Orthopedic Ob Trauma D Review | Dr Hutaif Trauma & Frac -...
ORTHOPEDIC MCQS ONLINE 20 OB TRAUMA 1D fractures is associated with decreased shoulder strength and increased…
Orthopedics online MCQS
ORTHOPEDIC MCQS ONLINE 20 OB TRAUMA 1D fractures is associated with decreased shoulder strength and increased…
ORTHOPEDIC MCQS 20 TRAUMA 1A What percentage of patients will complain of knee pain at the time of union of a…
ORTHOPEDIC MCQS ONLINE PATHOLOGY 017 MUSCULOSKELETAL TUMORS AND DISEASES SELF-SCORED SELF-ASSESSMENT EXAMINAT…
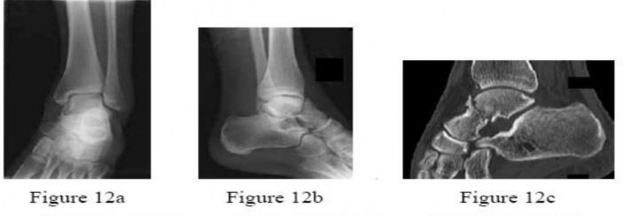
ORTHOPEDIC MCQS ONLINE 015FOOT and Ankle CLINICAL SITUATION FOR QUESTIONS 1 THROUGH 4 A B Figures 1a and 1b a…
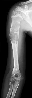
ORTHOPEDIC MCQS ONLINE OB 20 TRAUMA 2A OrthoCash 2020 A 25 year-old-male presents with the injury seen in Fi…
ORTHOPEDIC MCQS ONLINE 014 PATHOLOGY Musculoskeletal Tumors and Diseases Self-Assessment Examination AAOS 201…
ORTHOPEDIC MCQS ONLINE OB 20 TRAUMA 2B CT angiography and admit the patient for hourly neurovascular checks …
ORTHOPEDIC MCQS ONLINE PEDIATRIC 016 2016Pediatric Orthopaedic Self-Assessment Examination Question 1 of 100 …
ORTHOPEDIC MCQS ONLINE 010 PEDIATRIC 2010 Pediatric Orthopaedic Examination Answer Book • 7 Figure la Figure…
Orthopedic MCQS online Shoulder and Elbow 017 SHOULDER AND ELBOW SELF- SCORED SELF-ASSESSMENT EXAMINATION AAO…
ORTHOPEDIC MCQS ONLINE 013 PEDIATRIC 2013 Pediatric Orthopaedic Self-Assessment Examination by Dr.Dhahirortho…
ORTHOPEDIC MCQS ONLINE 012 TRAUMA 2012 Musculoskeletal Trauma Self-Assessment Examination by Dr.Dhahirortho …