Lateral Column Lengthening: An Intraoperative Masterclass for Acquired Flatfoot Deformity

Key Takeaway
Join us in the OR for a comprehensive masterclass on lateral column lengthening, a critical procedure for supple acquired flatfoot deformity. We'll meticulously detail surgical anatomy, precise patient positioning, and the granular, real-time execution of the Evans osteotomy, from incision to fixation. Gain invaluable insights into pearls, pitfalls, and post-operative care, ensuring optimal outcomes for your patients.
Definition
Posterior tibial tendon deficiency is a common pathologic foot and ankle deformity encountered by orthopaedic foot and ankle surgeons.
This insufficiency is described as a painful flatfoot deformity secondary to an incompetent posterior tibial tendon, leading to hindfoot valgus and forefoot abduction.
An equinus contracture, forefoot supination, and medial column instability can also be associated with posterior tibial tendon insufficiency.
Posterior tibial tendon deficiency has several classification systems. The most common classification system is the Johnson and Strom classification with Myerson modification (Table 1).12,15
Bluman et al2 further subclassified stage II posterior tibial tendon deficiency based on clinical examination (Table 2).
Deland et al5 used radiographic criteria to subclassify stage II posterior tibial tendon deficiency. Stage IIA is characterized by less than 30% of talar head uncoverage, whereas stage IIB is classified as having greater than 30% of talar head
uncoverage.5
Lateral column lengthening was incidentally discovered by Dillwyn Evans in 1961 while treating relapsed clubfeet. Evans8 noted that overcorrected clubfeet had a short lateral column and placing a wedge bone graft into the anterior process of the calcaneus equalized the length of the medial and lateral columns, correcting the forefoot abduction deformity.
Lateral column lengthening procedures including lengthening through the anterior process of the calcaneus (Evans procedure), calcaneocuboid distraction arthrodesis, or Z calcaneal osteotomy are commonly used to correct forefoot abduction and hindfoot valgus in patients with posterior tibial tendon deficiency.13,14
Anatomy
The posterior tibial tendon originates from the posterior aspect of the proximal tibia and fibula and interosseous membrane and courses distally through the tarsal tunnel with the flexor digitorum tendon as well as the posterior tibial artery, nerve, and vein.17
The posterior tibial tendon inserts onto the navicular tuberosity, cuneiform bones, and second to fourth metatarsals.17
This tendon is responsible for ankle plantarflexion and midfoot supination and adduction.
The lateral column is composed of the calcaneus, cuboid, and fourth and fifth metatarsals. It also encompasses the calcaneocuboid joint as well as the fourth and fifth tarsometatarsal joint.
The peroneal brevis tendon attaches to the base of the fifth metatarsal and acts as an antagonist of the posterior tibial tendon. The posterior tibial tendon functions during the stance phase of gait from heel strike to toe-off.
During heel strike, this tendon eccentrically contracts to decelerate subtalar joint pronation.
At heel lift-off, the posterior tibialis tendon locks the transverse tarsal joint, allowing the gastrocnemius and soleus muscles to maximize plantarflexion power.
By locking the talonavicular joint in adduction and plantarflexion, the mechanical axis of the Achilles tendon is shifted medially, causing the subtalar joint to invert and thereby creating a rigid lever for propulsion.
The posterior tibialis tendon also acts as a dynamic support structure for the medial longitudinal arch by acting to adduct and plantarflex the navicular bone around the talar head.
The medial longitudinal arch is also statically supported by the plantar calcaneonavicular (spring) ligament and the plantar fascia through a windlass mechanism.
Tendon Deficiency Classification
- Stage
- Description
IIA
Hindfoot valgus
IIB
Forefoot abduction
IIC
Medial column instability
Based on data from Bluman EM, Title CL, Myerson MS. Posterior tibial tendon rupture: a refined classification system. Foot
Ankle Clin 2007;12(2):233-249.
06
Pathogenesis
The exact cause of posterior tibial tendon failure is unknown but most likely is multifactorial.
Most common plausible explanation is repetitive microtrauma causing tenosynovitis, longitudinal splint tears, and eventual rupture. An accessory navicular is commonly associated with posterior tibial tendon pathology.
Spontaneous and traumatic ruptures are infrequently associated with posterior tibial tendon insufficiency.
Natural History
As the posterior tibial tendon decompensates and fails, the dynamic support of the medial longitudinal is lost.
The unopposed peroneal brevis tendon, which is the antagonist to the posterior tibial tendon, pulls the hindfoot into valgus and abducts the midfoot.
Failure of the powerful ankle invertor causes the mechanical axis of the Achilles tendon to move laterally, accentuating the hindfoot valgus deformity keeping the transverse tarsal joint unlocked during toe-off.
In addition, the Achilles tendon acts to plantarflex the talus through the talonavicular joint.
These events place increased stress across the static restraints of the medial longitudinal arch, causing attenuation and tearing of the spring ligament.
This results in a loss of the medial longitudinal arch, dorsolateral peritalar subluxation, and hindfoot valgus.
The functionally shortened lateral column secondary to the dorsolateral peritalar subluxation creates sinus tarsi impingement and
increases pressure through the calcaneocuboid joint.10
Further stress on the medial soft tissues leads to attenuation of the deltoid ligaments and ankle valgus deformity and resultant ankle arthritis.
Subfibular impingement occurs as the calcaneus falls further into valgus, abutting against the tip of the fibula. Finally, chronic shortening of the gastrocnemius or Achilles tendon leads to an equinus contracture.
Patient History and Physical Findings
Examination of posterior tibial tendon insufficiency includes a standing, seated, and ambulatory evaluation. On standing examination, note any deformity about the knee including genu varum, valgum, or recurvatum. Inspect for medial longitudinal arch collapse and forefoot abduction.
Evaluate for fullness or swelling along the course of the posterior tibial tendon.
Standing from behind assess for hindfoot valgus deformity. This is commonly represented as “too many toes” sign (FIG 1).
A double and single heel rise is done to evaluate the competency of the posterior tibial tendon. A normal tendon will invert the heel with a double- or single-leg heel raise. Inability to perform a single or double heel rise is commonly seen with posterior tibial insufficiency.
Frequently, there is tenderness to palpation, swelling, and warmth over the medial aspect of the ankle over the course of the posterior tibial tendon.
FIG 1 • Hindfoot valgus and too many toes sign in a patient with posterior tibial tendon deficiency.*
If the hindfoot valgus deformity is severe, the patient may have tenderness to palpation over the lateral aspect of the ankle. This discomfort is caused by impingement between the calcaneus and distal tip of the fibula termed subfibular impingement. A stress fracture of the distal fibula can occur with chronic subfibular impingement.
It is important to determine if the deformity is passively correctable. In a flexible posterior tibial tendon deficiency, the reestablishment of a plantigrade foot is achieved by manually reducing the hindfoot valgus, forefoot abduction, and forefoot supination. When the foot is rigid, not passively correctible, a triple arthrodesis instead of joint preserving procedures is warranted.
Excessive mobility at the first tarsometatarsal joint is assessed by stabilizing the hindfoot in the neutral position and testing the mobility both in the sagittal and coronal plane. When excessive motion is noted on examination, a first tarsometatarsal joint arthrodesis is necessary in order to obtain a stable medial column for weight transfer from heel strike to toe-off.
A Silfverskiöld test is performed to evaluate an Achilles tendon or gastrocnemius contracture. A tendo Achilles lengthening or
gastrocnemius recession is merited if there is a contracture, especially if a lateral column lengthening procedure is performed.
Finally, evaluate for forefoot supination on seated examination; this is a result of compensated hindfoot valgus and will determine if a plantarflexion osteotomy of the first ray is necessary.
Imaging and Diagnostic Studies
Posterior tibial tendon insufficiency is mostly a clinical diagnosis; however, foot and ankle radiographs can guide surgical decision making. Advanced diagnostic imaging such as ultrasonography and magnetic resonance imaging (MRI) can more specifically evaluate the disease severity of the posterior tibial tendon, spring ligament, or calcaneocuboid degenerative joint changes, yet its usefulness in diagnosing and surgical decision making is limited.
Obtain bilateral weight-bearing anteroposterior (AP), lateral, and oblique foot radiographs. These images, in general, should be evaluated for subtalar, talonavicular, or calcaneocuboid arthritis as well as first tarsometatarsal joint
07
instability, naviculocuneiform collapse, tarsal coalition, or an accessory navicular.
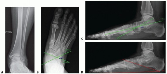
Also, obtain bilateral weight-bearing AP, lateral, and mortise ankle radiographs to evaluate for ankle instability (dorsal talar beaking and distal tibial exostoses), valgus tilt of the talus (deltoid laxity), tibiotalar joint arthritis, and subfibular impingement (FIG 2A).
The talonavicular coverage angle can be measured on the AP foot radiographs. This angle is measured between a line drawn parallel to the articular of the talus and a second line drawn parallel the articular surface of the navicular on the AP radiograph (FIG 2B). This represents the amount of forefoot abduction through the talonavicular joint.
The lateral talo-first metatarsal angle can be measured on lateral foot radiographs and determines the amount of collapse about the medial column through the talonavicular joint. This is measured as the angle between a line drawn down the longitudinal axis of the talus and a line drawn down the longitudinal axis of the first metatarsal (FIG 2C). The normal lateral talo-first metatarsal angle ranges from 4 degrees to −4 degrees.
The calcaneal pitch angle can be measured on lateral foot radiographs. This measurement evaluates the amount of pes cavus or planus. The calcaneal pitch is measured as the angle between a line tangent the inferior aspect of the calcaneus to the inferior aspect of the medial sesamoid and a second line drawn tangent to the inferior aspect of the calcaneus and the most inferior aspect of the anterior calcaneus (FIG 2D). Normal values range from 10 to 30 degrees, with a calcaneal pitch ankle less than 10 degrees representing a flatfoot deformity and more than 30 degrees representing a cavus foot deformity.
MRI is often used to rule out other causes of medial foot and ankle pathology.
MRI findings include increased fluid on T2-weighted and short T1 inversion recovery (STIR) imaging within the posterior tibial tendon sheath and/or thickening of the posterior tibial tendon on T1- or T2-weighted images represented posterior tibial tenosynovitis.

FIG 2 • A. AP radiograph of the ankle demonstrating subfibular impingement with an associated lateral malleolus fracture in a patient with posterior tibial tendon deficiency. B. AP radiograph of the foot measuring the talonavicular coverage angle. C. Lateral radiograph of the foot measuring the talo-first metatarsal angle. D. Lateral radiograph of the foot measuring the calcaneal pitch angle.*
Furthermore, a heterogenous signal within the posterior tibial tendon on T2 or STIR imaging signifies longitudinal split tearing of
the tendon.
A spring (plantar calcaneonavicular) ligament tear or rupture, however difficult, can be identified using T2 or STIR imaging.
Differential Diagnosis
Tarsal coalition Accessory navicular
Naviculocuneiform degenerative joint disease with joint collapse
Midfoot degenerative joint disease with collapse through tarsometatarsal joint Medial ankle degenerative joint disease
Osteochondral lesion talus Charcot neuroarthropathy
Neurogenic arthropathy (spinal cord lesion or central nervous system pathology)
Nonoperative Management
Conservative therapy regarding posterior tibial tendon insufficiency aims at decreasing pathologic symptoms such as pain and inflammation as well as correcting the associated foot deformities, including hindfoot valgus, forefoot abduction, and equinus contracture.
Unfortunately, nonoperative management will not permanently correct the foot deformities, repair the diseased posterior tibial tendon, or change the course of the disease.
Braces, walking boots, and short-leg casts theoretically limit the amount of posterior tibial tendon excursion allowing the tendon to rest, thus decreasing inflammation and pain.
A controlled ankle motion (CAM) or fixed ankle support (FAS) device is used for acute episode of posterior tibial tendinopathy and Johnson and Strom stage I posterior
08
tibial tendon deficiency (FIG 3A). The walking boot is worn for a short period of time or until the symptoms of pain and swelling have dissipated. Thereafter, an orthotic or brace is used to offload the posterior tibial tendon.

FIG 3 • A. Fixed ankle support device. B. Arizona brace. C. Ankle-foot orthosis.
A short-leg walking cast is used if there are compliance problems wearing the walking boot.
If the symptoms are mild, a lace-up ankle brace (Swede-O or ankle stabilizing orthosis [ASO]) will decrease that amount of inversion about the midfoot and ankle while being less cumbersome than a walking boot or cast. However, the lace-up ankle brace is less effective at limiting the excursion of the posterior tibial tendon compared to the walking boot or cast.
Nonsteroidal anti-inflammatory medications are used alone or in conjunction with other treatment modalities to manage inflammation and pain.
Corticosteroid injections within the posterior tibial tendon sheath are contraindicated and can weaken or rupture the tendon, leading to further deformity and pain.
Physical therapy includes stretching, strengthening, and therapeutic modalities.
Stretching a tight heel cord or gastrocnemius contracture will improve the hindfoot valgus deformity, alleviating the stress placed on the posterior tibial tendon.
Strengthening the posterior tibial tendon aids in inversion power of the midfoot during gait and also helps support the static restraints of the medial longitudinal arch (spring ligament). However, vigorous strengthening exercises should be avoided until pain and swelling associated with posterior tibial tendon deficiency is controlled or alleviated.
Therapeutic modalities such as ultrasound, phonophoresis, transcutaneous neuromuscular stimulation, iontophoresis, and cryotherapy aid to control inflammation and pain.
There are several orthotic devices made to correct foot deformities associated with posterior tibial tendon dysfunction or to stabilize the affected joint alleviating symptoms.
For mild deformities, such as stage I disease, a semirigid orthotic with a ¼-inch medial heel wedge and medial posting can help alleviate the tension on the posterior tibial tendon and spring ligament.
The University of California Biomechanical Laboratory (UCBL) brace is commonly employed in patients with flexible but more advanced deformities, such as stage II disease. The UCBL brace aims to reestablish the medial longitudinal arch by holding the hindfoot in neutral and preventing forefoot abduction.
Another orthotic option includes the cross ankle brace or more formally known as the Arizona brace(FIG 3B). This brace does not correct hindfoot valgus deformity; however, it does reestablish the medial longitudinal arch. This brace has been used for stage I to III posterior tibial tendon deficiency; however, because of its cumbersome nature, its compliance in stage I and II disease is poor.
For fixed deformities, stage III posterior tibial tendon deficiency, an articulating ankle-foot orthosis (AFO) may be used for pain relief. However, because this deformity is fixed, the AFO will not correct any hindfoot or forefoot deformities.
In stage IV deformity, which includes ankle valgus deformity and arthritis, a nonarticulating AFO is used for comfort and pain relief (FIG 3C*).
Surgical Management
Preoperative Planning
The surgeon should obtain and review appropriate bilateral weight-bearing foot and ankle radiographs, assess comorbidities, and whether adjunctive procedures are needed.
The surgeon should decide whether to use tricortical iliac crest allograft, tricortical iliac crest autograft, or tantalum wedges for the lateral column lengthening.
The surgeon should note the presence or absence of calcaneocuboid joint arthritis. Symptomatic calcaneocuboid joint arthritis is an indication to perform the lateral column lengthening through a calcaneocuboid joint distraction arthrodesis.
Positioning
The patient is positioned in the supine position with a bump underneath the ipsilateral hip so the toes are perpendicular to the ceiling and with a tourniquet around the ipsilateral thigh (FIG 4A,B).
09
FIG 4 • A,B. The patient is positioned supine on the operating table with a tourniquet secured to ipsilateral thigh and a bump beneath it. C. Placement of popliteal nerve catheter.
Fluoroscope is positioned on the side opposite of the surgical site.
A popliteal nerve block with or without catheter placement is frequently used to control postoperative pain and decrease narcotic use (FIG 4C*).
Surgical Approach
A longitudinal lateral incision is made either centering over the calcaneocuboid joint (calcaneocuboid arthrodesis) or starting at the calcaneocuboid joint and proceed proximally to the sinus tarsi (Evans procedure).
The lateral malleolus, calcaneocuboid joint, and peroneal tendons are palpated and outlined (FIG 5).
FIG 5 • Landmarks for the lateral approach for lateral column lengthening including the distal tip of the fibula, peroneal tendons, and calcaneocuboid joint.*
Surgical Techniques
-
Lateral Column Lengthening via Anterior Calcaneus (Evans)
- Exposure
Make a standard lateral incision measuring 6 to 8 cm centered over the calcaneocuboid joint and extended proximally to the sinus tarsi (TECH FIG 1A).
The incision is parallel to the plantar aspect of the foot and perpendicular to the calcaneocuboid joint. Identify the sural nerve and peroneal tendons and carefully retract them plantarly (TECH FIG 1B).
Elevate the extensor digitorum brevis muscle from the anterior process of the calcaneus to expose the superior corner of the calcaneocuboid joint and the sinus tarsi at the angle of Gissane (TECH FIG 1C).
Place two small Hohmann retractors, one in the sinus tarsi and the other plantar to the anterior calcaneus, after subperiosteal dissection to enhance exposure to the lateral column. - Osteotomy
Use electrocautery or a marking pen to mark a point on the lateral calcaneus, approximately 1.3 cm proximal to the superior corner of the calcaneocuboid joint (TECH FIG 2A).
The osteotomy is performed with a small oscillating saw beginning posterolaterally and aiming slightly anteromedially to avoid the subtalar joint. Irrigation is used to avoid thermal damage to bone.
Ensure peroneal tendons are retracted plantarly to avoid inadvertent damage with the oscillating saw (TECH FIG 2B).
Complete the osteotomy with an osteotome, leaving the medial hinge intact (TECH FIG 2C). AP and oblique intraoperative fluoroscopy can be used to make sure the osteotome does not completely break through the medial cortex.
Place a small lamina spreader in the osteotomy (TECH FIG 2D) and gently open until the desired correction of forefoot adduction is achieved.
Intraoperative fluoroscopic imaging of the foot with the use of a lamina spreader is useful in determining the amount of
10
correction by facilitating visualization of the restoration of the talar head coverage by the navicular on AP view.

- TECH FIG 1 • A. Incision site for the lateral approach. B. Lateral incision showing exposure of the peroneal tendons. C.
Elevation of the extensor digitorum brevis and retraction of the peroneal tendons with small Hohmann retractors.
Remove the lamina spreader without changing the amount of “spread” on the lamina; the lamina spreader can be used as a caliper to measure the size of the graft (TECH FIG 2E).
The distance between the teeth of the lamina determines the graft size (TECH FIG 2F).



- TECH FIG 2 • A. Measuring 1.5 to 2.0 cm proximal from the calcaneocuboid joint. B. Osteotomy of the anterior os calcis using a small oscillating saw. C. Completion of the osteotomy using an osteotome. D. Small lamina spreader is used to distract the osteotomy appropriately. (continued)
When using allograft, use at least a 15-mm wide iliac crest wedge. Mark the wedge size with a marking pen from the measurements obtained earlier, and then carefully cut the block in a “pie” or wedge shape, with the widest side being the cortical side (TECH FIG 3A,B).
When using autograft bone, use a standard approach to the iliac crest. Avoid the superficial branch of the femoral nerve and
11
make an incision approximately 6 cm long. Expose the anterior iliac crest using subperiosteal dissection and Taylor retractors. Mark the size of the graft from the measurements previously obtained and score the margins with a curved osteotome.

- TECH FIG 2 • (continued) E. Note the open lamina spreader on the back table to be used as a caliper to measure the bone graft size. F. Measuring the distance between the teeth of the lamina spreader for bone graft size.
Cut the block as a pie or wedge in situ, or remove a standard block and trim to a pie or wedge on the back table.
Place block into the lateral column osteotomy and tamp it in securely with a bone tamp and mallet. The graft should be flush with the margins of the osteotomy (TECH FIG 3C-E).
Use caution to avoid fracturing the graft. The senior authors use a small lamina spreader and place it in the far dorsal edge of the osteotomy to provide distraction. Avoid striking the allograft centrally and rather strike graft on the cortical edges.
Avoid subluxation of the calcaneocuboid joint. Occasionally, the senior authors temporarily fix the calcaneocuboid joint in its anatomic position with a 0.062 Kirschner wire before implanting graft.
Next, secure the graft with a single 3.5-mm fully threaded cortical screw from the anterosuperior corner of the calcaneocuboid joint across the graft into the proximal calcaneus (TECH FIG 3F-I).



- TECH FIG 3 • A. Marking the bone graft to the appropriate size. B. Bone graft wedge ready for implantation. C. Placing the bone graft into the osteotomy site. D. Tamping the bone graft into place. (continued)
Avoid using a partially threaded screw or placing a screw by lag technique. The additional compression of the lag screw, in combination with the compression provided by the distracted osteotomy, may cause crushing of the graft and a loss of lateral column length.
Use the additional cancellous allograft or autograft bone to supplement the lateral column osteotomy. Check the alignment clinically.
Use AP and lateral fluoroscopic images to confirm position and restoration of the lateral column height, the talo-first metatarsal angle, and the talonavicular coverage angle (TECH FIG 3J,K).
Undercorrection to residual deformity or overcorrection to an adductus deformity can be avoided by checking for desired alignment with the lamina spreader in place, before sizing and inserting graft.
The subcuticular layer of skin is closed using a 3-0 Monocryl suture, and the skin is approximated using a 3-0 nylon suture.
12


- TECH FIG 3 • (continued) E. Impacted iliac crest wedge. F-I. Securing the graft with a single 3.5-mm screw from the anterosuperior corner of the calcaneocuboid joint through the graft and into the os calcis. J. AP C-arm image after procedure to confirm graft and screw position. K. Lateral C-arm image.
-
Lateral Column Lengthening via Calcaneocuboid Joint Distraction Arthrodesis
- Approach
Approach the calcaneocuboid joint through a standard lateral approach centered over the calcaneocuboid joint and extending a total length of 6 to 8 cm, slightly more distal than the approach for lateral column lengthening via the anterior process of the calcaneus.
Identify the peroneal tendons and sural nerve and retract them plantarward and elevate the extensor digitorum brevis muscle dorsally.
Distract the calcaneocuboid joint with a small lamina spreader and remove the articular cartilage from both sides of the joint. Drill the subchondral bone with a 2.0-mm drill or a 0.062 Kirschner wire to provide vascular channels.
Distract the calcaneocuboid joint using the small lamina spreader until the desired correction is obtained.
Check AP and lateral fluoroscopy images with the lamina spreader in place. The AP image confirms that the navicular is
13
reduced on the talar head and the lateral view confirms that subluxation of the calcaneocuboid joint is avoided.
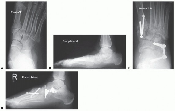
- TECH FIG 4 • Preoperative AP (A) and lateral (B) radiographs. Postoperative AP (C) and lateral (D) radiographs after lateral column lengthening through the calcaneocuboid joint. (Courtesy of Bruce Sangeorzan, MD.)
Remove the lamina spreader without changing the amount of spread on the lamina so it can be used as a caliper to measure the size of the graft.
The distance between the teeth of the lamina determines the graft size.
When using allograft, use at least a 15-mm wide iliac crest wedge or patellar wedge. Mark the wedge size from the measurement obtained earlier, and then carefully cut the block in a pie or wedge shape, with the cortical side widest.
When using autograft, use a standard approach to the iliac crest, avoiding the superficial branch of the femoral nerve, and make an incision about 6 cm long. Expose the anterior iliac crest using subperiosteal dissection and Taylor retractors. Mark the size of the graft from the measurement previously obtained and score the margins with a curved osteotome. Cut the block as a pie or wedge in situ, or remove a standard block and trim it to a pie or wedge on the back table.
Insert the graft in the calcaneocuboid joint, as flush as possible with the lateral column of the foot, and confirm correction clinically and fluoroscopically.
Maintain congruent alignment of the cuboid and calcaneus during graft insertion.
Secure the arthrodesis with a small H-plate, cervical plate, or semitubular plate (TECH FIG 4). Avoid overcompression and shortening of the lateral column.
Augment the fusion with further bone graft. Check overall clinical correction.
AP and lateral fluoroscopy images serve to confirm restoration of lateral column height, talo-first metatarsal angle, and dorsolateral peritalar subluxation.
By checking realignment with the lamina spreader before contouring or inserting the graft, overcorrection to adductus deformity and undercorrection with residual abduction is avoided.
We routinely close the wound with 3-0 Monocryl and 3-0 nylon. -
Lateral Column Lengthening via Z Calcaneal Osteotomy
- Exposure
Make a 5-cm longitudinal incision through the skin centered over the peroneal tubercle with a no. 15 blade scalpel. Use tenotomy scissors to dissect through the subcutaneous tissue, taking care to identify the sural nerve.
Identify the peroneal tendon sheath and carefully open with tenotomy scissors, taking care not to injury the peroneal tendons. Retract the peroneal tendons plantarly out of the surgical field using retractors.
Bluntly dissect the soft tissue more distally so the calcaneocuboid joint can be identified. - Osteotomy
Start the dorsal limb of the Z osteotomy 1.5 cm from the calcaneocuboid joint and mark with a surgical marking pen (TECH FIG 5A).
Mark the transverse limb of the Z osteotomy using a pen and starting at the end of the most plantar aspect of the dorsal limb and continue proximally approximately 2.0 cm.
14
- TECH FIG 5 • A. Incision showing where dorsal limb of the Z calcaneal osteotomy will be made. B. Placement of tantalum wedge in the dorsal limb of Z calcaneal osteotomy. C. Placement of tantalum wedge in plantar limb of the osteotomy.
Finally, mark the plantar limb with a surgical pen and start from the proximal aspect of the transverse limb and proceed to the plantar surface of the calcaneus.
Retract the peroneal brevis tendon dorsally while the peroneal longus tendon is retracted plantarly, gaining visualization to the transverse limb.
Using an oscillating saw, initially cut the transverse limb while taking care not to injure any medial structures.
Retract the peroneal brevis tendon plantarly with the peroneal longus tendon, and place a small Hohmann retractor within the sinus tarsi.
Using the oscillating saw, cut the dorsal limb of the Z osteotomy.
Retract the peroneal longus and brevis tendons dorsally and place a small Hohmann retractor on the plantar surface of the calcaneus.
With an oscillating saw, cut the plantar limb of the Z osteotomy.
A straight osteotome is commonly needed to complete the osteotomy.
Place a small, smooth lamina spreader in the plantar limb of the Z osteotomy and gently open until the desired correction of forefoot adduction is achieved.
Intraoperative fluoroscopic imaging of the foot with the lamina spreader in place is useful in determining the amount of correction by appreciating the restoration of the talar head coverage by the navicular on AP view.
Place trial metal wedges in the dorsal limb of the Z osteotomy for best fit.
Once the correct wedge size is determined, the appropriate sized graft can be placed into the dorsal limb of the osteotomy (TECH FIG 5B).
Remove the lamina spreader from the plantar limb. A similar size graft as the dorsal limb can then be placed into the plantar limb (TECH FIG 5C).
Tantalum, allograft, or autograft wedges can be used for graft placement within the Z osteotomy.
Often, the compression through the distraction Z osteotomy provides enough stability without further stabilization. However, a plate and screws can be used to secure the graft within the osteotomy.
The subcuticular layer of skin is closed with a 3-0 Monocryl suture, and the skin edges are approximated with a 3-0 nylon suture. PEARLS AND PITFALLS ---
| |
Physical examination
| | - Examine the patient in the sitting position with the knee bent and the hindfoot reduced to evaluate Achilles tendon contracture and with the knee straight and the hindfoot reduced to evaluate gastrocnemius
contracture. - Watch for the peroneal spastic flatfoot and evaluate appropriately for tarsal coalition.
- Evaluate for ipsilateral ankle instability.
- Assess the foot for fixed forefoot supination. Even when the hindfoot is supple and can be passively corrected, the forefoot may have compensatory supination that does not correct spontaneously. Lateral column lengthening may correct the hindfoot but could worsen the relative forefoot supination. An adjunctive medial column stabilization procedure to plantarflex the first ray may be necessary (Lapidus procedure or plantarflexion osteotomy of the medial cuneiform).
Approach ▪ Evaluate and be prepared to treat any concomitant peroneal tendon pathology, such as splits or contracture.
Osteotomy ▪ Take care not to place the osteotomy too far distal and destabilize the calcaneocuboid joint. - Take care not to place the osteotomy too far proximal and violate the middle or posterior facet of the subtalar joint.
- If the calcaneocuboid joint is unstable, secure the joint with a 0.062 Kirschner wire before distracting the osteotomy.
- Retract the peroneal tendons with a small Lambotte osteotome under the inferior edge of the calcaneus and watch carefully to avoid accidental laceration of the tendons by the oscillating saw.
- Angle the fixation screw slightly plantar to avoid placing the screw in the subtalar joint (FIG 6).
|
FIG 6 • A. Misplaced lateral column screw. B. Corrected position.
Graft size ▪ Graft is usually close to 10 mm. - Ensure that the allograft has been soaked for about 20 minutes to prevent graft fracture as you are cutting the block.
- Place the small lamina spreader in the osteotomy and open and close the device to find the appropriate amount of correction.
15
Postoperative Care
Patient is placed into a bulky short-leg posterior splint after surgery for 2 weeks.
At 2 weeks after the date of surgery, the sutures are removed and simulated weight-bearing radiographs (AP, lateral, oblique, and Harris axial heel views) are obtained (FIG 7).
Patient is placed into a toe-touch weight bearing short-leg cast.
At 6 weeks after surgery, the patient is transitioned from a short-leg cast into a fixed ankle support device and allowed to start partial weight bearing. Over the next 4 weeks, the patient is allowed to progress to full weight bearing in the walking boot.
Physical therapy is initiated working on gait training, strengthening, stretching, and therapeutic modalities. Typically, patients are allowed to return to a well-supportive lace-up tennis shoe at 10 weeks postoperatively.

FIG 7 • A-C. Postoperative standing AP foot, lateral foot, and Harris view of the os calcis. (continued)*
Outcomes
Studies have demonstrated less postoperative morbidity, higher union rates, and lower complications rates using tricortical iliac crest allograft bone for lateral column lengthening in adult acquired flatfoot deformity when compared to autograft bone.6,9
A cadaveric study demonstrated that using a starting point of 1.3 cm proximal to the calcaneocuboid joint and directed slightly posterolateral to anteromedial avoided violating the sustentaculum tali and anterior and middle facet more often than
performing an Evans osteotomy perpendicular to the plantar surface of the foot.4
Lateral column lengthening provides greater correction of the medial longitudinal arch, including talonavicular coverage angle and lateral talo-first metatarsal angle, than a medial displacement calcaneal osteotomy alone. However, after lateral column lengthening, the nonunion rate and
radiographic progression of degenerative joint disease of the calcaneocuboid joint was more common.3
16
FIG 7 • (continued) D. Clinical photograph of the patient viewed from the front, comparing the unoperated side with posterior tibial tendon insufficiency and the corrected side. Note the corrected longitudinal height and forefoot abduction. E. Clinical photograph of the patient viewed from behind, comparing the unoperated side with posterior tibial tendon insufficiency and the corrected side. Note the corrected hindfoot valgus and the absence of a too many toes sign.*
In a recent retrospective case series, it was determined that a combination of medial displacement calcaneal osteotomy and lateral column lengthening procedures resulted in greater improvement in lateral talo-first metatarsal angle and talonavicular
coverage angle compared to performing a medial displacement calcaneal osteotomy alone.11
The Evans lateral column lengthening and calcaneal distraction arthrodesis can lead to pain and increased lateral column pressure secondary to forefoot supination. A Cotton (plantarflexion) first metatarsal osteotomy or first tarsometatarsal joint arthrodesis may need to be added to correct forefoot supination.7,18,19
Increased lateral column lengthening greater than 6 to 8 mm can lead to lateral column pressures greater than those of a plantigrade foot, causing lateral column overload and lateral foot pain.16,20
Arthrodesis of the calcaneocuboid joint has no impact on subtalar joint motion and decreases talonavicular joint motion by one-third.1
Complications
Nonunion (FIG 8) or malunion Graft fracture or displacement Painful retained deep hardware
Undercorrection or overcorrection Peroneal tendon irritation or injury Sural nerve irritation or injury Lateral column pain
Calcaneocuboid degenerative joint disease
FIG 8 • A. Radiograph of late graft nonunion and hardware failure. B. Radiograph showing healed revision with plate fixation.*
Scientific References
- 1. Astion DJ, Deland JT, Otis JC, et al. Motion of the hindfoot after simulated arthrodesis. J Bone Joint Surg Am 1997;79(2):241-246. [View Source / PubMed]
- 2. Bluman EM, Title CL, Myerson MS. Posterior tibial tendon rupture: a refined classification system. Foot Ankle Clin 2007;12(2): 233-249. [View Source / PubMed]
- 3. Bolt PM, Coy S, Toolan BC. A comparison of lateral column lengthening and medial translational osteotomy of the calcaneus for the reconstruction of adult acquired flatfoot. Foot Ankle Int 2007;28:1115-1123. [View Source / PubMed]
- 4. Bussewitz BW, DeVries JG, Hyer CF. Evans osteotomy and risk to subtalar joint articular facets and sustentaculum tali: a cadaver study. J Foot Ankle Surg 2013;52:594-597. [View Source / PubMed]
- 5. Deland JT, De Asla RJ, Sung IH, et al. Posterior tibial tendon insufficiency: which ligaments are involved? Foot Ankle Int 2005;26(6): 427-435. [View Source / PubMed]
- 6. Dolan CM, Henning JA, Anderson JG, et al. Randomized prospective study comparing tri-cortical iliac crest autograft to allograft in the lateral column lengthening component for operative correction of adult acquired flatfoot deformity. Foot Ankle Int 2007;28:8-12. [View Source / PubMed]
- 7. Ellis SJ, Yu JC, Johnson AH, et al. Plantar pressure in patients with and without lateral foot pain after lateral column lengthening. J Bone Joint Surg Am 2010;92:81-91. [View Source / PubMed]
- 8. Evans D. Relapsed club foot. J Bone Joint Surg Br 1961;43(4): 722-733. [View Source / PubMed]
- 9. Grier KM, Walling AK. The use of tricortical autograft versus allograft in lateral column lengthening for adult acquired flatfoot deformity: an analysis of union rates and complications. Foot Ankle Int 2010;31:760-769. [View Source / PubMed]
- 10. Hansen ST Jr, ed. Functional Reconstruction of the Foot and Ankle. Philadelphia: Lippincott Williams & Wilkins, 2000. [View Source / PubMed]
- 11. Iossi M, Johnson JE, McCormick JJ, et al. Short-term radiographic analysis of operative correction of adult acquired flatfoot deformity. Foot Ankle Int 2013;34:781-791. [View Source / PubMed]
- 12. Johnson KA, Strom DE. Tibialis posterior tendon dysfunction. Clin Orthop Relat Res 1989;(239):196-206. 17 [View Source / PubMed]
- 13. Moseir-LaClair S, Pomeroy G, Manoli A II. Intermediate follow-up on the double osteotomy and tendon transfer procedure for stage II posterior tibial tendon insufficiency. Foot Ankle Int 2001;22:283-291. [View Source / PubMed]
- 14. Mosier-LaClair S, Pomeroy G, Manoli A II. Operative treatment of the difficult stage 2 adult acquired flatfoot deformity. Foot Ankle Clin 2001;6:95-119. [View Source / PubMed]
- 15. Myerson MS. Instructional course lectures, The American Academy of Orthopaedic Surgeons—adult acquired flatfoot deformity. Treatment of dysfunction of the posterior tibial tendon. J Bone Joint Surg Am 1996;78:780-792. [View Source / PubMed]
- 16. Oh I, Imhauser C, Choi D, et al. Sensitivity of plantar pressure and talonavicular alignment to lateral column lengthening in flatfoot reconstruction. J Bone Joint Surg Am 2013;95:1094-1100. [View Source / PubMed]
- 17. Sarrafian SK. Anatomy of the Foot and Ankle. Philadelphia; JB Lippincott, 1983:217-219. [View Source / PubMed]
- 18. Scott AT, Hendry TM, Iaquinto JM, et al. Plantar pressure analysis in cadaver feet after bony procedures commonly used in the treatment of stage II posterior tibial tendon insufficiency. Foot Ankle Int 2007;28:1143-1153. [View Source / PubMed]
- 19. Tien TR, Parks BG, Guyton G. Plantar pressures in the forefoot after lateral column lengthening: a cadaver study comparing the Evans osteotomy and calcaneocuboid fusion. Foot Ankle Int 2005;26: 520-525. [View Source / PubMed]
- 20. Xia J, Zhang P, Yang Y, et al. Biomechanical analysis of the calcaneocuboid joint pressure after sequential lengthening of the lateral column. Foot Ankle Int 2013;34:261-266. [View Source / PubMed]
You Might Also Like