Septic Hip in Children: Mastering Anterior Drainage for Optimal Recovery
Anterior Drainage of the Septic Hip in Children DEFINITION Septic arthritis of the hip affects children of al…
SURGICAL TECHNIQUES PEDIATRIC
Anterior Drainage of the Septic Hip in Children DEFINITION Septic arthritis of the hip affects children of al…
Bernese Periacetabular Osteotomy DEFINITION Hip dysplasia is the most common etiology of coxarthrosis, often …
Surgical Dislocation of the Hip DEFINITION Surgical dislocation of the hip can be done safely to treat a numb…
Triple Innominate Osteotomy DEFINITION Triple innominate osteotomy (TIO) is a surgical procedure that include…
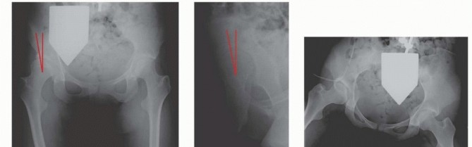
Pericapsular Osteotomies of Pemberton and Dega r DEFINITION The Pemberton 7 ( FIG 1 ) and Dega 1 , 2 ( FIG 2 …
Lumbar Discectomy DEFINITION Clinically significant lumbar disc herniations are characterized by a focal dist…
Chiari Medial Displacement Osteotomy of the Pelvis DEFINITION The Chiari osteotomy is primarily a “salvage” o…
Labral Support (Shelf) Procedure for Perthes Disease DEFINITION The labral support (shelf) procedure has been…
Medial Approach for Open Reduction of a Developmentally Dislocated Hip DEFINITION Developmental dislocation o…
Valgus Osteotomy of the Proximal Femur DEFINITION Valgus osteotomy of the proximal femur can be performed for…
Innominate Osteotomy of Salter DEFINITION The Salter innominate osteotomy is commonly performed in conjunctio…
Pelvic Fixation for Neuromuscular Scoliosis DEFINITION Neuromuscular scoliosis (NMS) is a spinal deformity in…