Osteochondral Autograft Transfer for Talar Dome Lesions: An Operative Masterclass

Key Takeaway
Welcome to the OR, fellows. Today, we're performing an osteochondral transfer for a medium-sized talar dome lesion. This masterclass will guide you through meticulous preoperative planning, exact patient positioning, comprehensive surgical anatomy, and a granular, step-by-step intraoperative execution of both medial and lateral approaches. We'll cover critical pearls, potential pitfalls, and essential postoperative care, ensuring you master this complex procedure.
DEFINITION
Medium-sized osteochondral defects of the talar dome
May approach the talar shoulder (transition of superior dome cartilage to the medial or lateral talar cartilage)
Often associated with subchondral cysts
Osteochondral defect is reconstructed with a cylindrical osteochondral graft. To provide stability to this graft, the osteochondral defect in the native talus must be
contained
(have circumferential cartilage and subchondral bone).
ANATOMY
Sixty percent of the talus' surface area is covered by articular cartilage. The talus is contained within the ankle mortise.
Superior talar dome articulates with the tibial plafond. Medial dome articulates with the medial malleolus.
Lateral dome articulates with the lateral malleolus.
Talar blood supply Posterior tibial artery
Artery of the tarsal canal Deltoid ligament branch
Peroneal artery
Artery of the tarsal sinus Dorsalis pedis artery
PATHOGENESIS
The pathogenesis for osteochondral lesions of the talus (OLTs) is not fully understood. Theories include the following:
Trauma
Idiopathic focal avascular necrosis
NATURAL HISTORY
In general, OLTs do not progress to diffuse ankle arthritis.
However, large volume OLTs may lead to subchondral collapse of a substantial portion of the talus and thus create deformity, higher contact stresses, and a greater concern for eventual ankle arthritis if left untreated.
PATIENT HISTORY AND PHYSICAL FINDINGS
Patients may or may not report a history of trauma. Ankle pain, typically on the anterior aspect of the ankle, is a common complaint.
Pain is usually experienced on the side of the ankle that corresponds with the OLT, but it may be poorly localized to the site of the OLT. In fact, sometimes, medial OLTs produce lateral ankle pain and vice versa.
Pain is rarely sharp, unless a fragment of the OLT should act as an impinging loose body in the joint. Typically, the pain is a deep ache, with and after activity, and is usually relieved with rest.
Antalgic gait
May be associated with malalignment or ankle instability
Typically, tenderness on side of ankle that corresponds with OLT but not always Rarely crepitance or mechanical symptoms
With chronic OLT, some degree of ankle stiffness is anticipated.
IMAGING AND OTHER DIAGNOSTIC STUDIES
Plain radiographs
Obtain weight bearing, three views of the ankle Small OLTs may be missed.
Large OLTs are usually identified on plain radiographs (
FIG 1
).
Often limited in characterizing OLT because the two-dimensional study cannot define the three-dimensional OLT
Particularly useful in assessing lower leg, ankle, or foot malalignment that needs to be considered in the management of OLTs
May detect incidental OLTs (patient has a radiograph for a different problem and an OLT is incidentally identified on plain radiographs)
Magnetic resonance imaging (MRI)
Excellent screening tool when OLT or other foot-ankle pathology is suspected Will identify incidental OLT but defines other potential soft tissue pathology
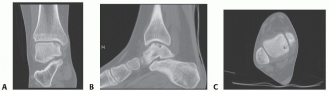
Demonstrates associated marrow edema that may lead to overestimation of the OLT's size Computed tomography (CT) (
FIG 2
)
Ideal for characterizing OLT, particularly large volume defects Defines OLT size without distraction of associated marrow edema
Defines the character of the OLT and extent of its involvement in the talar dome Diagnostic injection
Intra-articular
An anesthetic versus anesthetic plus corticosteroid
May have some therapeutic effect, even for several months
If the source of pain is the OLT, then intra-articular injection should relieve symptoms from OLT. If the pain is not relieved, then other diagnoses should be considered.
DIFFERENTIAL DIAGNOSIS
Loose body in ankle joint
Ankle impingement (anterior or posterior)
Chronic ankle instability (medial, lateral, or syndesmotic)
58
FIG 1 • Radiographs. A. AP radiograph of the ankle suggests symmetric alignment and a medial talar dome defect. B. Mortise view also suggests medial OLT. C. Lateral view shows anatomic alignment, with OLT less obvious.
*
Ankle synovitis or adjacent tendinopathy Early ankle degenerative change
NONOPERATIVE MANAGEMENT
Activity modification Bracing
Physical therapy if associated ankle instability Nonsteroidal anti-inflammatories or COX-2 inhibitors Corticosteroid injection
Viscosupplementation
SURGICAL MANAGEMENT
Preoperative Planning
Indications for this surgery include the following:
Medium-sized OLTs not amenable to other joint-sparing procedures. If associated with a large subchondral cyst, then arthroscopic débridement and microfracture may not be effective, and some surgeons recommend osteochondral transfer as a primary procedure.
FIG 2 • CT. A. Coronal view with medial OLT that approaches talar shoulder but appears contained. B. Sagittal view demonstrating rather medial OLT. C. Axial view with posteromedial OLT.
*
Failed arthroscopic (débridement and microfracture) management Potential sites for graft harvest
Patient's ipsilateral knee (superolateral femoral condyle, intracondylar notch) Allograft talus
Ipsilateral knee versus talar allograft
Knee is autograft; however, knee cartilage is thicker than ankle cartilage and may have different biomechanical properties.
Allograft talus offers nearly the same cartilage thickness and harvest from the exact location of the native talus defect; however, it is not the patient's own tissue.
The surgeon should check for associated pathology that may need to be addressed at the time of allograft talar reconstruction:
Osteophyte removal Ligament reconstruction
Corrective osteotomies (calcaneal, supramalleolar) Patient education
This is a complex procedure.
59
The patient must understand that the intent is to transfer cartilage and bone from one location to another and expect it to incorporate into the native talus.
If allograft is used, there is a negligible but real risk of disease transmission and possible graft rejection by the host.
There is no guarantee that the procedure will work, and a revision procedure may be required, such as structural allograft reconstruction or potentially ankle arthrodesis.
Positioning
The patient is positioned supine (
FIG 3
).
For a lateral OLT, a bolster under the ipsilateral hip typically affords better access to the lateral talar dome. We routinely use a thigh tourniquet.
Approach
The surgeon must determine the optimal surgical approach:
Medial talar dome (usually centromedial or posteromedial) typically warrants a medial malleolar osteotomy.
FIG 3 • Positioning is supine, with easy access to the medial ankle but without too much external rotation, which would make access to the lateral knee cumbersome.
*
Lateral talar dome (often centrolateral) typically necessitates ligament releases (anterior talofibular and calcaneofibular) with or without lateral malleolar osteotomy.
The key is that exposure must allow perpendicular access to the OLT; otherwise, the dedicated instrumentation for the osteochondral transfer cannot be used.
TECHNIQUES
-
Medial Approach for a Medial Osteochondral Lesion of the Talus
Make a longitudinal incision centered over the medial malleolus ( TECH FIG 1A ). Anterior ankle arthrotomy
Identify the joint line ( TECH FIG 1B ).
Visualize the anterior talus and possibly anterior OLT ( TECH FIG 1C ).
TECH FIG 1 • A. Medial approach is similar to that for open reduction and internal fixation for a medial malleolar fracture. B,C. Anterior ankle arthrotomy. B. Locating joint and performing the medial capsulotomy. C. Medial talar dome visible through the arthrotomy with capsule retracted. This defines the anterior margin for the osteotomy. Rarely, the OLT may be accessed via arthrotomy alone, but this is more common for lateral lesions.
(continued)
Open the flexor retinaculum (
TECH FIG 1D
).
Identify and protect the posterior tibial tendon (PTT) ( TECH FIG 1E ).
Predrill the intended screw holes for fixation of the osteotomy.
Two parallel drill holes in the same orientation are typically used for open reduction and internal fixation of a medial malleolar fracture ( TECH FIG 1F ).
Consider tapping the screw holes as well (traditional malleolar screws are not self-tapping) ( TECH FIG 1G ).
60
TECH FIG 1 •
(continued)
D,E. Defining posterior tibia for the osteotomy. D. Opening the flexor retinaculum. E. Identifying the PTT (to be protected during the osteotomy). F,G. Predrilling the medial malleolus. F. Drill bit directed as it would be for medial malleolar screws for open reduction and internal fixation of a medial malleolar fracture. G. Tap used for screws that are not self-tapping. Trajectory of the oblique osteotomy
Should target tibial plafond at lateral extent of OLT
Allows perpendicular access to the OLT with the dedicated instrumentation
We routinely use a Kirschner wire to determine the trajectory for the osteotomy.
Place the wire slightly proximal and lateral to the planned osteotomy so as not to interfere with the saw blade and chisel ( TECH FIG 2A ).
Confirm desired Kirschner wire trajectory with fluoroscopy.
Mark the osteotomy.
Across the periosteum and with minimal periosteal stripping ( TECH FIG 2B ) Perpendicular to the tibial shaft axis
Protect the soft tissues.
Tibialis anterior retracted
PTT retracted. Do not mistake the flexor digitorum longus for the PTT (PTT rests in a groove directly on the posterior aspect of tibia).
Performing the osteotomy Microsagittal saw ( TECH FIG 2C )
To the subchondral bone
Use cool saline irrigation to limit risk of heat necrosis of the bone.
Chisel ( TECH FIG 2D )
Complete the osteotomy with a chisel.
Periodically check the progress of the osteotomy fluoroscopically to confirm trajectory and to avoid injury to the talar dome.
Reflect medial malleolus on the deltoid ligament ( TECH FIG 2E ).
The PTT sheath must be released from the malleolus to allow full reflection of the malleolus.
61
TECH FIG 2 • A. Kirschner wire is used to define the trajectory of the osteotomy. So that the wire does not interfere with the saw blade, it is placed slightly more proximal and directly slightly more lateral than the intended osteotomy. B-D. Medial malleolar osteotomy. B. The periosteum is incised at the starting point, perpendicular to the longitudinal axis of the tibia (virtually no periosteal stripping required). C. Microsagittal saw is used to perform the osteotomy. Note the Kirschner wire used to guide the saw. D. A chisel is used to carefully complete the osteotomy. E. The medial malleolus is reflected, exposing the OLT. 1. ## Lateral Approach for a Lateral Osteochondral Lesion of the Talus
Ideal for lateral OLT associated with lateral ankle instability
Lateral ligaments may be released even without ligament instability.
Make a longitudinal incision over the distal lateral fibula and curve it slightly anteriorly at the distal margin.
Protect the sural nerve and lateral branch of the superficial peroneal nerve.
Identify the inferior extensor retinaculum and mobilize it to be used as augmentation to lateral ligament repair at the conclusion of the cartilage procedure.
Identify the peroneal tendons and protect them throughout the procedure.
Release the joint capsule, with anterior talofibular and calcaneo-fibular ligaments, from the distal fibula.
In many patients, plantarflexion and inversion allows sufficient anterior subluxation of the talus to perform osteochondral transfer with the dedicated instruments perpendicular to the osteochondral defect.
If the exposure is not sufficient with soft tissue release alone, a fibular osteotomy may be performed to gain access to the more posteriorly situated lateral OLT.
Fibular osteotomy
We routinely perform an oblique fibular osteotomy, similar to the pattern of a Weber B ankle fracture. When performed with the ligament release described earlier, exposure is markedly enhanced.
Before performing the osteotomy, we place a small fragment plate on the lateral fibula that spans the proposed osteotomy and predrill the holes.
With the peroneal tendons and superficial peroneal nerve protected, perform the osteotomy obliquely using a microsagittal saw.
Cool saline irrigation to limit bone heat necrosis Avoid injuring intact articular cartilage on talus.
Syndesmotic ligaments remain intact.
62 -
Osteochondral Transfer Single-stage operation Donor options
Autograft from ipsilateral knee Arthrotomy versus arthroscopy
Superolateral femoral condyle versus intracondylar notch
Moderate amount of donor graft available Autograft from ipsilateral talus
Limited donor graft available Allograft talus
Fresh allograft ideal
Ideally same side as the native talus to replace the deficient cartilage with cartilage from the exact same location
Maximum donor graft available
Advantage over knee or talar autograft if the OLT proves not to be contained Recipient site preparation
Débride the OLT sharply to stabilize circumferential rim of articular cartilage ( TECH FIG 3A ).
Be sure that the defect is contained.
Bony rim circumferentially
Interference fit will be compromised if medial talar dome at the defect lacks integrity. If not, then a structural allograft reconstruction should be considered.
Assess defect size and orientation with the sizing guide and with reference to preoperative CT scan ( TECH FIG 3B ). Larger defects may warrant two or even three grafts.
Recipient site chisel
Assistant will need to position foot in maximal inversion or eversion for medial and lateral OLTs, respectively ( TECH FIG 4A ).
Select appropriate chisel size.
Orient chisel perpendicular to defect ( TECH FIG 4B ).
We routinely advance the chisel 11 to 12 mm into the talus ( TECH FIG 4C ).
Maintain proper chisel orientation to the desired depth.
TECH FIG 3 • A. The surgeon probes and débrides the OLT to define its superficial dimensions. B. The defect is sized to determine optimal recipient chisel size. Do not attempt to change orientation of the chisel once the chisel has been advanced into the subchondral bone.
Once at the desired depth, twist the chisel forcefully 90 degrees and then 90 degrees again ( TECH FIG 4D ).
Gently toggle the chisel to free the diseased cartilage from the surrounding healthy cartilage. Extract the diseased osteochondral cylinder ( TECH FIG 4E ).
If the subchondral bone is sclerotic, a reamer of corresponding size from an anterior cruciate ligament set may be used to create the recipient site.
Use cool saline irrigation to limit the risk of heat necrosis to surrounding native talus. Predrill the guide pin to ensure that the reamer maintains position and proper orientation.
Donor site preparation and graft harvest (superolateral femoral condyle) Superolateral arthrotomy
Knee extended
Longitudinal approach immediately lateral to patella ( TECH FIG 5A,B ), about 5 cm long Avoid injuring cartilage.
Choose optimal site for graft harvest ( TECH FIG 5C ).
Use the same sizing guide as you did for the recipient site to determine the proper trajectory for the harvesting chisel and to determine the ideal location for graft harvest.
If multiple grafts are needed, be sure to leave an adequate bridge between harvest sites.
Avoid fracturing one harvest site into another, thereby creating a large defect.
Select the corresponding donor chisel.
This chisel is 1 mm larger in diameter than the recipient chisel. This allows for interference fit of the graft into the recipient site.
The chisel must be perpendicular to the harvest site ( TECH FIG 5D ).
Be sure not to contact the cartilage surface with the chisel until proper position has been obtained.
63 64
The chisel is sharp and will cut into the cartilage, even with light pressure.
TECH FIG 4 • Preparing the recipient site. A. Assistant everts the ankle to permit vertical axis of the recipient chisel. B. Recipient chisel is oriented properly on the OLT, approaching without violating the medial talar dome subchondral bone (essential so the defect remains contained). C. Mallet to advance the chisel. D. Once fully seated, the chisel is aggressively twisted to free the diseased cartilage cylinder. E. The recipient site is prepared. Note the slight medial cartilage defect, but the recipient site is still contained.
TECH FIG 5 • A-C. Exposure of superolateral femoral condyle. A. Superolateral approach to knee. B. Knee arthrotomy.
C.
Superolateral femoral condyle exposed with patella retracted medially.
(continued)
TECH FIG 5 •
(continued)
D-H. Harvesting donor graft. D. Donor chisel oriented to allow optimal graft harvest.
E.
Harvesting chisel impacted without changing trajectory once chisel introduced.
F.
Once chisel is fully seated, it is aggressively twisted to free the cylindrical graft.
G.
Chisel is carefully withdrawn (fenestrations within chisel confirm that the graft is advancing with the chisel).
H.
Graft extracted and harvest site evident.
Impact the chisel to a depth of 10 mm ( TECH FIG 5E ).
Do not change the orientation of the chisel once it has been advanced into the subchondral bone.
Once desired depth has been achieved
Rotate the chisel 90 degrees and then 90 degrees again ( TECH FIG 5F ). Toggle the chisel lightly to release the graft.
Extract the graft from the knee.
A fenestration in the chisel allows for visualization of the graft to ensure it is free and advancing from the harvest site with the chisel ( TECH FIG 5G,H ).
The graft does not leave the chisel until it is secured in the recipient site.
Graft transfer to the recipient site
Properly orient the donor chisel over the recipient site, maintaining contact with the chisel directly over the defect ( TECH FIG 6A,B ).
Advance the graft into the recipient site by advancing the tamp in the donor chisel ( TECH FIG 6C ). Fenestrations in the chisel permit visualization of the graft being advanced.
Remove the chisel when the graft is nearly fully seated ( TECH FIG 6D,E ).
The goal is to place the graft flush with the surrounding native articular cartilage.
A corresponding tamp or sizing guide may then be used to carefully achieve the final position of the graft ( TECH FIG 6F,G ).
We routinely harvest a 10-mm osteochondral cylinder but prepare an 11- to 12-mm recipient site. Although countersinking the graft is a risk, the interference fit typically limits this from occurring. In our opinion, it is safer than creating a recipient site that is too shallow, thus potentially leading to forceful tamping of the graft that may lead to shearing of the graft cartilage from its osseous cylinder.
65
TECH FIG 6
• Transfer of graft to recipient site.
A.
Donor chisel with graft oriented with recipient site.
B.
Tamp within chisel is advanced to transfer the graft into the recipient site.
C.
Fenestrations in chisel confirm that graft is advancing.
D.
Chisel typically releases graft before it is fully seated (in our hands, preferred so we can control the final graft position).
E.
Graft sitting slightly proud relative to the adjacent native cartilage.
F.
Dedicated smooth tamp used to perform final seating of graft.
Inset
shows that the tamp is tapped lightly to advance graft in a graduated manner.
G.
Graft seated flush with surrounding native cartilage. (Note medial articular defect not fully resurfaced, but majority of OLT is resurfaced with stable graft.)
-
Osteochondral Transfer Incorporating a Small Portion of Medial or Lateral Talar Dome Cartilage
This technique is used when the OLT involves some of the cartilage on the medial or lateral sides of the talar dome while still being contained.
Recipient site
The recipient site chisel approaches the talar shoulder but is not advanced beyond the subchondral border of the medial or lateral talus.
This will extract the dorsal shoulder of the talus, leaving the medial or lateral talar subchondral bone and
cartilage intact (still contained).
Donor site
As for the recipient site and chisel, the donor chisel approaches the superolateral femoral condyle's shoulder but is not advanced beyond its border.
The dorsal shoulder of the graft will be included in the harvest without violating the lateral femoral condyle's subchondral bone on its lateral margin.
Transfer Medial OLT
66
The chisel will need to be rotated 180 degrees to fill the articular cartilage defect that extends over the shoulder from the dorsal talar dome.
Mark the donor chisel during graft harvest to avoid malrotation of the graft in the recipient site.
For a lateral OLT, this rotation is not necessary when transferring from the ipsilateral knee. -
Closure
Medial closure
Reduction of the medial osteotomy after cartilage reconstruction
Temporarily place a drill bit in one of the predrilled holes to orient the reduction.
Confirm reduction by visualizing the anterior and posterior aspects of the osteotomy at the joint line.
We routinely use two partially threaded small fragment cancellous screws to fix the osteotomy under compression ( TECH FIG 7A,B ).
If fixation is suboptimal, two fully threaded cortical screws may be used to engage the opposite cortex. It may be necessary to use longer cortical screws from a pelvic set to reach the opposite cortex.
A buttress plate placed at the superior aspect of the osteotomy provides an antiglide effect ( TECH FIG 7C ). Confirm fluoroscopically that the osteotomy is anatomically reduced at the plafond.
A minimal gap will be present at the osteotomy site despite anatomic reduction due to the thickness of the saw blade.
Reapproximate the flexor retinaculum with the PTT in its anatomic position ( TECH FIG 7D ).
TECH FIG 7 • Reducing medial malleolar osteotomy. A. Reduced osteotomy is secured with two malleolar screws placed in the predrilled holes. B. View through arthrotomy confirms reduction of anterior tibial plafond. C. Medial buttress plate.
(continued)
Close the anterior arthrotomy (
TECH FIG 7E
).
The periosteum over the osteotomy may be reapproximated but must be coordinated with the antiglide plate.
Lateral closure
Fibular osteotomy reduction, ligament repair, and closure after cartilage procedure
Fibular osteotomy is reduced, plate is positioned, and screws are placed in predrilled holes. A small gap at the osteotomy site may be visible on fluoroscopic confirmation despite anatomic clinical reduction; this is secondary to saw blade thickness.
A modified Brostrom ligament repair serves to reattach the anterior talofibular and calcaneofibular ligaments and augment with the inferior extensor retinaculum. We routinely use suture anchors to reattach the ligaments to the fibula. We use a modified Brostrom ligament reattachment after osteochondral transfer for lateral OLTs.
Close the superolateral capsule of the knee ( TECH FIG 7F ).
Close the subcutaneous layer and skin after tourniquet release and meticulous hemostasis for both the knee and ankle ( TECH FIG 7G,H ).
We use a drain, unless the wounds have minor residual bleeding.
67
TECH FIG 7 •
(continued)
D. Closing PTT sheath and flexor retinaculum. E. Closing anterior capsulotomy. F. Closing lateral knee arthrotomy.
G,H.
Skin reapproximation.
G.
Ankle.
H.
Knee.
PEARLS AND PITFALLS
Perpendicular access
1. The dedicated chisel must be oriented perpendicular to the articular
cartilage. Thus, the exposure (osteotomy) must be adequate to accommodate the perpendicular position of the chisel.
Do not reorient the chisel
once it has been advanced into the subchondral bone.
1. Carefully obtain the proper orientation of the chisel before advancing
it. If orientation is changed during impaction, you may not be able to extract an intact osteochondral graft.
Graft height and recipient
site depth
1. The graft must not be longer than the recipient site. Impaction may
lead to shear of the graft's articular cartilage from its osseous cylinder.
| Using multiple grafts ▪ Do not allow one graft harvest site to fracture into an adjacent
harvest site. However, grafts may be overlapped (intersecting circles) to fill the recipient site optimally.
Malleolar osteotomy ▪ The medial malleolar osteotomy must have perfect congruency at the
tibial plafond when reduced.
| ---|---|---
68
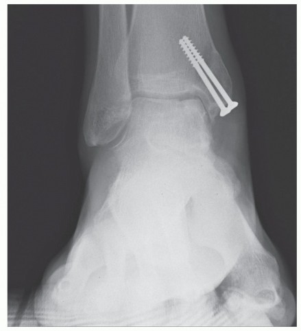
POSTOPERATIVE CARE
We routinely observe these patients overnight for pain control. Follow-up is done in about 10 to 14 days.
Provided the wound and osteotomy (if one was performed) are stable, the patient is transferred into a touchdown weight-bearing cam boot. If not, a touchdown weight-bearing short-leg cast is continued until the wound and osteotomy are stable.
Intermittent minimal, gentle ankle range of motion (ROM) is encouraged, three or four times a day. If financially feasible, we arrange for an ankle continuous passive motion device.
Touchdown weight bearing is maintained for 8 to 10 weeks, with progressively increasing ankle ROM exercise.
We routinely obtain simulated weight-bearing radiographs at 6 weeks and 10 weeks, and again at 14 to 16 weeks, depending on the progression of healing. If there was a concern about fixation of the graft or osteotomy, then radiographs are also obtained at the first postoperative visit (
FIG 4
).
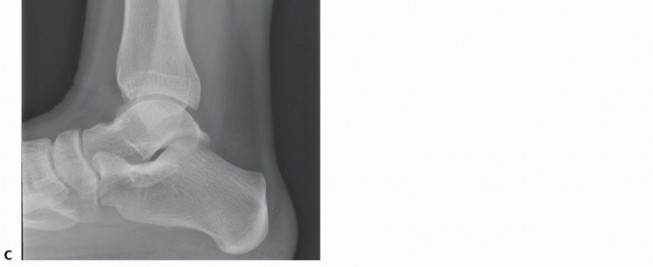
FIG 4 • Postoperative radiographs. A,B. AP and mortise views showing anatomic reduction of medial malleolar osteotomy. C. Sagittal view.
Knee cartilage has a different thickness than ankle cartilage; therefore, an appropriately placed osteochondral graft from the knee may appear recessed on the postoperative radiograph (
FIG 5
*).
OUTCOMES
Good to excellent results with osteochondral autografting at short to intermediate follow-up can be obtained in 90% to 94% of patients.
Excellent functional outcomes Improvement in ROM Improved pain scores
Best results for smaller defects (those that can be managed with a single graft) Good to excellent results for OLTs associated with subchondral cysts
Donor site morbidity was found to be minimal except in a single study, which found poor knee functional
scores in 36%.
No reported complications from malleolar osteotomy
Results are not worse for osteochondral transfer performed as a secondary procedure after failed arthroscopic treatment compared to osteochondral transfer as a primary procedure. Additionally, there may be no benefit of osteochondral autograft transplantation over chondroplasty or microfracture in the management of primary lesions without subchondral cysts, as demonstrated in a recent randomized prospective trial comparing the three procedures.
COMPLICATIONS
Infection
Wound complication
Failure of graft incorporation
Graft failure and potential risk of developing degenerative change Articular cartilage delamination or fissuring of the graft
Malleolar osteotomy nonunion
Persistent pain despite radiographic suggestion of graft incorporation
Disease transmission with allograft, but with the current screening practices of tissue banks, this risk is negligible
Donor site morbidity at the knee
FIG 5 • Different patient undergoing osteochondral transfer. Knee cartilage is thicker than ankle cartilage; thus, despite having anatomic congruency of the graft and adjacent native cartilage, the graft may appear
*
countersunk.
SUGGESTED READINGS
69
1. Al-Shaikh RA, Chou LB, Mann JA, et al. Autologous osteochondral grafting for talar cartilage defects. Foot Ankle Int 2002;23:381-389.
2. Baltzer AW, Arnold JP. Bone-cartilage transplantation from the ipsilateral knee for chondral lesions of the talus. Arthroscopy 2005;21:159-166.
3. Easley ME, Scranton PE Jr. Osteochondral autologous transfer system. Foot Ankle Clin 2003;8:275-290.
4. Garras DN, Santangelo JA, Wang DW, et al. A quantitative comparison of surgical approaches for posterolateral osteochondral lesions of the talus. Foot Ankle Int 2008;29:415-420.
5. Gobbi A, Francisco RA, Lubowitz JH, et al. Osteochondral lesions of the talus: randomized controlled trial comparing chondroplasty, microfracture, and osteochondral autograft transplantation. [Erratum appears in Arthroscopy 2008;24(2):A16]. Arthroscopy 2006;22(1):1085-1092.
6. Hangody L, Fules P. Autologous osteochondral mosaicplasty for the treatment of full-thickness defects of weight-bearing joints: ten years of experimental and clinical experience. J Bone Joint Surg Am 2003;85A(suppl 2):25-32.
7. Hangody L, Kish G, Modis L, et al. Mosaicplasty for the treatment of osteochondritis dissecans of the talus: two to seven year results in 36 patients. Foot Ankle Int 2001;22:552-558.
8. Sammarco GJ, Makwana NK. Treatment of talar osteochondral lesions using local osteochondral graft. Foot Ankle Int 2002;23:693-698.
9. Scranton PE Jr, Frey CC, Feder KS. Outcome of osteochondral autograft transplantation for type-V cystic osteochondral lesions of the talus. J Bone Joint Surg Br 2006;88:614-619.
10. Tochigi Y, Amendola A, Muir D, et al. Surgical approach for centrolateral talar osteochondral lesions with an anterolateral osteotomy. Foot Ankle Int 2002;23:1038-1039.
You Might Also Like