Revision Agility Total Ankle Arthroplasty: An Intraoperative Masterclass on Malleolar Fracture Management

Key Takeaway
Welcome, fellows, to a critical masterclass on revision Agility Total Ankle Arthroplasty, specifically focusing on malleolar fracture management. We'll meticulously navigate the complex anatomy, refine our preoperative planning, and execute precise intraoperative techniques for both acute and chronic malleolar fractures. This session emphasizes real-time decision-making, meticulous dissection, hardware application, and comprehensive complication avoidance and management strategies, ensuring optimal outcomes for our patients.
Introduction to Revision Total Ankle Arthroplasty
Alright, fellows, gather around. Today, we're tackling a challenging, yet incredibly rewarding, aspect of foot and ankle surgery: the revision of an Agility Total Ankle Arthroplasty. This isn't your primary case; revision surgery demands a deeper understanding of biomechanics, bone stock, and soft tissue integrity. It's a testament to the complexities that can arise even after a successful index procedure. The Agility system, with its unique design, particularly the lack of a syndesmotic fusion, inherently presents a potential vulnerability for lateral malleolar fracture, a scenario we must always be prepared to address.
Why Revision? Understanding the Mechanisms of Failure
Revision isn't a single entity; it's a spectrum of interventions. We might find ourselves revising an Agility ankle relatively early after the initial procedure, perhaps due to an acute intraoperative complication, or much later, years down the line, due to mechanical failure.
The primary culprits for revision often involve the distal tibia and talus. Here, failure is typically sustained through axial load, a relentless force compounded by the physiological effects of the prosthesis itself. Consider the insidious process of osteolysis: shed polyethylene particles, acting as foreign bodies, trigger a chronic macrophage reaction. This immune response, while attempting to clear debris, inadvertently leads to autodestruction of the surrounding bone, creating weakened, cystic areas. This compromised bone stock simply cannot support the implant, leading to prosthesis subsidence through the resection margin, causing deformity and, ultimately, clinical failure.
Furthermore, a lack of robust bone ingrowth into the sintered beads of the implant can create persistent micromotion at the prosthesis-bone interface. This micromotion acts as a constant irritant, preventing full osseointegration and leading to further erosions and subsidence into either the distal tibia or the talus.
FIG 3 • Severe valgus after failure of the deltoid ligament. This is in combination with a structural foot deformity and hindfoot valgus.
By definition, revision can range from correcting an imbalance that's creating deformity around an otherwise stable arthroplasty, or repairing a fracture adjacent to the prosthesis, to the more extensive procedure of complete implant removal and subsequent replacement, either of the entire prosthesis or specific components. Our focus today will be primarily on managing malleolar fractures, a common and critical complication.
Comprehensive Surgical Anatomy for Revision TAA
Fellows, before we even consider making an incision, a thorough understanding of the anatomy, particularly in the context of a failed or compromised joint, is paramount. Revision surgery means we are often dealing with altered anatomy, scar tissue, and potentially tenuous neurovascular structures.
Osseous Structures of Concern
- Medial and Lateral Malleoli: These are our primary focus today. The malleoli provide critical stability to the ankle mortise. Their integrity is essential for maintaining proper alignment and ligamentous tension. In the context of an Agility TAA, the bone resections for implant placement often thin the malleoli, making them susceptible to fracture.
- Medial Malleolus: Formed by the distal end of the tibia. It provides attachment for the deltoid ligament. Its fracture can lead to valgus instability.
- Lateral Malleolus: Formed by the distal fibula. It provides attachment for the lateral collateral ligaments (anterior talofibular, posterior talofibular, calcaneofibular). Its fracture can lead to varus instability.
- Distal Tibia and Talus: These are the primary load-bearing surfaces. Osteolysis and subsidence here are critical concerns, directly impacting implant stability and alignment.
Ligamentous Structures and Their Compromise
Ligamentous integrity is often compromised before the index procedure due to chronic deformity. This problem is exacerbated by chronic tension from weight-bearing, which continues to attenuate these critical stabilizers.
- Lateral Ankle Ligaments:
- Anterior Talofibular Ligament (ATFL): The most commonly injured ankle ligament, connecting the talus to the fibula.
- Calcaneofibular Ligament (CFL): Connects the calcaneus to the fibula.
- Posterior Talofibular Ligament (PTFL): Strongest of the lateral ligaments, connecting the posterior talus to the fibula.
- Compromise here leads to varus instability.
- Medial Ankle Ligaments (Deltoid Ligament Complex): A strong, fan-shaped ligament consisting of superficial and deep components, connecting the tibia to the talus, calcaneus, and navicular. Failure here leads to severe valgus deformity.
- Syndesmotic Ligament Complex: Comprises the anterior inferior tibiofibular ligament (AITFL), posterior inferior tibiofibular ligament (PITFL), and the interosseous ligament. Crucial for maintaining the integrity of the distal tibiofibular joint. The Agility system, lacking a syndesmotic fusion, relies on the native syndesmosis, which can be vulnerable.
Muscle and Tendon Complexes
Scar tissue and anterior wound complications are significant issues, often leading to altered motion, particularly decreased plantarflexion.
- Extensor Tendon Complex (Anterior Compartment):
- Anterior Tibial Tendon (ATT): Dorsiflexes the ankle and inverts the foot.
- Extensor Hallucis Longus (EHL): Extends the great toe and assists in dorsiflexion.
- Extensor Digitorum Longus (EDL): Extends the lesser toes and assists in dorsiflexion.
- Neurovascular Bundle: The deep peroneal nerve and anterior tibial artery/vein run deep to these tendons. CRITICAL: These structures are directly in the path of an anterior approach. Scar tissue can tether them, making dissection challenging and increasing the risk of iatrogenic injury.
- Wound Complications: Compromised blood supply to the anterior skin, multiple prior incisions (common in post-traumatic ankles), and direct apposition of the tendon complex against the skin can all accelerate anterior incision failure. This can lead to tendon exposure and necessitate plastic surgery involvement.

FIG 4 • Anterior wound complication ( A ) leads to excessive scar tissue, compromising the ability to plantarflex ( B ) the ankle.

* Achilles Tendon (Posterior Compartment): The primary plantarflexor. Scarring can limit its excursion.
* Peroneus Longus and Brevis (Lateral Compartment): Evert the foot.
* Posterior Tibial Tendon (Deep Posterior Compartment): Inverts and plantarflexes the foot.
Neurovascular Risks
- Deep Peroneal Nerve: Runs with the anterior tibial artery/vein in the anterior compartment. Provides motor innervation to the extensor muscles and sensation to the first web space. Highly vulnerable during anterior approaches.
- Superficial Peroneal Nerve: Emerges from the lateral compartment to become subcutaneous, providing sensation to the dorsum of the foot. Multiple branches can be encountered during anterior or anterolateral approaches.
- Sural Nerve: Posterior to the lateral malleolus, providing sensation to the lateral foot. At risk during lateral approaches.
- Saphenous Nerve: Anterior to the medial malleolus, providing sensation to the medial ankle and foot. At risk during medial approaches.
- Posterior Tibial Nerve: Runs posterior to the medial malleolus, providing sensation to the sole of the foot and motor innervation to intrinsic foot muscles. At risk during deep medial dissection.
- Anterior Tibial Artery/Dorsalis Pedis Artery: Main blood supply to the dorsum of the foot, running with the deep peroneal nerve.
Pathogenesis of Failure and Natural History
Understanding how these failures develop is crucial for effective revision.
Malleolar Fractures
Malleolar fractures can occur early or late.
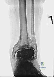
* Early (Intraoperative/Acute): Often a technical complication during the index procedure. For example, aggressive saw cuts violating the malleolus or excessive distraction with a uniplanar fixator on osteoporotic bone leading to avulsion fractures.

FIG 1 • Acute ( A ) and chronic ( B ) medial malleolus fractures. The former fractures occur due to an intraoperative technical error.
* Late (Chronic): Result from weakened bone architecture due to osteolytic cysts, or undue stresses applied to the malleoli from deformity or altered gait mechanics. Micro- or macromotion at the prosthesis-bone interface, particularly at the fibula, can also contribute.

FIG 1 • Acute ( A ) and chronic ( B ) medial malleolus fractures. The latter can occur from imbalance about the prosthesis with undue stresses.

The natural history of malleolar fractures is compromised by the limited bone available due to the prior implant. This reduces the surface area for healing, increasing the likelihood of nonunion. Nonunion can lead to a relative increase in malleolar length and subsequent ligamentous laxity, predisposing to instability and deformity. Once deformity is present, it creates abnormal stresses that further hinder union.
Infection
Infection is a devastating complication. Early incision compromise can provide a portal for bacterial entry, leading to cellulitis or deep infection.
* Early Intervention: Parenteral antibiotics or operative débridement may salvage the prosthesis.
* Deep Infections: Involving bone (osteomyelitis) or the joint (septic arthritis) can stem from superficial infections or bacteria seeded during the index surgery, lying dormant. Bacteria can cling to the prosthesis, forming a protective glycocalyx that shields them from antibiotics and irrigation, making salvage less likely.
Ligament Compromise
This follows a predictable course, culminating in instability and deformity around the prosthesis. Lack of medial or lateral restraint allows edge-loading of the polyethylene insert, which accelerates wear, leads to osteolysis, and ultimately, implant subsidence.
FIG 6 • Stressing the ankle in the operating room reveals significant medial bone compromise, leading to valgus deformity and medial instability.
Incision Compromise
Begins as focal necrosis, potentially progressing to full-thickness skin loss. This devascularized tissue sloughs, leaving exposed structures. Granulation tissue formation is slow, leading to excessive scar tissue around the anterior tendon complex. With exposed tendons, the risk of infection and the need for plastic surgery coverage significantly increase. Motion restriction, while necessary for healing, further contributes to stiffness and decreased plantarflexion.
Malleolar Fracture: Diagnosis and Nonoperative Management
Patient History and Physical Findings
When evaluating for a malleolar fracture, fellows, always maintain a high index of suspicion.
* Pain: Direct palpation of the medial or lateral malleoli, or pain with weight-bearing specifically on the medial or lateral aspect of the ankle, is a red flag. This is not the normal location of postoperative pain after a TAA, so it should immediately raise clinical suspicion.
* Swelling: Persistent or increased swelling around the ankle joint after the initial postoperative edema has resolved.
* Deformity/Instability: Look for new or worsening ankle deformity (e.g., valgus or varus) or clinical instability on stress testing.
* Rule out Infection: Always consider infection in the differential, especially with wound issues or systemic symptoms.
* Rule out Deep Vein Thrombosis (DVT): While less common as a primary cause of pain, DVT must be excluded, especially with swelling and tenderness.
Imaging and Other Diagnostic Studies
- Plain Radiographs: These are your first line. Malleolar fractures can be subtle or obvious.
- Obvious Fractures: Visible at the level of the prosthesis, generally at its apex or superior corners. In iatrogenic cases, they often occur at the superior saw cut line on the tibia, where the sagittal saw may have violated the malleolus. Significant distraction during the index procedure on osteoporotic bone can create avulsion fractures.
- Subtle Fractures: Often delayed in appearance, presenting as periosteal reactions at the medial malleolus proximal to the prosthesis. These typically indicate an unbalanced prosthesis placing uneven load or compression across the malleoli.
- Tc99 Bone Scans: Generally not helpful. The increased uptake surrounding the prosthesis makes it difficult to differentiate normal pooling from a fracture.
- Computed Tomography (CT) Scan: Extremely valuable for evaluating the presence and healing of malleolar fractures.
- Preoperative Planning: In delayed cases, CT is indispensable for visualizing the fracture pattern, quantifying bone loss, and planning screw or plate placement. Subtraction software can minimize artifact from the prosthesis.
- Monitoring Healing: Crucial for quantifying union before discontinuing immobilization.
- Intraoperative Fluoroscopy: Essential for real-time guidance during fixation, but not for initial diagnosis of delayed fractures.
Nonoperative Management
Conservative treatment for malleolar fractures involves cast immobilization until union is complete. However, unlike malleolar fractures without an ankle arthroplasty, immobilization is often extended beyond the standard 6 weeks. The presence of the space-occupying prosthesis significantly decreases the available surface area for healing, increasing the likelihood of nonunion. If immobilization is terminated prematurely, refracture or fragment separation becomes likely, necessitating surgical correction.
- Adjunctive Therapies: Pulsed electromagnetic fields or ultrasound to stimulate union may be considered to enhance healing.
Surgical Management: Malleolar Fractures
Fellows, in the context of a total ankle arthroplasty, surgical repair of malleolar fractures is almost always the preferred treatment. The primary rehabilitative goal of TAA is early range of motion. Prolonged immobilization for conservative union can lead to significant ankle stiffness, severely compromising patient satisfaction and functional outcomes. Therefore, upon diagnosis of a malleolar fracture, whether acute or delayed, surgical repair is generally indicated.
Preoperative Planning
For acute, iatrogenic fractures noted intraoperatively, extensive preoperative planning is often not possible; you react in real-time.
For delayed or chronic situations, meticulous planning is key:
1. CT Scan Review: As mentioned, a high-resolution CT scan is essential. Analyze the fracture pattern: simple transverse, oblique, comminuted? Assess the extent of bone loss, particularly around the implant. This will dictate your choice of fixation.
2. Templating: Consider potential hardware. Do you need small fragment screws, cannulated screws, or a specific malleolar plate? Measure screw lengths and diameters from the CT. Anticipate the need for bone graft if significant defects are present.
3. Soft Tissue Assessment: Evaluate the skin integrity, presence of scars, and potential for wound complications. If prior incisions are present, plan your approach to avoid compromising skin bridges.
4. Fluoroscopy Setup: Plan your C-arm positioning to achieve optimal AP, lateral, and oblique views without repositioning the patient mid-procedure. Ensure the C-arm can move freely around the ankle.
Patient Positioning
The patient will be positioned supine for this procedure.
- Hip Bump: Place a firm, rigid bump (typically rolled blankets or a commercially available positioner) under the ipsilateral hip. The diameter of this bump should be sufficient to rotate the entire lower extremity – the knee, ankle, and foot – into a neutral position. This prevents external rotation of the limb, which can distort imaging and make surgical access more challenging.

FIG 9 • AP positioning ( A ) reveals a knee placed in neutral alignment.
2. Leg Elevation: Elevate the involved extremity above the sagittal plane of the unaffected extremity. This can be achieved by placing the entire leg on a firm surface of blankets or a specialized leg holder. This elevation significantly improves the accuracy of sagittal fluoroscopic imaging by reducing the amount of soft tissue the X-rays must penetrate. More importantly, it prevents the need to lift or manipulate the involved extremity during the more tenuous portions of the surgical procedure, minimizing the risk of disturbing the fracture reduction or implant.

FIG 9 • Lateral ( B ) positioning on operating table. Note the rigid bump under the ipsilateral hip (rolled blankets) and the leg elevation on a firm surface of blankets.
Surgical Approach
The choice of surgical approach is dictated by the specific malleolus involved and whether the fracture is acute (intraoperative) or chronic (delayed).
- Acute Malleolar Fractures (Intraoperative):
- If you're already in the anterior approach for the index TAA, you'll extend this approach as needed.
- Medial Malleolus Fracture: The anterior approach allows direct visualization of the fracture reduction. Screws are then placed percutaneously from the medial side.
- Lateral Malleolus Fracture: A standard lateral approach is used if the fracture is intraoperative and requires direct fixation.
- Chronic Malleolar Fractures (Delayed):
- Lateral Malleolar Fractures: A standard lateral approach is still preferred. This provides direct access for reduction and plate fixation.
- Medial Malleolar Fractures: A direct medial approach is critical. This allows for direct visualization of the fracture fragments, which is essential, especially given that bone loss is often present. The medial approach permits the placement of either screws or plates, depending on the fracture anatomy and bone quality.
Intraoperative Execution: Open Repair of the Acute Medial Malleolus Fracture
Alright, fellows, let's walk through this step-by-step, as if you're scrubbed in right next to me. We've just identified an acute medial malleolus fracture during our index TAA.
Step 1: Anatomical Reduction
"Alright, team, we have a medial malleolus fracture here. First, let's get a perfect anatomical reduction. Nurse, please hand me a pointed reduction clamp. I'm going to carefully manipulate this fragment back into its anatomical position. Assistant, can you gently stabilize the foot and ankle in neutral while I apply the clamp? We want to ensure there's no rotation or translation. Feel that? It's sitting perfectly now. Let's hold it with the clamp."
Step 2: Guidewire Placement
"Now, for guidewires. Despite the medial bone resection for the prosthesis, there's usually adequate room for one, and often two, guidewires. I'm going to start with the first guidewire from the tip of the medial malleolus, aiming proximally into the distal tibia. We need to ensure it crosses the fracture line perpendicularly to maximize compression, and that it's well within the bone substance, avoiding the joint space or implant. Assistant, hold that reduction clamp firmly. I'll use the power drill with a small driver. Feel that purchase? Good. Now, let's place a second guidewire, parallel to the first, slightly more anterior or posterior, depending on the fragment size. Two points of fixation are always better than one for rotational stability."
TECH FIG 1 • (continued) Two guidewires are placed across the fracture site ( B ) within the substance of the medial malleolar bone.
Step 3: Percutaneous Screw Fixation
"Okay, guidewires are in place, reduction is solid. Now, we'll use cannulated screws for percutaneous fixation. This allows us to maintain our guidewire position, which is critical. Let's measure for screw length over the guidewire. Take your time, get the exact measurement. We want bicortical purchase in the distal tibia without violating the far cortex or the anterior neurovascular structures. Once measured, I'll pre-drill over the guidewire, then tap if necessary, and finally, insert the cannulated screw. Feel that compression as the screw engages? Excellent. Repeat for the second guidewire. Alternatively, if we preferred solid-core screws, we would drill over the guidewire, then withdraw the guidewire, and place the solid-core screw. But cannulated is often easier here. Let's get a fluoroscopic shot to confirm position and compression."
TECH FIG 1 • (continued) Firm compression is achieved ( C ) across the fracture site.
Surgical Warning: When placing screws in the medial malleolus, be acutely aware of the proximity to the deltoid ligament attachments and the ankle joint. Over-penetration can lead to articular damage or impingement. Fluoroscopy is your best friend here.
Intraoperative Execution: Open Repair of the Lateral Malleolus Fracture
Now, let's shift our focus to the lateral malleolus. This often requires a more robust approach due to the biomechanical stresses and the often-comminuted nature of these fractures in the context of a TAA.
Step 1: Lateral Approach and Fracture Exposure
"Alright, fellows, for a lateral malleolus fracture, we'll extend our lateral approach as a standard lateral malleolus fracture pattern. We're going to make a curvilinear incision just anterior to the fibula, curving distally. Dissect through the skin and subcutaneous tissue. Identify and protect the branches of the superficial peroneal nerve. They are often superficial and can be easily damaged. Retract them carefully. Now, incise the deep fascia to expose the fibula. We'll encounter the peroneus longus and brevis tendons; retract them posteriorly. Expose the fracture site. We need to meticulously clean the fracture ends of any debris, scar tissue, or hematoma. A small curette or osteotome works well here. We need good, bleeding bone surfaces for optimal healing."
TECH FIG 2 • Lateral malleolus fracture. The lateral approach is chosen ( A ), and the fracture fragments are exposed and curetted ( B ).
Step 2: Fracture Reduction and Plate Application
"Now, the reduction. Often, the fracture is at the apex of the lateral portion of the prosthesis, making standard lag-screw fixation challenging due to limited bone stock. We'll use a plate here. Assistant, gently reduce the fragments. I'll use a small reduction clamp to hold it. We need to restore the length and rotation of the fibula. Confirm reduction with fluoroscopy. See how it's aligned now? Good. Now, let's grab a small fragment plate, perhaps a 1/3 tubular plate or a specialized lateral malleolar plate. I'm going to pre-bend the plate to hook around the lateral malleolus tip. This contouring is crucial for proper fit and stability. We want it to sit flush against the bone."
TECH FIG 2 • Clinical photograph reveals contouring of plate ( E ) and screw fixation above and below the fracture to maintain stability.
TECH FIG 2 • Intraoperative fluoroscopy demonstrates the fracture location ( C ) and reduction with plate fixation ( D ).
Step 3: Proximal and Distal Screw Fixation
"Once the plate is contoured and reduced, we'll apply it proximally to the fracture first. We need at least three screws traversing the syndesmosis, if possible, to anchor the plate securely to the tibia. These will be cortical screws. Drill, measure, tap, and insert. Ensure these screws are not impinging on the anterior aspect of the tibia or the deep peroneal nerve.
For distal screw fixation, we generally have room for two screws. The first, more proximal screw, should be placed with lag technique if feasible, to achieve interfragmentary compression across the fracture line. This is critical for primary bone healing. The second screw is placed intramedullary, at the very tip of the lateral malleolus, to provide additional stabilization and prevent rotational instability of the distal fragment. Sometimes, a long screw can pass through the plate, into the distal fragment, and then into the medullary canal of the fibula. Again, fluoroscopy is essential to guide every step, ensuring proper screw length and avoiding joint penetration. Let's get a final fluoroscopic view in AP, lateral, and mortise to confirm excellent reduction and hardware placement."
Surgical Warning: When fixing the lateral malleolus, be mindful of the syndesmotic ligaments. Over-compression or improper screw placement can lead to iatrogenic syndesmotic injury or malreduction. Also, avoid long screws that could penetrate the medial cortex of the fibula and impinge on the deltoid ligament or medial neurovascular structures.
Intraoperative Execution: Repair of a Late Medial Malleolus Fracture
Now, let's consider a late, or chronic, medial malleolus fracture. This scenario often presents with more bone loss, scar tissue, and potential nonunion.
Step 1: Direct Medial Approach and Exposure
"Fellows, for a late medial malleolus fracture, a direct medial approach is absolutely essential. This provides superior access to the fracture fragments and allows us to directly address any bone loss or nonunion site. We'll make a curvilinear incision just anterior to the medial malleolus, carefully extending it proximally and distally as needed. Dissect through the skin and subcutaneous tissue. CRITICAL: Identify and protect the saphenous nerve and vein, which run superficially in this area. Retract them gently. Incise the deep fascia. We'll then carefully dissect around the posterior tibial tendon and the neurovascular bundle (posterior
Additional Intraoperative Imaging & Surgical Steps
REFERENCES
-
Fevang BT, Lie SA, Havelin LI, et al. 257 ankle arthroplasties performed in Norway between 1994 and
-
Acta Orthop 2007;78: 575–583.
-
Haddad SL, Coetzee JC, Estok R, et al. Intermediate and long-term outcomes of total ankle arthroplasty and ankle arthrodesis: a systematic review of the literature. J Bone Joint Surg Am 2007;89A:1899–1905.
-
Hurowitz EJ, Gould JS, Fleisig GS, et al. Outcome analysis of agility total ankle replacement with prior adjunctive procedures: two to six year follow-up. Foot Ankle Int 2007;28:308–312.
-
Knecht SI, Estin M, Callaghan JJ, et al. The Agility total ankle arthroplasty: seven to sixteen-year follow-up. J Bone Joint Surg Am 2004; 86A:1161–1171.
-
Kotnis R, Pasapula C, Anwar F, et al. The management of failed ankle replacement. J Bone Joint Surg Br 2006;88B:1039–1047.
-
Kurup HV, Taylor GR. Medial impingement after ankle replacement. Int Orthop 2008;32:243–246.
-
SooHoo NF, Zingmond DS, Ko CY. Comparison of reoperation rates following ankle arthrodesis and total ankle arthroplasty. J Bone Joint Surg Am 2007;89A:2143–2149.
-
Spirt AA, Assal M, Hansen ST Jr. Complications and failure after total ankle arthroplasty. J Bone Joint Surg Am 2004;86A:1172–1178.
-
Young J, May M, Haddad SL. Infected total ankle arthroplasty following a routine dental procedure. Foot Ankle Int 2009;30:252–256.
- After revision surgery, the protocol is no different from that for subsidence.
OUTCOMES
- These techniques are newly described, so there is no literature to support their use at this time. Anecdotal experience supports the techniques, however, with short-term outcomes (1 year) demonstrating substantial improvement.COMPLICATIONS
- Recurrent infection, osteomyelitis
Recurrent wound breakdown
Nerve damage to superficial peroneal, deep peroneal, saphenous, sural, or tibial nerves




FIG 15 • This patient (seen in Tech Fig 8) decided to forgo revision surgery and continued to bear full weight on the cement spacer ( A ). After 1 year of repetitive impact, the spacer has crushed the residual talus ( B ). The patient, although symptom-free, can no longer contemplate revision total ankle arthroplasty and instead would have to undergo arthrodesis.