Solving Missed Monteggia: Key to the Lesser Sigmoid Notch
Chapter 9 Reconstruction for Missed Monteggia Lesion Apurva S. Shah Peter M. Waters DEFINITION Monteggia frac…
SURGICAL TECHNIQUES PEDIATRIC
Chapter 9 Reconstruction for Missed Monteggia Lesion Apurva S. Shah Peter M. Waters DEFINITION Monteggia frac…
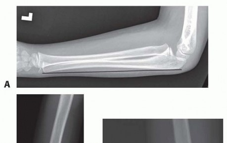
Chapter 3 Intramedullary Fixation of Forearm Shaft Fractures Charles T. Mehlman DEFINITION Forearm shaft frac…
Chapter 6 Open Reduction and Internal Fixation of Fractures of the Medial Epicondyle Brian G. Smith Kristan A…
Chapter 30 Pediatric Tibial Fractures Craig P. Eberson DEFINITION Fractures of the tibia are common in childr…
Chapter 23 Closed Reduction and Spica Casting of Femur Fractures Howard R. Epps Matthew R. Garner John M. Fly…
Chapter 12 Management of Simple Elbow Dislocation Bradford O. Parsons David M. Lutton DEFINITION Simple elbow…
Chapter 69 Anterior Drainage of the Septic Hip in Children Richard M. Schwend DEFINITION Septic arthritis of …
Chapter 75 Bernese Periacetabular Osteotomy Travis H. Matheney and Michael B. Millis DEFINITION Hip dysplasia…
Chapter 54 Release of the Sternocleidomastoid Muscle Gokce Mik and Denis S. Drummond DEFINITION The sternoc…
Chapter 57 Segmental Hook and Pedicle Screw Instrumentation for Scoliosis James T. Guille and Reginald S. Fay…
Chapter 56 Posterior Exposure of the Thoracic and Lumbar Spine James T. Guille and Reginald S. Fayssoux DEFIN…
Chapter 68 Medial Approach for Open Reduction of a Developmentally Dislocated Hip Lori A. Karol and Jeffrey E…