Understanding IM Nail for FRCS Oral Exams: Master Key Concepts
This FRCS (Tr & Orth) Oral Examination concept overview provides insights into the world of intramedullary (I…
Orthopedic Teaching Cases
This FRCS (Tr & Orth) Oral Examination concept overview provides insights into the world of intramedullary (I…
This FRCS (Tr & Orth) Oral Examination review delves into the key biomechanical concepts of screws in orthope…
In this FRCS (Tr & Orth) Oral Examination concept review, the candidate is asked to identify and describe a l…
Discover the intricacies of fracture healing with this informative resource, designed specifically for FRCS (…
This mock oral examination concept review focuses on the biomechanics of intramedullary (IM) nails in orthope…
This resource provides a comprehensive guide to screws and their use in orthopedic surgery, focusing on the b…
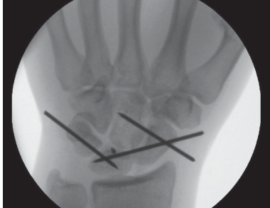
Quiz on Wrist Perilunate Dislocation 1. Describe this radiograph. Show Answer This is a lateral radiograph of…
A 22-year-old medical student presents to the emergency department with a painful and swollen ring finger at …
This is the radiograph of the elbow of a 40-year-old man who fell off his bicycle. Quiz on Olecranon Fracture…
A 28-year-old man presents 72 hours following an injury to his left hand. He seems evasive about the history …
Tibial shaft fracture extending into the plafond—plate fixation Case description A 26-year-old man fell from …
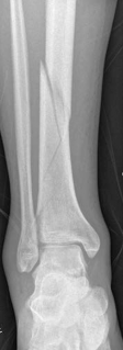
Tibial shaft fracture extending into the plafond—intramedullary fixation Case description a A 25-year-old wom…