Mastering Polydactyly: Preaxial and Postaxial Types Explained
Preaxial and Postaxial Polydactyly DEFINITION Polydactyly refers to having greater than the normal number of …
SURGICAL TECHNIQUES PEDIATRIC
Preaxial and Postaxial Polydactyly DEFINITION Polydactyly refers to having greater than the normal number of …
Vertebral Column Resection for Severe Rigid Spinal Deformity through an All Posterior Approach DEFINITION Pos…
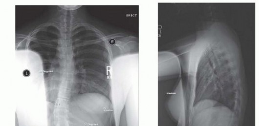
Modified Woodward Repair of Sprengel Deformity DEFINITION Sprengel deformity is a congenital anomaly of the s…
Posterior Osteotomies of the Spine DEFINITION Spinal osteotomies encompass a range of techniques involving re…
Hemivertebra Excision DEFINITION A hemivertebra is a congenital anomaly of the spine that forms during the 8t…
Release of the A1 Pulley to Correct Pediatric Trigger Thumb DEFINITION Pediatric trigger thumb is a condition…
Radial Dysplasia Reconstruction DEFINITION Radial dysplasia represents a spectrum of longitudinal deficiency …
Posterior Spinal Fusion for Idiopathic Scoliosis DEFINITION Idiopathic scoliosis is a progressive three-dimen…
Anterior Approach for Open Reduction of the Developmentally Dislocated Hip DEFINITION Developmental dysplasia…
Transfer of Flexor Carpi Ulnaris for Wrist Flexion Deformity DEFINITION Cerebral palsy is a primary central n…
Anterior Interbody Arthrodesis with Instrumentation for Scoliosis DEFINITION Thoracic scoliosis and thoracolu…
Correction of Thumb-in-Palm Deformity in Cerebral Palsy DEFINITION The thumb-in-palm deformity is a fixed add…