Beyond Amputation: Circular Fixation for Infection of the Talus
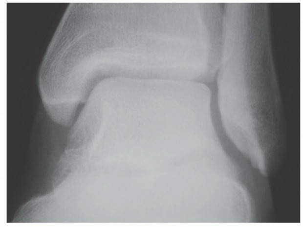
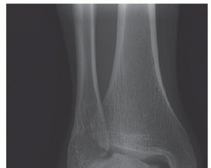
DEFINITION Talus fractures are high-energy fractures that can have traumatic bone loss, avascular necrosis (A…
Foot and Ankle
DEFINITION Talus fractures are high-energy fractures that can have traumatic bone loss, avascular necrosis (A…
DEFINITION Lateral ligament injuries of the ankle are treated conservatively with good results in most cases.…
DEFINITION Osteochondral lesion of the talus (OLT) may cause significant pain and mechanical symptoms in the …
DEFINITION The INBONE II (Wright Medical Technology, Memphis, TN) total ankle system, like other total ankle …
SURGICAL MANAGEMENT Preoperative Planning Imaging studies are reviewed. Physical examination should be done t…
DEFINITION The term osteochondral lesion of the talus (OLT) refers to any pathology of the talar articular ca…
DEFINITION The HINTEGRA Total Ankle Prosthesis (Integra LifeSciences Corp., Plainsboro, NJ) is an unconstrain…
DEFINITION The subtalar joint is a complex and functionally important joint of the lower extremity. It plays …
DEFINITION Arthritis of the ankle can evolve from multiple causes, including, but not limited to, osteoarthri…
DEFINITION Pathology leading to a spectrum of motor function loss that includes loss of ankle dorsiflexion Co…
DEFINITION Deltoid ligament deficiency is present when both the deep and superficial components of the medial…
DEFINITION Tendinopathy of the Achilles tendon involves clinical conditions in and around the tendon arising …