Reconstruction Cases: Solving Hip Pain & Dysplasia
A 52-year-old postmenopausal female presents with progressive hip pain. She points to the pain in “C-clamp” d…
Orthopedic Teaching Cases
A 52-year-old postmenopausal female presents with progressive hip pain. She points to the pain in “C-clamp” d…
An 82-year-old woman, with a BMI of 33.9 and history of total hip replacement performed 8 years ago, sustaine…
A 21-year-old, right-hand-dominant, collegiate pitcher presents to the office with elbow pain and loss of vel…
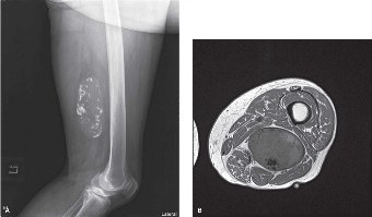
An 18-year-old male presents to your office with pain in his lower right leg and an enlarging mass over the a…
A 71-year-old male is brought to the ER after sustaining a motor vehicle crash. During routine trauma workup,…
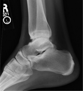
A 39-year-old female presents with increasing pain over the lateral aspect of her foot. She complains of diff…
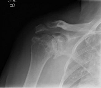
A 19-year-old, collegiate offensive lineman presents to your clinic with vague shoulder pain that has been on…
A 55-year-old female with a history of rheumatoid arthritis diagnosed at age 40 presents to your clinic compl…
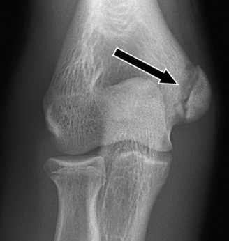
A 9-year-old, baseball pitcher presents to the office with 4 weeks of elbow pain of his throwing arm. He deni…
An 81-year-old female is brought to your office by her son. She has been treated for bilateral knee osteoarth…
A 45-year-old, left-hand-dominant male with a history of Crohn’s disease presents to your clinic complaining …
A 32-year-old, professional ballet dancer presents with right ankle pain. She reports that she has had severa…