When to Operate? Understanding Thoracolumbar Spine Injury
A 44-year-old man has jumped from the fifth floor of a building and has been brought to the emergency departm…
Orthopedic Teaching Cases
A 44-year-old man has jumped from the fifth floor of a building and has been brought to the emergency departm…
A 32yearold woman is brought to the emergency department following a road traffic collision. She complains of…
Case Title: Hemiresurfacing for Hip Osteonecrosis in Active Young Patients Demographics Age: 32 Sex: Male BMI…
Demographics Age: 77 Sex: Female BMI: 32 Relevant Past Medical History Principal pathologies: Rheumatoid arth…
The skin incision is made 45° backward and upward from the tip of the greater trochanter (Fig. 2.1a ). The ti…
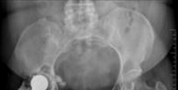
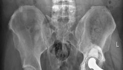
Advanced osteoarthritis bilaterally. Osteonecrosis and complete obliteration of the joint space on both sides…
Case Title: The Use of Acetabular Augments for Revision Total Hip Arthroplasty Demographics Age: 71 years old…
Demographics Age: 57 Sex: Female BMI: 28.7 Relevant Past Medical History Principal pathologies: Hypertension …
Case Title: Revision of Paprosky IIIB Defect with Massive Bone Loss Demographics Age: 68 years old Sex: Femal…
Case Title: Acetabular Impaction Grafting Demographics Age: 79 Sex: female BMI: 22 Relevant Past Medical Hist…
Case Title: Hybrid Primary Total Hip Arthroplasty Demographics Age: 86 Sex: Female BMI: 25 Relevant Past Medi…
Case Title: Acetabular Impaction Grafting Demographics Age: 78 Sex: female BMI: 28 Relevant Past Medical Hist…