Proximal Chevron Osteotomy: Enhanced Stability with Plate Fixation
DEFINITION Correction of major bunion deformities through the proximal portion of the first metatarsal is wid…
Foot and Ankle
DEFINITION Correction of major bunion deformities through the proximal portion of the first metatarsal is wid…
DEFINITION Rheumatoid arthritis is an inflammatory condition of synovial joints that usually presents as a sy…
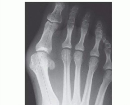
DEFINITION Hallux valgus is a static subluxation of the first metatarsophalangeal (MTP) joint with medial dev…
DEFINITION Posterior tibial tendon deficiency is a common pathologic foot and ankle deformity encountered by …
DEFINITION Disorders of the first ray are a common cause of foot and ankle problems. Arthrodesis of the hallu…
DEFINITION A bunionette deformity is a painful prominence on the lateral aspect of the fifth metatarsal head.…
DEFINITION Hallux rigidus is an arthritic condition of the first metatarsophalangeal (MTP) joint. It is the m…
DEFINITION The posterior tibial tendon undergoes tearing and degeneration, and as it fails, the foot falls in…
DEFINITION The plantar plate is a fibrocartilaginous structure that provides metatarsophalangeal (MTP) joint …