Meniscal Allograft Transplantation: A Masterclass in Restorative Knee Surgery

Key Takeaway
This masterclass guides fellows through meniscal allograft transplantation, covering essential anatomy, meticulous preoperative planning, and precise intraoperative execution. We detail graft preparation, tibial recipient site creation, and advanced fixation techniques, emphasizing critical pearls and pitfalls. Learn to manage potential complications and optimize postoperative rehabilitation, restoring function in symptomatic meniscal-deficient knees.
DEFINITION
An estimated 850,000 meniscal procedures are performed yearly in the United States.
Although meniscus preservation is always preferable, large irreparable tears often require partial or subtotal meniscal excision.
Many patients will become symptomatic in the meniscaldeficient compartment resulting from increased articular cartilage contact stresses and progressive cartilage deterioration.
Medial meniscus deficiency may decrease the contact area in the compartment by 50% to 75% and increase the contact stress by 134% to 200%.1,8
Lateral meniscus deficiency can decrease the contact area in the compartment by 45% to 50% and increase the contact pressure twofold.13
Meniscal allograft transplantation is an option in the carefully selected patient with symptomatic meniscal deficiency prior to the development of advanced degenerative change.
ANATOMY
The menisci are semilunar fibrocartilaginous discs made of predominantly type I collagen. Water, which accounts for 70% of meniscal composition, is trapped within the matrix by negatively charged glycosaminoglycans (
FIG 1
).
Typically, only the peripheral third of the meniscus is vascularized (10% adjacent to popliteal hiatus). Blood supply is via the perimeniscal capillary plexus with contributions from the superior and inferior medial and lateral geniculate arteries.
FIG 1 • Meniscal anatomy.
*
Medial meniscus
The medial meniscus covers a smaller percentage of medial compartment surface than the lateral meniscus.
A portion of the anterior cruciate ligament (ACL) tibial insertion footprint lies between the anterior and posterior horn attachment sites. This is typically a small percentage.
Lateral meniscus
The lateral meniscus covers a relatively larger percentage of the articular surface in its respective compartment than the medial meniscus.
The anterior horn attaches adjacent to the ACL and the posterior horn attachment is behind the intercondylar eminence.
The anterior and posterior horn attachments are closer to each other than the medial meniscus without a ligament insertion footprint interposed between the two sites. This makes the lateral meniscus more amenable to a bone bridge transplantation technique.
A discoid variant is found in 3.5% to 5% of patients.
PATHOGENESIS
Meniscal pathology is generally of two types:
Acute traumatic tears
These injuries typically occur in a previously relatively “healthy” meniscus in patients younger than 35 years old; however, they may also occur in older individuals.
Traumatic tears often include unstable longitudinal tears within the vascular zone, which are optimal candidates for meniscal repair.
They often occur in association with combined knee injuries (ACL, medial collateral ligament).
Degenerative tears
This is a more complex tear pattern that typically occurs in patients older than 35 years old.
Often, a relatively minor trauma or event “breaks the camel's back” and a tear propagates through degenerative meniscal tissue.
These are typically not repaired.
Risk factors for meniscal tears include sports participation (especially jumping and cutting sports, which increases the risk of concurrent ACL injury), age, higher body mass index, occupational kneeling and squatting (associated with degenerative rather than acute traumatic meniscal lesions), level of activity, and ACL instability.
The association of meniscal tears with ACL tears is well documented. Lateral meniscal injuries occur more frequently with acute ACL disruption, whereas medial meniscal injuries occur more often in the setting of chronic ACL insufficiency.
Irreparable tear patterns or failed previous meniscal repairs often necessitate arthroscopic meniscal excision of the unstable tear component. The degree of tear propagation typically dictates the resection required.
NATURAL HISTORY
Meniscectomy can decrease the contact area by 50% to 75% and increase joint contact stresses by 134% to 200%.1,8
Contact stresses increase and contact areas decrease as a function of the amount of meniscus that is resected. Segmental meniscectomy can decrease contact areas and increase mean and peak contact
stresses as much as a total meniscectomy.8
These increases in joint contact stress often lead to premature cartilage deterioration and the development of osteoarthritis. Although patients often remain relatively asymptomatic until they have advanced degenerative changes, patients (who tend to be younger and more active) can develop pain earlier in the degenerative process.
Lateral meniscectomy is considered to have a poorer prognosis than medial meniscectomy.
The medial meniscus is the secondary stabilizer to anterior tibial translation. Medial meniscectomy (posterior horn) in the ACL-deficient knee often increases tibial translation and instability.
Meniscus implantation decreases peak stresses and improves contact mechanics but does not restore perfect knee mechanics.6,14
PATIENT HISTORY AND PHYSICAL FINDINGS
Potential transplant patients are typically younger, have an absent or nonfunctioning meniscus, and are symptomatic from their meniscal insufficiency.
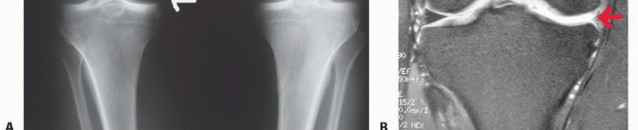
FIG 2
•
A.
AP weight-bearing bilateral knee views showing subtle medial compartment joint space narrowing of the right knee (
arrow
).
B.
MRI showing deficient medial meniscus.
C.
Arthroscopic image of right knee showing deficient medial meniscus.
A detailed history includes specific symptoms, prior injuries, and subsequent surgery. Arthroscopy pictures are helpful in determining the degree of meniscal resection and the condition of the articular cartilage.
Symptomatic postmeniscectomy patients typically present with joint line pain (sometimes subtle), swelling, and pain associated with barometric pressure changes. Symptoms are usually activity related.
The physical examination should focus on determining pain location, ligament stability, alignment, and ruling out alternative causes of pain in the differential diagnosis.
Palpating the joint line for tenderness will help localize the source of pain.
Sharp pain on the McMurray test may indicate recurrent meniscal injury or chondral lesion versus meniscal insuf-ficiency (typically more of a dull ache).
The Lachman test assesses for concomitant ACL pathology, which should also be addressed at the time of surgery.
Concerns about malalignment necessitate long-leg alignment films.
Reasonably symmetric range of motion and adequate muscle strength should be obtained prior to the
transplantation.
Range of motion should not be significantly limited in a potential transplant patient.
IMAGING AND OTHER DIAGNOSTIC STUDIES
Plain radiographs: initial imaging modality
Anteroposterior (AP) view of both knees in full extension (
FIG 2A
): Look for subtle joint space narrowing.
Rosenberg view: weight bearing, 45-degree flexion posteroanterior view: Look for subtle joint space narrowing.
Merchant view
Non-weight-bearing lateral views
Long-leg alignment films (if malalignment is suspected)
Magnetic resonance imaging (MRI): to assess menisci, articular cartilage, and subchondral bone (
FIG 2B
)
Bone scan can be considered and may reveal increased activity in the involved compartment. However, it is not typically used and its sensitivity in this setting is unknown.
Diagnostic arthroscopy is often recommended.
It will accurately define the extent of meniscectomy and the degree of arthrosis if previous arthroscopic images are unavailable or unclear or if more than 6 months to 1 year has elapsed since the last arthroscopy (
FIG 2C
).
Outerbridge grade III or less articular cartilage damage is acceptable (grade I or II is preferable). A focal grade IV lesion may be addressed concurrently with a cartilage resurfacing procedure. Diagnostic arthroscopy may also assist in planning the optimal method for addressing the articular cartilage lesion.
DIFFERENTIAL DIAGNOSIS
Recurrent meniscal tear
Chondral or osteochondral lesion (may be the primary cause of pain but may require chondroprotection of meniscus transplant)
Advanced bipolar degenerative chondrosis Synovitis
Patellofemoral pain (radiating medial) Extra-articular sources (ie, pes tendinitis) Hip or spine pathology
NONOPERATIVE MANAGEMENT
Activity modification (nonimpact activities and exercises) Appropriate pharmacologic therapy
Injection therapy (may be helpful for differentiating between intra- and extra-articular sources of pain) Unloader braces
A potential exception to nonsurgical management may be in the setting of the chronically ACL-insufficient knee or failed ACL-reconstructed knee with medial meniscal deficiency.
A concomitant reconstruction of the ACL with a meniscal allograft transplant may improve joint stability, ACL graft survival, and eventual clinical outcome.
This is a new relative indication.
SURGICAL MANAGEMENT
Indications are patients typically younger than 50 years of age with an absent or nonfunctioning meniscus and with pain due to meniscal insufficiency or progressive joint space narrowing, prior to the development of
advanced chondrosis. Less than 2 to 3 mm of joint space narrowing on weightbearing films is ideal.9
Younger patients, younger than 30 years of age, with progressive joint space narrowing following meniscectomy presenting with less severe pain may be considered as candidates.
Additionally, patients with a failed prior ACL reconstruction or severe chronic ACL instability combined with medial meniscus deficiency may be candidates for combined ACL reconstruction and meniscus transplantation. Typically, these patients have fairly pronounced anterior laxity on their examination.
Upper limit for age is generally 50 years for highly active patients who are not good candidates for arthroplasty.
Contraindications to surgery include immunodeficiency, skeletal immaturity, inflammatory arthritis, prior deep knee infection, osteophytes or flattening of the involved condyle indicating bony architectural changes, marked obesity, diffuse Outerbridge grade IV articular changes (focal chondral defects can be addressed concurrently), knee instability, or marked malalignment (unless these issues are corrected).
Preoperative Planning
Graft sizing: Although size matching of meniscal allografts to recipient knees is thought to be critical, the tolerance of size mismatch is unknown, and currently, no single measurement method is accepted. A general recommendation is to attempt to use an allograft that is within 5% of the patient's native meniscal size. Tissue
banks will often calculate the graft size using unpublished, proprietary formulas9; however, most surgeons should confirm the sizing using various measurements based on plain radiographs, computed tomography (CT), or MRI (Table 1).
The Pollard method, the current reference standard, uses the bony landmarks seen on plain radiographs and calculates the meniscal dimensions after correcting for the radiograph's magnification and multiplying
by a factor of 70% and 80% for a lateral and medial meniscus, respectfully.15
Table 1 Meniscal Allograft Sizing Methods Sizing Method Strengths and Weaknesses Direct
measurement
Contralateral knee may be used for sizing, although some variability exists in
menisci of opposite knees.
Plain radiographs
The consistent relationship between meniscal size and landmarks in plain radiographs often is used by tissue banks for allograft sizing.
By using measurements of the length and width of the medial and lateral tibial
plateaus, McDermott et al11 determined that meniscal size can be predicted with a mean error rate of 5%.
MRI Prodromos et al16 showed that contralateral MRI better predicts meniscal size compared to plain radiographs. Although MRI is historically considered slightly more accurate at sizing allografts when compared to plain radiographs, Shaffer
et al20 still found that only 35% of menisci measured with MRI were within 2 mm of the actual size needed.
CT Carpenter et al2 reported that MRI consistently underestimated the anteroposterior and mediolateral sizes of both the medial and lateral menisci but was more accurate in estimating meniscal height. They concluded that CT and plain radiographs were more useful in allograft sizing.
3-D CT
reconstruction
McConkey et al10 reported that 3-D CT has less error in measuring the tibial plateau when compared with plain radiographs. Estimations of the tibial plateau were more likely to be within 2 and 5 mm of the actual size when measured with 3-D CT than with radiographs.
MRI, magnetic resonance imaging; CT, computed tomography; 3-D, three-dimensional.
MRI, CT, and three-dimensional CT scans have been used with success as well.
Meniscal allografts are procured under strict aseptic conditions within 12 to 24 hours of cold ischemic time in accordance with standards established by the American Association of Tissue Banks for donor suitability and testing. Nonirradiated fresh frozen (most common and senior authors' preference) or cryopreserved meniscal grafts obtained from a reputable, fully accredited tissue bank is currently recommended as these two grafts
offer the highest success rates.9
Meniscal allograft survival and outcomes have not been affected by lack of donor cell viability. The surgeon should be aware of the tissue bank's processing procedures prior to surgery.
Secondary sterilization procedures (eg, gamma irradiation, ethylene oxide) have fallen out of favor and are generally not performed.
All equipment should be ordered and readily available (ie, commercially available meniscal workstations). An experienced assistant is very valuable for this procedure.
Positioning
The patient is placed in the supine position with the knee at the table break (
FIG 3
).
FIG 3 • Patient positioned with the knee at the table break.
*
For a lateral meniscal transplant, options include using the figure-4 position versus the use of a proximal leg holder (see Approach).
Ensure the posteromedial or posterolateral knee is a ccessible.
Approach
For the lateral meniscus, a lateral parapatellar arthrotomy with the posterolateral meniscal repair approach is used.
For the medial meniscus, a medial parapatellar arthrotomy with the posteromedial meniscal repair approach is used.
TECHNIQUES
-
Lateral Meniscus Graft Preparation
A previously size-matched lateral meniscus with the attached tibial plateau is thawed in a saline and antibiotic solution.
Remove soft tissue from the meniscus (capsular tissue) ( TECHFIG 1A ).
Always use the bone bridge-in-slot technique; it maintains a bridge of bone between the anterior and posterior insertion sites.
Using the bridge-in-slot technique is preferable as it helps to ensure “hoop stress” preservation, it may prevent meniscal extrusion, and patients may possibly have greater range of motion relative to only soft tissue fixation.9,19
TECH FIG 1 • Lateral meniscus graft preparation. A. Meniscus following soft tissue removal and prior to bone work. B,C. Preparing bone bridge between meniscus horns on dovetail workstation.
(continued)
Commercially available meniscus workstations can facilitate the bone bridge preparation into various shapes that will match tibial recipient sites (
TECH FIG 1B,C
).
The most common bone preparation techniques include dovetail, slot, and keyhole configurations ( TECH FIG 1D ).
Prepare the bone bridge shape between the meniscus insertion sites using the appropriate workstation ( TECH FIG 1E ).
TECH FIG 1 •
(continued)
D. Common bone bridge shapes. E. Ensuring bone bridge slides easily within dovetail sizing device. F. Final lateral meniscus graft (dovetail shape) with passage suture. During bone preparation, be careful not to injure the meniscal insertion sites.
Mark the superior surface of the meniscus and the popliteal hiatus with a surgical marker.
Using 10-inch flexible meniscal repair needles, place a vertical mattress suture (may place more than one if desired) through the posterior horn of the meniscus adjacent to the popliteus hiatus (
TECH FIG 1F
). Do not cut off the needles. This will serve as a passage suture to assist in the delivery and reduction of the meniscus. It can be used for fixation as well.
1. ## Lateral Meniscus Approach and Tibial Preparation
A combined arthroscopic and lateral parapatellar arthrotomy approach is performed.
Placing the lateral portal just adjacent to the patellar tendon will optimize instrument access between the anterior and posterior horn insertion sites.
Perform an arthroscopic débridement and excoriation to the far peripheral meniscal rim or joint capsule with a shaver or meniscal rasp. Leaving 1 to 2 mm of intact peripheral meniscal rim is often beneficial, when possible.
A Beaver blade may be used to excise the anterior horn and any remnant of the body.
Initially, preserving the anterior and posterior horn attachment sites will guide the placement of the recipient trough.
Use an arthroscopic burr to create a small trough in line with the anterior and posterior horn attachments (guide for recipient site) (
TECH FIG 2A,B
).
Expose the proximal tibia through a small lateral parapatellar arthrotomy in line with the trough.
Commercially available instrumentation will facilitate creation of the tibial recipient site in line with the anterior and posterior horn attachments (
TECH FIG 2C-E
).
The trough is advanced to the posterior cortex but attempt to avoid penetration through the posterior cortex.
Perform posterolateral exposure to receive inside-out sutures (meniscus repair approach) (
TECH FIG 2F
).
TECH FIG 2 • Lateral meniscal approach and tibial preparation. A,B. Creation of small trough between the anterior and posterior horn attachments. C. Rasping recipient site (visualized through medial portal). D,E. Tibial recipient site (dovetail trough) preparation. F. Posterolateral exposure. 2. ## Delivery and Fixation of Lateral Meniscus
Before delivery of the graft into the recipient site, place the 10-inch needles from the passage sutures through the miniarthrotomy and posterolateral capsule to assist in delivery of the graft (
TECH FIG 3A
). Posterolateral exposure, retraction, and needle retrieval are identical to an inside-out repair technique. This suture will assist in the delivery and reduction of the meniscus under the femoral condyle.
Alternatively, a Nitinol wire loop can be delivered “outsidein” through the posterolateral exposure into the joint. The Nitinol wire is arthroscopically retrieved with a grasper through the anterior arthrotomy. Place the passage sutures through the Nitinol loop and deliver them through the posterolateral capsule.
Attempt to deliver the passage suture needles through the capsule relative to their position in the
meniscus (
TECH FIG 3B
). Use the popliteus tendon and the popliteal hiatus in the graft as a guide for suture placement.
TECH FIG 3 • Delivery of lateral meniscus. A. Teninch needles from the passage suture are placed through the posterolateral capsule and retrieved by the assistant. B. Inside-out vertical sutures are placed through the appropriate location within the posterolateral capsule. C. The dovetail graft is delivered into the recipient site.
(continued)
By simultaneously inserting the shape-matched donor graft into the tibial recipient site and pulling on the previously placed passage suture, the graft is delivered to reestablish the normal insertion site (
TECH FIG 3C
).
A varus stress to the knee, combined with pulling on the posterior passage sutures, will help reduce the posterior horn under the femoral condyle.
Matching the anterior cortices (graft and recipient) and bringing the knee through a range of motion will assist in final AP positioning. Visualizing the meniscus' position arthroscopically will confirm proper seating of the graft (
TECH FIG 3D,E
).
Place additional inside-out meniscal sutures with the suture cannula placed in the anteromedial portal. The scope is placed into the miniarthrotomy (
TECH FIG 3F,G
).
Additional anterior sutures can be placed through the anterior arthrotomy using standard open suturing techniques.
Tie the sutures with the knee in flexion (lateral transplants).
An interference screw or transosseous suture fixation may be placed with the slot technique, but this is typically unnecessary with the dovetail and keyhole techniques.
TECH FIG 3 •
(continued)
D. Lateral meniscus bone bridge delivered into the tibial trough. E. Meniscus reduced under condyle. F. Placing inside-out sutures. G. Final meniscus transplant. 3. ## Medial Meniscus Graft Preparation
A previously size-matched medial meniscus with the attached tibial plateau is thawed in a saline and antibiotic solution. Remove soft tissue as described for the lateral meniscus.
--- TECH FIG 4 • Medial meniscus graft preparation. A. Without bone plugs. B. With bone plugs (preferable).
(continued)
Medial meniscal allografts may be fashioned with or without bone plugs at the anterior and posterior horn insertion sites (
TECH FIG 4A,B
).
Anchoring the meniscus using bone plugs is preferable as it helps ensure hoop stress preservation and prevents meniscal extrusion.9
--- TECH FIG 4 •
(continued)
C. Coring reamer over collared pin. D. Bone plugs attached to insertion sites. E. Final graft with sutures through bone plugs and passage suture in posterior horn. For preparation without bone plugs, detach the anterior and posterior horns from the bone block and whipstitch each horn with a heavy nonabsorbable suture. We do not typically use this technique unless a plug fractures and is not salvageable.
Alternatively, a bridge-in-slot technique may be performed on the medial side. Care is taken to minimize injury to the ACL footprint and to avoid fracture of the bone bridge because it is typically longer and more susceptible to fracture than the lateral side. This technique is the same as previously described for the lateral side.
For preparation with bone plugs, place a 2.4-mm Beath guide pin through the bone block into the posterior insertion site at about a 60-degree angle. Place a commercially available collared pin into the
2.4-mm hole. Ream over the collared pin using an 7- or 8-mm coring reamer (creates a plug 6 or 7 mm in diameter) (
TECH FIG 4C,D
). Trim and taper the end to create an 8-mm long plug.
Alternatively, the bone plugs with central holes can be fashioned “freehand” with a drill and a small saw blade.
Repeat these steps for the anterior horn insertion, but angle the guide pin approximately 20 degrees and create a bone plug 8 to 10 mm in diameter. Place a heavy nonabsorbable suture (no. 2 FiberWire [Arthrex, Naples, FL]) up the guide pin hole, through the meniscal tissue, then back down the guide pin hole for each bone plug.
Placing a vertical passing stitch, using a nonabsorbable suture at the junction of the posterior and middle thirds of the meniscus, aids in both passing of the meniscus and fixation to the joint capsule.
Mark the anterior and posterior horns on the superior meniscal surface (
TECH FIG 4E
).
4. ## Medial Meniscus Approach and Tibial Preparation
The case is performed via arthroscopic, medial parapatellar, and posteromedial meniscal repair approaches (
TECH FIG 5A
). Use a spinal needle to create a medial portal in line with the anterior and posterior insertion sites (in line with the medial notch).
The remaining meniscus is débrided, leaving 1 to 2 mm of meniscal rim if present. The surrounding capsule and meniscal bed is abraded with the shaver and rasps.
To visualize and access the posterior horn insertion site, perform a small notchplasty of the medial wall of the notch inferior to the posterior cruciate ligament (PCL) insertion. Likewise, débride the medial tibial spine to assist in access to the posterior root insertion site (
TECH FIG 5B
).
Under direct visualization, position a variable-angle, ACL-PCL tibial drill guide such that the guide pin will exit in the center of the native posterior horn insertion site footprint (
TECH FIG 5C,D
).
Drill a 7- to 8-mm posterior tibial tunnel using a cannulated reamer. While reaming, the guide pin is cupped, using a curved curette, to avoid inadvertent pin advancement and posterior injury. Débride and chamfer the intra-articular portion of the tunnel. Pass a shuttle suture up the tunnel and out the medial portal (
TECH FIG 5E
).
Perform a medial parapatellar incision, by extending the medial portal distally, to allow access to the anteromedial proximal tibia. Care should be taken to avoid cutting the shuttle suture. Do not perform the arthrotomy portion until the posterior tunnel is complete (
TECH FIG 5F
).
Perform the posteromedial exposure to receive the inside-out sutures (meniscus repair approach).
TECH FIG 5 • Medial meniscus technique. A. Medial approach. B. Notchplasty performed under PCL. C,D. Guide pin placement into the posterior horn insertion. E. Shuttle suture through the posterior tunnel exiting the medial portal. F. Anterior arthrotomy incorporating medial portal. 5. ## Delivery and Fixation of Medial Meniscus
Via a shuttle suture, deliver the posterior bone plug suture through the notch and down the posterior tunnel, exiting anteriorly. Also, deliver the posterior passing suture through the arthrotomy and out of the posteromedial capsule to assist in passing the allograft. Via the parapatellar arthrotomy, deliver the meniscal allograft into the knee and fully seat the posterior bone plug into the posterior tunnel (
TECH FIG 6A-C
). A hemostat or probe can be used to aid in the delivery of the plug under the PCL. Applying a valgus stress to the knee while pulling on the posterior bone plug sutures through the tibial tunnel and the posterior passing suture helps to reduce the posterior horn. Similar to reducing a bucket-handle tear, a blunt trocar or probe may assist in reducing the meniscus under the femoral condyle (
TECH FIG 6D
).
Using zone-specific cannulas, secure the allograft to the periphery using an inside-out technique going from posterior to anterior (
TECH FIG 6E
). This will secure the posterior two-thirds of the graft to the capsule.
Through the parapatellar arthrotomy, determine the anterior horn insertion site and place a Beath guide pin in its center. This should typically be located at the same location as the recipient's anterior horn insertion. However, sometimes, the transplant's anterior insertion site needs to be slightly modified to let it seat appropriately (where it wants to insert once sutured at the posterior horn and body).
Drill a blind 9-to 10-mm tunnel vertically to a depth sufficient to accept the anterior allograft bone plug (
TECH FIG 6F
).
Drill a 2-mm hole perpendicular to the tunnel from the anterior tibial cortex to enter the tunnel base. Place a shuttle stitch through the 2-mm hole and exit up the anterior tunnel.
Shuttle-exchange the shuttle stitch and the anterior bone plug suture. Deliver and fully seat the anterior
bone plug in the tunnel (
TECH FIG 6G
).
Tie the bone plug sutures over the bone bridge rather than tying the sutures over a plastic ligament button (
TECH FIG 6H
).
Complete the meniscal repair to the anterior capsule using an open repair technique (
TECH FIG 6I,J
).
TECH FIG 6 • A,B. Medial meniscus delivery. Shuttle suture and delivery of the posterior bone plug and meniscus. C. Meniscus delivered into joint prior to reduction under condyle. D. Meniscus following reduction. E. Inside-out suture placement (posterior to anterior). F. Anterior recipient tunnel created by reaming over guide pin. G. Anterior bone plug seated into tunnel. H. Bone plug sutures tied over anterior bone bridge.
(continued)
TECH FIG 6 •
(continued)
I. Schematic of bone plug and meniscus fixation. J. Arthroscopic view of final graft in position. 6. ## Medial Meniscus Transplant Combined with Revision Anterior Cruciate Ligament Reconstruction
There is increased awareness that ACL reconstruction combined with medial meniscus transplantation may improve stability in the setting of a failed prior reconstruction or chronic severe anterior laxity and medial meniscus deficiency.18
Consider this option especially in the setting of multiple prior graft failures in younger individuals.
Revision ACL reconstruction principles remain the same.
For multiple prior ACL failures, we have a low threshold to bone graft tunnels and proceed with the revision and meniscus transplant in a staged fashion.
--- TECH FIG 7 • Combined ACL revision and medial meniscus transplant. Posterior meniscus tunnel drilled prior (metal rod within tunnel) to the ACL tibial tunnel.
We typically proceed with preparation of the peripheral capsule and drilling of the posterior horn meniscal tunnel (most difficult) prior to reaming the ACL tunnels (
TECH FIG 7
).
Start the posterior meniscal tunnel distal on the anterior cortex of the tibia (similar to transtibial PCL tunnel starting point) to leave a bone bridge between the ACL tunnel.
Pass the ACL graft and fix on the femoral side prior to placing the meniscus graft (senior authors' preference). Complete the placement and fixation of the meniscus transplant prior to final ACL tibial fixation.
The anterior horn bone plug sutures are typically delivered into the ACL tibial tunnel and tied to the posterior plug sutures over the anterior cortex bone bridge.
PEARLS AND PITFALLS
Indications
1. The surgeon must ensure that meniscal deficiency is the symptom
generator.
1. The procedure should be performed in the window of opportunity
between the onset of symptoms and the development of advanced degenerative change.
1. Consider for previously failed ACL reconstruction or chronic ACL instability
in the setting of dramatic anterior laxity and medial meniscus deficiency.
Graft management ▪ Bone plugs should be 1 mm smaller than tunnels. Avoid a “press-fit” to facilitate passage.
1. For medial transplants, if the bone plug detaches or fractures and is not salvageable, convert to the plugless technique.
2. For lateral transplants, strongly consider commercially available graft preparation instrumentation.
Graft passage combined ACL reconstruction
1. For medial transplants, valgus stress is applied while pulling on the passage sutures.
1. Use the passage sutures to assist in delivery and reduction.
2. Consider “pie-crusting” the medial collateral ligament in a tight medial compartment.
3. May need to stage revision and graft prior tunnels first.
4. Posterior medial meniscus tunnel is distal to ACL tunnel on anterior cortex.
5. Do not tension and fix ACL graft on tibial side until the meniscus is secured.
POSTOPERATIVE CARE
Postoperative rehabilitation may need to be altered based on concomitant procedures.
Weight bearing as tolerated is typically permitted with the knee braced in full extension (this may be limited by other procedures).
Non-weight-bearing flexion is limited from 0 to 90 degrees for the first 6 weeks. Flexion is increased between 6 and 12 weeks (no weightbearing squats).
Closed-chain exercises, cycling, and swimming are started at 6 weeks. Running may begin at 3 to 4 months.
Squatting and pivoting sports are not allowed for 6 to 9 months.
OUTCOMES
With appropriate indications, current success rates for allograft meniscus transplantation are about 70% to 85%3,4,7,17,21; however, published success rates are quite variable as the research methods, surgical techniques, and concomitant procedures differ across studies.9
Meniscal transplants can be effective at improving pain and functional outcomes.
A recent survival analysis shows the 10-year survival rates for a lateral and medial allograft are 70% and 74%, respectfully.21
With the data available, it is still unknown whether the procedure has demonstrable chondroprotective effects.12
Bone plug fixation may improve outcomes, although this is controversial.
Poor results are typically associated with more advanced articular cartilage degeneration.
Meniscus transplants that are combined with articular cartilage resurfacing or ACL reconstruction can yield favorable outcomes.5,19
When combined with an ACL reconstruction, a medial meniscal transplant can improve the knee's stability.18
One study reported that 86% of patients with a combined ACL reconstruction and meniscus transplant had normal or near-normal International Knee Documentation Committee (IKDC) scores, with an
average maximum KT arthrometer side-to-side difference of 1.5 mm.18
However, these patients can be quite complicated and certainly do not typically return to subjectively feeling like they have a normal knee. It is important to be realistic with expectations. Most of them will eventually go on to require arthroplasty with time.
COMPLICATIONS
Graft tears
Nonhealing or incomplete healing Persistent or progressive symptoms
Rate is highly correlated with the degree of chondrosis12 Allograft shrinkage: significance unknown
Meniscus extrusion (late)
Infection
Loss of motion Neurovascular injury
Scientific References
- 1. Baratz ME, Fu FH, Mengato R. Meniscal tears: the effect of meniscectomy and of repair on intraarticular contact areas and stress in the human knee. A preliminary report. Am J Sports Med 1986;14:270-275. [View Source / PubMed]
- 2. Carpenter JE, Wojtys EM, Huston LJ, et al. Abstract: preoperative sizing of meniscal allografts. Arthrosocopy 1993;9:344. [View Source / PubMed]
- 3. Cole BJ, Carter TR, Rodeo SA. Allograft meniscal transplantation: background, techniques, and results. Instr Course Lect 2003;52:383-396. [View Source / PubMed]
- 4. Cole BJ, Dennis MG, Lee SJ, et al. Prospective evaluation of allograft meniscus transplantation: minimum 2-year follow-up. Am J Sports Med 2006;34:919-927. [View Source / PubMed]
- 5. Graf KW Jr, Sekiya JK, Wojtys EM. Long-term results after combined medial meniscal allograft transplantation and anterior cruciate ligament reconstruction: minimum 8.5-year follow-up study. Arthroscopy 2004;20:129-140. [View Source / PubMed]
- 6. Huang A, Hull ML, Howell SM. The level of compressive load affects conclusions from statistical analyses to determine whether a lateral meniscal autograft restores tibial contact pressure to normal: a study in human cadaveric knees. J Orthop Res 2003;21:459-464. [View Source / PubMed]
- 7. Kang RW, Lattermann C, Cole BJ. Allograft meniscus transplantation: background, indications, techniques, and outcomes. J Knee Surg 2006;19:220-230. [View Source / PubMed]
- 8. Lee SJ, Aadalen KJ, Malaviya P, et al. Tibiofemoral contact mechanics after serial medial meniscectomies in the human cadaveric knee. Am J Sports Med 2006;34:1334-1344. [View Source / PubMed]
- 9. Matava MJ. Meniscal allograft transplantation: a systematic review. Clin Orthop Relat Res 2007;455:142-157. [View Source / PubMed]
- 10. McConkey M, Lyon C, Bennett DL, et al. Radiographic sizing for meniscal transplantation using 3-D CT reconstruction. J Knee Surg 2012;25:221-225. [View Source / PubMed]
- 11. McDermott ID, Sharifi F, Full AM, et al. An anatomical study of meniscal allograft sizing. Knee Surg Sports Traumatol Arthrosc 2004;12:130-135. [View Source / PubMed]
- 12. Noyes FR, Barber-Westin SD, Chen RC. Repair of complex and avascular meniscal tears and meniscal transplantation. Instr Course Lect 2011;60:415-437. [View Source / PubMed]
- 13. Ode GE, Van Thiel GS, McArthur SA, et al. Effects of serial sectioning and repair of radial tears in the lateral meniscus. Am J Sports Med 2012;40:1863-1870. [View Source / PubMed]
- 14. Paletta GA Jr, Manning T, Snell E, et al. The effect of allograft meniscal replacement on intraarticular contact area and pressures in the human knee: a biomechanical study. Am J Sports Med 1997;25: 692-698. [View Source / PubMed]
- 15. Pollard ME, Kang Q, Berg EE. Radiographic sizing for meniscal transplantation. Arthroscopy 1995;11:684-687. [View Source / PubMed]
- 16. Prodromos CC, Joyce BT, Keller BL, et al. Magnetic resonance imaging measurement of the contralateral normal meniscus is a more accurate method of determining meniscal allograft size than radiographic measurement of the recipient tibial plateau. Arthroscopy 2007;23:1174-1179. [View Source / PubMed]
- 17. Rodeo SA. Meniscal allografts—where do we stand? Am J Sports Med 2001;29:246-261. [View Source / PubMed]
- 18. Sekiya JK, Giffin JR, Irrgang JJ, et al. Clinical outcomes after combined meniscal allograft transplantation and anterior cruciate ligament reconstruction. Am J Sports Med 2003;31:896-906. [View Source / PubMed]
- 19. Sekiya JK, West RV, Groff YJ, et al. Clinical outcomes following isolated lateral meniscal allograft transplantation. Arthroscopy 2006;22: 771-780. [View Source / PubMed]
- 20. Shaffer B, Kennedy S, Klimkiewicz J, et al. Preoperative sizing of meniscal allografts in meniscal transplantation. Am J Sports Med 2000;28:524-533. [View Source / PubMed]
- 21. Verdonk PC, Demurie A, Almqvist KF, et al. Transplantation of viable meniscal allograft. Survivorship analysis and clinical outcome of one hundred cases. J Bone Joint Surg Am 2005;87:715-724. [View Source / PubMed]
You Might Also Like