Orthopedic Ob Trauma A Review | Dr Hutaif Trauma & Frac -...
ORTHOPEDIC MCQS 20 TRAUMA 1A What percentage of patients will complain of knee pain at the time of union of a…
Orthopedics online MCQS
ORTHOPEDIC MCQS 20 TRAUMA 1A What percentage of patients will complain of knee pain at the time of union of a…
ORTHOPEDIC MCQS ONLINE PATHOLOGY 017 MUSCULOSKELETAL TUMORS AND DISEASES SELF-SCORED SELF-ASSESSMENT EXAMINAT…
ORTHOPEDIC MCQS ONLINE 012 SPINE 1 Question 1A 56-year-old man has a chief complaint of leg weakness and inab…
ORTHOPEDIC MCQS ONLINE 013 PEDIATRIC 2013 Pediatric Orthopaedic Self-Assessment Examination by Dr.Dhahirortho…
ORTHOPEDIC MCQS ONLINE 013 SPORTS 2013 Sports Medicine Self-Assessment Examination by Dr.Dhahirortho 1 Questi…
Orthopedic MCQS online Trauma 0018 AAOS TRAUMA self Assessment 2018 Question 1 of 100 A 32-year-old man has a…
ORTHOPEDIC MCQS ONLINE 012 TRAUMA 2012 Musculoskeletal Trauma Self-Assessment Examination by Dr.Dhahirortho …
Orthopedic MCQS online Sports 0019 Sports Medicine Scored and Recorded Self-Assessment Examination 2019 Quest…
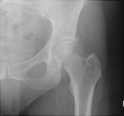
ORTHOPEDIC MCQS ONLINE 20 OB TRAUMA 1C Figure A Buttress plating is most appropriate in which of the followin…
ORTHO MCQS BANK 011 FREE 04 Q 1 1a 1b 1c 1d 1e A 43-year-old female factory worker has had a 6-month history …
ORTHO MCQS 011 FREE BANK 01 Question 1Which of the following methods of treating a vertically oriented (eg, P…
ORTHO MCQS PEDS 10 2010 Pediatric Orthopaedic Examination Answer Book • 7 Figure la Figure lb Question 1 A 5-…