Decompression, Posterolateral, and Interbody Fusion for High-Grade Spondylolisthesis

Decompression, Posterolateral, and Interbody Fusion for High-Grade Spondylolisthesis ## DEFINITION
Spondylolisthesis is derived from the Greek words (spondylo = spine and olisthesis = to slip). It is the forward displacement of a vertebra relative to its neighboring vertebra (ie, adjacent caudal vertebral segment).
In children and adolescents, spondylolisthesis most commonly occurs due to a pars defect (ie, nonunion of the pars interarticularis). Wiltse called this an isthmic type of spondylolisthesis. It may also occur in the presence of inherent spinal anomalies such as deficient or maloriented lumbar and lumbosacral facets (ie,
dysplastic or congenital type).2, 11, 12, 16, 27, 29
It has been grouped into five different types under the Wiltse-Newman classification28: Type I: dysplastic
Type II: isthmic
FIG 1 • A. The dysplastic and isthmic types of spondylolisthesis. B. The Meyerding classification is based on degrees of slippage: grade I, 0 to 25%; grade II, 26% to 50%; grade III, 51% to 75%; grade IV, 76% to 100%.
Type III: degenerative Type IV: traumatic Type V: pathologic
Pars interarticularis is “the place between two joints”.17 Most spondylolisthesis cases are of dysplastic (congenital), isthmic, and degenerative types. Degenerative listhesis is common in adults and most commonly seen at L4-L5 level. The dysplastic and isthmic types most commonly affect L5-S1 level and are usually seen in children (
FIG 1A
).
The Meyerding classification is used to quantify the severity of slippage (
FIG 1B
*) and has five grades19: Grade I: 0% to 25% slip
Grade II: 26% to 50% slip
Grade III: 51% to 75% slip
Grade IV: 76% to 100%
Grade V: corresponds to spondyloptosis
Marchetti and Bartolozzi divided spondylolisthesis into low- and high-grade slips irrespective of underlying
etiology.17 Anterior slippage of 50% or more (Meyerding grade III and above) of the transverse width of the caudal segment is termed a
high-grade slip
.
ANATOMY
The vertebral bodies increase in size and dimensions with progression caudally from the cervical spine. This increase is believed to be related to the demands of increased stress and weight bearing placed on the lumbosacral spine.
The lumbar vertebrae have a wider transverse diameter in comparison to the anteroposterior (AP) diameter. The lumbar foramina appear trefoil-like. The spinous processes have a larger surface area and have an oblong appearance. Transverse processes are long, slender, project laterally, and are more oriented in the sagittal
plane allowing for flexion and extension motion.24, 30
The neurovascular structures in the lumbar spine run a similar course as in the thoracic spine. The segmental vasculature arises directly from the aorta and runs dorsally around the lateral aspect of each vertebral body. Branching occurs near the pedicles, wherein one branch supplies the spinal canal and the other supplies the paraspinal musculature. These vessels run between the transverse processes and are susceptible to bleeding in lateral dissection while performing a posterolateral fusion.
The spinal cord usually ends at the upper border of L1 or L1-L2 disc. The conus medullaris extends from the most distal portion and innervates the bowel and bladder. Beneath the conus, the lumbar and sacral nerve roots are arranged to form the cauda equina. Each of these roots exits below the pedicle of the corresponding vertebrae from the neural foramen and form the lumbar/lumbosacral plexus that innervates the lower
extremities.6
The pedicles are cylindrical structures with a cortical shell that bridge the posterior elements of the spine with the vertebral body.
The height and diameter as well as the transverse diameter of the pedicles increases from the thoracic to the lumbar spine. T5 has the narrowest and L5 has the widest transverse diameter.
They are directed medially in the transverse plane, increasing gradually from L1 to L5.
The sagittal plane orientation of the lumbar spine pedicles is neutral at L2 and L3. It has a mild cephalad angulation at L1 and caudal angulation at L4 and L5.24, 30
The spinal cord and the dural sac lie within the vertebral canal protected by vertebral body ventrally, pedicles laterally, and posterior elements dorsally. The exiting nerve roots are in proximity with the inferior aspect of the
pedicle.24
The orientation of the facet joints in the lumbar and lumbosacral spine is related to function. In the upper part of the lumbar spine, the orientation of the joints allows for multidirectional stabilization. This is in contrast to the lumbosacral facet joint, which is flat and more coronally oriented and acts to resist shearing forces through the
joint.10
PATHOGENESIS
Spondylolisthesis is a disorder related to upright posture and seen in bipedal mammals due to increasing forces acting on the lower segments of the spine. It is never seen in quadrupeds and nonambulatory individuals.
The lumbar spine is subject to high shear forces and compressive loads. The “bony hook,” consisting of the pedicle, pars interarticularis, intervertebral disc, and the facet joints, provides stability by resisting these shear forces by preventing forward slippage.
Gravity, paraspinal, and anterior abdominal muscle contraction on the lordotic lumbar spine and pelvis apply forces to the lower lumbar vertebra with a caudal-ventral vector. If left unchecked, these forces would cause the lower lumbar vertebrae to slip and rotate forward relative to the sacrum.
Congenital anomalies of the posterior elements in spina bifida (ie, dysplastic spondylolisthesis) can significantly compromise their normal buttressing function and stability offered by the facet joints. The spine has a tendency to slip even if the posterior elements are intact. This is brought about by the structural abnormality in the facet joint's inability to resist the load and shear forces.
In the isthmic type of spondylolisthesis, secondary to a pars defect, there is loss of posterior restraint. The high shear and compressive forces occurring through the lumbar spine and lumbosacral joint are less well resisted.11, 12, 13
Observing the spectrum of spondylolisthesis developing owing to such dysplastic elements prompted Marchetti
and Bartolozzi to further subdivide this category into low and high-grade dysplasias.17 Of the high-grade spondylolisthesis, they identified mainly two subtypes: (1) with elongation and (2) with lysis.
In low-grade spondylolisthesis, the L5 vertebral body maintains its rectangular shape. The superior endplate of the sacrum is flat and lumbar lordosis remains within the normal range. However, high-grade spondylolisthesis has a trapezoidal L5 body and rounding of the superior sacral endplate (dome-shaped sacrum). The sacrum tends to be vertical with loss of lumbar lordosis (flat back). This distinction between high and low dysplasia also has prognostic value, as high-grade dysplasias lead to progressive deformity and predisposition for lumbosacral
kyphosis with worsening of symptoms over time.17
Some of the changes seen in high-grade slips are secondary to forward displacement of vertebrae. They are mainly seen as Modic endplate changes in discs with degeneration. High-grade slips may already occur by adolescence and the severity of deformity makes it highly unlikely that these teenagers remain asymptomatic or progress into adulthood without progressive worsening of symptoms.
NATURAL HISTORY
Harris and Weinstein13 reviewed 38 cases with high-grade spondylolisthesis treated nonoperatively and with in situ fusion with a mean follow-up of 24 years and showed that 36% of patients treated nonoperatively were asymptomatic, 55% had back pain, and 45% had neurologic symptoms.
Beutler et al2 in a 45-year follow-up study of 30 patients diagnosed with spondylolysis, screened in the 1950s from
a pool of 500 first-grade children, showed that no patients with unilateral pars defects developed
spondylolisthesis. They also showed that cases with bilateral pars defects and low-grade slips follow a course similar to that seen in the general population. Slowing of slip progression was observed with each decade.2
In a comparison of patients with dysplastic and isthmic spondylolisthesis, it was found that dysplastic spondylolisthesis progressed more rapidly and to a greater Meyerding grade than isthmic spondylolisthesis.18
PATIENT HISTORY AND PHYSICAL FINDINGS
In symptomatic patients, the most common clinical manifestation is low back pain, with or without radicular pain radiating through the L5 or S1 dermatome. Onset of pain is usually chronic and insidious, but acute episodes do occur. Pure radiculopathy in the absence of back pain is uncommon. Adolescents and teenagers most often
complain of back pain with little or no leg pain.16
In patients with radicular symptoms, unilateral involvement is more common. Flattening of the lumbar lordosis is commonly seen on physical examination (
FIG 2
). A palpable step in the spinous processes is often seen in isthmic spondylolisthesis.
Abnormal gait exemplified by a flexion at hips and knees gait pattern and tight hamstrings may be present (Phalen-Dickson gait).
Hamstring tightness is recorded by measuring the popliteal angle. Many patients with high-grade slips will have a tendency to develop tight hamstrings owing to the development of abnormal biomechanics in the lumbar spine.
Straight-leg raise should be done to test for nerve root compression or hamstring tightness. A positive examination with radicular pain denotes either an L5 or S1 nerve root compression. Radicular pain elicited between 30 and 70 degrees is indicative of nerve root compression, whereas that elicited above 70 degrees might denote extraspinal compression of the sciatic nerve. Pain in the posterior thigh denotes hamstring tightness.
FIG 2 • A 14-year-old boy diagnosed with spondylolisthesis with flattening of the lumbar lordosis.
*
Examination should also include the Lasegue test. Exacerbation of the pain is suggestive of nerve root tension (most commonly L5). Femoral nerve stretch test might be positive in degenerative listhesis (L4 being most commonly affected).
A digital rectal examination should be done in suspected cases of bladder and bowel dysfunction as a part of
preoperative neurologic assessment.
IMAGING AND OTHER DIAGNOSTIC STUDIES
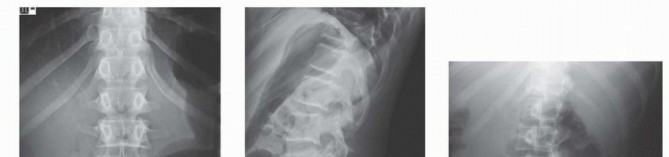
Initial imaging includes standing posteroanterior and lateral radiographs of the spine ( FIG 3A,B ). Oblique views ( FIG 3C )
may provide additional information in certain cases, but their use for diagnosing spondylolysis without listhesis in adolescents is controversial.1
FIG 3 • Posteroanterior (PA) (A), lateral (B), and oblique (C) radiographs demonstrating high-grade spondylolisthesis.
(continued)
FIG 3
•
(continued)
Axial (
D
) and sagittal (
E
) CT scan sections demonstrating bony deformity.
F.
MRI demonstrating high-grade spondylolisthesis.
Plain radiographs are used to establish the overall alignment of the spine in both the coronal and sagittal plane. The sagittal alignment should be noted, particularly the degree of lumbar lordosis above the lumbosacral kyphosis. Any structural abnormalities in the spine in addition to the slip should be noted. These abnormalities
include the presence of spina bifida occulta, scoliosis, or sagittal plane abnormalities. Other spinal problems should be treated as per individual merits.
Coned down view of lumbosacral junction and Ferguson view (20-degree cranially angulated AP x-ray centered over lumbosacral junction) may also be performed to rule out coexistent far out syndrome.
Computed tomography (CT) scans with three dimensional (3-D) reconstruction are valuable in defining the exact bony abnormality and will help in preoperative planning (
FIG 3D,E
).
Magnetic resonance imaging (MRI) studies are indicated when there is evidence of neurologic compromise. MRI provides good visualization of nerve roots, spinal stenosis, and cauda equina compression (
FIG 3F
*).
DIFFERENTIAL DIAGNOSIS
Mechanical disorders: trauma, overuse syndromes, herniated disc, and slipped vertebral apophysis Developmental disorders: Scheuermann kyphosis
Inflammatory disorders: discitis, vertebral osteomyelitis, calcific discitis, rheumatologic conditions Neoplastic disorders
NONOPERATIVE MANAGEMENT
Surgery is generally recommended for the treatment of high-grade spondylolisthesis in adolescents and teenagers. Even in asymptomatic cases, the risk of progression or the development of cauda equina syndrome warrants surgical intervention.
Asymptomatic adults with high-grade stable slips may be treated conservatively under close supervision. They have been reported to autofuse in an acceptable, good sagittal balance.13
SURGICAL MANAGEMENT
The first goal of surgical management is to avoid complications.
Surgical management is indicated in high-grade slips, with or without the presence of neurologic compromise, or in refractory symptomatic patients.
The reduction techniques for high-grade spondylolisthesis are associated with high risk of complications. Distorted anatomy, stretched nerve roots, prolonged surgery, and a challenging biomechanical environment with a deep or hidden trajectory for L5 pedicle screw insertion increase the potential for nerve root injuries,
nonunion, and other perioperative complications.21
A growing consensus is evolving that the priority of high-grade spondylolisthesis is restoration of lumbosacral lordosis (ie, reduction in slip angle), not complete correction of AP translation. Although anatomic correction of AP translation offers restoration of lumbosacral biomechanics with increased surface area for interbody fusion (and hence enhanced fusion rates), slip translational reduction is associated with a high incidence of lumbar nerve root injury and cauda equine syndrome.
Selecting the appropriate surgical intervention for each patient requires:
A thorough evaluation of the deformity
An in-depth understanding of the nature of the pathology An understanding of the indications for treatment
Awareness of the limitations of each procedure and its possible complications
Preoperative Planning
A detailed assessment of the history and physical and neurologic examinations should be performed.
All imaging studies must be carefully reviewed and analyzed with attention aiming to correlate physical and neurologic findings with those found in special examinations.
The degree of the slip as seen on the lateral standing spine radiographs is assessed and graded according to the Meyerding classification.2
Slippage of 50% or more is considered a high-grade slip.
The
slip angle
measures the degree of lumbosacral kyphosis.
A slip angle greater than 50 degrees is associated with progression, instability, and pseudarthrosis (
FIG 4A
).
Pelvic incidence
(PI) is a fixed anatomic parameter that estimates the position of the sacral endplates and overall pelvic morphology. It helps to determine the overall sagittal profile of the spine and is constant for a particular individual. Pelvic incidence is defined as the sum of the pelvic tilt and sacral slope.14, 15
The PI increases with age and stabilizes in adulthood.
The mean PI is 47 degrees in children and 57 degrees in adults.
Increased PI is indicative of increased lumbar lordosis and increased shear forces (
FIG 4B
). Increased PI may predispose to the development of spondylolisthesis.14, 15
In the presence of spondylolisthesis, an increased PI may be indicative of an unbalanced pelvis and is a risk factor for slip progression. Slip reduction is required in these cases to restore proper spinopelvic biomechanics and stabilize the spine. In cases where the spine is balanced and PI is low, a fusion in situ may
be all that is required for treatment.15
FIG 4 • A. Slip angle is a measure of lumbosacral kyphosis. A slip angle greater than 50 degrees is associated with progression, instability, and pseudarthrosis. B. PI (PI = pelvic tilt [PT] + sacral slope [SS]) is the angle formed between a line perpendicular to the center of the sacral endplate and a line connecting this point to the center of the femoral heads (equal to hip axis). In contrast to PI, PT and SS are positional spinopelvic parameters, which can change with the position and orientation of the subject. PT is the angle between the line connecting the midpoint of the sacral endplate to the hip axis and the vertical reference line. SS is the angle between the superior endplate of S1 and the horizontal reference line.
*
Positioning
The patient is positioned prone on the operative frame.
Two operative positions are commonly used for posterior approaches to the spine.
The first is the knee-chest position, where both the hips and knees are flexed.
The second position is with the use of a four-poster frame, where the lower extremities are fairly parallel to the trunk. In this position, the patient is supported under the anterior superior iliac spines and pectoral muscles bilaterally. The abdomen is free to reduce venous engorgement and intraoperative bleeding.
Our preference is to place the patient in the Jackson spinal table with the hips and knee in the flexed position, allowing for easier access to the lumbar spine.
The position of the face and arms is important.
The face should be adequately supported in a head holder, making sure that no excessive pressure is
applied, especially around the orbits. The neck should be in neutral position.
The upper extremities should also be in 90-90 position, in which the arms are in 90 degrees of abduction and the elbows are in 90 degrees of flexion. The upper extremities should be adequately padded to allow for venous and arterial access. Hyperabduction is avoided to minimize the risk of brachial plexopathy and traction injury to the brachial plexus. Adequate padding, support, positioning, and monitoring of the upper extremities likewise prevents undue neurologic injury due to stretch or excessive pressure.
TECHNIQUES
-
Incision and Dissection
The lumbar spine is approached posteriorly through a direct midline incision extending from L2 to S2 ( TECH FIG 1A ).
The midline incision is carried down to the fascia through sharp dissection of the skin and subcutaneous tissue.
TECH FIG 1 • A. A direct midline posterior skin incision along the spine is made, extending from L4 to S2. B,C. The fascia is incised along with the skin incision, and the paraspinal muscles are dissected off of the posterior elements subperiosteally. The midline dissection is carried down subperiosteally, exposing the posterior elements of the spine, with care taken to protect the most proximal intact facets (
TECH FIG 1B,C
).
In isthmic spondylolisthesis, removal of loose bodies (the rattler ) and the posterior elements of L5 (the Gill fragment ) is done.9 -
Decompression
The nerve roots of L5 and S1 are identified, and a wide decompression of the L5/S1 roots is carried out bilaterally (
TECH FIG 2A
).
TECH FIG 2 • A. A wide laminectomy is performed by removing the posterior elements of L5 and S1, and adequate decompression of the nerve roots is done. B. The dura is retracted gently, and a sacroplasty is then performed to take pressure off of the dura by using an osteotome. The dura and neural elements over the sacrum are gently retracted, and a sacroplasty is done using an osteotome or a highspeed diamond burr (
TECH FIG 2B
).
3. ## Reduction and Fusion
Pedicle screws are placed into the L4, L5, S1, and S2 pedicles (
TECH FIG 3A
). Use of intraoperative navigation increases the chances of first-time accurate and safe pedicle screw, especially in the distorted anatomy of the L5-S1 junction.
Alternatively, iliac screws (7.5- to 8.5-mm diameter long cancellous screws inserted into iliac wings) can be used for enhanced fixation and pull-out strength.
The anesthetic and spinal monitoring team is informed before any corrective maneuvers are performed.
The reduction is performed under fluoroscopic guidance, avoiding overcorrection. With the use of reduction tools attached to the pedicle screws, the slip angle is gradually reduced under fluoroscopic guidance by applying a dorsal extension maneuver to the lumbar pedicle screws (
TECH FIG 3B
).
The reduction is performed slowly and maintained over time to allow for stretch of the soft tissue. Once a satisfactory correction of the slip angle has been achieved, gradual, partial reduction of the slip may performed by applying force to the sacrum while a counterforce is applied to the lumbar spine (
TECH FIG 3C
). As mentioned, this slip correction is associated with neurologic injury, especially to the L5 root.
Reduction of the slip angle is much more important than reduction of the slip itself. Frequent, accurate spinal cord monitoring is crucial during the entire reduction maneuver.
The rods are templated, cut, and contoured and then attached to the construct while reduction is maintained.
Final tightening of the entire construct is done and checked with fluoroscopy or plain radiographs (
TECH FIG 3D
).
The L5-S1 disc is identified and removed, a fusion is performed, and the L5-S1 disc space is filled with
cancellous autograft or allograft.
An anterior cage is placed to provide adequate anterior column support (
TECH FIG 3E
).
As an alternative, a fibular strut graft (modified Bohlman technique)3, 26 can be inserted from the sacrum to the body of L5 to add anterior column support. The dura is gently retracted to one side, and a guide pin is inserted from the sacrum to the body of L5 (
TECH FIG 3F
).
A 6-mm cannulated reamer is then used to ream this channel.
TECH FIG 3 • A. Pedicle screws are placed from L4 to S2. Once all of the pedicle screws have been placed, a gentle reduction is performed, aimed at correcting the slip angle. B. Using reduction tools attached to the pedicle screws, a dorsal extension force is applied to the lumbar spine while a counterforce is applied to the sacrum. This maneuver gently corrects the slip angle and restores lumbar lordosis. Attention to spinal cord monitoring is crucial at this point in the operation to avoid undue neurologic injury. C. Following correction of the slip angle, gradual correction of the slip is performed by applying pressure on the sacrum while the lumbar spine is held and a gentle force is applied in the opposite direction, affording reduction. Overcorrection of the slip should be avoided. D. The entire construct is checked after reduction under fluoroscopy to ensure proper implant placement and adequate correction of the spondylolisthesis, and final tightening is done.
E.
The dura is gently retracted, and a cage is placed to add anterior column support.
F.
Alternatively, fibular strut grafting may be used to provide anterior column support. This is done by inserting a guide pin through the sacrum to the body of L5.
G.
A split fibular graft is fashioned and countersunk into each drill hole bilaterally.
A fibular auto- or allograft is then placed through the channel and countersunk (
TECH FIG 3G
).
The same procedure is repeated on the contralateral side.
The procedure is completed by placing bone graft lateral to the implants along the transverse processes from L4 to the sacrum.
Meticulous hemostasis is carried out, and a layer-by-layer closure of the operative site is performed with sprinkling of vancomycin powder over the instrumentation and soft tissues deeper to deep fascia. A drain is placed superficial to deep fascia.
PEARLS AND PITFALLS
Indications ▪ A complete history and physical and neurologic examination must be performed before surgery.
1. All needed and appropriate imaging studies must be evaluated carefully to identify all aspects of the deformity— including the degree of the deformity and the type (eg, isthmic vs. congenital)—as well as any other coexistent spinal deformity that may be present (eg, spina bifida occulta).
Surgical exposure
1. Careful and meticulous technique must be observed. Care should be taken, especially when pathologies such as spina bifida occulta are present, to prevent iatrogenic neurologic injury.
2. Decompression of at-risk nerve roots (ie, L5 and S1) is a key component to exposure and operation.
Instrumentation ▪ Careful preparation should be undertaken before performing instrumentation and reduction.
1. Adequate decompression of all neurologic structures at risk should be ensured to prevent iatrogenic injury.
2. Close attention must be paid to neurophysiologic monitoring during both instrumentation and reduction.
Reduction ▪ Slow, gentle force is applied during the reduction maneuver. This procedure should be done over time to allow for relaxation of the soft tissue structures.
3. Avoid excessive reduction of the translation. Reduction of the slip angle is more important than reduction of AP vertebral translation. Excessive reduction may result in neurologic compromise.
POSTOPERATIVE CARE
High-quality radiographs are taken immediately postoperatively to ensure proper graft and instrumentation placement before the patient is taken out of the operative room (
FIG 5
).
In the immediate postoperative period, the hips and knees are flexed and elevated using pillows to alleviate pain and immediate tension on the L5 root.
Pain control is instituted (eg, intrathecal analgesia and intravenous [IV] patient-controlled analgesia), and the patient is fitted with a thoracolumbosacral orthosis for comfort. The patient is then encouraged to stand and ambulate as tolerated. Postoperative posteroanterior and lateral standing spine radiographs are taken before discharge.
Activity restriction (ie, avoidance of bending and rotational motion) is carried out until fusion has occurred (at about 4 to 6 months).
The patient may return to sports and strenuous physical activity after 1 year as long as spinal fusion has been confirmed. Adequate precautionary measures should be taken before engaging in any contact sport.
FIG 5 • Radiographs from a 17-year-old girl with high-grade isthmic spondylolisthesis who underwent decompression, reduction, and instrumented fusion. A,C. Initial PA and lateral radiographs showing the preoperative deformity. B,D. PA and lateral films showing postoperative correction using the CHOP technique.
*
Full-contact sports, which may entail collision, should still be avoided.
OUTCOMES
In high-grade spondylolisthesis treated with in situ fusion techniques, clinical improvement in back pain symptoms has been reported in 74% to 100% of cases. Solid fusion rates have also been reported to be 71% to 100%.7, 11, 13, 20, 21
A study on 18 adolescents with high-grade spondylolisthesis treated with instrumented reduction and fusion reports complete resolution of preoperative neurologic symptoms with 100% fusion rates. No loss of
fixation or instrument-related failures were reported at a minimum follow-up of 2 years.25
Another series21 comparing in situ fusion, decompression, reduction with instrumented posterior fusion, and circumferential fusion techniques in treating high-grade spondylolisthesis
reported a 45% (5 of 11 patients) pseudarthrosis rate in patients treated with in situ fusion and a 29% (2 of 7 patients) pseudarthrosis rate in cases treated with posterior decompression, instrumentation, and fusion.
All of these cases had small transverse processes (surface area of <2 cm2). Circumferential techniques achieved the highest fusion rates. Excellent functional outcomes were observed in those cases where a solid fusion was achieved. Final outcomes, however, did not differ amongst the three groups.
Table 1 Scoliosis Research Society Morbidity and Mortality Database Summary for High-Grade Spondylolisthesis (Meyerding III to V)a
Age Groups
| No. of Patients
| Overall
| Complication Rate | Neurodeficit | Mortality | Visual Loss |
| --- | --- | --- | --- | --- | --- |
| Pediatric | 127 | 10.4% | 11.3% | 0/605 | 0/605 |
| Adult | 67 | 9.2% | 22.9% | 10/10,242 |
| cases (0.10%) | 5/10,242 |
cases (0.05%)
aScoliosis Research Society started collecting info on the grade of slip only w.e.f. 2007 onward.
From Fu KM, Smith JS, Polly DW Jr, et al. Morbidity and mortality in the surgical treatment of six hundred five pediatric patients with isthmic or dysplastic spondylolisthesis. Spine 2011;36(4):308-312; Sansur CA, Reames DL, Smith JS, et al. Morbidity and mortality in the surgical treatment of 10,242 adults with spondylolisthesis. J Neurosurg Spine 2010;13:589-593.
The posterior lumbar interbody fusion (PLIF) is an attractive alternative in the treatment of high-grade spondylolisthesis. It allows for satisfactory decompression and circumferential arthrodesis by a single
approach. There are mixed results in the literature for this procedure. Cloward5 reported on 100 patients using uninstrumented PLIF without posterolateral fusion. He found a 93% fusion rate and 90% clinical
satisfaction. Fabris et al7 reported on 12 patients with 100% fusion rate with instrumented fusion.
Poussa et al22 compared 22 pediatric patients treated with in situ fusion or reduction with pedicle screw posterior fixation and circumferential fusion. The reduction group had better radiographic correction of slip angle and improvement in Meyerding grade, but no differences were seen in terms of function or pain.
Boxall et al4 reported on 39 pediatric patients treated with either in situ fusion, decompression and fusion, or reduction and posterior fusion. Twenty-six percent of patients with solid fusion had a slip angle of greater than 50 degrees preoperatively. The authors concluded that a high-slip angle is predictive for slip
progression and recommended reduction and fusion in such patients. Molinari et al20, 21 reviewed 32 patients treated with either in situ L4 to sacrum fusion, posterior decompression with instrumented reduction and fusion, or reduction and circumferential fusion. No patient in the circumferential fusion subgroup had pseudarthrosis, whereas the in situ fusion and instrumented fusion groups had 45% and 29% pseudarthrosis rates, respectively. Outcomes were excellent in those patients who attained fusion regardless of the surgical procedure performed.
COMPLICATIONS
Pseudarthrosis
Pseudarthrosis is the most common complication.
Signs include lucency around implants, implant breakage, and slip progression.
Pseudarthrosis may be minimized by using meticulous technique and proper preparation of the graft site.21
Neurologic complications Root lesions (L5 root)
From direct trauma, manipulation of nerve roots or compression from an epidural hematoma Cauda equina syndrome
Autonomic dysfunction Chronic pain
Immediate release of the correction should be done when necessary. Must be thoroughly evaluated with proper imaging techniques
May be minimized by good preoperative planning and meticulous surgical technique and by using multimodal spinal cord monitoring
A review of 605 cases of pediatric spondylolisthesis from the Scoliosis Research Society identified 127 cases of high-grade slips and reduction was attempted in 76% of the cases. The incidence of neurologic deficit was 11.3% as against to 1.4% for low-grade slips. The overall postoperative neurologic deficit was 5% (31/605 cases). 29/31 patients had neurologic recovery (15 complete and 14 partial recovery).
Dural tears were seen in 1.3% of the cases (8/605).8
A review of 10,242 cases of adult spondylolisthesis from the same database identified 67 cases of high-grade slips and 1700 low-grade slips. The overall complication rate for high-grade spondylolisthesis was 22.9% in comparison to 8.3% for low-grade spondylolisthesis. The overall mortality rate was 0.1% (10 deaths) and visual loss was 0.05% (5 cases). The complication rate was similar for various approaches and instrumentation p
Scientific References
-
, that is, combined AP, PLIF and TLIF, and anterior fusions at 7% to 8%
(Table 1).23 Transition syndromes
Spondylolisthesis acquisita Adjacent segment degeneration S1-S2 deformity
Instrument-related complications Wound infections
## REFERENCES
- 1. Beck NA, Miller R, Baldwin K, et al. Do oblique views add value in the diagnosis of spondylolysis in adolescents? J Bone Joint Surg Am 2013;95(10):e65. [View Source / PubMed]
- 2. Beutler WJ, Fredrickson BE, Murtland A, et al. The natural history of spondylolysis and spondylolisthesis: 45-year follow-up evaluation. Spine 2003;28:1027-1035. [View Source / PubMed]
- 3. Bohlman HH, Cook SS. One-stage decompression and posterolateral and interbody fusion for lumbosacral spondyloptosis through a posterior approach: report of two cases. J Bone Joint Surg Am 1982;64: 415-418. [View Source / PubMed]
- 4. Boxall D, Bradford DS, Winter RB, et al. Management of severe spondylolisthesis in children and adolescents. J Bone Joint Surg Am 1979;61(4):479-495. [View Source / PubMed]
- 5. Cloward RB. Spondylolisthesis: treatment by laminectomy and posterior interbody fusion. Clin Orthop Relat Res 1981;(154):74-82. [View Source / PubMed]
- 6. Ebraheim NA, Xu R, Darwich M, et al. Anatomic relations between the lumbar pedicle and the adjacent neural structures. Spine 1997;22: 2338-2341. [View Source / PubMed]
- 7. Fabris DA, Costantini S, Nena U. Surgical treatment of severe L5-S1 spondylolisthesis in children and adolescents. Results of intra-operative reduction, posterior interbody fusion, and segmental pedicle fixation. Spine 1996;21(6):728-733. [View Source / PubMed]
- 8. Fu KM, Smith JS, Polly DW Jr, et al. Morbidity and mortality in the surgical treatment of six hundred five pediatric patients with isthmic or dysplastic spondylolisthesis. Spine 2011;36(4):308-312. [View Source / PubMed]
- 9. Gill GG. Long-term follow-up evaluation of a few patients with spondylolisthesis treated by excision of the loose lamina with decompression of the nerve roots without spinal fusion. Clin Orthop Relat Res 1984; (182):215-219. [View Source / PubMed]
- 10. Grobler LJ, Robertson PA, Novotny JE, et al. Etiology of spondylolisthesis. Assessment of the role played by lumbar facet joint morphology. Spine 1993;18:80-91. [View Source / PubMed]
- 11. Grzegorzewski A, Kumar SJ. In situ posterolateral spine arthrodesis for grades III, IV, and V spondylolisthesis in children and adolescents. J Pediatr Orthop 2000;20:506-511. [View Source / PubMed]
- 12. Hammerberg KW. New concepts on the pathogenesis and classification of spondylolisthesis. Spine 2005;30(6 suppl):S4-S11. [View Source / PubMed]
- 13. Harris IE, Weinstein SL. Long-term follow-up of patients with grade III and IV spondylolisthesis. Treatment with and without posterior fusion. J Bone Joint Surg Am 1987;69:960-969. [View Source / PubMed]
- 14. Labelle H, Roussouly P, Berthonnaud E, et al. Spondylolisthesis, pelvic incidence, and spinopelvic balance: a correlation study. Spine 2004;29:2049-2054. [View Source / PubMed]
- 15. Legaye J, Duval-Beaupère G, Hecquet J, et al. Pelvic incidence: a fundamental pelvic parameter for three-dimensional regulation of spinal sagittal curves. Eur Spine J 1998;7:99-103. [View Source / PubMed]
- 16. Lonstein JE. Spondylolisthesis in children. Cause, natural history, and management. Spine 1999;24:2640-2648. [View Source / PubMed]
- 17. Marchetti PC, Bartolozzi P. Classification of spondylolisthesis as a guideline for treatment. In: Bridwell KH, DeWald RL, eds. The Textbook of Spinal Surgery, ed 2. Philadelphia: Lippincott-Raven, 1997:1211-1254. [View Source / PubMed]
- 18. McPhee IB, O'Brien JP, McCall IW, et al. Progression of lumbosacral spondylolisthesis. Australas Radiol 1981;25:91-95. [View Source / PubMed]
- 19. Meyerding HW. Spondylolisthesis. J Bone Joint Surg Am 1931;13(1): 39-48. [View Source / PubMed]
- 20. Molinari RW, Bridwell KH, Lenke LG, et al. Anterior column support in surgery for high-grade, isthmic spondylolisthesis. Clin Orthop Relat Res 2002;(394):109-120. [View Source / PubMed]
- 21. Molinari RW, Bridwell KH, Lenke LG, et al. Complications in the surgical treatment of pediatric high-grade, isthmic dysplastic spondylolisthesis. A comparison of three surgical approaches. Spine 1999;24:1701-1711. [View Source / PubMed]
- 22. Poussa M, Remes V, Lamberg T, et al. Treatment of severe spondylolisthesis in adolescence with reduction or fusion in situ: long-term clinical, radiologic and functional outcome. Spine 2006;31(5):583-590. [View Source / PubMed]
- 23. Sansur CA, Reames DL, Smith JS, et al. Morbidity and mortality in the surgical treatment of 10,242 adults with spondylolisthesis. J Neurosurg Spine 2010;13:589-593. [View Source / PubMed]
- 24. Senaran H, Yazici M, Karcaaltincaba M, et al. Lumbar pedicle morphology in the immature spine: a three-dimensional study using spiral computed tomography. Spine 2002;27:2472-2476. [View Source / PubMed]
- 25. Shufflebarger HL, Geck MJ. High-grade isthmic dysplastic spondylolisthesis: monosegmental surgical treatment. Spine 2005;30(6 suppl): S42-S48. [View Source / PubMed]
- 26. Smith MD, Bohlman HH. Spondylolisthesis treated by a single-stage operation combining decompression with in situ posterolateral and anterior fusion. An analysis of eleven patients who had long-term follow-up. J Bone Joint Surg Am 1990;72:415-421. [View Source / PubMed]
- 27. Wiltse LL, Jackson DW. Treatment of spondylolisthesis and spondylolysis in children. Clin Orthop Relat Res 1976;(117):92-100. [View Source / PubMed]
- 28. Wiltse LL, Newman PH, Macnab I. Classification of spondylolysis and spondylolisthesis. Clin Orthop Relat Res 1976;(117):23-29. [View Source / PubMed]
- 29. Wiltse LL, Winter RB. Terminology and measurement of spondylolisthesis. J Bone Joint Surg Am 1983;65:768-772. [View Source / PubMed]
- 30. Zindrick MR, Knight GW, Sartori MJ, et al. Pedicle morphology of the immature thoracolumbar spine. Spine 2000;25:2726-2735. [View Source / PubMed]
You Might Also Like