Masterclass: Arthroscopic & Open Management of Pediatric Tibial Spine Fractures

Key Takeaway
This masterclass details the comprehensive management of pediatric tibial spine fractures, from advanced surgical anatomy and meticulous preoperative planning to granular intraoperative execution. We explore arthroscopic and open reduction techniques using screws, sutures, or K-wires, emphasizing physeal preservation. Fellows will gain insights into critical pearls, pitfalls, and postoperative protocols for optimal patient outcomes, ensuring stable anatomic fixation and successful rehabilitation.
Definition
Tibial spine fractures are bony avulsions of the anterior cruciate ligament (ACL) from its attachment on
the anteromedial portion of the intercondylar tibial eminence.26 Some authors consider them to be equivalent to the midsubstance ACL injuries seen in the adult population.
This injury most commonly occurs in the younger age group, particularly children aged 8 to 14 years with open growth plates, but can also occur in adults.
Tibial spine fractures have an incidence of 3 per 100,000 children each year.21
Meyers and McKeever16 classified tibial spine fractures into three types based on the degree of
displacement. This classification was later modified by Zaricznyj27 to include a fourth type, signifying a comminuted fracture fragment (FIG 1):
Type I: nondisplaced fracture with minimal anterior margin elevation
Type II: posterior hinged fracture with partial displacement of the anterior margin (one-third to one-half of the tibial spine lifting from the epiphyseal bed)
Type III: completely displaced fracture fragment Type IIIA: no rotational malalignment
Type IIIB: Fracture fragment has rotated such that the cartilaginous surface of the fracture fragment
faces the raw bone of the epiphyseal bone bed.
Type IV: completely displaced and comminuted fracture fragment(s)
Anatomy
The tibial eminence is found lying in the intercondylar area of the tibia (FIG 2).
It is anatomically divided into four distinct regions: a medial and lateral triangular elevation (or medial and lateral tibial spines) and an anterior and posterior recess.
The ligamentous ends of the medial and lateral menisci insert into the intercondylar eminence.
The medial elevation provides the attachment for the fibers of the ACL with the anterior attachment of the medial meniscus just anterior to the ACL insertion and the anterior attachment of the lateral meniscus just posterior to the ACL insertion.
The intermeniscal ligament is vulnerable to entrapment within fractures of the tibial spine where it traverses between the medial and lateral menisci, just anterior to the tibial spine, thereby blocking
reduction8 (FIG 3).
There are no structures that attach to the lateral portion of the eminence.
The tibial eminence also serves as an insertion for the posterior cruciate ligament (PCL); the fibers of the PCL typically arise from the posterior portion of the intercondylar eminence.16
In the younger child, the majority of the anterior portion of the tibial eminence is cartilaginous.16
Pathogenesis
Avulsions of the tibial spine are usually traumatic in nature. This injury is more common in children, particularly those with incomplete ossification and open growth plates.
The usual mechanism of injury is a hyperextension injury, with or without a forced valgus or external rotational
force about the knee.17 These fractures may also occur following a direct blow to the distal femur when the knee is flexed.
FIG 1 • Meyers and McKeever classification with Zaricznyj modification. Type I has minimally displaced fragments. Type II has displacement through the anterior portion of the fracture with an intact posterior hinge.*
Type III has complete displacement of the fracture fragments. Type IV has complete displacement and comminution of the fracture fragments.

FIG 2 • Axial view of the tibial plateau. A. The intercondylar eminence lies between the medial and lateral condyles. B. The medial portion serves as the attachment of the ACL.*
The injury occurs because of a tensile load placed on the ACL. The ligamentous ACL is much stronger in resisting tensile forces than the immature, incompletely ossified and primarily cartilaginous, osteochondral surface; this often results in failure and avulsion of the osteochondral attachment of the ACL.
Before bone failure, in situ stretch injury of the ACL may occur18 and may result in clinical laxity despite adequate reduction of the fracture fragment.10,22
Different loading mechanisms are likewise implicated in the development of the injury. Experimental models have shown that rapid loading rates result in midsubstance ACL tears, whereas gradual loading results in tibial spine avulsion fractures.18,26
The inherent anatomy of the knee has likewise been implicated. Kocher and colleagues11 compared 25 skeletally immature knees with tibial spine fractures against 25 age-matched skeletally immature knees with midsubstance ACL tears and found a narrower notch width (intercondylar notch) in individuals who had sustained the midsubstance ACL tears.
Patient History and Physical Findings
Fractures of the tibial spine are usually precipitated by an acute traumatic event. The clinical presentation usually coincides with the severity of injury.
Usually, a patient with a tibial spine injury will have a history of trauma or sports-related injury; the most common mechanism is historically a fall from a bicycle. With increasing numbers of children playing in competitive athletics, sports-related tibial spine fractures have been reported with increasing frequency. High-velocity trauma may also cause tibial spine injuries.
FIG 3 • Arthroscopic view of the knee. A. A completely displaced tibial spine fracture with interposition of the intermeniscal ligament blocks reduction of the fracture. B. Probe helps remove the entrapped intermeniscal ligament to allow proper reduction of the tibial spine fracture fragment.*
The patient will usually present with a painful swollen knee. Swelling is secondary to hemarthrosis from the intraarticular knee injury.
Gentle palpation and examination of the knee are undertaken. Most patients have some degree of swelling due to hemarthrosis secondary to the intra-articular fracture. Other superficial injuries are related to the degree and nature of the traumatic event.
Knee joint laxity is often present, and patients typically have an inability to bear weight on the affected extremity.
It is important to note that patients will typically only have positive anterior drawer tests or Lachman tests with complete fractures (ie, type III and type IV) of the tibial spine. However, due to stretch of the ACL complex during injury, subclinical laxity may be noticed in incomplete fractures.
A positive anterior drawer test indicates knee joint laxity. However, this is not as sensitive as the Lachman test in assessing for ACL deficiency.
A positive result on the Lachman test indicates deficiency of the ACL complex. The test has greater sensitivity and specificity for ACL tears.
In the presence of a deficient ACL complex, during the pivot shift test (usually done intraoperatively when the patient is anesthetized), the femur falls posteriorly in relation to the tibia as the leg is raised and rotated internally. The valgus force applied to the leg along with slight flexion of the knee results in the pivot shift phenomenon. The intact iliotibial band reduces the femur when the knee is brought into 20 to 30 degrees of flexion.
The knee should also be carefully examined for any concomitant injury including meniscal and collateral ligament injury.
Imaging and Other Diagnostic Studies
Good imaging is crucial in the assessment and management of tibial spine fractures as appropriate
classification of the fracture pattern dictates treatment (see section on Nonoperative Management).
Standard anteroposterior (AP) and lateral views of the knee are usually adequate in making the diagnosis. These views help to define and identify the extent of bony injury.
A precise lateral radiograph is necessary as this is the best view to accurately assess fracture classification and fracture fragment position.
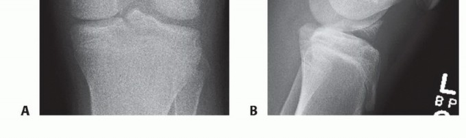
In lesions that are predominantly cartilaginous, radiographs may sometimes detect a small piece or a fleck of avulsed bone, which may be indicative of the avulsed osteochondral fragment, and underestimate the true size of the fracture fragment (FIG 4).
Magnetic resonance imaging (MRI) is a good imaging modality for suspected tibial spine injuries, especially in the immature knee, where the tibial spine is predominantly cartilaginous and radiation exposure is of concern. MRI can help differentiate between a midsubstance ACL injury and a true avulsion fracture of the tibial spine and allow for classification of the fracture pattern. MRI can also allow assessment for fracture displacement
and help to detect concomitant injuries around the knee joint.9
Computed tomography is helpful in the older age group and in cases of severe trauma, where the fracture configuration may be severely comminuted and there is no suspicion of concomitant meniscal or collateral ligament injury.
Differential Diagnosis
ACL tear
Osteochondral lesion or osteochondral fracture Tibial plateau fracture
Other ligamentous or meniscal injuries about the knee
Nonoperative Management
Nonoperative management is reserved for nondisplaced type I fractures and reducible type II fractures.
Type II fractures may be reduced by first aspirating the hematoma and injecting a local anesthetic agent into the joint space.
The knee is extended in an attempt to reduce the fracture fragment. The mechanism of reduction is through direct pressure exerted by the lateral femoral condyle.
FIG 4 • AP (A) and lateral (B) radiographs of the knee showing a displaced tibial spine fracture (type III).*
This maneuver may be effective for lesions that are large enough to include part of the tibial plateau.
In small lesions, or in lesions where the intermeniscal ligament is interposed between fracture fragments, the maneuver may not afford adequate reduction.
The reduction is assessed with radiographs, and the knee is immobilized.
A hinged knee brace or long-leg cast is placed to immobilize the leg and maintain reduction.
There has been controversy about the optimal position for cast placement.
Previous authors have recommended varying knee positions, ranging from 0 to 40 degrees of flexion.3,5,17 The arguments in favor of flexing the knee relate to the relative relaxation of the ACL in flexion.15
Immobilization in hyperextension is not recommended due to patient discomfort and the risk of putting the popliteal artery under tension, potentially causing the development of a compartment syndrome.
The authors recommend immobilization in a hinged knee brace in full extension for 4 to 6 weeks.
The reduction should be checked radiographically after 1 week and at 2 weeks. Any loss of reduction warrants an operative reduction of the fracture.
Surgical Management
The general indications for surgical management of tibial spine fractures include the following:
Type II tibial spine fractures with inadequate closed reduction Completely displaced tibial spine fractures (type III and type IV)
Historically, type III and type IV tibial spine fractures were sometimes treated with nonoperative management. However, a recent systematic review has shown very high rates of nonunion in type III and
type IV tibial spine fractures treated without surgical fixation, and as such, we recommend surgical management for all completely displaced tibial spine fractures.7
Preoperative Planning
Careful preoperative evaluation and preparation are always imperative to the success of treatment. All imaging studies obtained before surgery should be reviewed.
If the avulsed fragment has a relatively large osseous component, plain radiographs will usually suffice in determining treatment.
In lesions that are primarily cartilaginous, MRI may be required to determine the extent of the lesion. Any other lesion noted on imaging studies should likewise be addressed.
A thorough physical examination should be performed under anesthesia.
The choice of surgical treatment (open vs. arthroscopic reduction) as well as the choice of fixation device largely depends on the preference and experience of the surgeon and the character of the lesion. Most
surgeons now favor arthroscopic treatment.7
Larger lesions with an adequate osseous component, for example, may allow for screw fixation, whereas a lesion that is primarily cartilaginous or an osseous lesion with a lot of comminution may be better treated with suture or anchor fixation.
Inevitably, the final decision as to which fixation device is best is made intraoperatively.
The surgeon should be prepared to offer fixation techniques that will provide stable anatomic fixation by arthroscopy or open methods.
Positioning
For arthroscopic procedures, the position largely depends on the surgeon's preference. A variety of positions can be used.
The leg can be placed on the operating table with the knee joint spanning the break in the table. This allows the knee to flex 90 degrees when the lower end of the table is dropped down, allowing the knee to hang off the table. This position can be done with or without a leg holder.
The leg can be placed supine on the operating table, with the hip flexed and the knee flexed 90 degrees. The knee is allowed to angle off the table as needed. A bump positioned under the knee may be helpful to achieve appropriate knee flexion for hardware placement (FIG 5).
FIG 5 • Position of the knee in the leg holder.
FIG 6 • A. The standard portals used for ACL reconstruction are the same ones commonly used for arthroscopic treatment of tibial spine fractures. B. We recommend use of standard anteromedial and anterolateral portals (marked by forceps) and medial and lateral mid-parapatellar portals (marked by hemostats).
For open reduction techniques, the patient is placed supine on the operating table, a tourniquet is placed on
the thigh, and the knee is draped in a standard fashion. The leg is exsanguinated.
Approach
The standard arthroscopic portals used for ACL reconstruction can be used. We recommend use of standard anteromedial and anterolateral portals as well as medial and lateral mid-parapatellar portals (FIG 6).
For open reduction and internal fixation (ORIF), the knee is approached through a limited parapatellar approach.
Techniques
-
Fracture Reduction
Once adequate visualization and exposure of the knee joint are achieved (either arthroscopically or open), the fracture fragments as well as any concomitant injuries are identified.
Ninety degrees of flexion with slight posterior drawer stress is usually the best position to hold the leg for evaluation and treatment of the tibial spine fracture.
Each fracture, however, has its own characteristics. The surgeon should evaluate various degrees of flexion and extension from approximately 70 to 110 degrees as well as rotation and posterior drawer stressing to find the best position for fracture reduction.
Once reduction is achieved, the leg is held in the appropriate position by the assistant to allow for fixation by the surgeon. -
Arthroscopy-Assisted Tibial Spine Repair
- Arthroscopic Fixation
An anterolateral portal is made for visualization, a superomedial portal is used as an outflow tract, and an anteromedial portal is made for instrumentation.
The hemarthrosis is evacuated to allow for direct inspection and evaluation of the knee joint. This may require 1 to 2 minutes of irrigation and débridement in order to achieve adequate visualization.
Identify any concomitant injuries.
The base of the fracture fragment is débrided using shavers and curettes, and the fracture hematoma is carefully removed.
Attempt to reduce the fracture fragments as described earlier in the section “Fracture Reduction” (TECH FIG 1).
If any interposing structure is found preventing reduction, it should be carefully retracted and sutured or repaired if necessary.
Mid-parapatellar portals are recommended, as they will allow easy use of accessory probes and instruments. - Screw Fixation
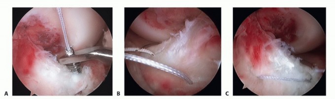
Once anatomic reduction of the fracture has been achieved, a 0.045-inch Kirschner wire is passed through the fracture fragment through the mid-parapatellar portal in the desired location of the final screw (TECH FIG 2A,B).
The position of the Kirschner wire is checked under fluoroscopy to ensure proper placement and to avoid traversing the growth plate.
A second Kirschner wire may be introduced, depending on the stability of the fracture reduction and whether fixation will be achieved with metal or resorbable screw to maintain the fragments in place and prevent rotation during screw placement.

- TECH FIG 1 • A. Arthroscopic image taken of a type III tibial spine fracture. B. Arthroscopic image showing anatomic reduction of the fracture fragments.
A screw of appropriate size and length is chosen.
Metal or resorbable screws can be used for fixation (TECH FIG 2C).
With metal screws, a 3.5- or 4.0-mm cannulated, selfdrilling self-tapping screw is used. The screw size is largely dependent on whether the fracture fragments will accommodate the screw.
With resorbable screws (noncannulated), a cannulated drill and cannulated tap may be used over the Kirschner wire. With a second Kirschner wire holding fixation, the original Kirschner wire is removed, allowing placement of the noncannulated reabsorbable screw in the position of the removed Kirschner wire.
One or two screws may be placed, depending on the size of the fragment.
With reduction maintained, the screw is gradually advanced under fluoroscopic guidance, making sure that the growth plate is not traversed.
Once adequate fixation has been obtained, the Kirschner wires are removed.
The knee is gently flexed and extended while the stability of the reduction is checked under direct arthroscopic visualization.
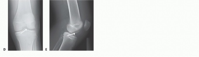
AP and lateral radiographs of the knee are taken to document appropriate positioning of the screw and to document adequate reduction before closure (TECH FIG 2D,E).
Once satisfactory reduction is documented, the instruments are removed, and the arthroscopic portals are closed.
The knee is placed in a hinged knee brace locked in full extension. - Suture Fixation
Two 1-0 polydioxanone (PDS) sutures are passed through the base of the ACL proximal to its insertion on the tibial spine (TECH FIG 3). This is most easily achieved through the midparapatellar portal.
An incision is made 1 to 2 cm medial to the tibial tubercle to allow for placement of an ACL tibial guide.
Two parallel 2-mm transphyseal tunnels are made.
A suture passer is passed through each tunnel and the suture ends are retrieved.
The tibial spine is reduced in its own bed and the suture ends are tied over a bone bridge in the anteromedial portion of the tibia.
If desired, provisional fixation using a resorbable compression screw (discussed earlier) can be used with suture fixation for secondary support. The provisional fixation with a resorbable compression
screw prevents the fracture fragments from displacing during suture fixation.6
Once adequate reduction has been achieved, gentle flexion and extension of the knee is performed under direct arthroscopic visualization to check for stability of reduction.
TECH FIG 2 • Arthroscopic screw fixation. A. The fracture fragment is maintained using Kirschner wire(s).
* B. A cannulated metal screw is inserted under fluoroscopic guidance. C. A resorbable screw in position. As resorbable screw are not typically cannulated, placement requires removal of the Kirschner wire. A second Kirschner wire maintains reduction while the resorbable screw is inserted. D,E. AP and lateral radiographs, respectively, showing the tibial spine fracture fixed with a single cannulated screw with washer. Care should be taken to avoid crossing the physis with the screw.
When satisfactory reduction of the fracture is obtained and documented, the instruments are removed and the arthroscopic portals are closed.
The knee is placed in a hinged knee brace locked in full extension.
Suture Anchor (Shoulder Anchor) Fixation
Two 1-0 PDS sutures are passed through the base of the ACL proximal to its insertion on the tibial spine as in the suture fixation method described earlier. A technique similar to basic shoulder labral repair is then performed.
The limbs of suture are luggage tagged around the base of the ACL (TECH FIG 4A), and then passed through the suture anchors.
The tibial spine fracture is reduced and the anchors are then secured anterior to the tibial eminence, angled slightly anterior to posterior (TECH FIG 4B,C).
TECH FIG 3 • Arthroscopic suture fixation. A,B. Two 1-0 PDS sutures are passed through the base of the ACL. A suture passer is used to grab the suture ends through a transphyseal tunnel and the suture ends are tied in the anteromedial border of the tibia. C. Final suture fixation of a tibial spine fracture.*
If desired, provisional fixation using a resorbable compression screw (discussed earlier) can be used with secondary suture anchor fixation. The provisional fixation with a resorbable compression screw prevents the fracture fragments from displacing during anchor fixation. This method is most
recommended for use in type IV (comminuted) fractures.6
After adequate reduction had been achieved, gentle flexion and extension of the knee is performed under direct arthroscopic visualization to check for stability of reduction.
Once satisfactory reduction of the fracture is obtained and documented, the instruments are removed and the arthroscopic portals are closed.
The knee is placed in a hinged knee brace locked in full extension.
TECH FIG 4 • Arthroscopic suture anchor fixation. A. Two limbs of 1-0 PDS suture are passed through the base of the ACL at its insertion onto the tibial eminence and luggage tag the sutures. B. The limbs of suture are passed through suture anchors and secured anterior to the tibial eminence, angled slightly anterior to posterior. C. Final suture anchor fixation of a tibial spine fracture.
1. ## Open Reduction and Internal Fixation
* Exposure
The procedure begins with a standard medial parapatellar approach. The skin incision may be parapatellar or midline.
The medial parapatellar incision is started at the inferior pole of the patella and follows the medial border
of the patellar tendon down to the level of the tibial tubercle. The incision can be extended as needed (TECH FIG 5).
When performing the medial parapatellar skin incision, care should be taken to avoid inadvertent transection of the infrapatellar branch of the saphenous nerve; if a branch is cut, it should be buried in fat to decrease the risk of developing a neuroma.
The skin incision is carried down to the fascia. The skin and subcutaneous tissues are retracted and reflected.
Dissection is carried through the medial border of the patellar retinaculum, making sure to retain at least a 2- to 3-mm cuff of soft tissue to allow for adequate closure and then down along the medial border of the patellar tendon.
TECH FIG 5 • A. The medial parapatellar approach to the knee can be done through a straight midline incision. B. The parapatellar incision is carried through to the knee joint and the patella is reflected laterally.
The patella and patellar tendon are retracted laterally to allow for direct visualization of the ACL and tibial spine fracture.
Fracture Fixation*
Once fracture reduction is achieved, fixation materials are used to hold the fragment in place, including sutures, screws, Kirschner wires, and suture anchors—similar to those described in the arthroscopic techniques earlier.
Once fixation of the fracture has been achieved, stability is tested by gentle flexion and extension of the knee.
Any concomitant injuries about the knee joint may be addressed.
Copious washing of the knee joint is done before closure to clear the knee joint of any remaining debris. Meticulous hemostasis and layer-by-layer closure are performed.
The knee is placed in a hinged knee brace locked in extension.
Pearls and Pitfalls
Diagnosis ▪ As treatment is based on appropriate classification of the fracture pattern, it is important to have an adequate lateral radiograph in order to avoid missing diagnosis of tibial spine fractures and to avoid misclassification. The mechanism of injury is typically the same as that for ACL tears. Although more commonly seen in pediatric patients than in adults, tibial spine fractures are not specific to either group.
Indications ▪ A careful assessment of the injury is done before treatment; any concomitant injuries such as meniscal tears or injuries to the collateral ligaments should be carefully evaluated and incorporated into the surgical plan.
Surgical preparation
1. Even with proper preoperative planning, the surgeon should be prepared to use a variety of fixation devices and techniques. This is often dictated by the size and character of the fracture fragment. A large fragment may accommodate more than one screw; a smaller fragment, however, may be better treated with suture fixation or suture anchor fixation.
Fracture reduction
1. Difficult reduction is often secondary to soft tissue interposition. The fracture bed should be cleared and any interposing soft tissue should be retracted or removed as deemed necessary. Often, the intermeniscal ligament or the anterior horn of the medial meniscus become entrapped; performing an anterior drawer maneuver may allow the entrapped fragment to be liberated. The fragment may then be reduced onto the fracture bed and fixed accordingly.
Fracture fixation
1. The fracture fragment should be assessed and carefully fixed. Multiple attempts at obtaining purchase with the use of fixation devices should be avoided, as this may cause comminution of the fragment.
2. In skeletally immature individuals, care must be taken to avoid crossing the physis, particularly with the use of screw fixation. Fluoroscopic guidance should be used when radiopaque implants are used and the physis identified and avoided during fixation.
3. Midpatellar portals allow for easy placement of screws, sutures, and suture anchors.
Mobilization ▪ Early treatment, secure fixation, and early postoperative mobilization can help avoid complications such as postoperative stiffness, arthrofibrosis, and loss of knee
extension.19 Mobilization is allowed depending on the stability of fixation. If prolonged immobilization is needed, immobilizing in extension is preferred, as flexion contractures are more difficult to treat than stiffness.
Postoperative Care
Postoperatively, the knee is immobilized in full extension if adequate fixation is achieved. If adequate fixation is not obtained, the knee may be placed in 5 to 10 degrees of flexion; hyperextension should always be avoided. The authors prefer immobilization in a hinged knee brace locked in extension.
Radiographs are taken to document adequate reduction of the fracture fragment.
Early range of motion may be started at 1 to 2 weeks postoperatively when the swelling has subsided and if good fixation of the fracture fragment is obtained. Early mobilization reduces the risk of development of arthrofibrosis and loss of range of motion.19
In more severe cases, where stability may be in question, range-of-motion exercises are generally instituted once adequate healing of the fracture can be ascertained radiographically; this is usually 4 to 6 weeks after surgery.
Outcomes
Residual laxity of the knee is commonly seen, even with anatomic reduction of the fracture, and is due to the inherent stretch of the ACL before the tibial spine fails. In most cases, the residual laxity is subclinical. As long as reduction is maintained, excellent functional outcomes have been reported, despite the
residual laxity with both closed management and operative treatment of tibial spine fractures.2,14,24,25 Good to excellent outcomes have been reported with ORIF as well as arthroscopic reduction with suture fixation,1,4,14 arthroscopic reduction with screw fixation,10,20 and arthroscopic reduction with suture anchor fixation.12,13,23
Gans, et al7 performed a systematic review using meta-analytic technique on observational studies to look at the optimal method of reduction and fixation of tibial spine fractures in pediatric patients based on outcomes and complications. They found that nonoperative treatment of completely displaced (type III and type IV) fractures resulted in higher rates of nonunion. There were no observable differences in outcome with open versus closed operative technique or screw versus suture fixation.
Complications
Nonunion Malunion Arthrofibrosis
Residual laxity—although usually subclinical
Implant-related complications and retained metal hardware in the case of metal screw fixation Growth disturbance
Loss of motion
Scientific References
- 1. Ahn JH, Yoo JC. Clinical outcome of arthroscopic reduction and suture for displaced acute and chronic tibial spine fractures. Knee Surg Sports Traumatol Arthrosc 2005;13:116-121. [View Source / PubMed]
- 2. Baxter MP, Wiley JJ. Fractures of the tibial spine in children. An evaluation of knee stability. J Bone Joint Surg Br 1988;70(2):228-230. [View Source / PubMed]
- 3. Beaty JH, Kumar A. Fractures about the knee in children. J Bone Joint Surg Am 1994;76:1870-1880. [View Source / PubMed]
- 4. Binnet MS, Gürkan I, Yilmaz C, et al. Arthroscopic fixation of intercondylar eminence fractures using a 4-portal technique. Arthroscopy 2001;17:450-460. [View Source / PubMed]
- 5. Fyfe IS, Jackson JP. Tibial intercondylar fractures in children: a review of the classification and the treatment of malunion. Injury 1981;13:165-169. [View Source / PubMed]
- 6. Gans I, Babatunde OM, Ganley TJ. Hybrid fixation of tibial eminence fractures in skeletally immature patients. Arthrosc Tech 2013;2(3):e237-e242. [View Source / PubMed]
- 7. Gans I, Baldwin KD, Ganley TJ. Treatment and management outcomes of tibial eminence fractures in pediatric patients: a systematic review. Am J Sports Med 2013;4:1743-1750. [View Source / PubMed]
- 8. Hunter RE, Willis JA. Arthroscopic fixation of avulsion fractures of the tibial eminence: technique and outcome. Arthroscopy 2004;20:113-121. [View Source / PubMed]
- 9. Ishibashi Y, Tsuda E, Sasaki T, et al. Magnetic resonance imaging aids in detecting concomitant injuries in patients with tibial spine fractures. Clin Orthop Relat Res 2005;(434):207-212. [View Source / PubMed]
- 10. Kocher MS, Foreman ES, Micheli LJ. Laxity and functional outcome after arthroscopic reduction and internal fixation of displaced tibial spine fractures in children. Arthroscopy 2003;19:1085-1090. [View Source / PubMed]
- 11. Kocher MS, Mandiga R, Klingele K, et al. Anterior cruciate ligament injury versus tibial spine fracture in the skeletally immature knee: a comparison of skeletal maturation and notch width index. J Pediatr Orthop 2004;24:185-188. [View Source / PubMed]
- 12. Louis ML, Guillaume JM, Launay F, et al. Surgical management of type II tibial intercondylar eminence fractures in children. J Pediatr Orthop B 2008;17(5):231-235. [View Source / PubMed]
- 13. Lu XW, Hu XP, Jin C, et al. Reduction and fixation of the avulsion fracture of the tibial eminence using mini-open technique. Knee Surg Sports Traumatol Arthrosc 2010;18(11):1476-1480. [View Source / PubMed]
- 14. Mah JY, Adili A, Otsuka NY, et al. Follow-up study of arthroscopic reduction and fixation of type III tibial-eminence fractures. J Pediatr Orthop 1998;18:475-477. [View Source / PubMed]
- 15. McLennan JG. Lessons learned after second-look arthroscopy in type III fractures of the tibial spine. J Pediatr Orthop 1995;15:59-62. [View Source / PubMed]
- 16. Meyers MH, McKeever FM. Fracture of the intercondylar eminence of the tibia. J Bone Joint Surg Am 1959;41(2):209-222. [View Source / PubMed]
- 17. Meyers MH, McKeever FM. Fracture of the intercondylar eminence of the tibia. J Bone Joint Surg Am 1970;52(8):1677-1684. [View Source / PubMed]
- 18. Noyes FR, DeLucas JL, Torvik PJ. Biomechanics of anterior cruciate ligament failure: an analysis of strain-rate sensitivity and mechanisms of failure in primates. J Bone Joint Surg Am 1974;56:236-253. [View Source / PubMed]
- 19. Patel NM, Park MJ, Sampson NR, et al. Tibial eminence fractures in children: earlier posttreatment mobilization results in improved outcomes. J Pediatr Orthop 2012;32(2):139-144. [View Source / PubMed]
- 20. Reynders P, Reynders K, Broos P. Pediatric and adolescent tibial eminence fractures: arthroscopic cannulated screw fixation. J Trauma 2002;53:49-54. [View Source / PubMed]
- 21. Skak SV, Jensen TT, Poulsen TD, et al. Epidemiology of knee injuries in children. Acta Orthop Scand 1987;58:78-81. [View Source / PubMed]
- 22. Tudisco C, Giovarruscio R, Febo A, et al. Intercondylar eminence avulsion fracture in children: long-term follow-up of 14 cases at the end of skeletal growth. J Pediatr Orthop B 2010;19(5):403-408. [View Source / PubMed]
- 23. Vega JR, Irribarra LA, Baar AK, et al. Arthroscopic fixation of displaced tibial eminence fractures: a new growth plate-sparing method. Arthroscopy 2008;24(11):1239-1243. [View Source / PubMed]
- 24. Wiley JJ, Baxter MP. Tibial spine fractures in children. Clin Orthop Relat Res 1990;(255):54-60. [View Source / PubMed]
- 25. Willis RB, Blokker C, Stoll TM, et al. Long-term follow-up of anterior tibial eminence fractures. J Pediatr Orthop 1993;13:361-364. [View Source / PubMed]
- 26. Woo SL, Hollis JM, Adams DJ, et al. Tensile properties of the human femur-anterior cruciate ligament-tibia complex: the effects of specimen age and orientation. Am J Sports Med 1991;19:217-225. [View Source / PubMed]
- 27. Zaricznyj B. Avulsion fracture of the tibial eminence treated by open reduction and pinning. J Bone Joint Surg Am 1997;59(8):1111-1114. [View Source / PubMed]
You Might Also Like