Advanced Bilateral Simultaneous THA: Uncemented Monobloc Case Title
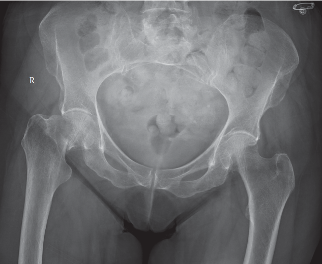
Advanced osteoarthritis bilaterally. Osteonecrosis and complete obliteration of the joint space on both sides…
Orthopedic Teaching Cases
Advanced osteoarthritis bilaterally. Osteonecrosis and complete obliteration of the joint space on both sides…
A 55-year-old man is brought to the emergency department after a road traffic accident in which he was the dr…
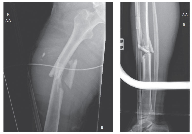
A 25yearold man has been involved in a highspeed road traffic accident. What do these radiographs show and ho…
A 20-year-old man is brought to the emergency department following a high-speed road traffic accident in whic…
The skin incision is made 45° backward and upward from the tip of the greater trochanter (Fig. 2.1a ). The ti…
This 79-year-old woman fell in the street after getting off the bus, sustaining the above injury. Can you des…
Case Title: Acetabular Impaction Grafting Demographics Age: 78 Sex: female BMI: 28 Relevant Past Medical Hist…
Case Title: Acetabular Impaction Grafting Demographics Age: 79 Sex: female BMI: 22 Relevant Past Medical Hist…
Can you describe the radiographs and tell me what your immediate concerns would be? These are AP and lateral …
Case Title: Revision of Paprosky IIIB Defect with Massive Bone Loss Demographics Age: 68 years old Sex: Femal…
Case Title: Hybrid Primary Hip Arthroplasty Demographics Age : 76 Sex : Female. BMI : 26 Relevant Past Medica…
Demographics Age: 69 Sex: Female Relevant Past Medical History Principal pathologies: None. History of presen…