Biplanar Distal Chevron Osteotomy: A Masterclass in Hallux Valgus Correction

Key Takeaway
This masterclass details the biplanar distal chevron osteotomy for hallux valgus correction. Fellows will learn comprehensive anatomy, meticulous preoperative planning, and granular, real-time intraoperative execution. We cover precise osteotomy techniques, critical neurovascular protection, hardware application, and strategies for managing potential complications. Postoperative rehabilitation protocols are also thoroughly discussed, ensuring a complete understanding from incision to recovery.
Definition
Hallux valgus is a common condition that can affect both adults and adolescents.2,7 Patients complain of pain and restriction with activities of daily living because of the lateral deviation of the great toe, the medial deviation of the first metatarsal, and the onset of inflammation at the progressively worsening medial eminence of the first metatarsal head. The gender proportion of the hallux valgus deformity is 15
women for every man (15:1).14
Anatomy
The first metatarsophalangeal (MTP) joint's complex anatomy is directly related to its complex physiology. The concave articular surface of the great toe's proximal phalanx articulates with the convex first metatarsal head.
Its physiologic relationship is maintained by the surrounding articular capsule and collateral ligaments.7 At the plantar aspect of the first MTP joint, the sesamoid complex acts as a rail on which the first metatarsal head
glides congruently with the intrinsic and extrinsic tendons, providing power and stability to the joint.10
Pathogenesis
Congruent first MTP joint (physiologic distal metatarsal articular angle [DMAA])
The literature suggests that that lateral deviation of the great toe is the primary event leading to hallux valgus deformity. This primary deforming force has a reciprocal relationship with metatarsus primus varus; the first and second intermetatarsal angle (IMA) worsens with an increase in the hallux valgus angle (HVA)
and vice versa.10,20 The valgus of the proximal phalanx produces forces whose vectors determine the lateral deviation of the head of the first metatarsal.4,6,10,12
Congruent first MTP joint (increased DMAA)
With an increased DMAA, hallux valgus is present despite congruency of the first MTP joint. The articular surface of the first metatarsal head is in a valgus position relative to the first metatarsal shaft axis; therefore,
hallux valgus is present even without an imbalance of the muscle forces on the first MTP joint.12 However, this imbalance leads to a worsening of the deformity. Hallux valgus with an increased DMAA is less common than the incongruent type and typically occurs in men and younger patients (juvenile hallux valgus).3,4,5,6,7
Recent studies showed that the MTP joint is predominantly congruent in males with the hallux valgus
deformity.14
Natural History
Shoe wear may contribute to the development of hallux valgus deformity.2,10,18 A narrow and triangular toe box combined with high heels may force lateral deviation of the great toe, leading to a mechanical disadvantage of the abductor hallucis muscle. In males, the deformity has a clear inheritance pattern and
seems to be transmitted by the mother; shoe wear do not play a significant role in the genesis of hallux valgus in men.14
Persistence of these deforming forces may create a relative lateral displacement of the extensor hallucis longus and flexor hallucis longus tendons, which in turn may increase valgus deviation of the great toe. Eventually, the first MTP joint's medial capsule and collateral ligament become attenuated, whereas its lateral soft tissues become contracted.
The laterally deviated hallux proximal phalanx exerts a varus-producing force to the first metatarsal head,
thereby worsening the metatarsus primus varus deformity.20 Because the sesamoid complex is attached to the proximal phalanx, the sesamoid position typically remains anatomic as the first metatarsal head subluxates medially. Progression of this displacement often produces the functional deficits and pronation of the great
toe.10
Because the first MTP joint is stable and congruent but malaligned with respect to the first metatarsal axis (increased DMAA), juvenile and adolescent hallux valgus deformity should prompt evaluation for potential associated pathology, such as metatarsus adductus, hypermobility, or ligamentous laxity.14,15
Patient History and Physical Findings
Patients typically complain of pain over the first metatarsal head's medial eminence, especially while standing and walking in a narrow toe box shoe. Occasionally, patients develop a symptomatic bursitis over the medial
eminence. In males with the deformity, there is an early onset of the symptoms.14
Pain plantar to the first metatarsal head suggests a symptomatic and incongruent articulation of the sesamoids with the first metatarsal head. Compensation for this discomfort may lead to transfer metatarsalgia.
An imbalance of forefoot pressures created by the malalignment of the first ray secondary to hallux valgus may also lead to transfer metatarsalgia.
We routinely review the patient's general health, activity level, and family history of hallux valgus. We always check for comorbidities that may have a direct impact on the success of corrective bunion surgery, particularly diabetes, arthritis, and neurovascular diseases.2,10
To fully appreciate the degree of hallux valgus deformity, the involved foot must be examined with the patient standing.
We evaluate the range of motion and alignment of the ankle, hindfoot, midfoot, and forefoot with the patient standing and walking.
23
Pronation of the hallux is also best assessed with the patient standing.
The lesser toes are carefully examined for deformities, which can be rigid or supple, requiring different types of treatment.11
Pronation of the great toe must be assessed as well as the presence of callosities under the toes and forefoot associated with metatarsalgia.1,10
Passive correction of hallux valgus is attempted. With the patient standing, pressure is applied over the lateral face of the great toe, trying to correct its valgus deviation. Patients with passive correctable lateral deviation of the great toe will need less invasive or hazardous procedures for the treatment of their hallux valgus deformity, particularly the adductor hallucis release.
Hypermobility of the first ray can have an influence on the onset of the hallux valgus deformity as well as on its treatment.
It is easy to differentiate the flexible and rigid forms of hammer or claw toes by applying thumb pressure in the forefoot sole and elevating the metatarsal heads; in the flexible forms, the deformities reduces or disappears completely; in the rigid forms, the maneuver does not change the hammer or claw toes.
A positive MTP joint drawer sign indicates the presence of a capsulitis and instability of the joint due to the lesion of the plantar capsule or collateral ligaments, more commonly the lateral portion of the plantar plate.
Imaging and Other Diagnostic Studies
Hallux valgus must be assessed with a minimum of anteroposterior (AP) and lateral weight-bearing radiographs of the foot.
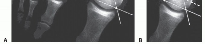
The HVA is determined by the intersection of the diaphyseal axes of the first metatarsal and the proximal phalanx. Arbitrarily, a normal HVA does not exceed 15 degrees (FIG 1A).
The IMA is the angle between the diaphyseal axes of the first and second metatarsals. Arbitrarily, a normal IMA does not exceed 9 degrees (FIG 1B).
The sesamoid position is determined by its relationship with the first metatarsal diaphyseal axis. Typically, the sesamoids remain in their anatomic position; with progressive hallux valgus deformity, the first metatarsal head progressively subluxates medially in relation to the sesamoids.
Normal (grade 0) sesamoid position: The tibial and fibular sesamoids are equidistant from the bisecting line of the first metatarsal.
Sesamoid position grades 1 to 3: Grades 1 through 3 signify an increasingly greater lateral position of the tibial sesamoid relative to the bisecting line of the tibial shaft axis, with grade 3 indicating that the tibial sesamoid is positioned completely lateral to the reference line (FIGS 1C and 2).
FIG 1 • AP radiograph of a patient with hallux valgus. Left, HVA (up to 15 degrees). Second from left, first IMA (up to 9 degrees). Second from right, sesamoid position. In this patient, the tibial sesamoid is divided into two halves by the diaphyseal axis of the first metatarsal, which means the beginning of a grade 2
sesamoid subluxation (normal is grade 0). Right, relative length of the first and second metatarsals; normal is up to 5 mm.
FIG 2 • Evaluation of hallucal sesamoid position. Grade 0, no displacement of sesamoids relative to the middle diaphyseal axis of the first metatarsal (normal). Grade 1, overlap of less than 50% of the tibial (medial) sesamoid to the reference line. Grade 2, overlap of more than 50% of the tibial sesamoid to the reference line. Grade 3, tibial sesamoid completely displaced beyond the reference line.
The interphalangeal angle (IPA) is measured between the axis of both the proximal and distal phalanx of the great toe; arbitrarily, its normal value is up to 10 degrees.
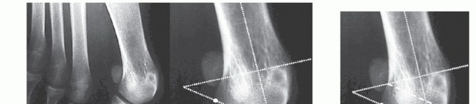
The DMAA is obtained by the intersection of the line that connects the articular edges of the head and the line bisecting the first metatarsal shaft. The DMAA normal value is up to 8 degrees (FIG 3).13,18 Inter- and intraobserver reliability for measuring the DMAA is poor.
The proximal phalanx articular angle is measured between the tangent to the proximal articular surface of the proximal phalanx of the great toe and the line bisecting the diaphyseal axis of the same phalanx. It is considered normal up to 10 degrees.
Relative length of the first and second rays is measured pre- and postoperatively. Most osteotomies lead to shortening of the first metatarsal. In our experience, greater than 5 mm of first metatarsal shortening of the first metatarsal frequently results in transfer metatarsalgia (FIG 1D).
The HVA, DMAA, and IMA are significantly higher in males, indicating that hallux valgus presents as a more severe deformity among males.14,15
Differential Diagnosis
Hallux valgus interphalangeus Hallux rigidus
Sesamoiditis
24
FIG 3 • A. AP radiograph from a patient with juvenile hallux valgus in which the absolute congruence of the MTP joint can be noted. The misalignment of the distal articular surface of the metatarsal determines the hallux valgus deformity. B. Both edges of the metatarsal head articular surface are marked. The DMAA is measured between the line that connects the articular edges and the perpendicular to the diaphyseal axis of the first metatarsal. The normal value is up to 8 degrees.
Nonoperative Management
Patient education
Although there is no concrete evidence that shoe wear causes hallux valgus, we believe that wearing shoes with tight toe boxes and high heels contributes to the worsening of deformity.
Patients with intrinsic factors contributing to hallux valgus, such as an increased DMAA, should be educated that they are particularly prone to external forces worsening their hallux valgus deformity.7
Orthotic devices and insoles may relieve symptoms but generally do not correct deformity. Moreover, patients already in need of wider toe boxes may need to find shoes with extra depth to accommodate both their foot deformity and the orthotic device. In juvenile hallux valgus (skeletally immature patients), the use of a custom-
made night splint could limit the progression but cannot reverse the deformity.16
In skeletally mature patients, intermittent use of a corrective splint does not adequately counterbalance many hours of shoe wear with a narrow toe box and a high heel.
Surgical Management
The primary indication for the biplanar distal chevron osteotomy is moderate hallux valgus deformity with a 1-2 IMA of 14 degrees or less associated with a DMAA greater than 8 degrees.13
Reports of the traditional distal chevron technique over the past two decades suggest that comparable outcomes are achieved for younger and older patients.9
In our hands, contraindications to any distal first metatarsal osteotomy for hallux valgus correction include asymptomatic deformity, a 1-2 IMA exceeding 15 degrees, first MTP joint stiffness or degenerative arthritis,
and osteoporosis or osteopenia.
The biplanar distal chevron osteotomy can be used as a complementary procedure in the surgical treatment of severe hallux valgus deformities in which the DMAA is abnormal. The combination of two or even three
osteotomies in the same ray can be considered safe if the blood supply to the metatarsal head is unharmed.17
Preoperative Planning
Satisfactory neurovascular status
Is the hallux valgus passively correctible? The surgeon should assess associated lesser toes deformities, including fixed versus flexible deformity, impingement or overlap on the first toe, and presence of plantar calluses.
Using radiographic measurements from preoperative weightbearing radiographs of the foot, we always have a preoperative estimation of the required lateral translation of the first metatarsal head and wedge resection to correct the increased DMAA.
Positioning
The patient is positioned supine, with the plantar aspect of the operated foot in line with the end of the operating table.
We stand on the side of the table immediately adjacent to the operated foot; our assistant stands at the end of the table.
We routinely use a tourniquet.
Approach
A 5-cm longitudinal midaxial medial incision is made, centered over the medial eminence (FIG 4).
Careful subcutaneous dissection is performed to protect the dorsal and plantar medial sensory nerves to the hallux.
Although the distal metatarsal metaphysis must be exposed, periosteal stripping is kept to a minimum, and the lateral vascular supply to the first metatarsal head remains protected.
In our experience, with the proper indications outlined earlier, we rarely need to perform a risky lateral dissection of the adductor hallucis tendon at the joint line.
A routine portion of the exposure, lateral dislocation of the metatarsal head, serves as a physiologic release of the adductor hallucis by bringing its phalangeal insertion closer to its origin.9,10,13
FIG 4 • The skin incision is centered over the medial eminence.
25
Techniques
-
Capsulotomy
I use a Y-shaped incision over the medial face of the MTP joint capsule, creating three distinct flaps that I reapproximate at the completion of the procedure to achieve optimal tensioning (TECH FIG 1A,B).
A short V capsular flap attached to the base of the hallux proximal phalanx may be used as an anchor to correct the deformity. I always preserve the relatively thin dorsal capsular flap continuous with the lateral capsule to maintain the blood supply to the first metatarsal head. The stout plantar capsular flap attached to the sesamoids serves to reestablish the optimal first metatarsal head-sesamoid position when tensioned after completion of the osteotomy.


TECH FIG 1 • A. The Y figure over the medial face of the MTP joint demarcating the capsular flaps. B. Following the Y figure, the articular capsule is divided to create the three flaps: a V flap attached to the base of the proximal phalanx, a thin dorsal flap, and a strong plantar flap. -
Medial and Dorsal Metatarsal Head Exposure
After capsulotomy, the first metatarsal head's medial eminence and sagittal groove are exposed.
Starting at the medial aspect of the sagittal groove, I resect the medial eminence with a small oscillating saw from dorsal to plantar, in line with the medial edge of the foot (TECH FIG 2A,B).


TECH FIG 2 • A,B. The beginning of the medial prominence removal. With the sagittal groove used as a guide, the saw is oriented in a dorsoplantar direction. (continued)
I make sure to preserve the integrity of the metatarsal head and medial cortex of the metatarsal shaft (TECH FIG 2C,D).
Occasionally, a “dorsal bunion” is present in the absence of degenerative change. I routinely resect this dorsal eminence in line with the dorsal cortex of the metatarsal shaft to eliminate any chance for impingement and potentially improve cosmesis (TECH FIG 2E).
26


TECH FIG 2 • (continued) C. The medial osteotomy must follow the medial border of the foot to preserve the integrity of the metatarsal head and diaphysis. The wrong way to do this is shown. D. The right way to proceed to the prominence resection is shown. E. The dorsal prominence of the metatarsal head is resected in line with the dorsal diaphyseal cortex. -
Osteotomy
As a point of reference, I mark the geometric center of the first metatarsal head with a sharp instrument on the prepared medial surface (TECH FIG 3A). From this point, I draw the segments (arms) of the planned osteotomy.
I cut the plantar arm of the osteotomy parallel to the inferior surface of the foot (TECH FIG 3B), thereby creating a broad and stable surface area to promote healing between the two osteotomy fragments. If some degree of plantar displacement of the metatarsal head is desirable, one can make the plantar arm cut with the saw oriented in a dorsomedial to plantar-lateral direction. The incline of the cut will determine
the amount of plantar displacement of the metatarsal head.19
According to the preoperative radiographic DMAA estimate, I plan a medially based wedge resection as part of the dorsal limb osteotomy to rotate the capital fragment into a more physiologic relationship with the first metatarsal shaft. Three methods exist to determine the correct size for the medial wedge to be
removed13:


TECH FIG 3 • A. Marking the geometric center of the metatarsal head. B. The plantar arm of the osteotomy, parallel to the plantar surface of the foot. (continued)
A trigonometric formula (wedge width = tan DMAA × first metatarsal head width [in millimeters])
Drawing the wedge corresponding to the measured DMAA over the AP radiographic image of the first metatarsal
By direct vision during the operation, make the distal cut parallel to the distal metatarsal articular surface and the proximal cut perpendicular to the long axis of the first metatarsal (TECH FIG 3C-E).
The saw blade must not violate the inferior portion of the metatarsal head fragment.
27


TECH FIG 3 • (continued) C. The positioning of the saw during the planning of the dorsal arm of the osteotomy. There is a posterior inclination of 10 to 15 degrees to create an acute vertex for the osteotomy.
D. The dorsal segment of the osteotomy is made using two cuts. The distal one is parallel to the distal articular surface, and the proximal cut is perpendicular to the metatarsal diaphyseal axis so that a medially based wedge is produced. E. The metaphyseal bone wedge is removed. -
Translation and Screw Fixation
In my experience, each millimeter of lateral metatarsal head translation corresponds to one degree of 1-2 IMA correction. Using average physiologic dimensions, the metatarsal head may be translated laterally up to 6 mm to create a 9-degree 1-2 IMA without forfeiting osteotomy stability.
After dorsal wedge resection and simultaneous to lateral translation, rotate the metatarsal head to create a physiologic DMAA and achieve optimal bony apposition at the dorsal aspect of the osteotomy.9,12
Gentle longitudinal traction on the hallux and concomitant pressure with the thumb over the medial capital fragment facilitates lateral displacement (TECH FIG 4A).
By driving the great toe as a joystick, the capital fragment is rotated under direct vision to correct the DMAA.
Once the proper positioning of the fragments is obtained, apply gentle pressure on the great toe to coapt the osteotomy site (TECH FIG 4B).


TECH FIG 4 • A. With light distraction applied on the great toe, the cephalic fragment is laterally dislocated and internally rotated to reduce both the IMA and the DMAA. B. Gentle pressure is applied on the great toe to coapt the osteotomy site. (continued)
In our experience, it is not necessary to check the position of the fragments and the amount of correction with fluoroscopy but, for those who think that it is advisable, this is the right moment to do that. You can use a 1.2-mm Kirschner wire to maintain the fragments temporarily during the fluoroscopic checking.
I routinely secure the osteotomy with a single screw, either a solid screw placed in lag fashion or a headless cannulated or noncannulated dual-pitch compression screw, while maintaining manual reduction of the osteotomy.
Screw position: 5 mm proximal to the dorsal arm of the biplanar chevron osteotomy, on the first metatarsal shaft (TECH FIG 4C)
Screw trajectory: I aim the screw 10 degrees distally and 15 degrees laterally to target the optimal portion of the laterally translated distal fragment, compress the fragments, and limit the risk of
penetrating the plantar articular surface.9
28




TECH FIG 4 • (continued) C. Making a drill hole at the dorsal aspect of the metaphysis of the metatarsal.
D. The introduction of a 2.7-mm screw to achieve the bone fixation. E. Bone fixation with a Herbert-type screw. F. The metaphyseal remaining portion must be removed from dorsal to plantar to clear the medial border of the metatarsal.
Using a 2.7-mm solid screw
Initial 2.0-mm drill hole, followed by overdrill of the near cortex with a 2.7-mm drill to create a lag effect
Because of the screw trajectory and relatively thin overlying capsule and skin, consider using a countersink.
Insertion of the 2.7-mm screw to carefully compress the osteotomy and maintain reduction (TECH FIG - 4D)
Using a headless cannulated or noncannulated dual-pitch screw Guide pin (if cannulated)
Dual-diameter drill corresponding to the particular screw system
Insertion of the screw after proper screw length has been determined, with compression of the fragments and stability created at the osteotomy (TECH FIG 4E)
Carefully resect the residual medial prominence of the proximal fragment with an oscillating saw, directing the saw blade from dorsal to plantar while avoiding any violation of the first metatarsal diaphysis (TECH FIG 4F).
I routinely irrigate the first MTP joint with saline solution to remove undesirable detritus. -
Capsulorrhaphy
I judiciously resect redundant medial capsule. Holding the proximal phalanx in optimal alignment relative to the long axis of the first metatarsal in both the sagittal and transverse planes facilitates determining the overlap of residual medial capsule.
In anticipation of some tendency toward recurrence of deformity, I typically hold the hallux in a slight varus and plantarflexion position.
In my experience, this optimal position is best maintained by the assistant holding the first metatarsal, the MTP joint, and hallux between the thumb and the second finger of the assistant's hand so that the hallux rests in the space between the assistant's first and second metacarpals (TECH FIG 5A,B).
With the assistant maintaining the optimal position, I resect the redundant capsular flaps.
Next, I check the relationship of the medial sesamoid and first metatarsal head, applying greater tension to the plantar flap to reduce the head on the sesamoids if necessary. I place a 2-0 nonabsorbable buried suture at the central corners of both the dorsal and plantar capsular flaps and systematically close the capsulotomy from distal to proximal (TECH FIG 5C).
Appose the residual V-shaped flap attached to the medial aspect of the proximal phalanx to the previously sutured dorsal and plantar flaps.
29
In my experience, removing greater capsular redundancy from the dorsal portion of the phalangeal flap facilitates correction of hallux pronation (TECH FIG 5D-F).
I use a single suture, which is placed at the center of the Y, where the capsular flaps meet (TECH FIG 5G).
Once the medial capsulorrhaphy is complete, the assistant releases the toe. Ideally, the hallux should maintain its corrected alignment without external support.
Occasionally, I augment the capsulorrhaphy with complementary tensioning sutures to obtain the desired position. Again, the hallux must be held in the corrected position or even slight varus as noted earlier (TECH FIG 5H).




TECH FIG 5 • A,B. The best way to keep the hallux in the right position during the capsulorrhaphy. The great toe must be aligned with the first metatarsal in the sagittal and transverse planes. C. After resecting the excess, the dorsal flap is sutured to the plantar capsular flap. D. The V-shaped flap attached to the proximal phalanx is apposed to the dorsal and plantar flaps. E,F. The excess of the V flap is determined and resected. (continued)
Close the subcutaneous tissue with interrupted absorbable sutures.
I favor using absorbable subcuticular sutures and interrupted fine nylon suture in young patients (more favorable skin) and older patients (less favorable skin), respectively. I routinely use a bunion dressing, or H dressing, in the first web space to relieve tension on the medial capsulorrhaphy. I wrap the forefoot with a sterile cotton bandage followed by an adhesive bandage that maintains slight compression on the first metatarsal.
30
TECH FIG 5 • (continued) G. A single suture is placed in the vertex of the V-shaped flap. After the toe is released, its adequate position is checked. H. While the great toe is kept at the right position, the capsular suture is finished.


PEARLS AND PITFALLS
| Indications ▪ I favor a proximal first metatarsal osteotomy with a 1-2 IMA greater than 15 degrees.
1. In my experience, the power of 1-2 IMA correction is limited by the width of the metatarsal head.
2. In general, 1 mm of lateral translation equals 1 degree of 1-2 IMA correction.
3. A biplanar osteotomy is not required, unless the DMAA exceeds 8 degrees.
Approach ▪ I routinely perform the skin incision 2 mm dorsal to the medial midaxial line to identify and protect the dorsomedial sensory nerve to the hallux.
Capsular flaps ▪ Develop the capsular flaps carefully to allow optimal soft tissue balancing during capsulorrhaphy.
Medial ▪ Perform the medial eminence resection in line with the medial foot, not the eminence medial aspect of the first metatarsal.
resection ▪ Less resection is better (limits potential for varus).
Osteotomy ▪ The plantar arm should be parallel to the plantar plane of the foot.
4. The apex of the wedge to be resected dorsally should coincide with the lateral cortex of the head to avoid shortening of the metatarsal.
Screw fixation ▪ Direct the drill and screw laterally to capture the plantar “tongue” of the distal fragment.
5. Avoid placing a screw that penetrates the plantar cortex at the metatarsal head-sesamoid complex.
6. Remember to countersink the dorsal metaphyseal cortex when using a 2.7-mm screw.
| |
Capsulorrhaphy ▪ Be sure that your assistant maintains the great toe at the right position during capsulorrhaphy.
Dressing ▪ Should maintain the great toe in the optimal position for 3 weeks
| ---|---|---
Postoperative Care
Anticipated dried blood may harden the bandage and create pressure-related symptoms postoperatively. This occurs often enough that we routinely change the patient's bandage on postoperative day 3 or 4.10
We allow my patients to bear weight in a Barouk postoperative shoe after the first dressing change. This orthosis concentrates the patient's weight on the rear of the foot while protecting the forefoot. Our patients do not routinely require crutches or assistive devices, but the occasional elderly patient with comorbidities may benefit from temporary use of a walker.
We routinely change the bandage for my bunion patients at 10-day intervals to confirm that proper great toe alignment is maintained. To confirm that the alignment and reduction are maintained, we obtain a radiograph of the operated foot at 3 weeks after surgery. In our experience, at 1 month postoperatively, patients may transfer to a pair of soft and wide lace-up shoes and initiate hallux range-of-motion exercises.
In our practice, it takes an average of 3 to 4 months for patients to reach the maximum range of motion and return to regular shoe wear and full activity.
Outcomes
Patient satisfaction rates after distal biplanar chevron osteotomy for moderate hallux valgus deformity approach 90%, depending on appropriate patient expectations and selection.13
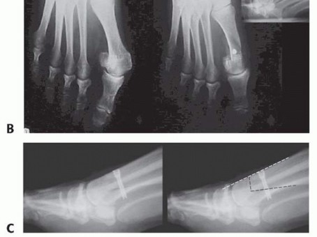
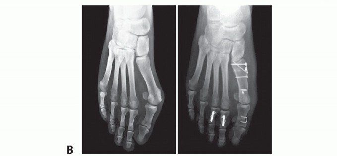
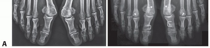
In our experience, the procedure reliably and reproducibly corrects the 1-2 IMA, HVA, and increased DMAA (FIG 5) and can be useful as a complementary procedure in severe cases (FIG 6).
Complications
Complications are similar to other distal first metatarsal osteotomies for correction of hallux valgus. Recurrence or undercorrection
Inappropriate preoperative planning Stretching the indications
31
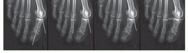
FIG 5 • A. Preoperative and postoperative radiographic images of a right foot with hallux valgus with increased DMAA, treated by the biplanar chevron osteotomy. The correction of the DMAA and the sesamoid position is easy to see. The valgus of the great toe was also satisfactorily corrected. B. In these images, we can see the correction obtained with the biplanar distal chevron osteotomy. The cephalic fragment was 6 mm laterally dislocated to correct the IMA and the sesamoid position. The DMAA and HVA were corrected to normal values. In the lateral view, we can see the size and position of the screw used in the fragment fixation. C. Lateral views of a patient treated by the biplanar distal chevron osteotomy, where we can see both the plantar and dorsal arms of the osteotomy, the position of the screw used in its fixation, and the alignment of the cephalic fragment with the metatarsal diaphysis resulting from the dorsal fragment resection.
Usually due to inadequate Lateral translation
Rotation of the first metatarsal head
Soft tissue balancing during the capsulorrhaphy
Lack of proper postoperative bunion dressing Avascular necrosis of the head of the first metatarsal
Overzealous lateral soft tissue stripping
Overpenetration of the saw blade into the lateral capsule
Although radiographic first metatarsal head changes are frequently observed after distal metatarsal osteotomies, they rarely progress to symptomatic necrosis and collapse of the metatarsal head.8
First MTP joint stiffness
In our experience, joint stiffness responds to physical therapy and advancing the weight-bearing status. We maintain that slight overcorrection and some MTP joint stiffness is preferable to undercorrection and full MTP joint motion.
Hallux varus
Overresection of the medial capsule
Unnecessary overrelease of the lateral capsule and adductor hallucis tendon
FIG 6 • Preoperative (A) and postoperative (B) radiographic images of a patient with severe hallux valgus
deformity with increased DMAA treated by the combination of a proximal opening wedge osteotomy, a distal
biplanar chevron osteotomy, and a proximal phalangeal closing wedge “Akin” osteotomy.
Scientific References
- 1. Alexander IJ, ed. Disorders of the first MTP joint. In: The Foot: Examination and Diagnosis, ed 2. New York: Churchill Livingstone, 1997:69-82. [View Source / PubMed]
- 2. Campbell JT. Hallux valgus: adult and juvenile. In: Richardson EG, ed. OKU, Orthopaedic Knowledge Update: Foot and Ankle, ed 3. Rosemont, IL: American Academy of Orthopaedic Surgery, 2004: 3-15. [View Source / PubMed]
- 3. Coughlin MJ. Forefoot disorders. In: Baxter DE, ed. The Foot and Ankle in Sport. St Louis: Mosby, 1994:221-244. [View Source / PubMed]
- 4. Coughlin MJ. Hallux valgus with increased DMAA. In: Nunley JA, Pfeffer GB, Sanders RW, et al, eds. Advanced Reconstruction Foot and Ankle. Rosemont, IL: American Academy of Orthopaedic Surgery, 2004:3-18. [View Source / PubMed]
- 5. Coughlin MJ. Second metatarsophalangeal joint instability in the athlete. Foot Ankle 1993;14:309-319. [View Source / PubMed]
- 6. Coughlin MJ, Carlson RE. Treatment of hallux valgus with an increased distal metatarsal articular angle: evaluation of double and triple first ray osteotomies. Foot Ankle Int 1999;20:762-770. [View Source / PubMed]
- 7. Coughlin MJ, Roger A. Mann Award. Juvenile hallux valgus: etiology and treatment. Foot Ankle Int 1995;16:682-697. [View Source / PubMed]
- 8. Easley ME, Kelly IP. Avascular necrosis of the hallux metatarsal head. Foot Ankle Clin 2000;5:591-608. [View Source / PubMed]
- 9. Johnson KA, ed. Chevron osteotomy. In: Master Techniques in Orthopaedic Surgery: The Foot and Ankle. New York: Raven, 1994: 31-48. [View Source / PubMed]
- 10. Myerson MS, ed. Hallux valgus. In: Foot and Ankle Disorders, ed 2. Philadelphia: WB Saunders, 2000:213-288. [View Source / PubMed]
- 11. Nery C. Tornozelo e pé. In: Barros TEP, Lech O, eds. Exame Físico em Ortopedia. Sarvier: São Paulo, 2001:267-300. [View Source / PubMed]
- 12. Nery C, Barrôco R, Maradei S, et al. Osteotomia em chevron biplana: apresentação de técnica. Acta Ortop Brasil 1999;7:47-52. [View Source / PubMed]
- 13. Nery C, Barroco R, Réssio C. Biplanar chevron osteotomy. Foot Ankle Int 2002;23:792-798. [View Source / PubMed]
- 14. Nery C, Coughlin MJ, Baumfeld D, et al. Hallux valgus in males—part 1: demographics, etiology and comparative radiology. Foot Ankle Int 2013;34(5):629-635. [View Source / PubMed]
- 15. Nery C, Coughlin MJ, Baumfeld D, et al. Hallux valgus in males— part 2: radiographic assessment of surgical treatment. Foot Ankle Int 2013;34(5):636-644. 32 [View Source / PubMed]
- 16. Nery C, Mizusaki J, Magalhães AAC, et al. Tratamiento conservador del hallux valgus juvenil mediante ortesis nocturnas. Rev Española Cir Osteo 1997;187:32-37. [View Source / PubMed]
- 17. Nery C, Réssio C, de Azevedo Santa Cruz G, et al. Proximal opening-wedge osteotomy of the first metatarsal for moderate and severe hallux valgus using low profile plates. Foot Ankle Surg 2013;19: 276-282. [View Source / PubMed]
- 18. Nery C, Réssio C, Netto AA, et al. Avaliação radiológica do hálux valgo: estudo populacional de novos parâmetros angulares. Acta Ortop Brasil 2001;9:41-48. [View Source / PubMed]
- 19. Pearce CJ, Sexton SA, Sakellariou A. The triplanar chevron osteotomy. Foot Ankle Surg 2008;14(3):158-160. [View Source / PubMed]
- 20. Piggott H. The natural history of hallux valgus in adolescence and early adult life. J Bone Joint Surg Br 1960;42B:749-760. [View Source / PubMed]
You Might Also Like