Oral Examination Question: Master Unicondylar UKA vs HTO

Key Takeaway
Your ultimate guide to Oral Examination Question: Master Unicondylar UKA vs HTO starts here. For an oralexamination question unicondylar knee arthroplasty (UKA), it is a partial knee replacement suited for patients with low physical demand. UKA is often preferred by women who may not tolerate high tibial osteotomy's angular deformity. However, UKA is generally not recommended for individuals with highly physically demanding jobs due to the risk of accelerated wear.
๐
Clinical Article
KNEE Structured oralexamination question4: Unicondylar knee arthroplasty ( UKA ) versus high tibial osteotomy ( HTO )
EXAMINER : This is a radiograph of a 42-year-old man who is a bricklayer. He complains of pain over medial aspect of knee which has failed non-surgical management. He has come to your clinic for a consultation. What can you see?
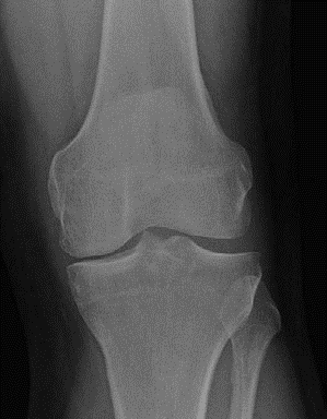
(Figure 3.4.) CANDIDATE : This is a weightbearing AP radiograph of left knee demonstrating moderate medial compartment osteoarthritis. The lateral compartment appears normal. There is a varus deformity of less than 10. I would like to take a history and examine the patient. The examination is focused mainly on localizing the tenderness, range of motion, if the varus deformity is correctable and stability of knee.


UKA are more or less the same. However women prefer the UKA because they do not tolerate the angular deformity created by HTO very well. In addition, patients who have low physical demand may benefit from UKA. EXAMINER : Are you aware of any comparative studies of HTO versus UKA? CANDIDATE : Yes. A recent review by Dettoni et al. reported that a few studies show slightly better results for UKA in terms of survivorship and functional outcome. Nevertheless, the differences are not remarkable, the study methods are not homogeneous and most of the papers report on closing wedge HTOs. They concluded that with the correct indications, both treatments produce durable and predictable outcomes in the treatment of medial unicompartmental arthrosis of the knee. There is no evidence of superior results of one treatment over the other.
Dettoni F, Bonasia DE, Castoldi F et al. High tibial osteotomy versus unicompartmental knee arthroplasty for medial compartment arthrosis of the knee: a review of the literature. Iowa Orthop J 2010;30:131โ140.
<<<<>>
EXAMINER: Letโs say this patient has decided to go ahead with HTO. What type of HTO would you perform and why? CANDIDATE : I am conversant with closing wedge osteotomy. This was considered the gold standard in the past and may entail proximal fibular osteotomy or disruption of tibialโfibular joint. It has the risk of peroneal nerve injury, there is also loss of bone stock making it technically difficult to perform TKA. Due to these reasons, the open wedge osteotomy has become popular recently even though it has the disadvantage of having to use bone graft and late collapse with loss of correction. No conclusions can be drawn on which techniques are to be preferred when comparing between closing wedge with opening wedge as none has shown significantly better outcome over the other.
Amendola A, Bonasia DE. Results of high tibial osteotomy: review of the literature. Int Orthop 2010;34(2):155โ160. EXAMINER : You mentioned difficulty with conversion of HTO to TKA. Tell me more about this.


--- CANDIDATE : Before the introduction of internal fixation and early motion in HTO, cast immobilization was part of the postoperative treatment and this resulted in patella baja following a lateral closing wedge osteotomy. This complication was probably due to contracture of the patellar tendon during castimmobilization. More recent studies showthatclosing wedge osteotomy increases patellar height, whereas opening wedge osteotomy lowers patellar height and this can have implications following TKA. Van Raaij et al. performed a systematic review and KNEE Structured oralexamination question4: Unicondylar knee arthroplasty ( UKA ) versus high tibial osteotomy ( HTO ) EXAMINER : This is a radiograph of a 42-year-old man who is a bricklayer. He complains of pain over medial aspect of knee which has failed non-surgical management. He has come to your clinic for a consultation. What can you see?
(Figure 3.4.) CANDIDATE : This is a weightbearing AP radiograph of left knee demonstrating moderate medial compartment osteoarthritis. The lateral compartment appears normal. There is a varus deformity of less than 10. I would like to take a history and examine the patient. The examination is focused mainly on localizing the tenderness, range of motion, if the varus deformity is correctable and stability of knee.
Figure 3.4
Anteroposterior (AP) radiograph knee. EXAMINER : The patient is fit and well, states that the pain is affecting his job and he would like to consider a surgical option. What would you offer him? CANDIDATE : The options of surgical management once conservative measures have failed include HTO, unicondylar knee arthroplasty or total knee replacement. Since this patient has a high-demand physical job, I would offer him HTO. EXAMINER : What are the prerequisites of HTO? CANDIDATE : A physiological age of < 60 years, fixed varus deformity < 15 or valgus deformity < 12, fixed flexion deformity of < 15, > 90 flexion. EXAMINER : Are you aware of any contraindication for HTO? CANDIDATE : The main contraindications are inflammatory arthropathy such as rheumatoid arthritis and psoriatic arthropathy, incompetent medial collateral ligament or ACL, large varus thrust with coronal subluxation of > 1 cm, severe OA of medial compartment or lateral compartment/PFJ and more than 20 of correction. Obesity is also a contraindication because valgus knee is poorly tolerated due to medial thigh contact. EXAMINER : The patient tells you that he has heard about partial knee replacement and is keen to consider the option. How do you proceed? CANDIDATE : I would explain to the patient that UKA is an option; however, I would not recommend UKA for this particular patient because the highly physically demanding job could result in accelerated wear of UKA. EXAMINER : So which patients would you offer UKA? CANDIDATE : The indications and prerequisites for HTO and
UKA are more or less the same. However women prefer the UKA because they do not tolerate the angular deformity created by HTO very well. In addition, patients who have low physical demand may benefit from UKA. EXAMINER : Are you aware of any comparative studies of HTO versus UKA? CANDIDATE : Yes. A recent review by Dettoni et al. reported that a few studies show slightly better results for UKA in terms of survivorship and functional outcome. Nevertheless, the differences are not remarkable, the study methods are not homogeneous and most of the papers report on closing wedge HTOs. They concluded that with the correct indications, both treatments produce durable and predictable outcomes in the treatment of medial unicompartmental arthrosis of the knee. There is no evidence of superior results of one treatment over the other.
Dettoni F, Bonasia DE, Castoldi F et al. High tibial osteotomy versus unicompartmental knee arthroplasty for medial compartment arthrosis of the knee: a review of the literature. Iowa Orthop J 2010;30:131โ140.
EXAMINER: Letโs say this patient has decided to go ahead with HTO. What type of HTO would you perform and why? CANDIDATE : I am conversant with closing wedge osteotomy. This was considered the gold standard in the past and may entail proximal fibular osteotomy or disruption of tibialโfibular joint. It has the risk of peroneal nerve injury, there is also loss of bone stock making it technically difficult to perform TKA. Due to these reasons, the open wedge osteotomy has become popular recently even though it has the disadvantage of having to use bone graft and late collapse with loss of correction. No conclusions can be drawn on which techniques are to be preferred when comparing between closing wedge with opening wedge as none has shown significantly better outcome over the other.
Amendola A, Bonasia DE. Results of high tibial osteotomy: review of the literature. Int Orthop 2010;34(2):155โ160. EXAMINER : You mentioned difficulty with conversion of HTO to TKA. Tell me more about this.

--- CANDIDATE : Before the introduction of internal fixation and early motion in HTO, cast immobilization was part of the postoperative treatment and this resulted in patella baja following a lateral closing wedge osteotomy. This complication was probably due to contracture of the patellar tendon during castimmobilization. More recent studies showthatclosing wedge osteotomy increases patellar height, whereas opening wedge osteotomy lowers patellar height and this can have implications following TKA. Van Raaij et al. performed a systematic review and