Sesamoidectomy: Your Guide to Hallux MTP Joint Pain Relief
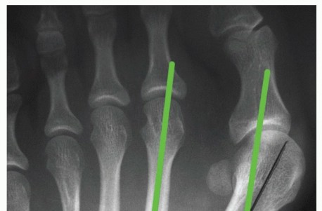
DEFINITION Sesamoiditis is a general term that indicates an injury to the sesamoid bone. There are multiple p…
Foot and Ankle
DEFINITION Sesamoiditis is a general term that indicates an injury to the sesamoid bone. There are multiple p…
DEFINITION Hammer toe deformity is one of the most common lesser toe disorders. Its severity can range the ga…
DEFINITION This is a procedure to definitively treat midfoot arthrosis with or without deformity. ANATOMY Mid…
DEFINITION Arthrosis of the first metatarsophalangeal (MTP) joint is commonly seen in osteoarthritis (hallux …
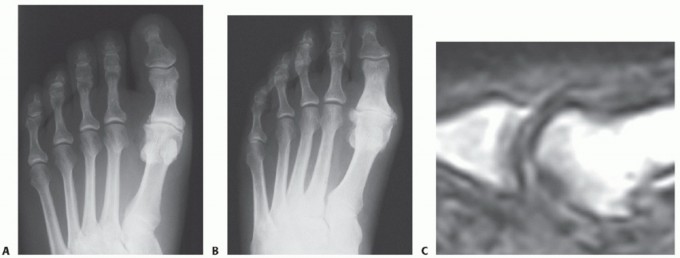
DEFINITION Hallux valgus is a common condition that can affect both adults and adolescents.2,7 Patients compl…
SURGICAL MANAGEMENT Roger A. Mann Jeffrey A. Mann The distal soft tissue procedure and proximal metatarsal os…
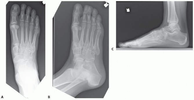
DEFINITION A calcaneal malunion refers to residual bony malalignment and associated clinical sequelae resulti…
DEFINITION Hallux rigidus, osteoarthrosis of the first metatarsophalangeal (MTP) joint, was first described b…
DEFINITION The distal chevron osteotomy has proven to be a reliable, reproducible method of bunion repair for…
DEFINITION Recurrent hallux valgus is a partial or complete return of valgus deformity at the first metatarso…
DEFINITION Hallux valgus is a deformity of the forefoot characterized by progressive lateral subluxation of t…
SURGICAL MANAGEMENT The primary indication for a proximal closing wedge osteotomy is a symptomatic hallux val…