Calcaneal Lengthening Osteotomy: A Masterclass in Hindfoot Valgus Correction

Key Takeaway
Step into the operating theater for a masterclass on calcaneal lengthening osteotomy. This guide covers the intricate anatomy of hindfoot valgus, meticulous preoperative planning, and precise intraoperative execution. We'll explore critical surgical steps, instrument use, and real-time decision-making, emphasizing neurovascular protection. Learn to identify and manage potential pitfalls, ensuring optimal patient outcomes through detailed postoperative rehabilitation protocols.
Calcaneal Lengthening Osteotomy for the Treatment of Hindfoot Valgus Deformity ## DEFINITION Valgus deformity of the hindfoot exists when the calcaneus is angled away from the midline of the body in relationship to the talus.Eversion is a more specific and appropriate term for the hindfoot valgus deformity that is seen in congenital and developmental flatfoot and skewfoot deformities.Valgus deformity of the hindfoot, which is often perhaps inappropriately referred to as pronation , is one component of eversion of the subtalar joint.The other, and more important, components of eversion are external rotation and dorsiflexion of the calcaneus (acetabulum pedis) in relation to the plantarflexed talus._Flatfoot is the term used to describe a weight-bearing foot shape in which the hindfoot is in valgus alignment, the midfoot sags in a plantar direction with reversal of the longitudinal arch, the forefoot is supinated in relation to the hindfoot, and the foot points in an externally rotated direction from the knee._There is no agreement on strict clinical or radiographic criteria for defining a flatfoot. Therefore, the point beyond which a foot with a low-normal arch becomes defined as a flatfoot is unknown.There are three recognized types of flatfoot: flexible (hypermobile) flatfoot, flexible (hypermobile) flatfoot with a short Achilles tendon, and rigid flatfoot.Valgus deformity of the hindfoot is also seen in skewfoot, congenital oblique talus, and congenital vertical talus. ## ANATOMY Acetabulum pedis is a term that was coined by Scarpa over 200 years ago to describe and compare the subtalar joint with the hip joint because of certain similarities that exist between them. It is a cup-like structure consisting of the navicular, spring ligament, and anterior end of the calcaneus that rotates around the talus following the oblique axis of the subtalar joint.The axis of the subtalar joint is not in any of the standard planes of motion of the body. In the transverse plane, the subtalar axis deviates about 23 degrees medial to the long axis of the foot. In the sagittal plane, the axis deviates about 41 degrees dorsal from horizontal. The summation of the angles creates an oblique axis for the subtalar joint that produces downward and inward motion during inversion and upward and outward motion during eversion.Eversion of the acetabulum pedis results in loss of support for, and plantarflexion of, the talus. Although the calcaneus dorsiflexes “upward” in relation to the talus, it becomes plantarflexed in relation to the weight-bearing axis of the tibia. The navicular also dorsiflexes upward at the talonavicular joint as the focal point for the midfoot sag. “Outward” motion of the acetabulum pedis creates the external rotation of the rest of the foot in relation to the talus and tibia that is manifest as a positive thigh-foot angle and an out-toeing gait. Convexity of the plantar-medial border of the foot is also a manifestation of outward motion of the acetabulum pedis, reflecting thedorsolateral positioning of the navicular on the head of the talus. These altered relationships create a real, or apparent, shortening of the lateral column (or border) of the foot relative to the medial column.A flatfoot combines valgus deformity of the hindfoot with supination deformity of the forefoot to create a low or absent longitudinal arch ( FIG 1). These are rotationally opposite deformities.The forefoot in a flatfoot is supinated in relation to the pronated/valgus hindfoot. Were it not, forefoot weight bearing would occur solely on the first metatarsal with the fifth metatarsal off the ground.In a skewfoot, the forefoot is supinated in relation to the pronated/valgus hindfoot but pronated in relation to the midfoot. The midfoot is adducted in relation to the hindfoot.The shapes of the bones and the laxity of the ligaments of the foot determine the height of the longitudinal arch. The muscles maintain balance, accommodate the foot to uneven terrain, protect the ligaments from unusual stresses, and propel the body forward.The intrinsic muscles are the principal stabilizers of the foot during propulsion. Greater intrinsic muscle activity is required to stabilize the transverse tarsal and subtalar joints in a flatfooted individual than in an individual with an average height longitudinal arch. ## PATHOGENESIS Based on clinical and radiographic studies, flatfoot is ubiquitous in infants and children and is seen in over 20% of adults. The arch increases in height in most children through normal growth and development during the first decade of life. The arch decreases in height in most of those older children and adolescents who have a rigid flatfoot, a condition affecting about 2% to 5% of the population that is most often associated with a tarsal coalition.Flexibility (hypermobility) in a flexible flatfoot refers to the motion in the subtalar joint. There is full excursion of the Achilles tendon in this class of flatfoot. It is the normal congenital foot shape seen in almost all babies and accounts for about two-thirds of the 23% of flatfooted adults. It is the normal contour of a strong and stable foot, not the cause of disability.
---
FIG 1 • Flatfoot. A. Top view shows outward rotation of the foot in relation to the lower extremity. The patella is facing forward in this image. B. Back view shows valgus alignment of the hindfoot and “too many toes” seen laterally. C. Medial view shows depression of the longitudinal arch and a convex medial border of the foot. (From Mosca VS. Calcaneal lengthening osteotomy for valgus deformity of the hindfoot. In: Tolo V, Skaggs D, eds. Master Techniques in Orthopaedic Surgery: Pediatric Orthopaedics. Philadelphia: Lippincott Williams & Wilkins, 2008:263-276.) A flexible flatfoot with a short Achilles tendon has the same flexibility in the subtalar joint as a flexible flatfoot buthas limited ankle dorsiflexion owing to contracture of the Achilles tendon. This entity accounts for about one-fourth of the 23% of flatfooted adults and often causes pain with callus formation under the head of the talus. The age or point at which the Achilles tendon contracture develops is unknown.A contracted Achilles tendon prevents normal dorsiflexion of the talus in the ankle joint during the late midstance phase of the gait cycle. The dorsiflexion stress is shifted to the subtalar joint complex where, as a feature of eversion, the acetabulum pedis dorsiflexes in relation to the talus and also in relation to the tibia. The talus remains rigidly plantarflexed. The soft tissues under the head of the talus are subjected to excessive direct axial loading and shear stresses.These stresses create callus formation and pain at that site.Pain may also be experienced in the sinus tarsi region because of impingement of the beak of the calcaneus with the lateral process of the talus at the extreme range of eversion.Rigidity in a rigid flatfoot refers to the restriction of motion in the subtalar joint. This type of flatfoot accounts for about 9% of the 23% of flatfooted adults. It is usually associated with a tarsal coalition and is, therefore, developmental rather than congenital.The longitudinal arch gradually lowers to a flatfoot shape in these feet in late childhood, generally after the age of 8 years. This is the time at which the fibrous coalition begins undergoing metaplasia to cartilage and eventually to bone. Tarsal coalitions cause pain in less than 25% of cases. A coalition may be associated with an Achilles tendon contracture. The frequency of that association is not known.Valgus deformity of the hindfoot is one of the segmental deformities in a congenital skewfoot, a condition for which the incidence, natural history, and even an objective definition are not known. Skewfoot also exists as an iatrogenic deformity, typically seen in a surgically treated clubfoot. Congenital and acquired skewfoot may be associated with an Achilles tendon contracture, thereby increasing its risk for creating pain in the same way that a flexible flatfoot with a short Achilles tendon may cause pain. The frequency of that association is not known. ## NATURAL HISTORY Flatfoot is a poorly defined foot shape found in most children and over 20% of adults. For most, it is an anatomic variation from average that does not cause pain or other disability.The longitudinal arch develops spontaneously in most children during the first decade of life.Flexible flatfoot with a short Achilles tendon often causes pain with callus formation under the head of the talus and/or pain in the sinus tarsi area.The age or point at which the Achilles tendon contracture develops is unknown.Rigid flatfoot causes pain in less than 25% of cases, although it causes restriction of subtalar motion in all.Skewfoot is a poorly defined foot shape for which the natural history is not known. Review of the literature would suggest that most are, and remain, asymptomatic throughout life. ## PATIENT HISTORY AND PHYSICAL FINDINGS Children with flexible flatfoot are rarely symptomatic, although they may experience nonspecific leg or foot aches after strenuous activities or at the end of the day. Older children and adolescents with flexible flatfoot with a short Achilles tendon will often experience pain, tenderness, and callus formation under the head of the plantarflexed talus in the midfoot or in the sinus tarsi area or at both sites. About 25% of children and adolescents with a tarsal coalition report activity-related pain that may be located in the sinus tarsi area, along the medial hindfoot and/or under the head of the talus.Commonly, parents seek consultation for their child with a painless flatfoot because of concerns regarding the appearance of the foot, the child's uneven shoe wear, or concerns about the potential for future disability. Such concerns about future disability are based on unsubstantiated claims
*
by generations of health care providers that flatfoot is a deformity that requires treatment to prevent pain and disability.Evaluation of the child's foot should begin with a screening evaluation of the entire musculoskeletal system. The general examination includes assessment of ligament laxity, torsional and angular variations of the lower extremities, and the walking pattern. Their interrelationships are important to keep in mind during evaluation of the foot because all of these features, including the shape of the foot, change as the child grows.Assessment of the foot begins with the recognition that a flat-foot is not a single segment deformity. It is a multisegment combination of deformities that includes a valgus/eversion deformity of the hindfoot and a supination deformity of the forefoot on the hindfoot. There is a lateral rotational deformity as well, which is a component of eversion. The axis of the subtalar joint is in an oblique plane, such that eversion creates valgus, external rotation, and dorsiflexion of the so-called acetabulum pedis around the talus.The foot must be evaluated in weight bearing and non-weight bearing.In weight bearing, the clinician should note the valgus alignment of the hindfoot, the depression of the longitudinal arch, and the outward rotation of the foot in relation to the sagittal plane of the tibia, which is perpendicular to the flexion-extension plane of the knee.The flexibility of the flatfoot pertains to the mobility of the subtalar joint. A flexible flatfoot has free and supple subtalar joint motion. A rigid flatfoot has restriction of motion in that joint.Flexibility of the subtalar joint can be assessed manually. With the hindfoot cupped in one hand and the forefoot held (for better foot control) in the other hand, the subtalar joint is inverted and everted around its oblique axis of motion using the hand that is cupping the hindfoot ( FIG 2). It is important to ensure that the apparent motion is occurring in the subtalar joint and that it is not false motion through hypermobile Chopart joints.
---
FIG 2 • Inversion and eversion of the subtalar joint is assessed by manually moving the acetabulum pedis back and forth along the axis of the subtalar joint. Forefoot supination can be appreciated when the hindfoot is inverted to neutral. While maintaining subtalar joint neutrality, the ankle is dorsiflexed with the knee first flexed and then extended to assess the excursion of the soleus and the gastrocnemius, respectively. (From Mosca VS. Flexible flatfoot and skewfoot. In: McCarthy J, Drennan J, eds. The Child's Foot and Ankle, ed 2. Philadelphia: Lippincott Williams & Wilkins, 2010:136.)
---
### FIG 3 • A,B. With toe standing, the heel vagus converts to varus and the longitudinal arch elevates in a flexible flatfoot. (From Mosca VS. Flexible flatfoot and skewfoot. In: McCarthy J, Drennan J, eds. The Child's Foot and Ankle, ed 2. Philadelphia: Lippincott Williams & Wilkins, 2010:136.) Flexibility of the subtalar joint can also be assessed dynamically in weight bearing. The arch elevates and the hindfoot corrects from valgus to varus in a flexible flatfoot during toe standing ( FIG 3) and with the Jack toe raise test (see Exam Table for Pediatrics: Lower Extremities). These two maneuvers take advantage of the windlass action of the plantar fascia to mobilize the subtalar joint into inversion and create a longitudinal arch.Supination of the forefoot is revealed when the hindfoot is passively inverted to neutral alignment (see FIG 2).Dorsiflexion of the ankle joint, as assessed by excursion of the Achilles tendon, is important yet difficult to evaluate accurately. A component of subtalar joint eversion is dorsiflexion of the calcaneus in relation to the talus. Therefore, the subtalar joint must be held inverted to the neutral position to isolate and assess the motion of the talus in the ankle joint.The Silfverskiöld test is used to differentiate ankle joint dorsiflexion from subtalar joint dorsiflexion (see “Flexibility of the Achilles tendon and the Gastrocnemius Tendon” in Exam Table for Pediatrics: Lower Extremities).With the subtalar joint inverted to neutral, the knee is flexed to 90 degrees. The ankle is maximally dorsiflexed without allowing the subtalar joint to evert. The degree of dorsiflexion is measured as the angle between thelateral border of the foot and the anterior shaft of the tibia. The knee is then extended while maintaining subtalar neutral, even if it creates plantar flexion of the ankle. The degree of ankle dorsiflexion is once again measured.It is normal for the ankle to dorsiflex at least 10 degrees above neutral with the knee extended and even further with the knee flexed. The entire triceps surae (gastrocnemius and soleus) is contracted if the ankle does not dorsiflex at least 10 degrees above neutral with the knee flexed or extended. The gastrocnemius is selectively contracted if the ankle dorsiflexes at least 10 degrees above neutral with the knee flexed but not when it is extended.
*
IMAGING AND OTHER DIAGNOSTIC STUDIES
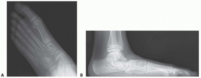
Radiographs reveal the static anatomic relationships between bones. They should not be used, in and of themselves, as an indication for treatment.Radiographs of the flatfoot are not necessary for diagnosis. They may be indicated for the assessment of pain or decreased flexibility and for surgical planning.Weight-bearing anteroposterior (AP), lateral, medial oblique, and axial (or Harris) views are appropriate for those indications ( FIG 4).The lateral oblique (nonstandard) view is helpful for the identification of an accessory navicular that could be the cause of a painful medial prominence in the midfoot that is not the head of the talus.An AP ankle radiograph is useful to determine whether any of the hindfoot valgus deformity is in the tibiotalar joint.A computed tomography (CT) scan in all three planes and with three-dimensional (3-D) reconstruction is the imaging modality of choice for assessment of a rigid flatfoot, particularly when there is a high degree of suspicion for a subtalar tarsal coalition. The published criteria for operative management of a subtalar tarsal coalition are based on CT scan findings.A bone scan can help with the assessment of atypical pain in a flatfoot.A magnetic resonance imaging (MRI) may be indicated if these other imaging studies fail to reveal the etiology for atypical pain in a flatfoot. An MRI scan is not the imaging study of choice for evaluation of a tarsal coalition. ## DIFFERENTIAL DIAGNOSIS Flexible (hypermobile) flatfootFlexible (hypermobile) flatfoot with short Achilles tendon Rigid flatfootCongenital oblique talus Congenital vertical talus SkewfootPauciarticular juvenile rheumatoid arthritis affecting the subtalar joint Peroneal spastic flatfoot ### FIG 4 • Standing radiographs of a flatfoot. A. AP image demonstrates the external rotation component of eversion or valgus of the subtalar joint. B. The lateral image reveals plantarflexion of the talus, sag at the talonavicular joint, and a low calcaneal pitch. (From the private collection of Vincent Mosca, MD.)
---
NONOPERATIVE MANAGEMENT Flexible flatfoot is a normal foot shape and not the cause of pain or functional disability in most individuals. Therefore, treatment must be applied only to those who have symptoms. “Prophylactic” treatment, even if nonoperative, cannot be justified, based on the literature.Some children with flexible flatfoot have activity-related pain or pain at night in the leg or foot. The pain is usually nonlocalized and it is believed to represent an overuse muscle fatigue syndrome. This is consistent with the finding that flatfooted individuals demonstrate greater intrinsic muscle activity than normal.Both over-the-counter and molded shoe inserts have been shown to relieve or diminish symptoms in physiologic flexible flatfeet and to increase the useful life of shoes without a simultaneous permanent increase in the height of the arch.Children, adolescents, and adults with flexible flatfoot, as well as skewfoot, with a short Achilles tendon will often experience pain with weight bearing and callosities under the head of the plantarflexed talus. Some additionally experience pain in the sinus tarsi area.The contracted Achilles tendon prevents normal dorsiflexion of the ankle joint during the midstance phase of gait. The dorsiflexion stress is shifted to the subtalar joint complex, which dorsiflexes as a component of eversion. The talus remains rigidly plantarflexed in the ankle joint, thereby subjecting the soft tissues under the head of the talus to painful excessive direct axial loading and shear stress. The forceful external rotation component of eversion causes the beak of the calcaneus to impinge on the lateral process of the talus, thereby creating pain in the sinus tarsi.Both firm and hard arch supports concentrate pressures under the head of the talus in children with flatfeet and skewfeet. For those with short Achilles tendons, the pressures and pain are exaggerated because the talus cannot dorsiflex. Arch supports (particularly firm or hard arch supports) are, therefore, contraindicated in this condition.An aggressive stretching program for the Achilles tendon, performed with the subtalar joint inverted, may relieve symptoms but is challenging to carry out effectively. It is difficult to almost impossible to stretch a contracted Achilles tendon when it is associated with a flexible flat-foot. The subtalar joint must be inverted and held in neutral alignment for the Achilles to stretch.Otherwise, the apparent Achilles tendon stretch will merely create further eversion/valgus stretch in the subtalar joint.Children with rigid flatfoot due to a tarsal coalition may experience pain at the site of the coalition or at adjacent mobile joints. They may also experience pain under the head of the talus and/or in the sinus tarsi, symptoms identical to those experienced by children with flexible flatfoot with a short Achilles tendon. The feet with tarsal coalitions and these site-specific symptoms are usually associated with Achilles tendon contractures.Both firm and hard arch supports are contraindicated in rigid flatfeet, whether or not the Achilles tendon is contracted, although the latter further justifies the contraindication. The subtalar joint cannot invert, so there will be concentrated pressure and exaggerated pain under the head of the talus with the use of these devices. ## SURGICAL MANAGEMENT
Indications and Contraindications The calcaneal lengthening osteotomy is indicated for the flexible flatfoot, or skewfoot, with a short Achilles tendon when prolonged attempts at nonoperative treatment fail to relieve the pain under the head of the plantarflexed talus and/or in the sinus tarsi area.It is also indicated for a painful flatfoot associated with a talocalcaneal tarsal coalition in which the persistent symptoms are at least in part due to the hindfoot valgus deformity. Concurrent or staged resection of the coalition may be necessary. In other cases, the calcaneal lengthening osteotomy is a stand-alone procedure.This procedure is not indicated to change the shape of a pain-free flexible flatfoot or skewfoot.Surgery should not be performed in young children with flexible flatfeet or skewfeet who have nonlocalized, activity-related aching foot pain or nighttime pain in the lower extremities.Surgery should not be carried out for incongruous signs or symptoms. In such situations, the flatfoot or skewfoot may be an incidental finding and not the cause of the symptoms.Finally, the calcaneal lengthening osteotomy is contraindicated in the iatrogenic flatfoot created by overcorrection of a clubfoot in which the talonavicular joint is well aligned and the thigh-foot angle is neutral despite the valgus alignment of the hindfoot.It must be stressed that the calcaneal lengthening osteotomy does not correct a flatfoot or a skewfoot. It corrects all components of hindfoot valgus/eversion deformity at the site of deformity. The coincident forefoot and ankle deformities must be corrected concurrently with the appropriate procedures, which are included in the following text for completeness. ## Preoperative Planning The clinician should discuss with the family the risks and complications of allograft versus autograft for the required tricortical (bicortical) iliac crest bone graft as well as the possible need for a medial cuneiform plantar-based closing wedge osteotomy.The need for this additional procedure can only be accurately determined intraoperatively after correction of the hindfoot and lengthening of the heel cord.Discussion about staged versus concurrent correction of bilateral deformities should include issues relating tothe need for strict non-weight bearing on the operated foot or feet for 8 weeks. Most adolescents choose the correction of one foot at a time, with correction of the other foot 6 months later. This interval allows adequate rehabilitation for the operated foot to function comfortably while non-weight bearing on the second foot. ## Positioning The patient is placed in the supine position with a folded towel under the ipsilateral buttock and prepared from iliac crest to toes. A sterile tourniquet is included if using autograft. If using allograft, only the lower extremity is prepared and a nonsterile tourniquet is used.Special equipment includes a narrow sagittal saw, smooth Steinmann pins, straight osteotomes, laminar spreader with smooth teeth, Joker elevators and narrow Crego retractors, and a mini-fluoroscope. ## Approach A modified Ollier incision is made over the sinus tarsi in a Langer skin line for the calcaneal lengthening osteotomy. The superficial peroneal and sural nerves are protected.A longitudinal incision along the medial aspect of the midfoot and hindfoot is used for the medial soft tissue plications and for the medial cuneiform osteotomy, if it is required.The Achilles tendon can be lengthened through a longitudinal incision on the posteromedial surface of the ankle, half the distance between the tendon and the tibia.If an isolated gastrocnemius recession is needed, it can be performed through a longitudinal incision along the posteromedial aspect of the leg about half the distance from the knee to the ankle.
TECHNIQUES
-
Calcaneal Osteotomy Exposure and Lateral Soft Tissue ReleasesMake a modified Ollier incision over the sinus tarsi in a Langer skin line from the superficial peroneal nerve to the sural nerve ( TECH FIG 1A).Elevate the soft tissues from the sinus tarsi. Avoid exposure of, or injury to, the capsule of the calcaneocuboid joint.Release the peroneus longus and the peroneus brevis from their tendon sheaths on the lateral surface of the calcaneus ( TECH FIG 1B).Resect the tendon sheath septum between the tendons and, if large, the peroneal tubercle. Z-lengthen the peroneus brevis tendon. Do not lengthen the peroneus longus ( TECH FIG 1C).Divide the aponeurosis of the abductor digiti minimi transversely approximately 2 cm proximal to the calcaneocuboid joint ( TECH FIG 1C).
---
TECH FIG 1 • A. Modified Ollier incision marked in a Langer skin line halfway between the tip of the lateral malleolus and the beak of the calcaneus (
two dots
) and extending from the superficial peroneal nerve (
dotted line
) to the sural nerve. B. The peroneus brevis (
above
) and the peroneus longus (
below
) have been released from their tendon sheaths. C. The soft tissue contents have been elevated from the isthmus of the calcaneus. The peroneus brevis is lengthened, and the peroneus longus is retracted. The aponeurosis of the abductor digiti minimi is exposed for release. D-F. Finding the interval between the anterior and middle facets of the subtalar joint. D. A Freer elevator is inserted perpendicular to the lateral border of the calcaneus just proximal to the beak of the calcaneus. It makes contact with the middle facet.E. The Freer is rotated distally until the tip falls into the interval between the anterior and middle facets. F. This is confirmed with the mini-fluoroscope. (From Mosca VS. Calcaneal lengthening osteotomy for valgus deformity of the hindfoot. In: Tolo V, Skaggs D, eds. Master Techniques in Orthopaedic Surgery: Pediatric Orthopaedics. Philadelphia: Lippincott Williams & Wilkins, 2008:263-276.)Identify the interval between the anterior and middle facets of the subtalar joint with a Freer elevator. Insert it into the sinus tarsi perpendicular to the lateral cortex of the calcaneus at the level of the isthmus (ie, the lowest point of the dorsal cortex of the calcaneus proximal to the beak and distal to the posterior facet) ( TECH FIG 1D). The middle facet will be encountered.Slowly angle the Freer distally until it falls into the interval between the anterior and middle facets ( TECH FIG 1E).Confirm that the Freer is in the interval using fluoroscopy ( TECH FIG 1F).Replace the Freer with a curved Joker elevator. Place a second Joker elevator around the plantar aspect of the calcaneus in an extraperiosteal plane in line with the dorsal Joker.Remove the Jokers and prepare the exposures for the other procedures before performing the calcaneal osteotomy. 1. ##
Medial Soft Tissue Plication Exposure and Preparation
Make a longitudinal incision along the medial border of the foot starting at a point just distal to the medial malleolus and continuing to the base of the first metatarsal.Release the tibialis posterior from its tendon sheath. Cut the tendon in a Z fashion, releasing its dorsal half from the navicular ( TECH FIG 2A). The stump of tendon remaining attached to the navicular contains the plantar half of the fibers.
---
TECH FIG 2 • A. The tibialis posterior is cut in a Z fashion, releasing the dorsal slip from the navicular. B. The talonavicular joint capsule is released from dorsolateral to plantar lateral, including release of the spring ligament. A 3- to 5-mm wide strip of redundant capsule is resected from its plantar-medial aspect. (From Mosca VS. Calcaneal lengthening osteotomy for valgus deformity of the hindfoot. In: Tolo V, Skaggs D, eds. Master Techniques in Orthopaedic Surgery: Pediatric Orthopaedics. Philadelphia: Lippincott Williams & Wilkins, 2008:263-276.)Incise the talonavicular joint capsule around the medial side from dorsal lateral to plantar lateral, including the spring ligament.Resect a 3- to 5-mm wide strip of redundant capsule from the medial and plantar aspects of this tissue ( TECH FIG 2B).
2. ##
Achilles Tendon or Gastrocnemius LengtheningAssess the equinus contracture by the Silfverskiöld test with the subtalar joint inverted to neutral and the knee both flexed and extended.Perform a gastrocnemius recession if 10 degrees of dorsiflexion can be achieved with the knee flexed but not with it extended.Perform an open or percutaneous Achilles tendon lengthening if 10 degrees of dorsiflexion cannot be obtained even with the knee flexed ( TECH FIG 3).
---
TECH FIG 3 • The Achilles tendon or the gastrocnemius tendon is lengthened based on the results of the Silfverskiöld test. (From Mosca VS. Calcaneal lengthening osteotomy for valgus deformity of the hindfoot. In: Tolo V, Skaggs D, eds. Master Techniques in Orthopaedic Surgery: Pediatric Orthopaedics.Philadelphia: Lippincott Williams & Wilkins, 2008 :263-276.)
3. ##
Calcaneal Osteotomy and Bone Graft InterpositionReplace the Joker elevators, or Crego retractors, both dorsal and plantar to the isthmus of the calcaneus, meeting in the interval between the anterior and middle facets of the subtalar joint.Perform an osteotomy of the calcaneus using a sagittal saw or osteotome ( TECH FIG 4A).It is an oblique osteotomy from posterolateral to anteromedial that starts about 2 cm proximal to the calcaneocuboid joint at the lowest point of the calcaneus where the beak of the calcaneus meets the posterior facet/lateral process of the talus (ie, the critical angle of Gissane) and exits between the anterior and middle facets ( TECH FIG 4B).It is a complete osteotomy through the medial cortex. Cut the plantar periosteum and long plantar ligament (not the plantar fascia) under direct vision if necessary (ie, if these soft tissues resist distraction of the bone fragments).Insert a 2-mm smooth Steinmann pin retrograde from the dorsum of the foot passing through the cuboid, across the center of the calcaneocuboid joint, and stopping at the osteotomy ( TECH FIG 4C,D).This is performed with the foot in the original deformed (everted) position before the osteotomy is distracted. By so doing, the pes acetabulum (navicular, spring ligament,
anterior facet of calcaneus) will be maintained intact, and the distal fragment of the calcaneus will not subluxate dorsally on the cuboid during distraction of the osteotomy.
---
TECH FIG 4 • A. With Joker and Crego retractors surrounding the isthmus of the calcaneus and meeting in the interval between the anterior and middle facets, the osteotomy is performed with a sagittal saw in line with the retractors. B. Fluoroscopic appearance of the osteotomy in the proper location. C. With the foot in the original flat and everted position, a 2-mm smooth wire is inserted retrograde from the dorsum of the foot through the middle of the calcaneocuboid joint, stopping at the osteotomy. D. Position of the wire at the calcaneocuboid joint is confirmed with fluoroscopy. E. Steinmann pins in the posterior and anterior calcaneal fragments can be used as joysticks to distract the osteotomy during graft insertion.The lamina spreader is used to determine the necessary graft size. F,G. Fluoroscopy can help confirm the required graft size by showing, with the lamina spreader opened, when the talonavicular joint is aligned and the talus and first metatarsal axes are colinear. H. The tricortical iliac crest bone graft is frequently 11 to 15 mm in lateral length and 3 to 5 mm in medial length. The cortical surfaces are aligned with the dorsal, lateral, and plantar cortical surfaces of the calcaneus. I. The graft is impacted and usually inherently stable. Nevertheless, the 2-mm Steinmann pin can be advanced retrograde through the graft and into the posterior calcaneal fragment for additional stability. (From Mosca VS. Calcaneal lengthening osteotomy for valgus deformity of the hindfoot. In: Tolo V, Skaggs D, eds. Master Techniques in Orthopaedic Surgery: Pediatric Orthopaedics. Philadelphia: Lippincott Williams & Wilkins, 2008 :263-276.)Insert a 0.062-inch smooth Steinmann pin from lateral to medial in both of the calcaneal fragmentsimmediately adjacent to the osteotomy. These will be used as joysticks to distract the osteotomy at the time of graft insertion.Place a smooth-toothed lamina spreader in the osteotomy and distract maximally, trying to avoid crushing the bone ( TECH FIG 4E).Assess deformity correction of the hindfoot clinically and using mini-fluoroscopy. The deformity is corrected when the axes of the talus and first metatarsal are colinear in both the AP and lateral planes ( TECH FIG 4F,G).Measure the distance between the lateral cortical margins of the calcaneal fragments. This is the lateral length dimension of the trapezoidal iliac crest graft that will be obtained either from the child's iliac crest or from the bone bank.The trapezoid should taper to a medial length dimension of 20% to 30% of the lateral length ( TECH FIG 4H).
The calcaneal lengthening osteotomy is a distraction wedge rather than a simple opening wedge, as the center of rotation for angular deformity correction is within the talar head rather than the medial cortex of the calcaneus.Remove the laminar spreader, and use the Steinmann pin joysticks to distract the calcaneal fragments.Insert and impact the graft with the cortical surfaces aligned from posterior to anterior in the long axis of the foot ( TECH FIG 4I). This will place the cancellous bone of the graft in direct contact with the cancellous bone of the calcaneal fragments.Advance the previously inserted 2-mm Steinmann pin retrograde through the graft and into the posterior calcaneal fragment. Bend the pin at its insertion site on the dorsum of the foot for ease of retrieval in the clinic.No additional fixation is required. In fact, were the pin not needed to prevent subluxation at the calcaneocuboid joint, no graft fixation would be needed.Repair the peroneus brevis tendon with an absorbable suture after a 5- to 7-mm lengthening.
4. ##
Medial Soft Tissue PlicationPlicate the talonavicular joint capsule plantar medially but not dorsally ( TECH FIG 5A).
---
TECH FIG 5 • A. The plantar and medial aspects of the talonavicular joint capsule are repaired side to side with large-gauge dissolving suture material; the redundant capsule has already been resected. B,C. The proximal slip of the tibialis posterior is advanced distally through a slit in the distal stump of the tendon and repaired with large-gauge dissolving sutures. (From Mosca VS. Calcaneal lengthening osteotomy for valgus deformity of the hindfoot. In: Tolo V, Skaggs D, eds. Master Techniques in Orthopaedic Surgery: Pediatric Orthopaedics. Philadelphia: Lippincott Williams & Wilkins, 2008:263-276.)Advance the proximal slip of the tibialis posterior tendon about 5 to 7 mm through a slit in the distal stump of the tendon. Repair this Pulvertaft weave with an absorbable suture material ( TECH FIG 5B,C).
5. ##
Medial Cuneiform OsteotomyAssess the forefoot for structural supination deformity by holding the heel with the ankle in neutral dorsiflexion and viewing in line with the axis of the foot from toes to heel.Visualize the plane of the metatarsal heads in relation to the long axis of the tibia ( TECH FIG 6A). Also, assess the dorsal-plantar mobility of the first metatarsal-medial cuneiform joint.A plantarflexion osteotomy of the medial forefoot-midfoot is required if the metatarsals are supinated.A plantar-based closing wedge osteotomy in the midportion of the medial cuneiform is an effective procedure to correct this deformity ( TECH FIG 6B). The plantar base of the resected wedge generally measures 4 to 7 mm in length.The osteotomy is closed and internally fixed with a 0.062-inch smooth wire staple inserted from plantar to dorsal.Check to ensure correction of the forefoot deformity ( TECH FIG 6C).
| TECH FIG 6 • A. The rotational alignment of the forefoot is assessed after correction of the hindfoot deformity and the heel cord contracture. If, as in this case, the forefoot is supinated, an osteotomy of the forefoot is required. B. A medial cuneiform plantar-based closing wedge osteotomy will correct the supination deformity of the forefoot. C. Forefoot deformity has been corrected. (From Mosca VS. Calcaneal lengthening osteotomy for valgus deformity of the hindfoot. In: Tolo V, Skaggs D, eds. Master Techniques in Orthopaedic Surgery: Pediatric Orthopaedics. Philadelphia: Lippincott Williams & Wilkins, 2008:263-276.)
---
## PEARLS AND PITFALLS
Indications ▪ Flexible flatfoot is a normal foot shape that rarely causes pain or disability. Associated contracture of the Achilles or gastrocnemius tendon may cause activity-related pain under the medial midfoot and/or in the sinus tarsi. The absolute indication for surgery is pain that interferes with the enjoyment of desired activities and cannot be relieved by prolonged attempts at nonoperative management.Calcaneal osteotomy location
1.
The surgeon should try to find the interval between the anterior and middle facets of the subtalar joint to create an extra-articular osteotomy, although only about 60% of individuals have separate facets.Lateral soft tissue management
1.
The surgeon lengthens the peroneus brevis and the aponeurosis of the abductor digiti minimi to facilitate distraction of the bone fragments. However, the peroneus longus is not lengthened because it is the plantarflexor of the medial forefoot. Lengthening the lateral bony column of the foot results in a relative shortening of the peroneus longus, which, in turn, plantarflexes the medial forefoot to help correct the supination deformity.Calcaneocuboid joint protection
1.
Inadvertent subluxation of the calcaneocuboid joint when the calcaneal osteotomy is distracted can be prevented by inserting a retrograde smooth Steinmann pin across the middle of the joint before the fragments are distracted.Forefoot supination deformity
1.
The surgeon must not ignore the forefoot deformity. It is assessed intraoperatively after correction of the hindfoot deformity. Significant uncorrected residual forefoot supination deformity will create a bipod, rather than the normal ** | ** tripod, foot shape with lack of support under the first metatarsal head. Ifuntreated, this may lead to recurrence of valgus deformity of the hindfoot. A plantar-based closing wedge osteotomy of the medial cuneiform is performed to correct structural forefoot supination deformity if identified.Achilles or ▪ This is the deformity that changed a normal flexible flatfoot into a painful gastrocnemius flatfoot. The contracted tendon should be lengthened.contracture |
| --- | --- | --- |
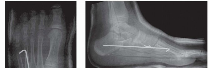
POSTOPERATIVE CARE The incisions are closed with absorbable sutures.A well-padded, short-leg, non-weight-bearing cast is applied and bivalved to allow for swelling overnight. Radiographs in the cast are obtained ( FIG 5).The patient is discharged from the hospital the following day after the bivalved cast is overwrapped with cast material.The patient is immobilized in a below-knee cast and is not permitted to bear weight on the operated extremity for 8 weeks.At 6 weeks, the cast is removed to obtain simulated standing AP and lateral radiographs and to remove the Steinmann pin. Another below-the-knee, non-weight-bearing cast is applied.Upon removal of this cast 2 weeks later, final simulated standing AP and lateral radiographs are obtained. Over-the-counter arch supports are used indefinitely.Physical therapy is rarely needed. ## OUTCOMES The calcaneal lengthening osteotomy has the best reported long-term results of any procedure that has been used to correct flatfoot deformity.It has been shown to correct all components of even severe valgus-eversion deformity of the hindfoot, restore function of the subtalar complex, relieve symptoms, and, at least
theoretically, protect the ankle and midtarsal joints from early degenerative arthrosis by avoiding arthrodesis. ### FIG 5 • Final radiographs in the bivalved cast. A. On the AP view, note the correction of the external rotation deformity at the talonavicular joint as also assessed by the talo-first metatarsal angle. B. The lateral view demonstrates dorsiflexion of the talus, alignment at the talonavicular joint, correction of the talo-first metatarsal angle, and normalization of the calcaneal pitch. (From Mosca VS. Calcaneal lengthening osteotomy for valgus deformity of the hindfoot. In: Tolo V, Skaggs D, eds. Master Techniques in Orthopaedic Surgery: Pediatric Orthopaedics. Philadelphia: Lippincott Williams & Wilkins, 2008:263-276.)
---
## COMPLICATIONS
Subluxation of the calcaneocuboid joint may occur when the calcaneal osteotomy is distracted. This can be avoided by lengthening the peroneus brevis, releasing the aponeurosis of the abductor digiti minimi, releasing the plantar calcaneal periosteum and long plantar ligament (
not
the plantar fascia), and pinning the calcaneocuboid joint in a retrograde fashion before the osteotomy is distracted.Deformity correction may be incomplete. This can be avoided by performing the procedures exactly as described earlier and by releasing the entire dorsal talonavicular joint capsule. The surgeon should use a graft that is large enough to make the axes of the talus and the first metatarsal colinear in both planes. This is confirmed with intraoperative imaging, such as mini-fluoroscopy.Persistent equinus can be avoided by lengthening the contracted Achilles tendon or gastrocnemius tendon.Persistent supination deformity of the forefoot on the hindfoot can be avoided by identifying it after the calcaneal lengthening and heel cord lengthening. It is treated with a medial cuneiform plantar-based closing wedge osteotomy.Recurrence of hindfoot deformity can be avoided by performing all steps of the procedure exactly as described and by concurrent correction of forefoot supination and equinus deformities. 1, 2, 3, 4, 5, 6 ##
Scientific References
- 1. Evans D. Calcaneo-valgus deformity. J Bone Joint Surg Br 1975;57(3): 270-278.** 2. **Mosca VS. Calcaneal lengthening for valgus deformity of the hindfoot. Results in children who had severe, symptomatic flatfoot and skewfoot. J Bone Joint Surg Am 1995;77(4):500-512.** 3. **Mosca VS. Calcaneal lengthening osteotomy for valgus deformity of the hindfoot. In: Tolo V, Skaggs D, eds. Master Techniques in Orthopaedic Surgery: Pediatric Orthopaedics. Philadelphia: Lippincott Williams & Wilkins, 2008:263-276.** 4. **Mosca VS. Flexible flatfoot and skewfoot. In: McCarthy J, Drennan J, eds. The Child's Foot and Ankle, ed 2. Philadelphia: Lippincott Williams & Wilkins, 2010:136.** 5. **Mosca VS. Principles and Management of Pediatric Foot and Ankle Deformities and Malformations. Philadelphia: Wolters Kluwer Health/Lippincott Williams & Wilkins, 2014.** 6.** Mosca VS. The foot. In: Morrissy RT, Weinstein SL, eds. Lovell and Winter's Pediatric Orthopedics, ed 7. Philadelphia: Lippincott Williams & Wilkins, 2014:1388. [View Source / PubMed]
You Might Also Like