Critical ATLS: Mastering the Major Haemorrhage Protocol
All polytrauma patients and trauma patients with high-energy injuries should be assessed according to advance…
Orthopedic Teaching Cases
All polytrauma patients and trauma patients with high-energy injuries should be assessed according to advance…
1. Describe what you see and your initial management in the emergency department. This is a clinical photogra…
A 28-year-old man is brought to the emergency department after a road traffic accident in which the car he wa…
What are the indications for the posterolateral approach to the ankle? This approach is generally used for pi…
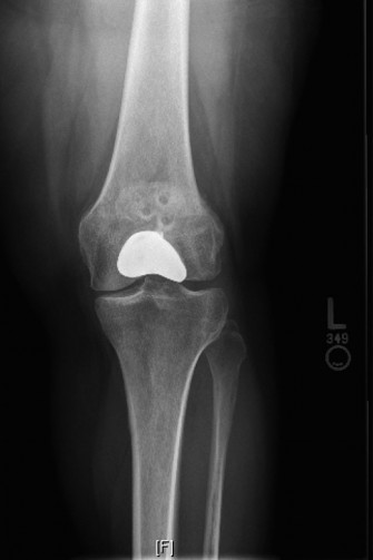
A 48-year-old female patient presents with anterior left knee pain. She has had a history of recurrent patell…
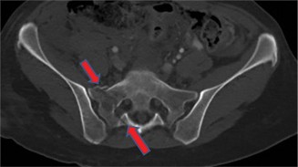
A 24-year-old male presents following a motor vehicle collision. His primary complaint is of lower back pain.…
A 54-year-old, right-hand-dominant, high school principal presents to the emergency department with severe le…
What are the indications for the anterolateral approach to the humerus? The main indication is for the ORIF o…
A 29-year-old woman arrives to the emergency department after jumping from the second story of a burning buil…
A 16-year-old male is brought to the emergency department after a reported gunshot injury. He has a wound to …
A 43-year-old male presents to the emergency department after falling approximately 15 ft while trimming tree…
A 36-year-old, right-hand-dominant male presents to the emergency department with right arm and elbow pain af…