Structural Allograft Reconstruction for Large Talar Osteochondral Lesions: A Masterclass

Key Takeaway
Welcome to the OR, fellows. Today, we're tackling a structural allograft reconstruction for a large osteochondral lesion of the talus. This masterclass will cover meticulous preoperative planning, precise patient positioning, and a step-by-step intraoperative execution, emphasizing critical anatomical considerations and advanced surgical techniques. We'll delve into pearls, pitfalls, and comprehensive postoperative care, ensuring you master this complex procedure.
Definition
Large osteochondral defects of the talar dome, typically involving the talar shoulder (transition of superior dome cartilage to the medial or lateral talar cartilage), and also often associated with large-volume subchondral cysts
Anatomy
Sixty percent of the talus' surface area is covered by articular cartilage. The talus is contained within the ankle mortise.
Superior talar dome articulates with the tibial plafond. Medial dome articulates with the medial malleolus.
Lateral dome articulates with the lateral malleolus.
Talar blood supply
Posterior tibial artery
Artery of the tarsal canal Deltoid ligament branch
Peroneal artery
Artery of the tarsal sinus Dorsalis pedis artery
Pathogenesis
The pathogenesis for osteochondral lesions of the talus (OLTs) is not fully understood. Theories include the following:
Trauma
Idiopathic focal avascular necrosis
Natural History
In general, OLTs do not progress to diffuse ankle arthritis.
However, large-volume OLTs may lead to subchondral collapse of a substantial portion of the talus and thus create deformity, higher contact stresses, and a greater concern for eventual ankle arthritis if left untreated.
Patient History and Physical Findings
Patients may or may not report a history of trauma.
Ankle pain, typically on the anterior aspect of the ankle, is a common complaint.
Pain is usually experienced on the side of the ankle that corresponds with the OLT, but it may be poorly localized to the site of the OLT. In fact, sometimes, medial OLTs produce lateral ankle pain and vice versa.
Pain is rarely sharp, unless a fragment of the OLT should act as an impinging loose body in the joint. It is typically a deep ache, with and after activity, and is usually relieved with rest.
Antalgic gait
May be associated with malalignment or ankle instability
Typically, tenderness on side of ankle that corresponds with OLT, but not always Rarely crepitance or mechanical symptoms
With chronic OLT, some degree of ankle stiffness is anticipated.
Imaging and Other Diagnostic Studies
Plain radiographs
Small OLTs may be missed.
Large OLTs are usually identified on plain radiographs, three views of the ankle, weight bearing.
Radiographs are often limited in characterizing OLTs because the two-dimensional study cannot define the threedimensional OLT.
Particularly useful in assessing lower leg, ankle, or foot malalignment, which needs to be considered in the management of OLTs
May detect incidental OLTs (patient has radiograph for a different problem and an OLT is incidentally identified on plain radiographs)
Magnetic resonance imaging (MRI)
Excellent screening tool when OLT or other foot-ankle pathology is suspected Will identify incidental OLT but defines other potential soft tissue pathology
Demonstrates associated marrow edema that may lead to overestimation of the OLT's size Computed tomography (CT)
Ideal for characterizing OLTs, particularly large-volume defects Defines OLT size without distraction of associated marrow edema
Defines the character of the OLT and extent of its involvement in the talar dome Diagnostic injection
Intra-articular
An anesthetic versus anesthetic plus corticosteroid
May have some therapeutic effect, even for several months
If the source of pain is the OLT, then intra-articular injection should relieve symptoms from OLT (and any
intra-articular pathology). If the pain is not relieved, then extra-articular diagnoses should be considered.
Differential Diagnosis
Loose body in ankle joint
Ankle impingement (anterior or posterior) Chronic ankle instability (lateral or syndesmosis) Ankle synovitis or adjacent tendinopathy
Early ankle degenerative change
75
Nonoperative Management
Activity modification Bracing
Physical therapy if associated ankle instability Nonsteroidal anti-inflammatories or COX-2 inhibitors Corticosteroid injection
Viscosupplementation
Surgical Management
Preoperative Planning
Indications for this surgery include the following:
Large-volume OLTs not amenable to other joint-sparing procedures Failed arthroscopic surgery (débridement and microfracture)
Failed open procedures (cylindrical osteochondral transfer)
Large-volume OLTs typically are not amenable to autologous osteochondral transfer (talus or knee).
We favor reconstruction of the large talar defect with an allograft talus. Although we prefer fresh allograft tissue, we have on occasion used fresh frozen tissue.
Scheduling of this procedure with fresh allograft tissue is similar to organ transplantation but with a wider window for implantation after procurement.
Multiple tissue banks have the ability to obtain fresh allograft tali.
Once a donor talus is identified, the tissue bank performs appropriate screening.
If the talus is deemed safe for implantation and represents a match based on radiographic size, on average 14 to 21 days of reasonable chondrocyte viability remains for the talar allograft to be used.
Although fresh structural talar allograft reconstruction for large-volume OLTs has gained a foothold as an accepted treatment among reconstructive foot and ankle surgeons, not all third-party payers cover this procedure. We do not seek an allograft talus for our patients from the tissue banks until our patient has secured insurance coverage for the procedure.
In seeking an allograft talus that is suited for the patient, the surgeon must:
Be sure that the talus is the correct side (right or left).
Provide the tissue bank with the optimal size of talar graft. Tissue banks use different methods for talar sizing.
Plain radiographic dimensions (if the defect in the diseased talus is particularly large, making measurements difficult, radiographs of the healthy, contralateral talus may be needed)
CT scan measurements (may be more accurate, with measurements possible in three dimensions)
The surgeon should check for associated pathology that may need to be addressed at the time of allograft talar reconstruction:
Osteophyte removal Ligament reconstruction Corrective osteotomies
Calcaneal Supramalleolar
The surgeon determines the optimal surgical approach.
In our hands, this depends on the amount of talus that will be reconstructed.
A portion of the medial talar dome (usually posteromedial) typically warrants a medial malleolar osteotomy.
A portion of the lateral talar dome (often centrolateral) typically necessitates ligament releases (anterior talofibular and calcaneofibular) with or without lateral malleolar osteotomy.
Involvement of the majority of the medial or lateral talar dome, particularly if involving its respective talar shoulder, usually can be performed through an anterior approach without osteotomy by replacing one-third to one-half of the talar dome.
Patient education
This is a complex procedure.
The patient must understand that the intent is to implant allograft tissue.
There is a negligible, but real, risk of disease transmission and possible graft rejection by the host.
There is no guarantee that the procedure will work and a revision procedure may be required, such as arthrodesis, which will eliminate joint motion.
Positioning
Before anesthesia and moving the patient into the operating room, the surgeon should inspect the allograft to be sure it is the correct side (right or left) and for cartilage defects that may be present directly at the site that the graft is to be harvested.
The patient is positioned supine.
For a lateral OLT, a bolster under the ipsilateral hip typically affords better access to the lateral talar dome. We routinely use a thigh tourniquet.
Approach
As noted earlier, the approach depends on the size and location of the OLT.
For medial OLTs amenable to reconstruction of only a portion of the medial talar dome: direct medial approach, similar to that for open reduction and internal fixation (ORIF) of a medial malleolar fracture, with a medial malleolar osteotomy
For lateral OLTs amenable to reconstruction of only a portion of the lateral talar dome: lateral approach, combining typical approaches for ORIF of a fibular fracture and the extensile exposure for a modified Brostrom procedure
For large medial or lateral OLTs, involving the majority of the medial or lateral talar shoulder: anterior approach, similar to that for ankle arthrodesis or total ankle arthroplasty; typically no malleolar osteotomy is required.
76
Techniques
-
Structural Allograft Reconstruction of Contained Medial Osteochondral Lesions of the Talus
- Approach and Oblique Medial Malleolar Osteotomy
Make a curvilinear incision over the medial malleolus, similar to that for ORIF of a medial malleolar fracture. Protect the saphenous vein and accompanying saphenous nerves.
Anterior ankle arthrotomy (TECH FIG 1A)
Defines anterior joint margin for safe performance of medial malleolar osteotomy
Allows partial visualization of the OLT and allows confirmation that there is no diffuse articular cartilage degeneration
Open the posterior tibial tendon sheath-flexor retinaculum, directly on the posterior margin of the tibia and medial malleolus (TECH FIG 1B). Protect the posterior tibial tendon: It rests in a groove immediately posterior to the tibia and is at great risk with a medial malleolar osteotomy.



- TECH FIG 1 • A. Medial incision and anterior ankle arthrotomy. B. Opening of the posterior tibial tendon sheath. C. Predrilling of medial malleolus. Kirschner wire for trajectory of medial malleolar osteotomy has already been inserted and its position confirmed with fluoroscopy. D. Fluoroscopic image demonstrating Kirschner wire being used as a guide to direct the saw. E. The periosteum is scored perpendicular to the tibial shaft, at the level of the osteotomy. F. Medial malleolar osteotomy. Care must be taken to protect the posterior tibial tendon. (continued)
Predrill the medial malleolus across the proposed osteotomy site (TECH FIG 1C).
We routinely use two small fragment malleolar screws and predrill with the corresponding drill. Obtain fluoroscopic confirmation that the drill bits are in the proper trajectory.
Consider passing a tap as well.
Place a Kirschner wire obliquely to define the trajectory of the medial malleolar osteotomy (TECH FIG 1C).
Place it slightly proximal to the desired osteotomy so it can function as a guide but not interfere with the saw (TECH FIG 1D).
Confirm the optimal Kirschner wire trajectory with intraoperative fluoroscopy.
Ideally, the Kirschner wire will extend to the lateral margin of the OLT but with large-volume OLTs that may be too much and unnecessary. However, in our experience, making the osteotomy only to the axilla of the tibial plafond where it meets the medial malleolus will not allow adequate access to perform ideal recipient site preparation.
77

- TECH FIG 1 • (continued) G. Fluoroscopic image showing near-complete bone cut. H. Release of posterior tibial tendon sheath from distal medial malleolus to allow mobilization.
Determine a plane for the osteotomy in the anteroposterior (AP) plane that is perpendicular to the longitudinal axis of the tibia. We find it helpful to score the osteotomy in the periosteum from anterior to posterior to determine this level (TECH FIG 1E).
Periosteal stripping is unnecessary; it may be limited to the osteotomy site.
With a microsagittal saw oriented correctly in both planes, the osteotomy is initiated (TECH FIG 1F).
Use cool saline to limit the risk of heat necrosis to the bone.
Obtain intraoperative fluoroscopy shortly after initiating the osteotomy; leave the saw blade in place to confirm proper trajectory. If incorrect, a subtle adjustment is still possible (TECH FIG 1G).
Continue the osteotomy with the saw to the subchondral bone and then complete the osteotomy with a chisel.
A fluoroscopic spot view allows the surgeon to confirm that the osteotomy is appropriate and is not violating the talar cartilage.


- TECH FIG 2 • A,B. Identifying the extent of the talar shoulder lesion. (continued)
There may be some irregularity to the osteotomy at the posterior margin; this is typical as the osteotomy is mobilized. It may be advantageous, as it allows for an interference fit during reduction of the osteotomy and perhaps greater stability.
Reflect the medial malleolus.
The posterior tibial tendon sheath must be released to the distal aspect of the posterior medial malleolus to allow the malleolus to reflect adequately and to gain optimal exposure of the medial talar dome (TECH FIG 1H). Protect the deltoid ligament fibers. - Preparing the Recipient Site
Define the extent of the OLT (TECH FIG 2A,B).
Clinical inspection Review of CT scan
If the talar defect appears amenable to structural allograft reconstruction, have the donor talus placed on the back table and protected in a saline-soaked sponge.
78


- TECH FIG 2 • (continued) C-E. Excision of the talar shoulder lesion using the microsagittal and oscillating saws. F. Talar shoulder lesion removed.
Excise the diseased portion of the talus (TECH FIG 2C-F).
Reciprocating and microsagittal saw (use cool saline to limit risk of heat necrosis) May need a small curette and rasp as well
Define the dimensions of the recipient site. Use a caliper and a ruler and double-check the measurements. - Harvesting Graft from Donor Talus
Handle the allograft talus with bone forceps.
Properly orient the talus (compare to native talus) to ensure that the cuts will be congruent and in the same plane as those for the recipient site.
Carefully mark the dimensions for graft harvest on the allograft (TECH FIG 3A).
Same location on the allograft talus as the recipient site on the native talus
If you err, err to have the graft slightly too large. Be sure to account for saw blade thickness. “Measure twice and cut once.”
You have only one opportunity, so be sure the measurements and orientation of the saw blade for each cut are optimal.
The allograft can be stabilized with two large pointed reduction clamps (TECH FIG 3B).
Extract the graft from the donor talus (TECH FIG 3C).
Reduce the immunogenic load from the graft by washing the graft's cancellous surfaces with saline. - Implanting and Securing the Graft into the Recipient Site
Only once have we had a graft match perfectly on the first attempt. The graft and recipient site will almost always need to be tailored slightly to allow optimal graft fit.
It is unlikely that a perfect clinical and fluoroscopic match will be achieved. Attempt to achieve the best clinical match of the graft's articular surface with the surrounding native cartilage (TECH FIG 4A).
If the clinical match is appropriate, then the fluoroscopic match is not important.
There is a lot of variability in cartilage thickness and talar architecture in the human talus. It is difficult to get four surfaces to congruently match.
Graft fixation
Ideally, the graft will have some interference fit.
We routinely secure the graft with one or two small-diameter solid screws (1.5 or 2.0 mm in diameter). One is typically placed from dorsal to plantar and the other from medial to lateral (if the depth of the graft will allow) (TECH FIG 4B,C).
79


- TECH FIG 3 • A. The dimensions of the recipient site are carefully recorded and transferred to the allograft. B. Two pointed reduction clamps are used to stabilize the allograft during preparation. C. Donor allograft with newly prepared graft removed.
Place the screws in lag fashion.
Countersink the screw heads below the articular surface (TECH FIG 4D,E).
Using fluoroscopy, confirm that the graft and hardware are in optimal position (TECH FIG 4F-H).
The graft will not look perfect fluoroscopically, but as long as the clinical appearance is acceptable, the outcome has a good chance to be favorable.
The hardware may appear slightly proud fluoroscopically despite being countersunk. The talar dome is not a flat plane, and therefore the screw may seem to be protruding. Moreover, the articular cartilage is rather thick compared to such a low-profile screw head.

- TECH FIG 4 • A-C. Fitting and securing the graft to the native talus. A. After contouring the graft (some minor discoloration from debris while manipulating graft on back table; it is easily washed away). B. Drill hole perpendicular to graft. C. Securing graft with two countersunk screws. (continued)
- Medial Malleolar Osteotomy Reduction and Closure
Irrigate the joint.
Reduce the medial malleolus. Confirm the reduction through the anteromedial arthrotomy and posteriorly behind the posterior tibial tendon.
80



- TECH FIG 4 • (continued) D,E. A different patient with similar graft, excellent interference fit, and secured with a single screw. D. Screw is inserted in lag fashion. E. Screw head is countersunk. F-H. Reduction of the medial malleolar osteotomy. F. Screw fixation through the predrilled holes. G. Antiglide plate. H. Final fluoroscopic evaluation of graft and reduction of medial malleolar osteotomy. Despite optimal clinical fit of the graft, rarely does the fluoroscopic appearance suggest anatomic graft match to the native talus, typically due to differing cartilage thicknesses between the donor and the host. Although the screws may appear prominent, two-dimensional fluoroscopy is deceiving because the screws are countersunk below the articular surface of the graft and the talar dome is curved.
Place the two screws in the predrilled holes and tighten the screws.
Although not essential for healing, we favor placing an antiglide plate over the proximal aspect of the osteotomy.
Using fluoroscopy, confirm reduction of the graft and medial malleolus (see TECH FIG 4).
Anticipate some incongruencies of the graft-native talus bony interfaces. It is difficult to achieve perfectly congruent apposition.
There will be a slight gap at the medial malleolar osteotomy site despite anatomic reduction of the medial malleolus. This is due to the thickness of the saw blade. However, it is not acceptable to see a step-off at the osteotomy site where it enters the tibial plafond; this must be anatomic.
The slight gaps at the graft and medial malleolus do not typically impair healing and should obliterate with eventual remodeling.
Closure
Posterior tibial tendon sheath and flexor retinaculum Anterior arthrotomy
Subcutaneous layer
Skin to a tensionless closure We routinely use a drain.
Dressings, padding, and a posterior sugar-tong splint with the ankle in neutral position -
Hemi-Talus Reconstruction of Medial Osteochondral Lesion of the Talus
- Preoperative Evaluation
Patient is a 40-year-old man with chronic ankle pain failing prior arthroscopic débridement and microfracture. Feels he is overloading lateral border of foot.
81
Preoperative weight-bearing radiographs suggest large medial OLT and varus malalignment with some varus talar tilt (TECH FIG 5A,B).
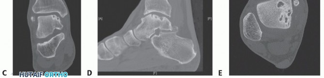
CT demonstrates large-volume medial OLT (TECH FIG 5C-E).
Before proceeding to the operating room, confirm that the allograft talus is the one intended for this patient, is available, and has not expired. - Approach
Anterior approach (TECH FIG 6)
Similar to anterior approach for ankle arthrodesis and total ankle arthroplasty Protect the superficial peroneal nerve.
Divide the extensor retinaculum over the extensor hallucis longus tendon. Protect the deep neurovascular bundle.
Anterior capsulotomy, unlike ankle arthrodesis and total ankle arthroplasty, must protect ankle cartilage.


- TECH FIG 5 • A,B. Preoperative radiographs. A. AP and mortise ankle views suggest large medial talar dome OLT and varus alignment. B. Lateral radiograph. C-E. Preoperative CT of largevolume OLT. C. Coronal view. D. Sagittal view. E. Axial view.
Expose OLT with plantarflexion. Assess mediolateral dimensions and attempt to assess AP dimensions.
If the talus appears appropriate for an allograft talus, ask to have the donor talus opened and soaked in a warm saline-soaked sponge on the back table. At this point, though, this only expedites the procedure; it is not as though the talus may be returned … that patient now owns that talus. - Preparing the Recipient Site
Joint distraction, preferably with an extra-articular distraction device Determine dimensions of diseased talus:
Clinical assessment
Review and correlate with CT.
Determine exact lateral sagittal border of OLT.
Make a vertical (sagittal) cut in the talus 1 mm lateral to the lateral extent of the OLT. The depth of this cut
should be conservative until the exact superior to inferior dimensions of the OLT can be mapped out on the talus (TECH FIG 7A).
Horizontal (axial) resection in the talus (TECH FIG 7B)
To maintain the proper axis, we routinely use a Kirschner wire placed from anterior to posterior, with its trajectory and depth confirmed on intraoperative fluoroscopy, to avoid misdirection of the axial resection.
We use a thin oscillating saw for this cut and also with cold saline irrigation to cool the blade in an attempt to avoid heat necrosis to the bone.
82


- TECH FIG 6 • Anterior approach, similar to that performed for total ankle arthroplasty. Because the entire medial one-third to one-half of the talar dome will be restructured, a medial malleolar osteotomy is typically not necessary.
Protect the medial malleolar cartilage. Consider using a malleable ribbon retractor in the medial gutter.
Extract the resected bone (TECH FIG 7C,D).
Revisit the vertical and horizontal resections with the saw, a rasp, or both. If there is residual OLT in either
or both of the prepared surfaces, then consider curetting these and bone grafting or resecting more native talus (TECH FIG 7E).
Fluoroscopic evaluation sometimes affords a useful appreciation of the recipient site. Determining the exact dimensions of the recipient site:
Calipers (TECH FIG 7F) Ruler (TECH FIG 7G)


- TECH FIG 7 • A-D. Preparing the recipient site. A. Sagittal cut with reciprocating saw. B. Axial cut also with reciprocating saw. C. Elevating diseased portion of talus with osteotome. (continued)
We routinely sketch the dimensions on a drawing of the recipient site on a surgical glove envelope or a sterile label on the back table. - Harvesting Graft from the Donor Talus
Secure the allograft that has been placed on the back table with a bone-holding forceps.
Mark the dimensions of the recipient site talus on the donor talus. One challenge is to orient the talus properly to ensure that the two cuts will be in the optimal planes to congruently match the recipient site.
Double-check the measurements.
You have only one chance to harvest this graft. Measure twice and cut once.
Make the cuts to harvest the talus (TECH FIG 8).
Attempt to match the recipient site dimensions exactly, taking into account the thickness of the saw blade.
If you have to err, then err on the side of harvesting a graft that is too large. Fine-tuning the graft is sometimes difficult, but it is still possible to downsize it or increase the size of the recipient site; it is not possible to augment the graft or reduce the size of the recipient site once the graft has been harvested.
We routinely wash the graft's cancellous surfaces with saline in an attempt to decrease the immunogenic load before implantation. However, we have no evidence to support this practice and perform this purely on an empiric basis. - Implanting and Securing Graft into Recipient Site
Place the graft in the recipient site (TECH FIG 9A,B).
We have never had a perfect match on the first attempt at seating the graft in the recipient site. Tailoring the graft to match the recipient site is often challenging.
In our hands, this requires a slight deepening of the recipient site and a slight thinning of the graft.
83



- TECH FIG 7 • (continued) D. Extracting diseased portion. E. Further extraction of diseased cartilage until healthy-appearing cancellous surface is apparent. F,G. Measuring dimensions of recipient site. F. Caliper. G. Modified ruler.


- TECH FIG 8 • Harvesting graft from donor talus. A. Sagittal cut with oscillating saw. B. After completion of axial cut.
84


- TECH FIG 9 • A,B. Optimizing graft position in native talus. A. After further “touch-ups” to the graft and recipient site, optimal graft position. B. Stabilizing graft to native talus (blunt retractor superiorly and bone reduction clamp for coronal compression). C-G. Graft fixation to native talus. C. Countersink used after drilling for screw to be placed in lag technique. D. First screw being inserted. E. First screw with compression and countersunk. F. Second screw being inserted. G. Both screws countersunk.
85
Making the corresponding sagittal and axial talar cuts congruently is the most important step in achieving an optimal fit of the graft.
Only once have we achieved a perfect graft match clinically and fluoroscopically.
The human talus is quite variable and regardless of the match, some inconsistencies will be present.
Although the clinical appearance may suggest a nearperfect match, we routinely see slight incongruencies in the sagittal and axial preparations and what appears to be a slight mismatch to the native subchondral bone.
In our experience, however, these are not clinically relevant and some degree of remodeling during graft
incorporation is anticipated.
Fixation of the graft to the native talus (TECH FIG 9C-G)
We routinely use two solid small-diameter screws (1.5 or 2.0 mm) placed in lag fashion to secure the graft to the native talus.
These are placed anteriorly and countersunk below the articular surface, typically anterior to the tibial plafond with the ankle in neutral position.
Although we would prefer to avoid violating the cartilage surface, to date, we are not aware of any compromised outcome related to the articular defect created by placing the screws.
Because the talus is contained within the ankle mortise, in our experience, posterior screw fixation is unnecessary.
We routinely assess graft position after screw placement fluoroscopically. Because the articular cartilage is not visible and the physiologic talar dome is not in a single plane, the countersunk screws may appear proud fluoroscopically. - Axial Realignment
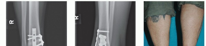
Based on the preoperative plan and intraoperative reassessment, consider correction of axial malalignment. This improves the weight-bearing axis of the lower extremity and potentially unloads and protects the graft (eccentric load on the talus may have contributed to development of OLT). The preoperative plan dictates the amount of desired correction. As a rule, 1 mm of medial opening equals 1 degree of correction.



- TECH FIG 10 • Realignment medial opening supramalleolar osteotomy. A. Osteotomy being carefully opened with an osteotome while preserving the lateral cortical hinge. B. Plate fixation.
Through the same incision, perform supramalleolar osteotomy for varus malalignment.
Medial opening wedge (TECH FIG 10)
Greenstick principle: Leave lateral cortical hinge if possible.
With or without fibular osteotomy, depending on degree of deformity Minimal periosteal stripping
Attempt to limit to osteotomy site.
Protect soft tissues. Judicious osteotomy
Consider a slightly oblique trajectory to increase surface area. Careful medial opening
Protect lateral hinge.
If hinge is weak, maintain proper contact, control rotation of two fragments, and consider using two plates in two planes for fixation.
We routinely bone graft the opening wedge osteotomy site. However, this is not recommended by all who perform these osteotomies. - Closure
Perform thorough irrigation. Close the capsule.
Release the tourniquet.
Reapproximate the extensor retinaculum while protecting the deep neurovascular bundle, extensor tendons, and the superficial peroneal nerve.
We routinely use a drain for 24 hours.
Perform subcutaneous closure and tensionless skin reapproximation.
Dressings, adequate padding, and posterior sugar-tong splint with the ankle in neutral or even a slightly dorsiflexed position
86 PEARLS AND PITFALLS ---
| Procuring a ▪ Be sure it is the correct side (right or left). Be sure the tissue bank leaves the talar allograft cartilage on the talus (we have had tali delivered from tissue banks that routinely
remove the cartilage from the allograft talus).
Harvesting ▪ Measure twice and cut once. You have only one opportunity to harvest the graft. the graft Use a caliper and a ruler and double-check the measurements.
from the donor talus
Orienting the ▪ Take care to orient the donor talus properly, as it should rest in the ankle mortise donor talus (compare to the native talus). The sagittal and axial cuts must be congruent for the during graft graft to have an optimal match.
harvest
| |
Reducing ▪ Wash the graft's cancellous surfaces with saline before implantation. the
immunogenic load of the graft
Graft ▪ Rarely, if ever, is the graft a perfect clinical and fluoroscopic match; there is too position much variability in the human talus. Anticipate some remodeling, provided the graft relative to congruency is satisfactory to allow graft incorporation.
the native talus
Screw ▪ Countersink the screws below the articular surface. fixation
Malleolar ▪ Predrill the position for the screws to fix the malleolus at the conclusion of the osteotomy surgery. Take into account the thickness of the saw blade; a perfect reduction
clinically will demonstrate a slight gap due to bone loss from the saw blade. In our experience, the malleolus heals despite this narrow gap.
| ---|---|---
Postoperative Care
We routinely observe these patients overnight for pain control. Follow-up is done in about 10 to 14 days.
Provided the wound and osteotomy (if one was performed) are stable, the patient is transferred into a touchdown weightbearing cam boot. If not, a touchdown weight-bearing shortleg cast is continued until the wound and osteotomy are stable.
Intermittent minimal, gentle ankle range of motion (ROM) encouraged, three or four times a day. If financially feasible, we arrange for an ankle continuous passive motion device.
Touchdown weight bearing is maintained for 10 to 12 weeks, with progressively increasing ankle ROM exercise.
We routinely obtain simulated weight-bearing radiographs at 6 and 10 weeks and again at 14 to 16 weeks, depending on the progression of healing. If there was a concern about fixation of the graft or osteotomy, then radiographs are also obtained at the first postoperative visit (FIGS 1 , 2 and 3).
FIG 1 • Two-and-a-half-year follow-up. A. AP radiograph. B. Lateral radiograph. C. Clinical correlation.*
Outcomes
Gross et al2 reported on nine patients who underwent fresh osteochondral allograft transplantation. At a mean follow-up of 11 years, six grafts remained in situ. The three failed allografts demonstrated radiographic and intraoperative evidence of fragmentation or resorption, and these patients went on to ankle fusion. Standardized outcomes measures for comparison were not used in that study.
Raikin3 recently reported on 15 patients who underwent bulk fresh osteochondral allografting for large-
volume cystic lesions of the talus. The mean volume of the cystic lesions was 6059 mm3. At a mean followup of 4.5 years, the mean American Orthopaedic Foot and Ankle Society (AOFAS) ankle-hindfoot score was 83 points. Only two grafts failed and went on to have an ankle arthrodesis. Some form of graft collapse, graft resorption, or joint space narrowing was seen in all patients.
A retrospective review by Adams et al1 showed significant improvement in pain and the Lower Extremity Functional
87
Score (LEFS) at a mean follow-up of 48 months in eight patients who underwent osteochondral allograft transplantation of the talus. The mean postoperative AOFAS anklehindfoot score was 84 points. Three grafts were found to have graft-host lucencies in one plane on plain radiography. These patients were doing well and no further imaging was obtained. One patient continued to be symptomatic and was thought to have a nonunion of the graft due to circumferential lucency. Second-look arthroscopy demonstrated partial graft cartilage delamination but a stable graft. The patient did not wish to have any further treatment.
FIG 2 • Dorsiflexion. A. Radiograph (although the joint appears to narrow anteriorly, this phenomenon has not changed in 2 years and the patient experiences no pain or impingement). B. Clinical appearance.*
Complications
Infection
Wound complications
Particularly for anterior approach (as is performed for total ankle replacement) Deep retraction only, avoiding direct tension on wound margins, reduces this risk.
FIG 3 • Plantarflexion. A. Radiograph. B. Clinical correlation.*
Failure of graft incorporation
With large structural grafts, graft failure, and development of degenerative change Articular cartilage delamination or fissuring of the graft
Malleolar osteotomy nonunion
Persistent pain despite radiographic suggestion of graft incorporation
Disease transmission, although with the current screening practices of tissue banks, this risk is negligible.
Scientific References
- 1. Adams SB Jr, Viens NA, Easley ME, et al. Midterm results of osteochondral lesions of the talar shoulder treated with fresh osteochondral allograft transplantation. J Bone Joint Surg Am 2011;93(7):648-654. doi:10.2106/JBJS.J.00141. [View Source / PubMed]
- 2. Gross AE, Agnidis Z, Hutchison CR. Osteochondral defects of the talus treated with fresh osteochondral allograft transplantation. Foot Ankle Int 2001;22:385-391. [View Source / PubMed]
- 3. Raikin SM. Fresh osteochondral allografts for large-volume cystic osteochondral defects of the talus. J Bone Joint Surg Am 2009;91(12):2818-2826. [View Source / PubMed]
You Might Also Like