FRCS Oral Examination Abbreviated: Fight Bite Case Mastery
A 28-year-old man presents 72 hours following an injury to his left hand. He seems evasive about the history …
Orthopedic Teaching Cases
A 28-year-old man presents 72 hours following an injury to his left hand. He seems evasive about the history …
A 22-year-old medical student presents to the emergency department with a painful and swollen ring finger at …
Quiz on Left Wrist Injury 1. Describe this radiograph. What additional imaging might you request and what wou…
Management of Proximal Humerus Fracture 1. Describe these radiographs. Show Answer Show Explanation 2. How wo…
You are called to the emergency department to see a 60-year-old man who has fallen while running, injuring hi…
A 45-year-old man with epilepsy is brought to the emergency department following a sei- zure. He complains of…
CASE1 CASE2 CASE3 CASE4 CASE5 CASE6 CASE7 CASE8 CASE9 CASE10 CASE11 CASE12 CASE13 CASE14 CASE15 CASE16 CASE17…
Partial articular fracture—plate fixation Case description A 53-year old man injured his right ankle in a mot…
A 35-year-old woman fell from a ladder, injuring her right shoulder. These are her radiographs. 1. What do th…
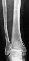
Tibial shaft fracture extending into the plafond—intramedullary fixation Case description a A 25-year-old wom…
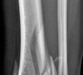
Tibial shaft fracture extending into the plafond—plate fixation Case description A 26-year-old man fell from …
Metaphyseal fracture with joint involvement Case description A 38-year-old woman was involved in a motor vehi…