Orthopedic Ob Hand A Review | Dr Hutaif Hand & Wrist Re -...
ORTHOPEDIC MCQS ONLINE OB HAND 1A A 35-year-old woman reports wrist pain after a fall onto an outstretched ha…
Orthopedics online MCQS
ORTHOPEDIC MCQS ONLINE OB HAND 1A A 35-year-old woman reports wrist pain after a fall onto an outstretched ha…
ORTHOPEDIC MCQS ONLINE OB PATHOLOGY 1A A 13-year-old boy is diagnosed with osteosarcoma of his distal femur. …
for more mcqs in the bank ORTHOPEDIC MCQS ONLINE BANK OITE 20 ORTHOPEDIC MCQS ONLINE BANK OITE 97 ORTHOPEDIC …
ORTHOPEDIC MCQS ONLINE OB 20 1D RECONSTRUCTION A 77-year-old man who had right total knee replacement surgery…
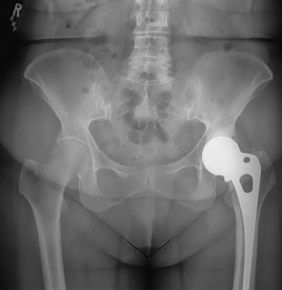
ORTHOPEDIC MCQS ONLINE RECON OB 20 1C 2020 A 72-year-old female presents with progressive left thigh and knee…
Ultimate 2026 Orthopedic Board Prep. 100 randomly generated high-yield MCQs with detailed explanations to hel…
ORTHOPEDIC MCQS 011 PATHOLOGY 2011 Musculoskeletal Tumors Self-Assessment Exam by Dr.Dhahirortho 1 Question …
ORTHOPEDIC MCQS 010 Adult Reconstructive Surgery of the Hip and Knee Examination 7 2010 Adult Reconstructive…
ORTHOPEDIC MCQS ONLINE OB 20 TRAUMA 2A OrthoCash 2020 A 25 year-old-male presents with the injury seen in Fi…
ORTHOPEDIC MCQS ONLINE 20 OB TRAUMA 1D fractures is associated with decreased shoulder strength and increased…
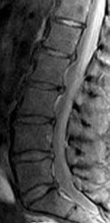
ORTHOPEDIC MCQS ONLINE 012 SPINE 1 Question 1A 56-year-old man has a chief complaint of leg weakness and inab…
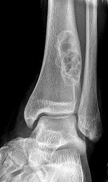
ORTHOPEDIC MCQS ONLINE 015FOOT and Ankle CLINICAL SITUATION FOR QUESTIONS 1 THROUGH 4 A B Figures 1a and 1b a…