Fixation of Lisfranc Injuries: Essential Open Reduction Guide
Chapter 37 Open Reduction and Internal Fixation of Lisfranc Injury Michael P. Clare Roy W. Sanders DEFINITION…
SURGICAL TECHNIQUES PEDIATRIC
Chapter 37 Open Reduction and Internal Fixation of Lisfranc Injury Michael P. Clare Roy W. Sanders DEFINITION…
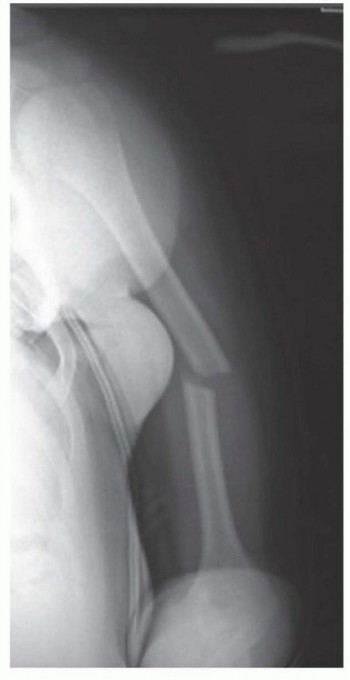
Chapter 17 Plate Fixation of Humeral Shaft Fractures Matthew J. Garberina Charles L. Getz DEFINITION Humeral …
Chapter 35 Pediatric Ankle Fractures Scott J. Mubarak Andrew T. Pennock DEFINITION Ankle fractures account fo…
Chronic Exertional Compartment Syndrome DEFINITION Compartment syndrome can be either acute or chronic. Acute…
Chapter 32 Intramedullary Nailing of the Mature Tibia Mark A. Lee Jonathan G. Eastman Brett Crist DEFINITION …
Volar Plating of Distal Radius Fractures Volar Plating of Distal Radius Fractures DEFINITION Distal radius fr…
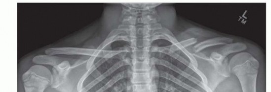
Chapter 20 Open Reduction and Internal Fixation of Clavicular Fractures J. Todd R. Lawrence R. Justin Mistovi…
Chapter 13 Open Reduction and Internal Fixation of Pediatric T-Condylar Fractures Keith D. Baldwin John M. Fl…
Chapter 7 Open Reduction of Supracondylar Fractures of the Humerus Christine M. Goodbody John M. Flynn DEFINI…
Anterior Cruciate Ligament Reconstruction in the Skeletally Immature Patient DEFINITION Skeletally immature p…
Chapter 27 Trochanteric Entry Nailing for Pediatric Femoral Shaft Fractures J. Eric Gordon June C. Smith DEFI…
Chapter 25 Flexible Intramedullary Nailing of Femoral Shaft Fractures Christine M. Goodbody John M. Flynn DEF…