TNK Total Ankle Arthroplasty: An Intraoperative Masterclass for End-Stage Ankle Arthritis

Key Takeaway
This masterclass provides a granular, real-time walkthrough of TNK Total Ankle Arthroplasty for end-stage arthritis. We cover meticulous preoperative planning, precise patient positioning, and a detailed, step-by-step intraoperative execution, emphasizing critical anatomical considerations and instrument use. Fellows will gain insights into pearls, pitfalls, and comprehensive postoperative management to optimize patient outcomes.
Welcome, fellows, to the operating theater. Today, we're performing a Total Ankle Arthroplasty (TAA) using the TNK system, a procedure indicated for patients suffering from end-stage osteoarthritis (OA) or rheumatoid arthritis (RA) of the ankle. This is a powerful intervention for restoring function and alleviating pain, but it demands meticulous technique and a deep understanding of ankle biomechanics and anatomy.
Understanding the TNK System and Indications
The TNK ankle is a semi-constrained, two-component implant crafted from alumina ceramic, featuring an alumina bead coating for enhanced bone integration. Its design prioritizes biocompatibility and facilitates robust fixation. Physiologically, the tibial plafond is nearly perpendicular to the anterior tibial shaft axis in the coronal plane, with a slight posterior slope. The TNK tibial component is designed to replicate this, ideally implanted perpendicular to the anterior longitudinal axis of the tibia with a 10-degree posterior slope. The talar component, conversely, should be positioned parallel to the ground or the plantar aspect of the weight-bearing foot.
While the causes differ—OA typically stemming from post-traumatic injury, cartilage damage, or malunions, and RA from an inflammatory synovial process—both lead to debilitating ankle pain and stiffness. We often see varus or valgus deformities in OA, sometimes associated with severe pes planovalgus and posterior tibial tendon insufficiency in valgus cases. In RA, the ankle is usually affected in advanced stages, often alongside hindfoot involvement, particularly the talonavicular, subtalar, and calcaneocuboid joints.
Preoperative Planning: The Blueprint for Success
Our journey begins long before the incision, with thorough preoperative planning.
Patient Assessment and Imaging:
We start with comprehensive weight-bearing AP and lateral radiographs of the ankle to gauge the extent of arthritis and deformity. Crucially, we also obtain weight-bearing radiographs of the ipsilateral foot if any associated foot malalignment or deformity is suspected.
For RA patients, we utilize Larsen’s grading scheme; TAA is indicated for grades 3 and 4. Grade 5, the mutilans-type RA, is generally a contraindication in our practice due to severe bone loss. Patients typically present with weight-bearing pain, initial steps often being the most painful, progressing to pain with all motion and ankle edema in advanced stages. Morning stiffness and symmetrical joint swelling are hallmarks of RA. It's imperative to differentiate isolated talonavicular joint involvement from tibiotalar arthritis through careful palpation, stress testing, and radiographic confirmation.
FIG 3 • CT is helpful for detecting subtalar lesions.
Templating and Component Sizing:
We have three sizes of TNK prostheses: small, medium, and large. We meticulously template for the TNK implant directly on the preoperative weight-bearing ankle radiographs. We mark our proposed resection level, aiming for 8 to 15 mm above the distal tibial surface, incorporating a 10-degree posterior slope. The anteroposterior dimension of the tibial plafond is measured to ensure optimal support for the tibial implant. Our goal is always to select the largest possible component that fits the anatomy, maximizing surface contact and biomechanical advantage. In complex cases, especially those with significant deformity or subtalar pathology, we often utilize CT scans and even computer simulation for more precise templating and a detailed understanding of the bony architecture.
Nonoperative Management & Surgical Decision-Making:
For OA, nonoperative strategies include activity modification, bracing, heat/ultrasound, NSAIDs, judicious corticosteroid injections, and viscosupplementation. For RA, systemic rheumatologic management is paramount, alongside anti-inflammatory medications, bracing, and injections. We generally favor TAA over tibiotalar arthrodesis, particularly in patients with bilateral ankle arthritis or concomitant hindfoot stiffness/arthritis, as it preserves motion.
Patient Positioning and Setup
Alright, fellows, let's get our patient positioned.
We place the patient in a supine position on the operating table. Crucially, we position a bolster underneath the ipsilateral hip. This maneuver helps prevent excessive external rotation of the operative extremity, ensuring a neutral alignment that is vital for accurate component placement. A thigh tourniquet is applied and inflated to achieve a bloodless field, which is essential for precise dissection and bony cuts. We ensure the foot and ankle are free to move and that fluoroscopy can be easily brought into position for intraoperative imaging, although for the TNK system, our primary guidance is jig-based.
Intraoperative Execution: The Surgical Masterclass
Now, let's scrub in.
The Anterior Approach: Navigating Critical Structures
Our incision is a 10-cm longitudinal incision, carefully centered over the anterior ankle.
- Skin Incision: Use a #15 blade to make a precise skin incision, extending from just proximal to the ankle joint line distally to the midfoot.
- Subcutaneous Dissection: Deepen the incision through the subcutaneous tissue, identifying and carefully protecting the superficial peroneal nerve branches. These are highly variable and prone to injury.
-
Retinacular Division: We divide the extensor retinaculum. Our approach is oriented slightly toward the medial aspect of the ankle, specifically in the interval between the tibialis anterior and extensor hallucis longus (EHL) tendons. This medial orientation is strategic because the TNK system does not involve a fibular component, allowing us to focus our exposure anteriorly and medially.
Surgical Warning: Neurovascular Bundle
As we deepen our dissection, the dorsalis pedis artery and the deep peroneal nerve will come into view. These critical structures must be meticulously identified and retracted to the lateral side of our working field. Use blunt dissection and careful placement of narrow retractors to protect them throughout the procedure. Injury to the deep peroneal nerve can lead to foot drop and significant sensory deficits.
4. Anterior Ankle Capsulotomy: Once the neurovascular bundle is safely retracted, we perform a formal anterior ankle capsulotomy to fully expose the tibiotalar joint.
5. Synovectomy (for RA cases): In patients with rheumatoid arthritis, we perform a comprehensive synovectomy. This involves meticulously removing inflamed synovial tissue from the extensor tendon sheath(s) all the way to the talonavicular joint, addressing the inflammatory burden and improving visualization.
Tibial Preparation: Establishing the Foundation
With the joint exposed, our focus shifts to preparing the distal tibia.
- Osteophyte Removal: First, we use a small osteotome or rongeurs to remove any anterior tibiotalar osteophytes. This provides clear visualization of the joint line and allows for proper seating of our cutting guides.
- Tibial Resection Level Determination: Based on our preoperative templating and the level of the existing tibial plafond, we determine the precise tibial resection level.
- Tibial Cutting Guide Placement: The tibial cutting guide is then carefully positioned at this desired tibial resection level.

TECH FIG 1 • Osteotomy of the tibia. A. Tibial cutting guide and alignment bar. The alignment bar on the tibial cutting guide is adjusted to the center of the patella.
We ensure its proper orientation:
* Sagittal Plane: It must incorporate a 10-degree posterior slope. This is crucial for replicating the natural anatomy and optimizing joint kinematics.
* Coronal Plane: The external tibial alignment guide, attached to the cutting block, is oriented precisely in line with the tibial shaft axis and the center of the patella. This ensures neutral coronal alignment and prevents varus or valgus malpositioning.
4. Guide Fixation: Once perfectly positioned and aligned, the tibial cutting guide is securely fixed to the tibia using a fixation pin.

TECH FIG 1 • Osteotomy of the tibia. B. Osteotomy is performed with 10 degrees of anterior opening.
5. Distal Tibial Osteotomy: Using an oscillating saw, we advance the blade through the capture slots of the cutting block to perform the distal tibial cut.

TECH FIG 1 • Osteotomy of the tibia. C. Osteotomy using a bone saw.
> **Surgical Warning: Posterior Slope & Cortex Preservation**
> While a 10-degree posterior slope is recommended, **excessive posterior slope is detrimental** and can lead to instability or impingement. Furthermore, it is absolutely critical to **avoid violating the posterior tibial cortex** during this cut. Preserving the posterior cortex maintains crucial bone stock and support for the prosthesis, preventing potential posterior migration of the tibial component.
- Medial Malleolar Preparation: Following the distal tibial cut, we address the medial malleolus. This often involves a small resection or contouring to accommodate the tibial component without impingement.

Talar Preparation: Shaping the Receiving Bed
Next, we prepare the talus to receive its component.
- Talar Cutting Guide Positioning: We apply gentle traction to the ankle and bring the foot into approximately 10 degrees of plantarflexion. This opens the joint space anteriorly and allows for optimal positioning of the talar cutting guide. The superior surface of the talar cutting guide is then brought into firm contact with the freshly resected distal tibia.

TECH FIG 2 • Osteotomy of the talus. A. Talar cutting guide.
2. Mediolateral Talar Resection: The mediolateral talar cutting guide is meticulously oriented to the talus and secured with a fixation pin. Using an oscillating saw through the capture slots of this guide, we resect 2 mm from both the medial and lateral talar dome.

TECH FIG 2 • Osteotomy of the talus. D. The talar margin cutting guide.

TECH FIG 2 • Osteotomy of the talus. E. The talar margin is cut in a plantarflexion position of the ankle.
> **Surgical Warning: Talar Over-Resection**
> This is a critical step, fellows. **Resection of more than 2 mm from either side of the talus must be avoided.** Carefully choose the appropriate mediolateral cutting guide and orient it properly. Excessive resection can significantly compromise talar bone stock, leading to **talar component subsidence** and early implant failure.
- Superior Talar Dome Preparation: The superior surface of the talar dome is then prepared using the talar cutting guide as a reference, ensuring a flat, parallel cut.

TECH FIG 2 • Osteotomy of the talus. B. Osteotomy is performed parallel to a floor line.
4. Talar Peg Hole Creation: Next, we select the appropriately sized talar peg cutting guide. This guide is positioned precisely on the prepared talar surface.

TECH FIG 2 • Osteotomy of the talus. F. The talar peg cutting guide.
Using the dedicated talar peg crusher, we create the central peg hole in the talus. This hole will accommodate the talar component's central peg, providing primary stability.
5. Spacer Insertion and Balance Check: At this point, we insert a trial spacer between the resected tibial and talar surfaces. This allows us to confirm that we have achieved adequate and balanced bone resection, ensuring proper joint alignment and tension.

TECH FIG 2 • Osteotomy of the talus. C. To confirm the osteotomy of the tibia and talus, a spacer is inserted under traction.
Proper alignment is re-confirmed using the external tibial alignment guide, mirroring the check performed prior to tibial resection.
Preparation of the Tibial Anchor Region
Now, we prepare the tibia for its final component.
- Talar Trial Placement: The appropriately sized talar trial component is positioned on the prepared talus and gently impacted to ensure a snug fit.
- Tibial Peg Cutting Guide Positioning: The tibial peg cutting guide is then carefully positioned on the anterior distal tibia.

TECH FIG 3 • Osteotomy of tibial anchor region. A. The tibial peg cutting guide.
Its superior and medial aspects are meticulously aligned with the prepared tibial surface and, crucially, with the talar trial component in place. This ensures the tibial component will articulate correctly with the talar component.

TECH FIG 3 • Osteotomy of tibial anchor region. B. The tibial peg cutting guide is inserted after placing the talar trial.

TECH FIG 3 • Osteotomy of tibial anchor region. C. Intraoperative view.
3. Tibial Anchor Preparation: The tibial anchor region is then prepared along the inner surface of this guide. This creates the precise cavity for the tibial component's anchoring mechanism.

TECH FIG 3 • Osteotomy of tibial anchor region. D. Reaming is completed.
> **Surgical Warning: Posterior Tibial Cortex Integrity**
> I cannot overstate this: **we must preserve the posterior tibial cortex at the anchoring region.** Violating this cortex significantly weakens the posterior support for the tibial component and can lead to its posterior migration, a devastating complication.
Trial Reduction and Final Component Setting
We're in the home stretch for component placement.
- Tibial Trial Insertion: The tibial trial component is now carefully inserted onto the prepared tibial surface.

TECH FIG 4 • Trial and setting. A. The tibial trial is inserted.
Ideally, this trial should be supported by both the anterior and posterior tibial cortices, indicating a well-prepared bone bed.
2. Range of Motion and Alignment Check: With both talar and tibial trials in place, we perform a thorough assessment of ankle range of motion (ROM) and alignment. We check for smooth articulation, stability through the arc of motion, and absence of impingement. This is your chance to confirm everything is perfectly balanced.
3. Bone Marrow Aspirate Application (for uncemented implants): Once optimal alignment and ROM are confirmed, we carefully remove the trial components. For our noncemented implants, we now apply bone marrow aspirate, harvested from the patient's iliac crest, to the bone ingrowth surfaces of both the tibial and talar components.
> **Surgical Pearl: Timing of Bone Marrow Aspirate**
> The ideal timing for this is critical. We aim to apply the marrow aspirate when the marrow elements just begin to coagulate on the implant surface. In our experience, this timing best promotes early and effective bone ingrowth, enhancing long-term fixation.
<figure class="operative-step-slider my-4 text-center p-3 border rounded shadow-sm bg-light">
TECH FIG 4 • Trial and setting. B. Bone marrow mounting.
4. Cancellous Bone Grafting for Gaps: Any residual gapping between the prepared bone and the tibial component should be meticulously filled with cancellous bone autograft. This ensures maximal bone-implant contact and prevents micromotion.
5. Final Tibial Component Impaction & Fixation: The final tibial component is then impacted with its specific impaction tool, ensuring it is fully seated. Through the designated screw hole in the tibial component, we advance a 2.5-mm drill through the posterior tibial cortex. A specially designed polyethylene sleeve is then placed into this screw hole, and a 4.0-mm AO small fragment cancellous screw is inserted to secure the tibial component to the tibia. This screw fixation is crucial for limiting initial micromotion and promoting effective bone ingrowth in uncemented implants. For osteopenic patients, we routinely use bone cement for fixation.

TECH FIG 4 • Trial and setting. C. Screw fixation.
6. Final Talar Component Impaction: With the ankle held in plantarflexion, the final talar component is then impacted using its dedicated talar impactor, ensuring it is fully seated and stable.

TECH FIG 4 • Trial and setting. D. Implantation is completed.
Subtalar Arthrodesis (If Concomitant Arthritis Present)
In patients presenting with concomitant ankle and subtalar arthritis, we advocate for performing simultaneous TAA and subtalar arthrodesis. This addresses all sources of pain and deformity in a single setting.
- Lateral Incision and Joint Exposure: Through a separate 2.5-cm lateral incision made directly over the sinus tarsi, we expose the subtalar joint.
- Cartilage Removal: Using a chisel and a curette, we meticulously remove all residual articular cartilage from the subtalar joint surfaces.
- Subchondral Bone Preparation: To facilitate fusion, we use a small diameter drill to penetrate the subchondral bone, creating multiple bleeding points and increasing the surface area for fusion.
- Screw Fixation: Through the primary anterior incision, positioned anterior to the newly implanted talar component, a standard AO cancellous screw is placed from the talar neck, across the subtalar joint, and into the calcaneus. This provides stable compression for fusion.

TECH FIG 5 • Subtalar arthrodesis. A. Postoperative AP view with subtalar arthrodesis using a single OA cancellous screw.

TECH FIG 5 • Subtalar arthrodesis. B. Lateral view.
Closure
With all components securely in place and any concomitant procedures completed, we proceed to closure.
- Irrigation: The wound(s) are thoroughly irrigated with copious amounts of sterile saline solution to remove any debris and reduce the risk of infection.
- Hemostasis: Ensure meticulous hemostasis.
- Retinacular and Skin Closure: The extensor retinaculum is reapproximated. The subcutaneous layers and skin are then closed meticulously, taking utmost care to protect the deep neurovascular bundle and the superficial peroneal nerve, which are still vulnerable.
- Drain Placement: We routinely place a drain to manage postoperative swelling and hematoma formation.
- Tourniquet Release: The tourniquet is released, and any bleeding is controlled.
- Postoperative Dressing: A sterile dressing is applied.
- Immobilization: Finally, a short leg cast is applied with the ankle held in a neutral position. This provides crucial immobilization for initial healing and bone ingrowth.
💡 Pearls and Pitfalls
- Approach Orientation: Remember, the approach is anterior, but subtly oriented toward the medial aspect of the ankle. This is key because the TNK system lacks a fibular component, allowing us to maximize working space and minimize lateral soft tissue disruption. Always prioritize the meticulous retraction of the deep peroneal nerve and anterior tibial artery/dorsalis pedis artery to the lateral side.
- Bone Marrow Aspirate Timing: For uncemented implants, the optimal timing for applying bone marrow aspirate to the implant's bone ingrowth surfaces is when the marrow elements just begin to coagulate. This specific consistency appears to significantly promote early and robust bone ingrowth. Too thin, and it washes away; too thick, and it may not integrate.
- Managing Residual Gaps: If, after implant placement, you observe any residual gapping between the bone and the prosthesis interface, do not leave it. We strongly recommend filling this gap with autograft, ideally cancellous bone from the patient's iliac crest or even a thin cancellous wedge. This prevents micromotion, encourages ingrowth, and ensures maximal load transfer.
- Preventing Talar Subsidence: The 2mm resection from the talar dome is precise. Over-resecting, even by a millimeter, can critically compromise the talar bone stock, leading to early talar component subsidence. Always confirm your mediolateral cutting guide size and orientation.
- Avoiding Posterior Tibial Component Migration: The integrity of the posterior tibial cortex at the anchoring region is paramount. Any violation during osteotomy or reaming can destabilize the tibial component, leading to posterior migration. Always ensure your cuts are within the safe zone, respecting the posterior cortex.
- Malalignment: Intraoperative fluoroscopy and careful jig placement are essential. Coronal plane malalignment (varus/valgus) or sagittal plane malalignment (excessive posterior slope) can lead to early loosening, impingement, and component failure. Double-check your alignment guides against the patella and tibial shaft axis.
- Neurovascular Injury: Despite careful retraction, the deep peroneal nerve and dorsalis pedis artery remain at risk. Constant vigilance, gentle handling, and appropriate retractors are non-negotiable.
- Infection: As with any arthroplasty, infection is a devastating complication. Strict sterile technique, prophylactic antibiotics, and thorough wound irrigation are critical.
Postoperative Care and Rehabilitation
Our commitment to the patient extends well beyond the operating room. Postoperative care is crucial for the success of the arthroplasty.
Immediate Postoperative Period (Weeks 0-3):
* Immobilization: Patients with uncemented prostheses will remain in a short leg cast for the first 3 weeks. This provides essential stability for initial bone ingrowth.
* Weight Bearing: During the first week postoperatively, absolutely no weight bearing is permitted on the operated extremity.
* DVT Prophylaxis: Standard deep vein thrombosis (DVT) prophylaxis protocols are initiated immediately, typically involving chemical prophylaxis (e.g., LMWH) and mechanical prophylaxis (e.g., compression stockings, foot pumps).
* Pain Management: A multimodal pain management strategy is employed to control postoperative pain effectively.
* Wound Care: The cast will prevent direct wound inspection, but signs of infection (fever, systemic symptoms) should be monitored. The drain is typically removed within 24-48 hours.
Early Rehabilitation (Weeks 3-8):
* Cast Removal & ROM: At 3 weeks postoperatively, the cast is removed. Patients then begin to gradually increase their active range of motion under the guidance of a physical therapist. Passive range of motion should be introduced cautiously.
* Weight Bearing Progression: In the weeks following cast removal, weight bearing to tolerance is permitted, with the aid of crutches. The physical therapist will guide this progression, ensuring proper gait mechanics and protecting the healing bone-implant interface.
* Strengthening: Gentle isometric exercises for ankle musculature are initiated, progressing to isotonic exercises as tolerated.
Late Rehabilitation (Months 2+):
* Full Weight Bearing: At 2 months postoperative, full weight bearing is typically initiated. The patient continues with a structured physical therapy program focusing on strengthening, balance, proprioception, and functional activities.
* Activity Progression: Patients are guided to gradually return to daily activities, with low-impact exercises
Additional Intraoperative Imaging & Surgical Steps
REFERENCES
-
In the RA group, the same mean values improved from 14, 31, and 35 points to 35, 39, and 74 points, respectively.
-
Buckwalter JA, Saltzman CL. Ankle osteoarthritis: distinctive characteristics. AAOS Instr Course Lect 1999;48:233–241.
-
Easley ME, Vertullo CJ, Urban WC, et al. Total ankle arthroplasty. J Am Acad Orthop Surg 2002;10:157–167.
-
Katsui T, Takakura Y, Kitada C, et al. Roentgenographic analysis for osteoarthrosis of the ankle. J Jpn Soc Surg Foot 1980;1:52–57.
-
Monji J. Roentgenological measurement of the shape of the osteoarthritic ankle. Nippon Seikeigeka Gakkai Zasshi 1980;54:791–802.
-
Pomeroy GC, Pike RH, Beals TC, et al. Acquired flatfoot in adults due to dysfunction of the posterior tibial tendon. J Bone Joint Surg Am 1999;81A:1173–1182.
-
Saltzman CL, Salamon ML, Blanchard GM, et al. Epidemiology of ankle arthritis: report of a consecutive series of 639 patients from a tertiary orthopaedic center. Iowa Orthop J 2005;25:44–46.
-
Seltzer SE, Weissman BN, Adams DF, et al. Computed tomography of the hindfoot with rheumatoid arthritis. Arthritis Rheum 1985;28:1234–1242.
-
Spiegel TM, Spiegel JS. Rheumatoid arthritis in the foot and ankle: diagnosis, pathology, and treatment: the relationship between foot and ankle deformity and disease duration in 50 patients. Foot Ankle 1982;2:318–324.
-
Takakura Y. The total ankle prosthesis: experimental and clinical studies. J Nara Med Assoc 1977;25:582–598.
-
Takakura Y, Tanaka Y, Sugimoto K, et al. Ankle arthroplasty: a comparative study of cemented metal and uncemented ceramic prostheses. Clin Orthop Relat Res 1990;252:209–216.
-
Takakura Y, Tanaka Y, Kumai T, et al. Ankle arthroplasty using three generations of metal and ceramic prostheses. Clin Orthop Relat Res 2004;424:130–136.
-
Preoperative and postoperative mean ankle ROM was 28 and 33 degrees in the OA group and 22 and 22 degrees in the RA group, respectively.
-
In the OA group, overall results were excellent in 24 ankles, good in 10 ankles, fair in 3 ankles, and poor in 2 ankles. In the RA group, overall results were excellent in 6 ankles, good in 12 ankles, fair in 7 ankles, and poor in 3 ankles.
-
In the RA group, mean total scores (using our own ankle rating system) at the follow-up were 77 points for cemented fixation (18 ankles) and 71 points for cementless fixation (10 ankles).
-
Radiography showed subsidence and loosening in four prostheses in the OA group (two tibial prostheses and two talar prostheses) and 17 prostheses in the RA group (six tibial prostheses and 11 talar prostheses).
-
Although the results of the RA group were worse than those of the OA group, shortand medium-term results with beadcoated alumina ceramic prostheses were encouraging.
COMPLICATIONS
- Intraoperative fracture of the medial malleolus
-
Superficial peroneal nerve palsy
-
Wound edge necrosis
-
Superficial infection
-
Deep infection




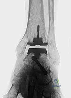
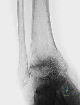
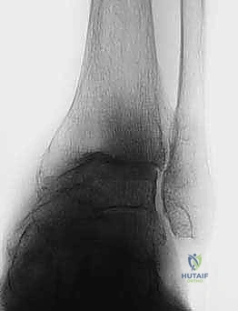
FIG 6 • The TNK ankle replacement for rheumatoid arthritis of the ankle (cemented replacement). A. Preoperative AP view. B. Preoperative lateral view. C. Postoperative AP view 2 years 6 months after the surgery. D. Postoperative lateral view.
You Might Also Like


