Decode a Lisfranc Injury Case: Diagnosis & Clinical Pearls
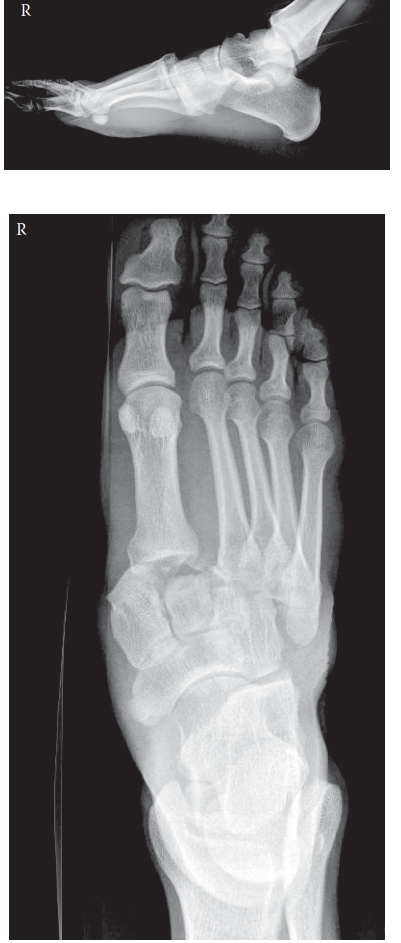
These are radiographs as well as a clinical photograph of the right foot of a 68-year-old man who stumbled do…
Orthopedic Teaching Cases
These are radiographs as well as a clinical photograph of the right foot of a 68-year-old man who stumbled do…
A 48-year-old woman presents to the emergency department complaining of acute left knee pain and inability to…
A 43-year-old male presents to the emergency department after falling approximately 15 ft while trimming tree…
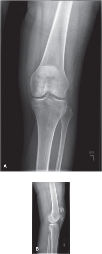
A 48-year-old female patient presents with anterior left knee pain. She has had a history of recurrent patell…
A 68-year-old, active male presents to the emergency department after being struck by a motor vehicle while r…
1. How is plate strength determined? Plate strength is defined by the formula BH 3 . B is the width; H is hei…
You receive a call from an emergency department physician informing you that she has a patient who will need …
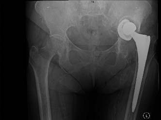
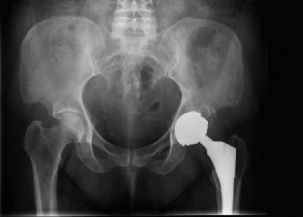
A 79-year-old female with a history of a left total hip replacement performed 10 years ago presents with wors…
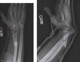
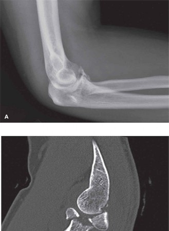
A 34-year-old, right-hand-dominant male is brought to the emergency department by his friends with a chief co…
What are the indications for the ilioinguinal approach? Operative management of acetabular fractures. The ili…
A 50-year-old female underwent metal-on-metal (MoM) total hip arthroplasty 1 year ago for osteoarthritis. Her…
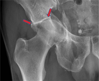
A 52-year-old postmenopausal female presents with progressive hip pain. She points to the pain in “C-clamp” d…