Definition
Lateral ankle sprains are the most common injury in sports, accounting for 15% to 20% of all athletic injuries in some parts of the world. These injuries result in compromise or complete disruption of the lateral ankle and, often subtalar, ligamentous complexes.13,16
Ankle sprains range in severity from mild stretching to complete disruption of the ligamentous structures. Often, the injuries of moderate or medium severity are the most difficult to accurately diagnose and, therefore, manage properly.
Most acute ankle sprains respond well to a course of nonoperative therapy, including standard rest, ice, compression, and elevation (RICE) methods; functional bracing; and even immobilization followed by physical therapy.
From 30% to 40% of patients will have persistent problems related to pain and swelling for up to 6 months after the injury and 10% to 20% will have difficulties with recurrent sprains, leading to chronic
ankle instability.11
Chronic ankle instability usually manifests itself in one of two ways: (1) recurring symptoms after an acute episode of ankle sprain or (2) a pervasive feeling of looseness or “giving way” without warning.
Anatomy
The lateral ankle ligamentous complex is made up of three distinct ligaments: the anterior talofibular ligament (ATFL), the calcaneofibular ligament (CFL), and the posterior talofibular ligament (PTFL). Other structures contributing to overall lateral ankle stability are the inferior extensor retinaculum and subtalar ligamentous complex.
The ATFL, which blends with the anterolateral joint capsule, is 15 to 20 mm long, 6 to 8 mm wide, and 2 mm thick.
The ATFL originates from the anterior and distal fibula to insert on the lateral body of the talus, forming an angle of about 75 degrees to the floor.
The CFL is 20 to 30 mm long, 4 to 8 mm wide, and 3 to 5 mm thick. It originates from the posteromedial portion of the inferior fibula to travel within the peroneal tendon sheath, under the tendons, and attaches to the lateral wall of the calcaneus. The orientation is 10 to 45 degrees posterior to the longitudinal axis of the fibula. The angle formed between the ATFL and CFL is 100 to 105 degrees.
The PTFL is the largest of the lateral ankle ligaments, at 30 mm in length, 5 mm in width, and 5 to 8 mm in thickness. It has a broad insertion on nearly the entire posterior lip of the talus.
The ATFL has the lowest load to failure of the three ligaments. Conversely, it has a much higher capacity to withstand strain than the CFL or PTFL, thereby allowing the greatest deformation before failure of all three
structures.17
The ATFL is taut with the ankle in plantarflexion, whereas the CFL is relatively loose. The reverse is true for the dorsiflexed ankle. The strength of the CFL and the stability afforded by the bony mortise at the malleoli in a neutral or dorsiflexed ankle make maximal plantarflexion the position of vulnerability for lateral ankle ligament
injuries.1,3
The subtalar ligamentous structures include the lateral talocalcaneal ligament, cervical ligament, interosseous talocalcaneal ligament—thought to provide the greatest contribution to stability of the subtalar joint, and the CFL. These provide some measure of stability to the lateral ankle.
Pathogenesis
Ankle instability is thought to be either acquired, as a result of repetitive trauma, or inherited due to ligamentous laxity, biomechanical abnormality (eg, heel varus, cavus foot position), or a combination of both.
The ATFL is most commonly injured, accounting for about 75% of injuries to the ligaments of the ankle, followed by the CFL, which accounts for about 20% to 25% of these injuries. Injury to the ligaments occurs when they are either stretched or completely torn, either by avulsion from bone, or, more commonly, from midsubstance tearing.
Neuromuscular deficits also result from these inversion injuries, leading to slower firing of the peroneal muscles in response to inversion stress, decreased responsiveness in the peroneal nerve branches, weakness, and restricted dorsiflexion range of motion due to inadequate muscle forces.
Repetitive injury can result in accumulated scarring leading to anterolateral mechanical impingement or even sinus tarsi involvement.7,15
Subtalar ligaments also may be injured, although usually to a lesser extent.
Natural History
Even though most ankle sprains and instability receive some form of treatment, there is little consistency in treatment regimens. The natural history is sketchy as to what would happen in the truly untreated situation.
In one long-term study, one-third of patients treated functionally for ankle sprains had continued complaints of pain, swelling, or instability in the form of recurrent sprains.11
31
Nearly three-fourths had some level of impairment on return to sporting activity, with almost 20% incurring repeated sprains and 4% with pain at rest or severe disability.
Dysfunction after an acute sprain will persist for 6 months in 40% of injured athletes.6
Although it has been suggested that long-term lateral ankle instability and repeated traumatic events to the ankle can lead to advanced stages of degenerative disease, there is no actual proof of this theory.
Nevertheless, it is presumed that continued ankle injuries as a result of lateral ankle instability can, and often will, lead to osteochondral injuries, abnormal joint mechanics, and neuromuscular dysfunction, predisposing the individual to risk of more severe injury to the extremity or disabling degenerative arthritis of the ankle and, possibly, the subtalar joints.
Patient History and Physical Findings
Patients experiencing acute ankle sprains often describe a painful tearing or pop after sustaining an inversion
type injury. Longer standing instabilities will cause complaints of lack of confidence in the joint under high demands or frequent giving way; pain and swelling often are less severe and are of secondary concern to the patient.
Findings on examination in the acute situation are reliably present and include anterolateral ankle pain, swelling, and pain on passive plantarflexion or inversion. In the patient with a chronically unstable ankle, the examination focuses more on the anterior drawer and talar tilt tests and the “suction sign.”
Assessment for structural abnormalities also is important. Heel position should be examined in every patient, by looking at the patient from behind while he or she is standing, to determine the possible presence of varus malalignment.
Neuromuscular function is another important part of the examination. Peroneal muscle group function, specifically, is critical. Strength and stability of the peroneals should be assessed by resistive muscle grading against plantarflexion and eversion. Provocative maneuvers such as the plantarflexion eversion stress test also should be performed to ensure that the peroneal tendons do not subluxate from the retrofibular groove.
Sensory nerves should always be inspected to ensure no neurapraxia has taken place as a result of the traction from the injury.
Syndesmotic integrity should be tested with palpation, the “squeeze” test, and dorsiflexion-external rotation provocative manipulations.
Imaging and Diagnostic Studies
According to the Ottawa Ankle Rules,12 nearly 100% sensitivity is approached if the following criteria are used in the acute setting:
Tenderness at the posteroanterior edge or tip of the medial or lateral malleolus Inability to bear weight (four steps) right after the injury or in the emergency room Pain at the base of the fifth metatarsal
If radiographs are required, anteroposterior (AP), lateral, and mortise views, preferably weight bearing, should be performed, looking for avulsion fractures of the tip of either malleolus or, less frequently, the lateral calcaneus. One also should inspect for osteochondral fractures, joint malposition, and other fractures that may mimic lateral ankle sprains (see Differential Diagnosis).
Stress views can be obtained in either the AP (talar tilt) or lateral (anterior drawer) position. Performing the study while stressing the ankle (as described in the section on examination of the patient) can give meaningful information regarding the stability of the joint. Significant controversy exists on what constitutes an abnormal study, but on the basis of the cumulative review of literature on this topic, more than 15 degrees of varus tilt and 5 mm of anterior translation are reasonably considered abnormal.
Magnetic resonance imaging (MRI) is valuable for determining whether the ligamentous structures have been injured and in what time frame. Attenuation, wavy fibers, or disruption in the face of fluid accumulation suggests recent injury, whereas thickening or intrasubstance signal change gives rise to suspicion for a more remote injury. Infrequently, an absence of ligament tissue is noted, reflecting repeated injuries leading to degeneration of the complex.
Differential Diagnosis
Acute
Lateral malleolar fracture Fifth metatarsal fracture
Lateral talar process or “snowboarder's” fracture Peroneal tendon dislocation
Osteochondral defect Superficial peroneal neurapraxia
Chronic
Peroneal instability Peroneal split tears Subtalar instability Osteochondral defect
Tibiotalar or subtalar arthritis
Nonoperative Management
Nonoperative management is the mainstay of treatment for both acute and chronic instabilities. Most patients will respond to conservative management; consequently, it is essential that appropriate conservative treatment be tried for all patients before surgery is suggested.
Acute swelling and pain, whether from a new injury or recent repeat injury, are best managed with RICE. Immobilization in a walking cast or boot should be considered for anyone, demonstrating a positive drawer or talar tilt after an acute episode or recurrence.
Once the acute symptoms have subsided, functional strapping, taping, or bracing should be instituted along with an exercise regimen emphasizing peroneal strengthening, proprioceptive training, and Achilles tendon stretching.
In the patient with a chronically unstable ankle, shoe wear modifications can be added as the individual returns to sports or activities. Orthoses with lateral heel and sole wedges or flare on the lateral sole of the shoe can promote
32
a valgus moment and help avoid injury in the vulnerable patient. Reducing heel height and stiffening the sole of the shoe also can be helpful.
Prophylactic brace wear or taping has been shown to have some benefit in prevention of injury. It also has a positive effect on reduction in severity of sprains if reinjury occurs while these measures are in effect.
Surgical Management
Surgery rarely is indicated for an initial acute injury.
Acute injuries failing appropriate conservative care, in our opinion, are best treated with an anatomic repair and reinforcement using a modified Brostrom procedure.
Chronic instability failing appropriate conservative measures is more complex.
In a previously unoperated patient with MRI evidence of tissue remnants, an anatomic repair (modified Brostrom procedure) is very effective.
In patients who have repeated injuries and are left without evidence of ATFL or CFL remnant by MRI, or in patients who have previously undergone an attempt at surgical correction, reconstruction with free tendon graft is our preferred method.4,5,8,14,18
Preoperative Planning
All imaging studies, including MRI, are reviewed, and any adjunctive pathology that may need to be addressed at the time of surgery, such as fragments of bone, osteochondral lesions (OCLs), or peroneal tendon pathology, is noted.
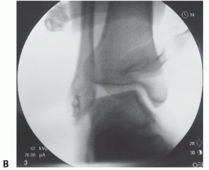
FIG 1 • A. Plain radiograph of an unstressed, non-weight-bearing ankle after injury and before anatomic repair. B. Preoperative stress radiograph of the same ankle demonstrating talar tilt.
The joint (and the contralateral joint) is examined under anesthesia to determine the true nature of instability and also to gauge the effect of the repair (FIG 1*).
Graft choice also is an important preoperative consideration. An autogenous hamstring graft can be chosen
and harvested in similar fashion to that of anterior cruciate ligament (ACL) graft harvests.4,5,8,14,18 Alternatively, should the patient be averse to violating his or her own knee, an allograft gracilis tendon has been shown to be a very suitable alternative, with the advantages of reduced pain, no donor site morbidity, and risk and effectiveness virtually the same as using the patient's own tissue.
The presence of a varus heel may necessitate the addition of a laterally based closing wedge calcaneal osteotomy.
Positioning
The patient is placed in the supine position, typically with an ipsilateral hip roll to allow access to the posterolateral corner of the ankle.
Arthroscopic examination is performed to identify any unseen intra-articular pathology.10 A thigh holder and soft tissue ankle joint distractor often are necessary for the initial portion of the procedure.
Approach
One of two approaches may be chosen, depending on the degree of pathology that is to be addressed.
For ankle ligament reconstruction alone, an anterior curvilinear incision bordering the distal inferior tip of the fibula can be combined with small vertical incisions of approximately 2 cm each posterior to the fibula to accept the graft passage and on the lateral calcaneal wall to pass and secure the calcaneofibular limb of the graft.
If it is necessary to address peroneal pathology or anterior osteophytes, a more extensile lateral malleolar incision, curving distally after the tip of the fibula, is useful (FIG 2).
An oblique incision over the calcaneus usually can be added to either approach without great concern for increased wound morbidity if a calcaneal osteotomy is necessary to promote a valgus hindfoot.
FIG 2 • Surgical approach paralleling the posterior border of the fibula is marked on the skin.*
33
Techniques
-
Talar Tunnel Placement
The lateral ankle is exposed by one of two incisions, as previously described. The origin sites of both ATFL and CFL are identified (TECH FIG 1A).
These are well established and have been anatomically quantified for position with respect to definable landmarks.2



- TECH FIG 1 • A. The talar tunnel is placed just anterior to the neck-body junction, aiming slightly posterior and lateral. B. A rent in the capsule and previously repaired ATFL are evident. C. The area of deficient capsule and ATFL are identified by instrument. D. Location of the proposed talar tunnel. E. Reaming is performed slightly deeper than the chosen screw length.
Dissection proceeds to expose the insertion of the ATFL on the lateral talus just at the corner of the lateral process as it blends from the body to the neck (TECH FIG 1B,C).
A 15- to 20-mm tunnel is drilled horizontally at this point with a 4.5- to 6-mm drill to accept the first limb of the tendon graft (TECH FIG 1D,E). -
Fibular Tunnel Placement
The fibula is exposed and a 4.5- to 6-mm tunnel is drilled from the insertion of the ATFL through the posterior fibular cortex (TECH FIG 2A-C).
A second tunnel is made more distally from the CFL insertion to a point about 3 to 4 mm distal to the previous exit point on the posterior fibular cortex. This allows for graft passage over a cortical bridge and, in addition, the graft can be sutured to periosteum to prevent sliding (TECH FIG 2D-G).
An alternative method uses a single tunnel from a point between the ATFL and CFL insertions, not violating the posterior cortex, that would accept a folded or doubled graft fixed with a single interference screw within this solitary tunnel.
34



- TECH FIG 2 • A. The origin of the ATFL is used as the entry point for the first fibular tunnel. B. The guide pin is inserted, aiming superior and posterior at 45 to 60 degrees to allow for another more inferior tunnel for the CFL limb of the graft. C. Reaming of the first tunnel is done with a size-matched reamer based on screw size and graft diameter. D. A second guide pin is inserted from the CFL origin, aiming superior and posterior, but 3 to 4 mm below the previously created tunnel. Care must be taken to avoid tunnel blowout.
- E. Reaming the second fibular tunnel. F. A bony bridge is preserved between fibular tunnels. G.
Postoperative non-weight-bearing radiograph after reconstruction of lateral ligaments with allograft. -
Calcaneal Tunnel Placement
35
A tunnel of similar size is then drilled bicortically through the lateral calcaneal wall at the level of the CFL
insertion (TECH FIG 3).



- TECH FIG 3 • A. The guide pin for the calcaneal tunnel is placed with the peroneal muscle group swept posteriorly. The tunnel is placed just inferior to the insertion point of the CFL. B. Verification of tunnel position. C. Reaming the calcaneal tunnel. D. Note the relation between the calcaneal insertion of CFL and the reamed tunnel.
-
Graft Passage
The sutured tendon is inserted first into the talar tunnel and fixed with an interference screw (TECH FIG 4A-D).
It is then woven through the fibular tunnel from the ATFL insertion, through the more proximal posterior exit tunnel, back through the more inferior fibular hole, and out the CFL origin. This gives the most anatomic origin and insertion points (TECH FIG 4E-G).
Lastly, the graft is passed through the calcaneal tunnel.
The foot is held neutral to slightly everted, and a roll of towels is placed under the calf to allow a slight posterior drawer effect. The graft is held taut as it is brought through the skin on the medial side (TECH FIG 4H).
A second interference screw is placed in the calcaneus (TECH FIG 4I).
Range of motion and stability are assessed. If tension does not feel appropriate, the calcaneal screw can be removed, the graft retensioned, and the screw replaced.
The tendon can receive a few sutures at the fibular tunnels to maintain tension of the individual limbs representing ATFL and CFL (TECH FIG 4J-L).
If the surgeon prefers the single fibular tunnel technique, the interference screw is placed in the fibula with one limb of the graft directed toward the talus (ATFL) and one to the calcaneus (CFL). These are
then similarly tensioned and fixed with individual interference screw fixation. This method is more exacting, as the limbs of tendon must be cut to exact length and fit into the proper depths of their respective tunnels.
36



- TECH FIG 4 • A. All tunnel holes are reamed in advance of graft passage. B. Allograft tendon is mounted for insertion into the tibia tunnel with the first interference screw. C. The graft is inserted into the talar tunnel and fixed by interference screw. D. Schematic of interference fit tenodesis screw. E. The graft is pulled through the first fibular tunnel by a previously placed pull-through suture weave. F. The graft is then pulled through the second fibular tunnel and tension maintained. A stay suture can be placed in the graft and the fibular periosteum to maintain the ATFL tension. G. Graft pulled through both tunnels. H. A Beath pin is used to pull the suture through the medial side of the tunnel and then out through the skin for final tensioning. I. After appropriate positioning of the ankle and tensioning of the graft, the calcaneal interference screw is inserted. (continued)
37


- TECH FIG 4 • (continued) J. Graft position is supported by a fibular bone bridge. (Without a bony bridge, the graft could subside and thus loosen in the soft cancellous bone trough.) K. Finished anatomic ligament weave featuring ATFL and CFL reconstruction. L. Postoperative stress radiograph. Note that there is no talar tilt.
-
Wound Closure
Layered closure is performed, usually with a subcutaneous layer of 2-0 Vicryl or Monocryl followed by skin sutures with 3-0 nylon. -
Calcaneal Osteotomy
If heel varus is present, a laterally based closing wedge calcaneal osteotomy may be performed.
An oblique incision is carried out directly over the area of the planned osteotomy (usually about 2 cm posterior to any other concurrent incision).
Periosteum is raised in each direction.
A 1- to 1.5-cm width is marked on the lateral wall of the calcaneal tuberosity, verifying that the osteotomy will not breach the bone tunnel.
Saw cuts are made convergently to meet just before violating medial cortex. The wedge is removed and the osteotomy closed.
Fixation can be achieved through either a large axially directed screw or staples. PEARLS AND PITFALLS
| |
| Graft
| |
1. Great care must be taken in harvesting autograft so as to get enough length on the native gracilis.
handling
1. If allograft is used, it must be ordered properly, with enough length to span the distance of the tendon weave (25 cm is plenty).
2. Once the allograft is thawed, it should be bathed in antibiotic solution until ready for use.
Tunnel placement
1. Avoid tunnel break out.
2. Consider making two separate tunnels on the posterior fibula divided by a cortical bridge between them. This will help resist the chance of graft migration on cancellous bone within the V-shaped tunnel.
Be aware of alignment.
3. Persistent heel varus can destroy a perfectly performed ligament reconstruction if not addressed.
4. If necessary, do a calcaneal osteotomy.
Tensioning the graft
1. Hold the foot in the desired neutral position (to about 5 degrees of overeversion), pull the graft taut, and fix it in this position. Ensure mobility and stability at this time. Retensioning can be done now with interference screw fixation, but it will not be possible to compensate for this later.
2. Do not overshorten the graft. This will leave the repair too tight or require another harvest.
Postoperative Care
Bulky, padded splinting in neutral positions are maintained for 10 to 14 days postoperatively.
38
Once wounds are healed satisfactorily, the patient may begin protected weight bearing in a cast, as tolerated, for another 4 weeks.
Gradual transition from cast to boot and introduction of range of motion begin 5 to 6 weeks after surgery.
Rehabilitation is then instituted, focusing on restoration of motion, Achilles stretching, proprioceptive training, and peroneal strengthening.
Athletic activity usually is withheld for 4 to 6 months.
Outcomes
Anatomic reconstruction for failed acute and chronic instability patterns continues to be our preferred method of lateral ankle ligament reconstruction. This has been shown in the literature to be extremely successful for return to function and reduction or elimination of symptoms in appropriately selected patients.
When a patient has lost reliable lateral soft tissue structures by virtue of repetitive injury or previous failed procedures, an anatomic free graft lateral ligament reconstruction provides a very good alternative.
Reconstruction using this method reconstitutes the ATFL and CFL, thus providing restoration of both ankle and subtalar stability.
Anatomic reconstruction coupled with the preservation of native peroneal tendon function provides an optimum environment for return to function.
Paterson et al14 showed 81% complete or substantial symptom resolution in 26 patients at 2-year followup by performing reconstruction of the ATFL alone. No significant differences were noted between operated and contralateral ankles with respect to range of motion or uniaxial balancing.
Coughlin et al4,5 reported on 2-year follow-up in 28 patients. All patients were rated to have good or excellent outcomes with objective improvement in talar tilt measurements (13 degrees preoperatively vs. 3 degrees postoperatively) and anterior drawer testing (on average, 10 mm preoperatively vs. 5 mm postoperatively).
Addition of tenodesis or interference screw fixation adds the advantage of being able to promote range of motion earlier with less concern for graft loosening.9,18
Complications
Nerve injury Wound problems Infection
Joint stiffness
Deep venous thrombosis Subjective under- or overtightening
Scientific References
- 1. Ardèvol J, Bolíbar I, Belda V, et al. Treatment of complete rupture of the lateral ligaments of the ankle: a randomized clinical trial comparing cast immobilization with functional treatment. Knee Surg Sports Traumatol Arthrosc 2002;10:371-377. [View Source / PubMed]
- 2. Clanton TO, Campbell KJ, Wilson KJ, et al. Qualitative and quantitative anatomic investigation of the lateral ligaments for surgical reconstruction procedures. J Bone Joint Surg Am 2014;96(12):e98. [View Source / PubMed]
- 3. Colville MR, Grondel RJ. Anatomic reconstruction of the lateral ankle ligaments using split peroneus tendon graft. Am J Sports Med 1995;23:210-213. [View Source / PubMed]
- 4. Coughlin MJ, Matt V, Schenck RC Jr. Augmented lateral ankle reconstruction using a free gracilis graft. Orthopedics 2002;25:31-35. [View Source / PubMed]
- 5. Coughlin MJ, Schenck RC Jr, Grebing BR, et al. Comprehensive reconstruction of the lateral ankle for chronic instability using a free gracilis graft. Foot Ankle Int 2004;25:231-241. [View Source / PubMed]
- 6. Gerber JP, Williams GN, Scoville CR, et al. Persistent disability with ankle sprains: a prospective examination of an athletic population. Foot Ankle Int 1998;19:653-660. [View Source / PubMed]
- 7. Hertel J. Functional instability following lateral ankle sprain. Sports Med 2000;29:361-371. [View Source / PubMed]
- 8. Jeys LM, Harris NJ. Ankle stabilization with hamstring autograft: a new technique using interference screws. Foot Ankle Int 2003;24: 677-679. [View Source / PubMed]
- 9. Jeys LM, Korrosis S, Stewart T, et al. Bone anchors or interference screws? A biomechanical evaluation for autograft ankle stabilization. Am J Sports Med 2004;32:1651-1659. [View Source / PubMed]
- 10. Komenda GA, Ferkel RD. Arthroscopic findings associated with the unstable ankle. Foot Ankle Int 1999;20:708-713. [View Source / PubMed]
- 11. Konradsen L, Bech L, Ehrenbjerg M, et al. Seven years follow-up after ankle inversion trauma. Scand J Med Sci Sports 2002;12:129-135. [View Source / PubMed]
- 12. Lynch SA. Assessment of the injured ankle in the athlete. J Athl Train 2002;37:406-412. [View Source / PubMed]
- 13. Maehlum S, Daljord OA. Acute sports injuries in Oslo: a one year study. Br J Sports Med 1984;18:181-185. [View Source / PubMed]
- 14. Paterson R, Cohen B, Taylor D, et al. Reconstruction of the lateral ligaments of the ankle using semi-tendinosis graft. Foot Ankle Int 2000;21:413-419. [View Source / PubMed]
- 15. Richie DH Jr. Functional instability of the ankle and the role of neuromuscular control: a comprehensive review. J Foot Ankle Surg 2001;40:240-251. [View Source / PubMed]
- 16. Sandelin J. Acute Sports Injuries: A Clinical and Epidemiological Study [dissertation]. Helsinki, Finland: University of Helsinki, 1988. [View Source / PubMed]
- 17. Siegler S, Block J, Schneck CD. The mechanical characteristics of the collateral ligaments of the human ankle joint. Foot Ankle 1988;8: 234-242. [View Source / PubMed]
- 18. Takao M, Oae K, Uchio Y, et al. Anatomical reconstruction of the lateral ligaments of the ankle with a gracilis autograft: a new technique using an interference fit anchoring system. Am J Sports Med 2005;33:814-823. [View Source / PubMed]
Detailed Chapters & Topics
Dive deeper into specialized chapters regarding lateral-ankle-ligament-reconstruction-using-allograft-and-interference-screw-fixation