examination should include the following: Remove splints and dressings to visualize all areas of skin. Palpate for areas of tenderness or deformity. Palpate anatomic snuffbox. Visualize and palpate the elbow for swelling, ecchymosis, tenderness, crepitus, and deformity.
---
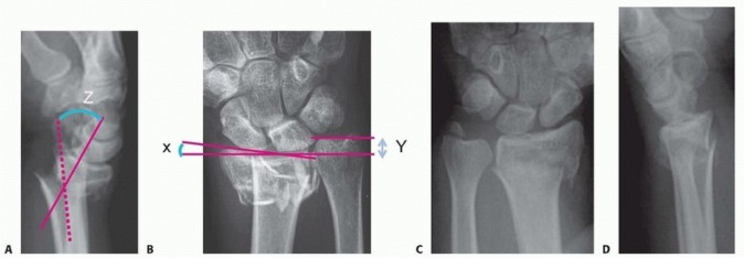
### FIG 2 • A. PA radiograph demonstrating radial inclination
(black lines)
, ulnar variance
(red)
, and radial height
(white bracket)
. B. Lateral radiograph of the wrist demonstrating volar tilt
(black lines)
. Visualize and palpate the hand and fingers for swelling, ecchymosis, tenderness, crepitus, and deformity. Use two-point tool or paper clip bent to 5 mm and touch radial and ulnar aspects of all fingers with one or two points. Greater than normal (5 mm) two-point testing in the form of progressive neurologic deficit may signify an acute or chronic carpal tunnel syndrome.
## IMAGING AND OTHER DIAGNOSTIC STUDIES
Posteroanterior (PA), lateral, and oblique radiographic views are critical in evaluating all suspected distal radius fractures. Consider imaging the uninjured wrist for comparison and to serve as a template for surgical reconstruction. Radiographs of the elbow should be obtained in almost all cases, especially if any tenderness, swelling, or deformity is detected clinically. Radiographic measurements taken from the PA view ( FIG 2A) include the following14, 24: Radial inclination, which is the angle between a line perpendicular to the shaft of the radius at the articular margin and a line along the radial articular margin Normal angle: 21 degrees Radial length, which is the distance from a line tangential to the ulnar articular margin to a line drawn perpendicular to the long axis of the radius at the radial styloid tip Normal length 4: 9 to 11 mm Ulnar variance, which is the distance from a line perpendicular to the long axis of the radius at the sigmoid notch and a line tangential to the ulnar articular surface Normal length 4: 0 mm Lateral articular (volar) tilt is the angle between a line for the articular surface of the radius and a perpendicular line to the long axis of the radius. Normal angle: 11 degrees volar tilt ( FIG 2B)4, 14, 24 Computed tomography (CT) scans can fully elucidate the anatomy of the fracture, particularly articular disruption or incongruity. They also help to determine the necessary surgical approach by defining the location and extent of comminution. CT scans increase the interobserver reliability of treatment plans and may actually alter the initial treatment plan based on plain radiographs. 7
Axial views provide a clear view of the DRUJ, which aids to identify subluxation, dislocation, bony fragments, and radioulnar ligament avulsions. 19 Magnetic resonance imaging (MRI) is used in cases when the presence of a fracture is uncertain. 19 MRI can be useful in evaluating for concomitant ligamentous injuries, TFCC injuries, stress fractures, and occult carpal fractures.
## DIFFERENTIAL DIAGNOSIS
Bony contusion Wrist dislocation Scaphoid or other carpal fracture Carpal instability or dislocation Distal ulnar fracture Wrist ligament or TFCC sprain or tear
## NONOPERATIVE MANAGEMENT
Closed reduction can be performed in the emergency department (after hematoma block with 1% plain lidocaine) with longitudinal axial traction followed by volar displacement of the carpus. A bivalved, short-arm, well-molded cast or sugar-tong splint should be applied. It is appropriate to offer patients the option of reduction under intravenous (IV) sedation or general anesthesia. Casting is the most commonly used method to definitively treat distal radius fractures and is preferred for nondisplaced or minimally displaced fractures and those that are stable after a reduction maneuver (ie, restored volar tilt with minimal dorsal comminution). A precise three-point mold is required to maintain fracture reduction. Removable splinting can be considered when treating completely nondisplaced stable fractures in young adults. If nonoperative treatment is chosen, repeat radiographs should be taken on a weekly basis for the first 3 weeks to ensure that the reduction is maintained. The physician should have a low threshold for changing the cast. Any sign of dorsal migration indicates instability, and operative stabilization should be considered. Finger range of motion is begun immediately, and wrist range of motion can be started as the fracture heals and is managed in a removable splint.
---
FIG 3 • A. PA radiograph (A) and lateral radiograph (B) of a healed distal radius fracture fixed with an intramedullary plate. C,D. PA and lateral radiographs showing an unstable metaphyseal distal radius fracture. (C,D: Copyright Thomas R. Hunt III, MD.)
*
SURGICAL MANAGEMENT Open reduction and internal fixation with a dorsal plate can be used successfully in the treatment of displaced, unstable, comminuted fractures of the distal radius that fail to respond to closed treatment. Dorsal plating buttresses the fracture to correct deformity and maintain fracture reduction. New intramedullary implants have been designed to alleviate some of the complications associated with traditional dorsal plates and allow a less invasive option for fixation of dorsally displaced fractures ( FIG 3A,B). Indications for plating include the following: Severe initial dorsal displacement ( >20 degrees from normal, ≥10 degrees dorsal tilt)10 Marked dorsal comminution (≥50% of the diameter of the radius shaft on the lateral radiograph) Residual (after reduction) dorsal tilt greater than 10 degrees past neutral Postreduction greater than 3 mm of radius shortening 10 Dorsal intra-articular fragment displacement or step-off of more than 2 mm 10 Stabilization using an intramedullary device is indicated for distal radius fractures without extensive articular involvement in which a limited incision and shorter procedure are desired (see TECH FIG 4E).3 Comminution of the volar metaphysis is a relative contraindication for the use of a dorsal intramedullary implant. Intramedullary fixation should not be used to treat marginal or sagittal shear-type intra-articular fractures or displaced fragments from intra-articular fractures. 3, 15 The surgeon should be prepared to change management intraoperatively and therefore, in advance of the procedure, must have additional stabilization options available such as percutaneous pins or an external fixator. ## Preoperative Planning All radiographic imaging must be reviewed before surgery. It is helpful to compare radiographs of the injured wrist to the uninjured wrist. Displaced intra-articular fragments must be identified and consideration given to the value of obtaining CT. Dorsal comminution must be evaluated to determine fracture stability and the need for bone grafting. The distal extent of the fracture must be determined to enable the buttress plate to function properly. Bone should be evaluated for osteopenia, osteoporosis, and tumors. ## Positioning The patient is placed supine on a regular operating table. A tourniquet is placed near the axilla with the splint in place. After anesthesia has been administered, the arm is placed on a radiolucent hand table ( FIG 4). Motion of the shoulder and elbow should be adequate to allow adequate reduction and positioning. Image intensification using fluoroscopy should be performed throughout the procedure to assess fracture reduction and the position of the hardware.
Approach The dorsal approach to the distal radius through the third dorsal compartment with subperiosteal elevation of the adjacent compartments provides the exposure needed to place a dorsal plate while protecting the extensor tendons from the potential abrasive effects of the plate and screws, therefore minimizing the risks of tendon adhesions, tenosynovitis, and tendon rupture. The approach used to place an intramedullary device depends on the nature of the implant and the location and extent of the fracture. Dorsal intramedullary implants are placed through a limited dorsal approach through the third extensor compartment. Radial intramedullary implants are placed through a small radial incision with careful protection of the radial sensory nerve.
---
### FIG 4 • Patient is positioned supine with arm on a hand table and tourniquet applied on proximal arm.
TECHNIQUES
-
Dorsal Plate Fixation of Distal Radius Fractures Incision and Dissection The skin incision is centered over the tubercle of Lister ( TECH FIG 1A). The subcutaneous tissues are dissected down to extensor retinaculum, with care to preserve any sensory nerve branches while obtaining hemostasis with bipolar electrocautery ( TECH FIG 1B). The extensor retinaculum is incised just ulnar to the tubercle of Lister, exposing the EPL tendon ( TECH FIG 1C). TECH FIG 1 • A. Skin incision is drawn in relation to the tubercle of Lister. B. Skin incision is carried down to extensor retinaculum. Tubercle of Lister and retinacular incision are drawn. C. The retinaculum is incised and the EPL tendon is exposed. Hematoma has already been evacuated. (continued) The hematoma is evacuated and the EPL tendon is freed proximally and distally by incising the septa of
---
the third compartment ( TECH FIG 1D). The EPL tendon can then be removed from the third compartment and protected for the rest of the surgical procedure. The extensor compartments are subperiosteally elevated using a scalpel in radial and ulnar directions in order to expose the dorsal cortex of the distal radius ( TECH FIG 1E,F). If properly maintained, the periosteum of the extensor compartments can be repaired after placement of the fixation device and will serve as a barrier between the dorsal plate and the extensor tendons.
---
TECH FIG 1 •
(continued)
D. Exposing EPL by incising the septa of the third dorsal compartment. E. Subperiosteal elevation of the second and fourth dorsal compartments. F. Diagram demonstrating the transposition of EPL and dissection deep to the extensor compartments. G. Removal of tubercle of Lister. H. Exposing the radial shaft with a periosteal elevator. The tubercle of Lister is almost always involved in the fracture and should be completely removed using a rongeur ( TECH FIG 1G). The radius shaft is exposed with a periosteal elevator ( TECH FIG 1H). Reduction and Plate Fixation Reduction is obtained and confirmed using axial traction and palmar translation of the hand ( TECH FIG 2A). If reduction of articular fragments is needed, the radial portion of the origin of the dorsal radiocarpal ligament can be elevated sharply off the radius, allowing direct visualization of the articular surfaces. Kirschner wires can be used for temporary fixation.
---
TECH FIG 2 • A. Reduction maneuver. The distal radius is reduced over a bump of towels using traction and palmar displacement of the carpus. B. Plate placement. The plate is placed deep to the EPL and aligned distally over the distal radius. C,D. Reduction imaging. C. PA fluoroscopic view demonstrating final reduction with well-aligned plate. D. Lateral fluoroscopic view demonstrating final reduction with appropriate-length screws and good distal buttressing of the fracture. Volar tilt has been restored. Bone graft is inserted to support reduced articular fragments and then the dorsal plate is applied directly on the radius ( TECH FIG 2B). The plate is first secured with a bicortical screw inserted through the oval sliding hole. Fracture reduction and placement of the plate are confirmed using fluoroscopy. The plate is secured to the distal fragment with one or two cancellous screws. Depending on the implant used, the surgeon should avoid placing the distal ulnar screw through the plate as the prominence of the screw head may irritate the overlying digital extensor tendons in the fourth dorsal compartment.
Additional cortical screws are added in the radius shaft. Reduction and stability are confirmed ( TECH FIG 2C,D). Wound Closure The wound must always be copiously irrigated. The retinaculum is closed deep to the transposed EPL tendon, incorporating the periosteal layer that forms the floor of the extensor compartments ( TECH FIG 3A). The skin is closed with nylon suture ( TECH FIG 3B). Finally, a short-arm volar splint is applied over a sterile dressing. Care should be taken to extend the splint to, but not across the distal transverse palmar flexion crease, in order to reduce the risk of postoperative intrinsic muscle and finger joint contractures.
---
TECH FIG 3 • A. Retinacular closure. The extensor retinaculum is closed deep to the EPL with a nonabsorbable suture. B. Skin closure. The skin is closed with a horizontal mattress stitch to evert the skin edges.
1. ##
Fixation of Distal Radius Fractures using a Dorsal Intramedullary Device (Tornier) The fracture is exposed using a limited version of the incision detailed for placement of a dorsal plate ( TECH FIG 4A). The extensor retinaculum is incised just ulnar to the tubercle of Lister, exposing the EPL tendon. The EPL tendon is freed proximally and distally by incising the septum of the third dorsal compartment. The EPL tendon should then be transposed and protected for the rest of the surgical procedure. A scalpel is used to subperiosteally elevate the fourth and portions of the second extensor compartment in radial and ulnar directions. The dorsal cortex of the distal radius is exposed and room is created for seating of the extramedullary portion of the device.
---
TECH FIG 4 • A. A 2.5-cm dorsal incision is used for exposure. B. The awl is inserted through the fracture site after removal of the tubercle of Lister.
(continued)
The tubercle of Lister is removed, and an awl is used to create an entry point in the dorsal cortex ( TECH FIG 4B). This usually involves a portion of the fracture line. The canal is rasped until the rasp may be fully seated ( TECH FIG 4C). The implant is placed using the insertion device to control rotation ( TECH FIG 4D). Typically, the fracture reduces as the device is inserted and seated due to the buttress effect and three-point fixation of the implant within the canal. Lag screws are inserted as required, followed by a cover lock to create fixed-angle stability. Reduction and stabilization are confirmed radiographically ( TECH FIG 4E,F). Wound closure and splinting are as described earlier.
---
TECH FIG 4 •
(continued)
C. A rasp is used to create a path for the implant. D. The implant is placed using the insertion device so as to control rotation during seating. E,F. An unstable metaphyseal distal radius fracture has been reduced and stabilized using a dorsal intramedullary device (Tornier Corp). (E,F: Copyright Thomas R. Hunt III, MD.)
2. ##
Fixation of Distal Radius Fractures using a Radial Intramedullary Device (Wright Medical) A 2- to 3-cm incision is made over the radial styloid between the first and second extensor compartments. Care is taken to protect branches of the radial sensory nerve. A cannulated drill is used to penetrate the cortex 2 to 3 mm proximal to the radiocarpal joint line to create the entry point. After insertion of a starter awl, the canal is broached sequentially under fluoroscopic guidance to fit the medullary canal. The implant is then inserted with the insertion jig, making sure the implant is countersunk into the radial styloid. The proximal interlocking screws are then placed using the insertion jig, using small incisions of the dorsal aspect of the forearm. The distal interlocking screws are placed last using the insertion jig. Small adjustments to radial height and tilt can be made at this time. Reduction and stabilization are confirmed radiographically. Wound closure and splinting are as described earlier.
## PEARLS AND PITFALLS
Indications
1.
Determine the direction of fracture stability.
2.
Determine the area and extent of comminution.
3.
Ensure that an acute carpal tunnel syndrome does not exist. Surgical approach
1.
Incise the extensor retinaculum sharply to allow easier repair.
2.
Expose only the third dorsal compartment.
3.
Remove the tubercle of Lister to allow better plate contouring. Hardware choice and placement
1.
Choose a low-profile implant system that offers the flexibility needed to stabilize the fracture.
2.
Place the plate distally to ensure buttress effect.
3.
Place the oval plate hole screw initially.
4.
Do not place the plate distal to the dorsal lip of the distal radius.
5.
Avoid placing the distal ulnar screw.
6.
Although titanium implants and their particulate debris have been implicated in the development of tenosynovitis and other tendon pathology, there is no clear scientific evidence to substantiate these claims. Postoperative ▪ Avoid casting for long periods. management ▪ Encourage early active range of motion of the wrist and fingers.
1.
Avoid using a sling to prevent unnecessary shoulder and elbow stiffness.
2.
Do not begin strengthening until range of motion is restored.
##
POSTOPERATIVE CARE
Postoperatively, the patient is placed in a bulky dressing that allows motion of the digits, elbow, and shoulder. A volar resting splint may be used to support the wrist if there is any concern about fixation strength. The patient is encouraged to begin finger range-of-motion exercises immediately after surgery. Seven to 10 days after surgery, the sutures are removed, Steri-Strips are applied, and the incision is allowed to get wet. The patient is evaluated by an occupational therapist, who provides a thermoplastic splint, and can start active and active-assisted range-of-motion exercises depending on fracture stability. When the fracture heals at about 6 weeks, gentle passive range of motion and strengthening may be started. There is evidence that vitamin C 500 mg/day for 50 days after distal radius fracture may have a preventative effect on complex regional pain syndrome. 27 ## OUTCOMES Dorsal plating has recently been shown biomechanically to be stronger and stiffer than volar plating for dorsally unstable fractures. 23 Dorsal plating has been associated with a higher complication rate than other means of stabilization. 2, 14, 18 Extensor tenosynovitis and tendon rupture have been prevalent in the past, mainly due to bulky implants. There has been renewed interest in dorsal plating of the distal radius as it has been shown to have a low rate of tendonrelated complications with the use of low-profile, anatomic implants. 6, 18, 20 Recent studies show no statistically significant difference between dorsal or volar fixation in the overall risk of complications. 16, 25, 26 Volar locking plates are associated with a higher rate of neuropathic complications than dorsal low-profile plates. 26 It has been reported that after a 1-year follow up, there was a 21% complication rate with volar plates and a 14% complication rate with dorsal plates. 26 Clinical reports have suggested that low-profile systems are more important in satisfactory outcomes for dorsal plating, with a much lower rate of complications. 18, 26 Fixation with low-profile dorsal plates can result in at least 80% of contralateral wrist range of motion, about 80% to 90% of grip strength, and over 90% pinch strength, with minimal risk of tendon rupture. 6, 20 Present studies show that intramedullary implants offer stable fixation 15, 17, 22: The mean grip strength and wrist motion were about 76% after 3 months and 91% after 1 year. 15 This stability indicates early usage of the injured wrist which helps avoid muscle stiffness and atrophy. 22 It has been demonstrated that intramedullary implants have less complications than plate fixation15, 17, 21: There are fewer soft tissue complications because the implant does not have contact with surrounding tissues because the device is entirely within the medullary canal. 15, 17, 21 Intramedullary fixation does not devascularize the fracture fragments and therefore does not need a section of periosteum to surround the fracture. 22 ## COMPLICATIONS Infection (pin tract or deep) Injury to tendons, vessels, and nerves Stiffness Posttraumatic arthritis Weakness in grip or pinch Tenosynovitis and tendon ruptures Malunion or nonunion Compartment syndrome Carpal tunnel syndrome Late tendon rupture, potentially related to implant design and material Hardware failure Complex regional pain syndrome type I TFCC injuries Radial shortening DRUJ instability Loss of reduction Loss of motion ## DISCLOSURE Dr. Beredjiklian owns shares of stock on Tornier, Inc. ##
Scientific References
- 1. Glowacki KA, Weiss AP, Akelman E. Distal radius fractures: concepts and complications. Orthopedics 1996;19:601-608.** 2. **Grewal R, Perey B, Wilmink M, et al. A randomized prospective study on the treatment of intra-articular distal radius fractures: open reduction and internal fixation with dorsal plating versus mini open reduction, percutaneous fixation, and external fixation. J Hand Surg Am 2005;30(4):764-772. [View Source / PubMed]
- 3. Ilyas AM. Intramedullary fixation of distal radius fractures. J Hand Surg Am 2009;34(2):341-346. 4. Ipaktchi K, Livermore M, Lyons C, et al. Current concepts in the treatment of distal radial fractures. Orthopedics 2013;36:778-784. 5. Jupiter JB, Fernandez DL. Comparative classification for fractures of the distal end of the radius. J Hand Surg Am 1997;22(4):563-571. 6. Kamath AF, Zurakowski D, Day CS. Low-profile dorsal plating for dorsally angulated distal radius fractures: an outcomes study. J Hand Surg Am 2006;31(7):1061-1067. 7. Katz MA, Beredjiklian PK, Bozentka DJ, et al. Computed tomography scanning of intra-articular distal radius fractures: does it influence treatment? J Hand Surg Am 2001;26(3):415-421. 8. Knirk JL, Jupiter JB. Intra-articular fractures of the distal end of the radius in young adults. J Bone Joint Surg Am 1986;68(5):647-659. 9. Lafontaine M, Hardy D, Delince P. Stability assessment of distal radial fractures. Injury 1989;20:208-210. 10. Lichtman DM, Bindra RR, Boyer MI, et al. Treatment of distal radius fractures. J Am Acad Orthop Surg 2010;18:180-189. 11. Mackenney PJ, McQueen MM, Elton R. Prediction of instability in distal radial fractures. J Bone Joint Surg Am 2006;88(9):1944-1951. 12. Meyer C, Chang J, Stern P, et al. Complications of distal radial and scaphoid fracture treatment. J Bone Joint Surg Am 2013;95(16):1517-1526. 13. Murray J, Gross L. Treatment of distal radius fractures. J Am Acad Orthop Surg 2013;21:502-505. 14. Nana AD, Joshi A, Lichtman DM. Plating of the distal radius. J Am Acad Orthop Surg 2005;13:159-171. 15. Nishiwaki M, Tazaki K, Shimizu H, et al. Prospective study of distal radial fractures treated with an intramedullary nail. J Bone Joint Surg Am 2011;93(15):1436-1441. 16. Rausch S, Schlonski O, Klos K, et al. Volar versus dorsal latest-generation variable-angle locking plates for the fixation of AO type 23C 2.1 distal radius fractures: a biomechanical study in cadavers. Injury 2013;44:523-526. 17. Rhee PC, Shin AY. Minimally invasive flexible insertion and rigid intramedullary nail fixation for distal radius fractures. Tech Hand Up Extrem Surg 2012;16:159-165. 18. Rozental TD, Beredjiklian PK, Bozentka DJ. Functional outcome and complications following two types of dorsal plating for fractures of the distal part of the radius. J Bone Joint Surg Am 2003;85-A(10):1956-1960. 19. Schneppendahl J, Windolf J, Kaufmann RA. Distal radius fractures: current concepts. J Hand Surg Am 2012;37:1718-1725. 20. Simic PM, Robison J, Gardner MJ, et al. Treatment of distal radius fractures with a low-profile dorsal plating system: an outcomes assessment. J Hand Surg Am 2006;31(3):382-386. 21. Tan V, Bratchenko W, Nourbakhsh A, et al. Comparative analysis of intramedullary nail fixation versus casting for treatment of distal radius fractures. J Hand Surg Am 2012;37(3):460-468. 22. Tan V, Capo J, Warburton M. Distal radius fracture fixation with an intramedullary nail. Tech Hand Up Extrem Surg 2005;9:195-201. 23. Trease C, McIff T, Toby EB. Locking versus nonlocking T-plates for dorsal and volar fixation of dorsally comminuted distal radius fractures: a biomechanical study. J Hand Surg Am 2005;30(4):756-763. 24. Trumble TE, Culp RW, Hanel DP, et al. Intra-articular fractures of the distal aspect of the radius. Instr Course Lect 1999;48:465-480. 25. Wei J, Yang TB, Luo W, et al. Complications following dorsal versus volar plate fixation of distal radius fracture: a meta-analysis. J of Int Med Res 2013;41:265-275. 26. Yu YR, Makhni MC, Tabrizi S, et al. Complications of low-profile dorsal versus volar locking plates in the distal radius: a comparative study. J Hand Surg Am 2011;36(7):1135-1141. [View Source / PubMed]
- 27. Zollinger PE, Tuinebreijer WE, Breederveld RS, et al. Can vitamin C prevent complex regional pain syndrome in patients with wrist fractures? A randomized, controlled, multicenter dose-response study. J Bone Joint Surg Am 2007;89(7):1424-1431. [View Source / PubMed]
You Might Also Like