Part of the Master Guide

Orthopedic Prometric MCQs - Chapter 3 Part 1

Orthopedic Prometric MCQs - Chapter 3 Part 16

25 Apr 2026 18 min read 2 Views
Orthopedic Prometric MCQs - Chapter 3 Part 16

Welcome to Chapter 3 Part 16 of our comprehensive Orthopedic Prometric Exam Simulator. This interactive test features 20 high-yield multiple-choice questions designed to help you prepare for the Saudi Prometric (SCFHS), DHA, HAAD, SLE, and OMSB orthopedic surgery exams.

Use the Study Mode to view detailed explanations instantly, or switch to Exam Mode to test your speed and accuracy under simulated testing conditions.

Prometric Exam Simulator


00:00

Start Quiz

Question 1

The best way to diagnose dysplasia epiphysealis hemimelica, in addition to history and physical, is:





Explanation

Dysplasia epiphysealis hemimelica, or Trevor disease, is an epiphyseal osteochondroma. The characteristic location, continuity with the epiphysis and alteration in growth of the epiphysis, is the most specific confirmation of the disease. Histology is less specific, as are bone scan and ultrasound.

Question 2

Which of the following commonly used statements regarding the pelvis in patients with bladder exstrophy is true:





Explanation

In patients with bladder exstrophy, computerized modeling shows that the forces across the hip are increased by approximately 30%. However, limp is not significant and the pelvis is not more prone to fracture. Most patients can be made continent through surgery.

Question 3

A 1-year-old child requires evaluation of limb length inequality. The surgeon notices a disproportional increase in length, as well as width, of the ipsilateral upper and lower extremity. No other physical abnormalities are evident. Recommended treatment includes which of the following:





Explanation

Idiopathic hemihypertrophy is associated with an increased incidence of intra-abdominal tumors such as Wilmsâ tumor and hepatoblastoma. Periodic screening by ultrasound throughout childhood is recommended.

Question 4

Which of the following statements describes the growth plate biomechanics of the distal femur:





Explanation

Whereas the the proximal tibial physis is protected by the collateral ligaments and tibial tubercle epiphysis, the distal femoral physis is vulnerable to injury because it is not protected by any ligaments.

Question 5

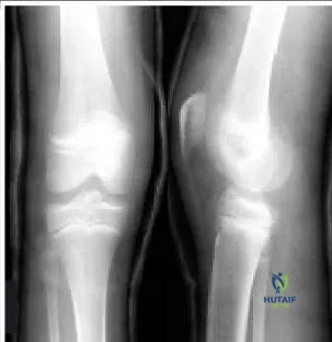
A 200-lb 13-year-old boy sustained a fracture while playing football. His radiographs are presented (Slide 1). Which of the following treatments should be attempted first:

Orthopedic Prometric Exam Chapter 3 Image





Explanation

The radiographs show a Salter II fracture with a large metaphyseal fragment. A high likelihood exists for successful closed reduction, and the metaphyseal fragment should allow rigid fixation. This patient received closed reduction and was internally fixed with three percutaneous 7.3-mm screws (Slide 2). He did not require a cast.

Question 6

An 8-year-old boy was injured by a lawnmower. The resulting proximal tibial injury presented in the radiograph (Slide) is classified as a:

Orthopedic Prometric Exam Chapter 3 Image





Explanation

A Salter IV injury to the proximal tibia is apparent in the patientâ s radiograph. The fracture traverses the epiphysis, physis, and metaphysis medial to the tibial spine. No injury to the lateral portion of the plateau is present. Incidentally, the distal femoral injury is also classified as Salter IV.

Question 7

A 12-year-old boy twisted his knee while riding a bicycle. Based on his radiographs (Slide), which of the following is the most appropriate diagnosis:

Orthopedic Prometric Exam Chapter 3 Image





Explanation

This patient has a tibial spine avulsion, classified as type III by McKeever and Meyers. Treatment options include closed immobilization or arthroscopic or open reduction and internal fixation.

Question 8

What is the most common cause of intoeing in children with bilateral cerebral palsy:





Explanation

The most common cause of intoeing in children with bilateral spasticity is internal hip rotation. For children with hemiplegia, the most common cause of intoeing is tibial torsion. In some patients, several causes may coexist to cause the condition.

Question 9

Risk factors for superior mesenteric artery syndrome after adolescent idiopathic scoliosis surgery include all of the following except:





Explanation

Superior mesenteric artery syndrome occurs more often in patients with decreased BMI, larger and stiffer thoracic curves, lumbar apical translation of Lenke B or C , and two staged procedures.

Question 10

An 8-year-old girl fractures her right femur when starting a sprint. Based on her radiograph (Slide), which of the following is the most likely diagnosis:





Explanation

This patient has signs of a pre-existing fibrous dysplasia lesion, including a central expansion of the subtrochanteric region with a ground-glass (not lucent) appearance. She was diagnosed with fibrous dysplasia.

Question 11

An 8-year old girl with fibrous dysplasia fractures her femur (Slide). Which of the following procedures is the best treatment option:





Explanation

This lesion requires mechanical support because it is vulnerable to malunion and further deformity. Bone graft would be rapidly reabsorbed and has no lasting value in this patient. A screw with a long side plate that extends well into normal bone is the best treatment option.

Question 12

The patient presented in the radiograph (Slide) has a slight, painless limp. Which of the following is the most likely diagnosis:

Orthopedic Prometric Exam Chapter 3 Image





Explanation

This patient has multiple â ground-glassâ lesions and one cystic lesion, as well as bowing in the subtrochanteric region. The patient was diagnosed with fibrous dysplasia.

Question 13

A 14-year-old boy sustains an avulsion of the tibial tubercle while playing basketball. The fracture extends vertically into the joint, crossing the proximal tibial articular surface. He is at greatest risk for which of the following complications:

Orthopedic Prometric Exam Chapter 3 Image





Explanation

Fracture of the tibial tubercle has been reported to lead to compartment syndrome, presumably due to bleeding from the geniculate vessels and the exposed bone. This would not be expected from such a proximal fracture, but orthopedic surgeons should be aware of the possible association.

Question 14

An infant presents with idiopathic scoliosis. Which of the following factors indicates observation as the treatment of choice:





Explanation

Rib-vertebral angle difference >20° rib-vertebra phase 2, and curves >45° indicate a likely progression. The majority of infantile curves are left thoracic, so this is not a factor. A patient younger than 1 year of age has a higher chance of spontaneous resolution than an older patient. Therefore, absent other risk factors, observation is the initial recommend treatment.

Question 15

Which of the following factors predicts a lesser degree of impairment of pulmonary function in patients with adolescent idiopathic scoliosis:





Explanation

An increased Cobb angle, increased cephalad apex of the curve, decreased thoracic kyphosis, and pectus excavatum in addition to the scoliosis are factors that predict a greater degree of pulmonary impairment. A lower number of vertebrae in the curve signals less impairment.

Question 16

All except which of the following neurologic/muscular disorders can present undiagnosed in a patient with scoliosis:





Explanation

Scoliosis can be caused by any neurologic disorder that affects trunk balance. Scoliosis is seen in most patients with Friedreichâ s ataxia, a disorder in which patients present with an ataxic gait in preadolescence or adolescence. The curve becomes significant at about the same time as the ataxia. Scoliosis can also be seen in 10% of patients with C harcot-Marie- Tooth disease. This condition is characterized by cavus feet, intrinsic atrophy, and occasional hip dysplasia; no significant pain or clumsiness is present. Scoliosis is seen in many patients with syringomyelia. The syrinx and scoliosis both develop silently with no noticeable weakness until both the syrinx and the curve are significant. Spinal cord tumor may present with scoliosis in an ambulatory patient. Duchenne muscular dystrophy leads to scoliosis in most patients, but the patients become nonambulatory several years before the curve develops.

Question 17

All except which of the following structural disorders often causes scoliosis and presents undiagnosed in patients:





Explanation

Although achondroplasia causes kyphosis, it is not associated with scoliosis to a significant degree. Marfan syndrome, Ehlers- Danlos syndrome, osteogenesis imperfecta, and Loeys-Dietz syndrome (a defect in TGF-beta receptor protein) are frequently associated with scoliosis.

Question 18

Which of the following levels of evidence should be assigned to a prospective, randomized therapeutic study with 80% follow-up:





Explanation

A study may be level I as long as it has at least 80% follow-up.

Question 19

A prospective comparative study should be assigned which level of evidence:





Explanation

A comparative study is one in which patients treated one way are compared with patients treated in another manner at the same institution. As long as the study is prospective, it can be assigned level II.

Question 20

A case-control study should be assigned which level of evidence:





Explanation

A case-control study is considered level III evidence, as is a retrospective comparison study or a meta-analysis in which the lowest level of primary study is level III.

You Might Also Like

Dr. Mohammed Hutaif
Medically Verified Content by
Prof. Dr. Mohammed Hutaif
Consultant Orthopedic & Spine Surgeon
Chapter Index