Surgical Stabilization of Nonplantigrade Midfoot Charcot Arthropathy: An Intraoperative Masterclass

Key Takeaway
This masterclass guides fellows through surgical stabilization of nonplantigrade midfoot Charcot arthropathy. We'll meticulously cover comprehensive anatomy, detailed preoperative planning, and granular intraoperative execution, including Achilles lengthening, wedge osteotomy, and precise internal fixation. Expect extensive pearls on avoiding pitfalls, managing complications, and optimizing postoperative rehabilitation for superior patient outcomes.
Definition
Charcot foot arthropathy is an inflammatory disease process that primarily affects the foot and ankle of patients with long-standing diabetes (10-plus years) and diabetic peripheral neuropathy (PN).3,4,7,24
The destructive inflammatory process often leads to bone destruction and joint subluxation or dislocation. The hallmark clinical deformity is known as a rocker bottom deformity.
The resulting disabling deformity impairs walking, can be painful, and makes patients prone to develop overlying pressure-induced wounds which lead to deep infection and the eventual need for lower extremity amputation.26
Treatment has historically involved immobilization in a total contact non-weight-bearing cast during the acute destructive phase, followed by longitudinal management with accommodative shoes, foot orthoses, and ankle-foot orthoses.13
Even when this treatment is successful, the negative impact on health-related quality of life has been demonstrated to be similar to lower extremity amputation.6,17
This observation has led most experts to currently recommend surgical correction of the acquired deformity to avoid skin breakdown and deep infection, allow use of commercially available therapeutic footwear, avoid amputation, and maintain walking independence.15,24,25
This chapter will present an evidence-based algorithm for use in the management of Charcot foot arthropathy at the level of the midfoot.
Anatomy
The foot is a unique terminal end organ adapted for weight bearing.
The multiple linked small bones of the normal foot allow prepositioning of the durable plantar soft tissue envelope to accept the loading forces associated with weight acceptance and then become a stable launching platform for push-off.
FIG 1 • A,B. The Semmes-Weinstein 5.07 monofilament applies 10 g of pressure. The inability to “feel” this amount of pressure appears to be the threshold of peripheral neuropathy associated with the development of the two major foot morbidities associated with diabetes: diabetic foot ulcers and Charcot foot arthropathy.*
The bone and joint destructive associated with Charcot foot arthropathy impairs the capacity to orient the foot in the optimal position to perform these tasks.
The ensuing deformity induces weight bearing through less durable tissues, leading to soft tissue failure, ulceration overlying bony prominences, destructive osteomyelitis, and ending with systemic sepsis or need for lower extremity amputation.
Pathogenesis
The key clinical risk factor associated with the development of Charcot foot arthropathy is long-standing diabetic peripheral neuropathy as measured by insensitivity to 10 g of applied pressure with the Semmes-Weinstein 5.07 monofilament (FIG 1).
Peripheral neuropathy associated with alcohol abuse has been suggested as an initiator of the destructive disease process; however, many of these patients are eventually confirmed to be diabetic. Patients with peripheral neuropathy secondary to chemotherapy or other drugs are unlikely to develop Charcot foot arthropathy.
The true pathophysiology of Charcot foot arthropathy is likely a combination of both neurotraumatic and neurovascular theories. The inciting trauma can be a single event, that is, fracture or dislocation or repetitive microtrauma combined with the neuropathy-induced motor imbalance that creates an equinus moment at the midfoot level. Arteriovenous (AV) shunting in the bone of patients that have been demonstrated to be vitamin D deficient and osteoporotic leads to mechanical failure. Loss of protective sensation allows morbidly obese patients to continually load the mechanically weak bone, which fails, depending on the direction of the applied force vectors, leading to a clinical scenario that mimics hypertrophic nonunion or malunion.
87
Trauma appears to be the trigger that initiates the destructive inflammatory process.24 The high association of
morbid obesity in symptomatic patients would suggest a mechanical component.18
Although the presence of sensory PN is well recognized, the accompanying motor and vasomotor neuropathies are often overlooked. The motor neuropathy affects the smaller nerves and muscles of the anterior leg (foot and ankle dorsiflexors) earlier in the disease process than the posterior leg compartments, leading to a motor imbalance and an equinus-induced bending moment at the level of the midfoot. The autonomic neuropathy leads to increased swelling, making the tissues less resistant to the applied shearing forces during walking.
Baumhauer et al1 has demonstrated, via histochemical studies, the cytokines involved with the initiation of the destructive inflammatory process.24
Natural History
It is currently estimated that Charcot foot arthropathy occurs at a rate of approximately 0.3% per year in the overall diabetic population.8 Many patients are misdiagnosed with gout, tenosynovitis, cellulitis, or deep infection.20 The symptoms will spontaneously resolve in many of these patients, making determination of the
true incidence difficult.8 It is likely that those patients who are morbidly obese are more likely to become symptomatic.
Eichenholtz7 in 1966 published a detailed monograph based on his observations in 66 patients over a 30-plus year career. This clinical, radiographic, and histologic observational monograph provides valuable benchmark information on the development and progression of this destructive disease process.7
Longitudinal data would suggest that the health-related quality-of-life impact of Charcot foot arthropathy is similar to that of a transtibial amputation.6,17,23
Patient History and Physical Findings
The classic presentation is a grossly swollen, painless foot, without a history of trauma, in a mid-50s to mid-60s morbidly obese long-standing diabetic. Many patients remember a specific traumatic event, although it might be trivial (FIG 2).14,18,21 It is common for Charcot foot arthropathy to develop following fracture or
dislocation.
FIG 2 • Patients classically present with a grossly swollen, nonpainful foot without a history of trauma. In fact, most remember an episode of trauma, often trivial, and many are painful. Patients generally do not have a draining wound, supporting the presence of a diabetic foot abscess. The erythema is generally greatly lessened with elevation, which clinically differentiates it from infection.
The key element appears to be the presence of peripheral neuropathy as measured by insensitivity to the Semmes-Weinstein 5.07 (10 g) monofilament (see FIG 1*).
Classically described as painless, many patient have pain associated with the onset.
Many describe a feeling of clicking or “crunching” at the involved site, associated with the development of instability. Palpable painless joint instability is present at this time.
The foot is typically swollen, erythematous, and warm.
Imaging and Other Diagnostic Studies
Treatment can be determined based on clinical examination and plain weight-bearing radiographs. Eichenholtz7 arbitrarily categorized the timeline of the disease process into three stages.
Stage I is the early active stage of the disease process. The foot is swollen, warm, and erythematous. Radiographs are normal.
Stage II is entered when there is sufficient destruction of the ligamentous structures of the involved joints or bony weakness to allow joint dislocation and/or periarticular fracture. A healing response will often develop during this destructive phase of the disease process, prompting other authors to divide the disease process into more stages. This is when the radiographs take on the characteristic appearance of hypertrophic destruction with or without bony repair. One can conceptualize this stage somewhat similar to that of a hypertrophic nonunion.
Stage III is the consolidation of the destructive process. The resultant deformity will develop based on the mechanical loading during the active phase. Radiographs will assume a classic posture of deformity and/or
hypertrophic nonunion.7
Nuclear scanning is rarely helpful in distinguishing acute Charcot foot arthropathy from diabetic foot infection or abscess.
Magnetic resonance imaging is occasionally beneficial when it demonstrates bony destruction contiguous to a wound.
Differential Diagnosis
In the least destructive presentations of the disease process, patients are frequently misdiagnosed with a deep venous thrombosis, cellulitis, acute gout, or tenosynovitis.20
Although patients have evidence of peripheral arterial disease, as evidenced by calcified pedal or leg arteries, pedal pulses are generally bounding and ultrasound Doppler studies are normal.
The critical differential is foot abscess.
Patients with Charcot foot arthropathy do not respond to antibiotic therapy. Patients with a diabetic foot abscess, or infective cellulitis, will admit to malaise as opposed to those with Charcot foot arthropathy who do not demonstrate constitutional symptoms.
The first sign of occult infection in the diabetic is increasing blood sugar or increasing insulin demand. White blood cell count may not increase, as these patients are often poor hosts and are not capable of mounting a normal immune response.
Patients with deep infection will generally have an entry portal for infection, which might be as simple as an infected ingrown toe nail or a crack or pinhole between the toes.
88
Patients with acute Charcot foot arthropathy will have normal blood sugar levels (for the individual patient) and will not have open wounds or purulent drainage.
The erythema that is present in the diabetic patient with acute Charcot arthropathy will disappear with elevation, in contrast to the patient with an abscess or deep infection.
Nonoperative Management
Classically, treatment has been accommodative with a nonweight-bearing total contact cast during the acute phase. Long-term management has been accomplished with accommodative bracing. Surgery was only advised for bony infection or when orthotic management could not accommodate the acquired deformity.
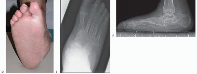
FIG 3 • A,B. Weight-bearing photographs of a 55-year-old diabetic male of normal body size. FIG 3B demonstrates that he is clinically plantigrade, that is, he is bearing weight on plantar skin designed for weight bearing. C. Weight-bearing anteroposterior radiograph demonstrating a relatively colinear talar-first metatarsal axis. Patients who are clinically and radiographically plantigrade are unlikely to develop tissue breakdown and can be managed longitudinally with therapeutic footwear. D,E. Clinical photographs 2 years following clinical presentation with active Charcot arthropathy. The foot is clinically plantigrade and capable of being managed longitudinally with commercially available therapeutic footwear (depth-inlay shoes) with custom accommodative foot orthoses. F. Weightbearing radiograph at follow-up. Although the radiograph demonstrates progression of the deformity between hindfoot and forefoot, the foot remained clinically plantigrade and has been successfully managed with commercially available therapeutic footwear.
Patients who are clinically and radiographically plantigrade can be treated with a weight-bearing total contact
cast during the active phase of the disease process.5,21 The cast should be changed every 2 weeks until the volume of the limb stabilizes and the foot is sufficiently stable to transition to therapeutic footwear (FIG 3).5,21
When followed longitudinally, patients who are clinically nonplantigrade, that is, have a noncolinear lateral talarfirst metatarsal axis, as determined from weight-bearing dorsal-plantar radiographs, are likely to develop
foot ulcers overlying the deformity over time.2,16 These patients are best treated with surgical correction of their acquired deformity(FIG 4).
89
FIG 4 • A. This 58-year-old, morbidly obese diabetic accountant is clinically bearing weight on the medial skin overlying the uncovered talar head. B. The talar-first metatarsal axis is noncolinear. Patients who are both radiographically and clinically nonplantigrade are likely to develop skin breakdown through nonplantar skin overlying bony deformity. C,D. The patient was successfully treated with surgical correction of the deformity and longitudinal management with therapeutic footwear. E,F. Clinical photographs and weight-bearing radiographs 2 years following surgery.
This extremely cooperative patient demonstrates the difficulties in longitudinal management of the nonplantigrade patient without correction of the deformity. The acute destructive process was successfully treated with a total contact cast. The patient carefully followed instructions, wearing the therapeutic footwear full time and returning for scheduled visits to both the physician and pedorthist. Despite close monitoring, the patient developed an ulcer in the skin overlying the head of the talus. When multiple surgical attempts failed, a transtibial amputation was necessary because of infection (FIG 5).
FIG 5 • A,B. This 55-year-old, extremely cooperative patient was successfully treated with a total contact cast, progressing to therapeutic footwear. Despite very careful attention by the patient and close monitoring by the patient's physicians, patient developed this ulcer using therapeutic footwear 2.5 years after the development of a Charcot foot deformity.*
Surgical Management
90
The midfoot is the most common location for the development of Charcot foot arthropathy. This is likely due to the applied mechanical bending forces produced by either intrinsic contracture of the gastrocnemius-soleus muscletendon complex limiting passive ankle dorsiflexion or the motor imbalance between the neuropathy-
weakened ankle dorsiflexors and the strong ankle plantarflexors.11,12
The first step in surgical treatment is a lengthening of the gastrocnemius -soleus motor group to create balance between ankle flexors and extensors. This is accomplished either by gastrocnemius recession (musculotendinous lengthening of the gastrocnemius) or percutaneous Achilles tendon lengthening.
In most patients, the progressive deformity is biplanar. Correction of the bony deformity can generally be achieved by removing a sufficient wedge of bone at the apex of the deformity to create a plantigrade foot (FIG 6).
FIG 6 • A,B. Typical pattern of collapse in Charcot foot collapse. The proximal osteotomy is perpendicular to the axis of the hindfoot in both planes and perpendicular to the axis of the forefoot distally in both planes. C-E. A wedge of bone that is larger at the apex of the deformity, that is, dorsal and medial, is resected to achieve surgical correction of the deformity. (continued)
Patients who are clinically good biologic hosts, have no evidence of open wounds overlying bony deformity and no deep infection and appear to have a reasonable quality of bone density, can have surgical stabilization achieved with augmented methods of internal fixation.
The two most common methods of internal fixation currently employed are large beaming intramedullary screws or rigid medial plate and screw constructs (FIG 7).22,25
In patients who clinically appear to be poor surgical hosts or have wounds or skin ulceration overlying bony deformity, deep infection, or poor-quality osteopenic bone, surgical stabilization is accomplished with a three-level ring external fixator.9,15
91
FIG 6 • (continued) F. Clinical photograph demonstrating surgical incision. G. The osteotome is in the distal osteotomy site. H. The wedge has been resected. The deformity has been corrected. Provisional fixation is accomplished with large smooth K-wires.
--- FIG 7 • A,B. Preoperative weight-bearing radiographs on a 57-year-old diabetic female with no open wounds. She underwent correction of the deformity followed by internal fixation with super construct beaming screws.
(continued)
92
FIG 7 • (continued) C,D. Radiographs at 1 year, demonstrating successful union.*
Techniques
-
Lengthening and Correction of Bone Deformity
The first step is a lengthening of the gastrocnemius musculotendinous unit by either percutaneous triple hemisection of the Achilles tendon or fractional muscle lengthening of the gastrocnemius (Strayer procedure).
Correction of the bony deformity is accomplished through an incision placed directly over or just inferior to the apex of the deformity.
A biplanar wedge of bone is resected at the apex of the deformity, allowing correction of the deformity and creation of a plantigrade foot. -
Internal Fixation
Internal fixation can be achieved with either intramedullary screws or a large medial screw-plate construct.
Beaming is accomplished by passing large intramedullary screws from the metatarsophalangeal joints of the first and fourth metatarsals across the osteotomy and into the talus. This superstructure concept theoretically behaves much like an intramedullary nail.
Several device manufacturers have developed large medial plates that can be used with “osteoporosis” large threaded screws to optimize stabilization in this patient population with poor bone quality.22,25 -
External Fixation
The application of external fixation to the Charcot foot is accomplished with a static ring technique. When this technique is employed, correction is obtained at the time of surgery and the external fixator is
employed to maintain the correction.
Provisional fixation is accomplished with large percutaneous smooth wires.
A three-level static neutral ring external fixation frame is assembled before surgery. The frame has limited adjustability to increase frame stability and minimize the risk for bolt or screw loosening. Note that the proximal ring can be “upsized” by one ring diameter size to accommodate the calf muscles (TECH FIG 1A).
The foot is centered within the closed foot ring with a two fingerbreadth clearance between the foot and the foot ring. Two olive wires are drilled through the calcaneus at a 30-degree angle to each other and parallel with the weightbearing surface of the heel. The wires are tensioned from 90 to 120 mm of tension and attached to the closed foot ring (TECH FIG 1B).
Two (three in large patients) olive wires are then drilled through the metatarsals at a 30-degree angle to each other and parallel with the weight-bearing surface of the foot. To avoid flattening the arch, each of these wires generally passes through only three metatarsals. The forefoot is compressed to the hindfoot by arch wire technique, where the wires are tensioned and then
93
attached to the foot ring one ring hole posterior to where they naturally lie (TECH FIG 1C).
Two olive wires are then drilled through the tibia at a 60-degree angle to each other, perpendicular to the weight-bearing axis of the tibia, at the level of the proximal ring. To avoid neurovascular injury, the wires are drilled through the bone and then carefully tapped through the soft tissues. With the tibia centered in the proximal ring, the wires are tensioned to 120 mm and attached to the proximal and middle rings.
Smooth wires are used in the center ring (TECH FIG 1D,E).



- TECH FIG 1 • A. A three-level static neutral ring external fixation frame is assembled before surgery. The
frame has limited adjustability to increase frame stability and minimize the risk for bolt or screw loosening.
Note that the proximal ring can be upsized by one ring diameter size to accommodate the calf muscles. B. The foot is centered within the closed foot ring with a two fingerbreadth clearance between the foot and the foot ring. Two olive wires are drilled through the calcaneus at a 30-degree angle to each other and parallel with the weight-bearing surface of the heel. The wires are tensioned from 90 to 120 mm of tension and attached to the closed foot ring. C. Two (three in large patients) olive wires are then drilled through the metatarsals at a 30-degree angle to each other and parallel with the weight-bearing surface of the foot. To avoid flattening the arch, each of these wires generally passes through only three metatarsals. The forefoot is compressed to the hindfoot by arch wire technique, where the wires are tensioned and then attached to the foot ring one ring hole posterior to where they naturally lie. D,E. Two olive wires are then drilled through the tibia at a 60-degree angle to each other, perpendicular to the weight-bearing axis of the tibia, at the level of the proximal ring. To avoid neurovascular injury, the wires are drilled through the bone and then carefully tapped through the soft tissues. With the tibia centered in the proximal ring, the wires are tensioned to 120 mm and attached to the proximal and middle rings. Smooth wires are used in the center ring.
Pearls and Pitfalls
Most of these patients are morbidly obese and have poor balance due to their peripheral neuropathy.10,15,19 We therefore allow them partial weight bearing with a modified “frame shoe.”
Whether using internal or external fixation, large soft tissue stripping wounds should be avoided to decrease the risk for deep infection and wound failure.
94
FIG 8 • A,B. Clinical photographs at 8 weeks postoperative on the day of external fixator removal.*
Postoperative Care
Patients undergoing surgical correction and maintenance with internal fixation are initially immobilized with a posterior plaster splint.
Weight bearing is initiated when the surgeon feels that the fixation construct is secure.
The cast is maintained for 6 to 8 weeks, when patients are transitioned to a commercially available pneumatic diabetic walking boot until limb volume is sufficiently stable to allow fitting with commercially available depth-inlay shoes and custom accommodative foot orthoses in a similar fashion to the nonoperative group.
Patients treated surgically with a neutral external fixator are allowed partial weight bearing with an adapted frame shoe.
The external fixator is removed at 8 to 12 weeks (FIG 8A,B), at which point a weight-bearing total contact cast is applied for 4 to 6 weeks.
Progression to therapeutic footwear is accomplished in a similar fashion to the other groups.
Outcomes
Very few clinically and radiographically plantigrade patients will require surgery if successfully treated initially.18
Walking independence and quality of life can be accomplished in over 90% of patients with a low risk for complications with well-planned surgery.10,15,19,22,25
The initial complication rate in the surgical patients was high compared with current standards. Infection rates have been greatly reduced with the use of minimal soft tissue dissection and the use of circular external fixation.
Similar successful outcomes can be achieved with single stage resection of the infection, correction of the deformity, and maintenance of the correction with static circular external fixation.9,19
Surgical correction of the deformity is accomplished before application of the external fixator, so the frame construct need not be adjustable. This absence of multiple connections appears to be responsible for the limited frame-associated morbidity.
Complications
Early attempts at surgical treatment in the complex patient population were fraught with wound infection, wound failure, and loss of mechanical fixation.
Newer methods of internal fixation designed specifically for this complex patient population, and the use of static circular external fixation have greatly decreased morbidity and improved outcomes.
Scientific References
- 1. Baumhauer JF, O'Keefe R, Schon L, et al. Free cytokine-induced osteoclastic bone resorption in Charcot arthropathy: an immunohistochemical study. Foot Ankle Int 2006;27:797-800. [View Source / PubMed]
- 2. Bevan WP, Tomlinson MP. Radiographic measure as a predictor of ulcer formation in midfoot Charcot. Paper presented at the Annual Meeting of the American Orthopaedic Foot and Ankle Society, Seattle, WA, July 2004. [View Source / PubMed]
- 3. Charcot JM. Lecons sur les maladies nerveux. New Sydenham Series, 4th Lesson, 1868. [View Source / PubMed]
- 4. Charcot JM. Sur quelques arthropathies qui paraissant dependre d'une lesion du cerveau ou de la maelle epiniere. Arch Physiol Norm Path 1868;1:161-178. [View Source / PubMed]
- 5. de Souza L. Charcot arthropathy and immobilization in a weightbearing total contact cast. J Bone Joint Surg Am 2008;90(4):754-759. [View Source / PubMed]
- 6. Dwahan V, Spratt K, Pinzur MD, et al. The AOFAS diabetic foot questionnaire in Charcot arthropathy: stability, internal consistency, and measurable difference. Foot Ankle Int 2005;26:717-731. [View Source / PubMed]
- 7. Eichenholtz SN. Charcot Joints. Springfield, IL: Charles C. Thomas, 1966. [View Source / PubMed]
- 8. Fabrin J, Larsen K, Holstein PE. Long-term follow-up in diabetic Charcot feet with spontaneous onset. Diabetes Care 2000;23(6):796-800. [View Source / PubMed]
- 9. Farber DC, Juliano PJ, Cavanagh PR, et al. Single-stage correction with external fixation of the ulcerated foot in individuals with Charcot neuroarthropathy. Foot Ankle Int 2002;23:130-134. [View Source / PubMed]
- 10. Gil J, Schiff AP, Pinzur MS. Cost comparison: limb salvage versus amputation in diabetic patients with charcot foot. Foot Ankle Int 2013;34(8):1097-1099. [View Source / PubMed]
- 11. Ledoux WR, Shofer JB, Ahroni JH, et al. Biomechanical differences among pes cavus, neutrally aligned, and pes planus feet in subjects with diabetes. Foot Ankle Int 2003;24:845-850. [View Source / PubMed]
- 12. Mueller MJ, Sinacore DR, Hastings MK, et al. Effect of Achilles tendon lengthening on neuropathic plantar ulcers. A randomized clinical trial. J Bone Joint Surg Am 2003;85-A(8):1436-1445. 95 [View Source / PubMed]
- 13. Myerson M, Papa J, Eaton K, et al. The total contact cast for management of neuropathic plantar ulceration of the foot. J Bone Joint Surg Am 1992;74(2):261-269. [View Source / PubMed]
- 14. Pinzur MS. Benchmark analysis of diabetic patients with neuropathic (Charcot) foot deformity. Foot Ankle Int 1999;20:564-567. [View Source / PubMed]
- 15. Pinzur MS. Neutral ring fixation for high-risk nonplantigrade Charcot midfoot deformity. Foot Ank Int 2007;28:961-966. [View Source / PubMed]
- 16. Pinzur MS. Surgical versus accommodative treatment for Charcot arthropathy of the midfoot. Foot Ankle Int 2004;25:545-549. [View Source / PubMed]
- 17. Pinzur MS, Evans A. Health-related quality of life in patients with Charcot foot. Am J Orthop 2003;32:492-496. [View Source / PubMed]
- 18. Pinzur MS, Freeland R, Juknelis D. The association between body mass index and diabetic foot disorders. Foot Ankle Int 2005;26: 375-377. [View Source / PubMed]
- 19. Pinzur MS, Gil J, Belmares J. Treatment of osteomyelitis in charcot foot with single stage resection of infection, correction of deformity, and maintenance with ring fixation. Foot Ankle Int 2012;33: 1069-1074. [View Source / PubMed]
- 20. Pinzur MS, Kernan-Schroeder D, Emanuele NV, et al. Development of a nurse-provided health system strategy for diabetic foot care. Foot Ankle Int 2001;22:744-746. [View Source / PubMed]
- 21. Pinzur MS, Lio T, Posner M. Treatment of Eichenholtz stage I Charcot foot arthropathy with a weightbearing total-contact cast. Foot Ankle Int 2006;27:324-329. [View Source / PubMed]
- 22. Pinzur MS, Sammarco VJ, Wukich DK, et al. Charcot foot: a surgical algorithm. Instr Course Lect 2012;61:423-440. [View Source / PubMed]
- 23. Raspovic KM, Wukich DK. Self-reported quality of life in patients with diabetes: a comparison of patients with and without Charcot neuropathy. Foot Ankle Int 2014;35(3):195-200. [View Source / PubMed]
- 24. Rogers LC, Frykberg RG, Armstrong DG, et al. The Charcot foot in diabetes. Diabetes Care 2011;34:2123-2129. [View Source / PubMed]
- 25. Sammarco VJ, Sammarco GJ, Walker EW Jr, et al. Midtarsal arthrodesis in treatment of Charcot midfoot arthropathy. J Bone Joint Surg Am 2009;91(1):80-91. [View Source / PubMed]
- 26. Sohn MW, Stuck RM, Pinzur M, et al. Lower extremity amputation risk after charcot arthropathy and diabetic foot ulcer. Diabetes Care 2010;33(1):98-100. [View Source / PubMed]
You Might Also Like