Emergency Case Knee Injuries: What's Your Next Critical Step?
A 43-year-old male presents to the emergency department after falling approximately 15 ft while trimming tree…
Orthopedic Teaching Cases
A 43-year-old male presents to the emergency department after falling approximately 15 ft while trimming tree…
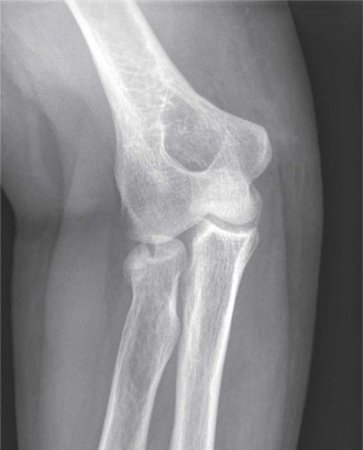
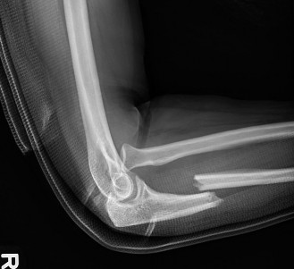
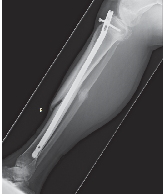
A 36-year-old, right-hand-dominant male presents to the emergency department with right arm and elbow pain af…
KS A 28-year-old man is brought to the emergency department after falling from a high wall late in the evenin…
A 20-year-old, male, college football player tackled a fellow teammate in practice and had subsequent pain an…
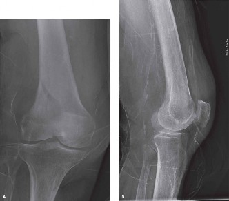
A 64-year-old patient with rheumatoid arthritis and seizure disorder presents to you for evaluation of a pain…
What are the indications for the anterior (brachialis splitting) approach to the humerus? The main indication…
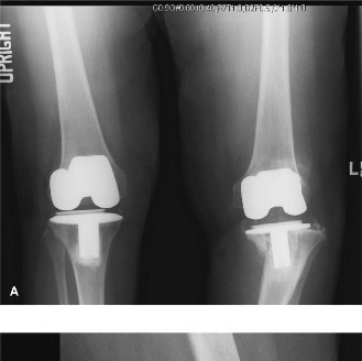
A 65-year-old female presents with a painful, left total knee replacement that was performed 7 years ago. The…
A 55-year-old man is involved in a high-speed motorcycle crash. Upon presentation to a level 3 trauma center,…
You are called to the emergency department to evaluate the right arm of a 26-year-old female who fell approxi…
A 30-year-old male presents to your local trauma center following a motor vehicle collision. On arrival to th…
A 23-year-old rancher presents to the emergency department after being trampled by a bull. He complains of se…
s 1 year down the line following an open fracture of the tibia treated with an intramedullary nail. 1. Descri…