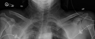
Sternoclavicular Joint Dislocations: Spot the Hidden Dangers
A 20-year-old, male, college football player tackled a fellow teammate in practice and had subsequent pain an…
Orthopedic Teaching Cases
A 20-year-old, male, college football player tackled a fellow teammate in practice and had subsequent pain an…
s 1 year down the line following an open fracture of the tibia treated with an intramedullary nail. 1. Descri…
A 48-year-old female patient presents with anterior left knee pain. She has had a history of recurrent patell…
A 65-year-old male presents to the trauma bay with Young–Burgess APC type II pelvic ring injury. This specifi…
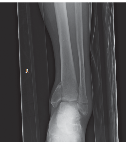
Can you describe the radiograph? This is an AP and lateral radiograph of the left ankle. It shows a bimalleol…
A 29-year-old woman arrives to the emergency department after jumping from the second story of a burning buil…
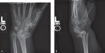
A 67-year-old, left-hand-dominant, retired female sustained a left distal radius fracture when she tripped in…
A 55-year-old man is involved in a high-speed motorcycle crash. Upon presentation to a level 3 trauma center,…
A 25-year-old, right-hand-dominant male presents to clinic complaining of right shoulder pain which started 1…
A 24-year-old male presents following a motor vehicle collision. His primary complaint is of lower back pain.…
A 43-year-old male presents to the emergency department after falling approximately 15 ft while trimming tree…
A 65-year-old female presents with a painful, left total knee replacement that was performed 7 years ago. The…