Atypical Elbow Pain: Is Your Extensor Carpi Radialis the Key?
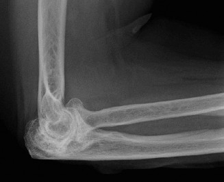
A 44-year-old, right-hand-dominant female is in the office with persistent lateral elbow pain of 2 years dura…
Orthopedic Teaching Cases
A 44-year-old, right-hand-dominant female is in the office with persistent lateral elbow pain of 2 years dura…
A 40-year-old male, recreational basketball player presents 1 week after feeling like he was kicked in the ba…
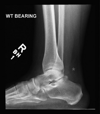
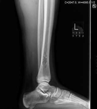
A 16-year-old female sprains her ankle playing lacrosse and is brought to the emergency room. X-rays are nega…
A 17-year-old gymnast presents to clinic with right shoulder pain. She denies any specific injury but reports…
A 24-year-old, left-hand-dominant, businesswoman presents to clinic with 2 days of right shoulder pain. Two d…
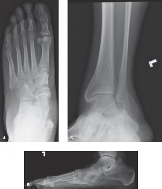
A 52-year-old male presents to your office reporting increased medial and lateral hindfoot pain for the past …
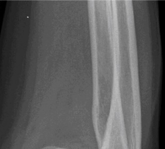
A 60-year-old female with a history of breast cancer treated 5 years ago with mastectomy, chemotherapy, and r…
A 78-year-old female with a history of rheumatoid arthritis for the past 20 years presents to the office for …
A 32-year-old male presented to the emergency department 1 hour after sustaining a fall while skateboarding. …
A 23-year-old male presents to your office complaining of progressive low back pain for the past 6 months. Th…
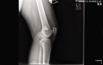
A 31-year-old male is seen in the emergency room after sustaining a knee injury. He reports he was playing pi…
A 29-year-old woman presents to you with pain on the medial aspect of the ankle and numbness and tingling on …