Morton Neuroma: Treating Pain in the Common Digital Nerve
DEFINITION Morton neuroma was first described in 1845 by Lewis Durlacher, a chiropodist to the Queen of Engla…
Foot and Ankle
DEFINITION Morton neuroma was first described in 1845 by Lewis Durlacher, a chiropodist to the Queen of Engla…
DEFINITION An accessory navicular is an osseous abnormality that is caused by a secondary ossification center…
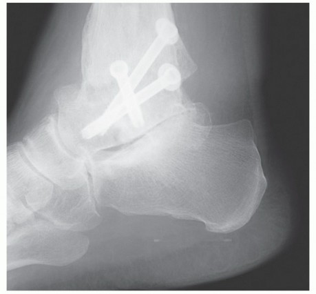
DEFINITION Triple arthrodesis is a procedure performed to restore and maintain physiologic hindfoot alignment…
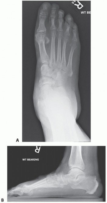
DEFINITION Charcot foot arthropathy is an inflammatory disease process that primarily affects the foot and an…
DEFINITION An isolated subtalar arthrodesis can be used in the treatment of a myriad of different hindfoot co…
DEFINITION The first reports of a distal metatarsal osteotomy date back to Reverdin, who described in 1881 a …
DEFINITION Forefoot varus is a component of the multiplanar pes planovalgus deformity that occurs as a result…
SURGICAL MANAGEMENT The primary indication for an Akin osteotomy is hallux valgus interphalangeus or in cases…
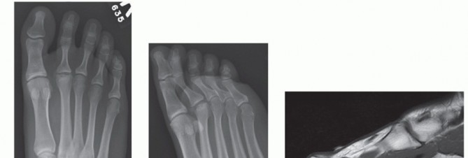
DEFINITION Freiberg infraction is an osteochondrosis of a lesser metatarsal head, most commonly involving the…
DEFINITION Symptomatic hallux valgus associated with a first intermetatarsal angle greater than 15 degrees is…
DEFINITION The term hallux rigidus refers to a painful condition of the first metatarsophalangeal (MTP) joint…
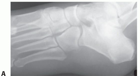
DEFINITION A tarsal coalition is an abnormal fusion between two adjacent tarsal bones. Less than 2% of the ge…