Distal Tarsal Tunnel Release for Recalcitrant Plantar Fasciitis
DEFINITION Chronic plantar fasciitis with distal tarsal tunnel syndrome is an underrecognized disorder in whi…
Foot and Ankle
DEFINITION Chronic plantar fasciitis with distal tarsal tunnel syndrome is an underrecognized disorder in whi…
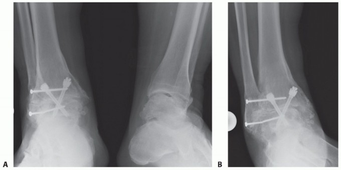
DEFINITION A surgical procedure in which the ankle and the subtalar joint are arthrodesed simultaneously ANAT…
DEFINITION Subluxation or dislocation of the peroneal tendon is a relatively uncommon injury, with the majori…
DEFINITION The procedure to fuse the tibiotalar joint for isolated endstage tibiotalar arthrosis ANATOMY Ankl…
DEFINITION Peroneal tendon subluxation or dislocation from the retrofibular groove is a rare cause of ankle p…
DEFINITION Insertional Achilles tendinopathy is posterior heel pain at the insertion of the Achilles tendon. …
DEFINITION Arthroscopy of the ankle has become an invaluable tool for evaluating and treating pathology in th…
DEFINITION Shortening of the first metatarsal may occur after first metatarsal osteotomies for hallux valgus …
DEFINITION The plantar plate is a fibrocartilaginous structure that provides metatarsophalangeal (MTP) joint …
DEFINITION A hammer toe deformity is defined by a flexion deformity of the proximal interphalangeal (PIP) joi…
BACKGROUND Varus or valgus angulation of the lesser toes can result in significant pain and disability and ca…
DEFINITION The Roto-Glide (Implants International, Cleveland, United Kingdom; distributed by Intercus, Bad Bl…