Distal Tibial Supramalleolar Osteotomy: An Intraoperative Masterclass for Complex Ankle Deformity Correction
12 Apr 2026
26 min read
97 Views

Key Takeaway
Welcome, fellows, to a deep dive into distal tibial supramalleolar osteotomy. We'll meticulously cover the correction of complex ankle varus or valgus deformities. This masterclass emphasizes precise preoperative planning, comprehensive anatomical understanding, and granular intraoperative execution, including specific osteotomy techniques, neurovascular protection, and strategies to prevent secondary deformities. Our goal is to achieve optimal mechanical axis alignment and long-term functional success for our patients.
Distal Tibial Osteotomy
DEFINITION
Angular deformities of the distal tibia can lead to varus or valgus malalignment of the ankle joint. Rotational deformities of the tibia include both internal and external tibial torsion.
Additional sources of ankle malalignment include both bony and ligamentous disorders.
ANATOMY
## The tibiotalar joint is normally oriented perpendicular to the long axis of the tibia. This is assessed by measuring the lateral distal tibial angle (LDTA), which has a normal value of 90 degrees (range, 88 to 95 degrees).
## Sagittal alignment of the ankle joint is in slight dorsiflexion and is assessed by measuring the anterior distal tibial angle (ADTA), which has a normal value of 80 degrees (range, 78 to 81 degrees).
## Rotational alignment of the tibia changes with age. Internal tibial torsion is common after birth and gradually corrects until approximately age 5 to 6 years. The normal thigh-foot angle after age 6 years is 0-15°.
## PATHOGENESIS
## Coronal plane deformities about the ankle are not uncommon and may occur secondary to congenital or acquired conditions.1, 2, 3
## Varus angular malalignment of the ankle is generally due to either a traumatic or infectious insult to the medial aspect of the distal tibial physis, with resultant premature closure of the injured area and relative overgrowth of the lateral distal tibial physis and fibula with resultant progressive varus.2, 3, 7
## Valgus deformity of the ankle in children is caused by a wide variety of congenital and developmental as well as posttraumatic conditions.
Neuromuscular conditions such as diplegic cerebral palsy can lead to foot pronation, and late ankle valgus and progressive ankle valgus with lateral wedging of the distal tibial epiphysis may be seen in patients with myelodysplasia.
## Traumatic or postinfectious injury to the distal fibular or lateral distal tibial physis can produce distal tibial valgus.
## Congenital fibular hemimelia is often associated with distal tibial valgus which can be exacerbated by hindfoot coalitions leading to severe hindfoot valgus.
## Congenital pseudarthrosis of the fibula can often lead to ankle valgus as well.
## Iatrogenic distal tibial valgus with fibular shortening can also occur following fibular harvest for vascularized or nonvascularized bone graft.
## Deformities occurring secondary to physeal injuries are progressive until skeletal maturity.
## Correction of deformities about the ankle is complicated by the fact that deformities are frequently centered about the distal tibial physis, very close to the ankle joint, and opening or closing wedge osteotomies performed proximal enough to allow fixation of the fragments can produce secondary deformities with unacceptable translation of the ankle joint.
## NATURAL HISTORY
## Angular deformity of the distal tibia leads to abnormal loading of the hindfoot, ankle joint, and knee and may lead to secondary deformities such as a planovalgus foot or hallux valgus. Long-term malalignment of the ankle joint may lead to the development of premature osteoarthritis of the ankle.8, 9
## Initially, the limb may be treated with braces or orthotics relieving pain and correcting gait, but progression of the deformity with growth can lead to increased soft tissue pressure, bursa formation, and skin ulceration over the medial malleolus, lateral malleolus, or talonavicular region.
## PATIENT HISTORY AND PHYSICAL FINDINGS
## A detailed history should be obtained, including recent or remote trauma, infection, or congenital conditions. In addition, symptoms related to ankle malalignment or instability should be elicited.
## Physical examination should include gross inspection of both lower extremities with the patient standing, walking, and sitting to determine the location of deformity as well as the alignment of adjacent structures (in particular, the hindfoot and knee) that may contribute to perceived deformity as well as affect the surgical outcome.
## The orthopaedic surgeon should inspect standing foot and ankle alignment from behind the patient to determine the location of deformity (distal tibia, ankle, hindfoot).
Standing heel alignment in varus or valgus may indicate the presence of uncompensated distal tibial deformity. Normal alignment in the presence of known deformity should alert the surgeon to hindfoot compensation, which may be rigid or supple.
## The orthopaedic surgeon should check hindfoot passive inversion and eversion to evaluate the ability of the hindfoot to accommodate surgical changes.
Lack of hindfoot motion indicates that the patient may not be able to compensate for distal tibial osteotomies. Further procedures may be warranted to realign the hindfoot to correct fixed deformities.
## Single-limb toe rise: With the patient standing, viewed from posterior, the patient lifts one limb, then rises onto the toes
## P.559
of the standing limb. This should result in prompt inversion of the heel, rising of the longitudinal arch, and external rotation of the supporting leg. Lack of hindfoot inversion should draw attention to the subtalar and transverse tarsal joints as possible sites of pathologic alignment.
## To check forefoot-hindfoot alignment, the patient is seated, facing the examiner. The patient's hindfoot is grasped in one hand and the calcaneus is held in the neutral position, in line with the long axis of the leg. The examiner's other hand grasps the foot along the fifth metatarsal. The thumb of the hand grasping the heel is placed over the talonavicular joint, and the joint is manipulated by moving the hand holding the fifth metatarsal until the head of the talus is covered by the navicular. The position of the forefoot as projected by a plane parallel to the metatarsals is compared to the orientation of the long axis of the calcaneus. The forefoot will be in one of three positions relative to the hindfoot—neutral, forefoot varus, or forefoot valgus. The examiner
should determine whether this relation is supple or rigid, especially when considering surgery because a fixed varus or valgus forefoot deformity will not allow the foot to become plantigrade after realignment of the tibiotalar or subtalar joints.
## Standing lower extremity alignment: If distal tibial deformity is present in conjunction with genu varum or valgum, the patient's entire deformity should be evaluated and a comprehensive plan developed.
## The patient's gait may show an antalgic pattern or may reveal limitations of functional motion in the hindfoot.
## IMAGING AND OTHER DIAGNOSTIC STUDIES
## Standing anteroposterior (AP) and mortise views of both ankle joints should be obtained (FIG 1A-C). The LDTA is measured from the intersection of a line drawn parallel to the long axis of the tibia and a second line drawn across the dome of the talus. The normal LDTA is 90 degrees as measured from the lateral side. The amount of deformity is calculated from the number of degrees that differ from 90 degrees.
## Lateral weight-bearing radiographs of both ankles should be obtained to detect any sagittal plane deformity (FIG 1D). The lateral tibiotalar angle is measured from the anterior side. The average ADTA is 80 degrees as measured from the anterior side.
## Foot radiographs, including standing AP, standing lateral, and oblique views, are used to evaluate hindfoot alignment to avoid over- or undercorrection at the time of surgery. The standing lateral view of the foot is used to evaluate talar-first metatarsal alignment; normally, the talus and first metatarsal are parallel. The standing AP view is used to evaluate the talocalcaneal angle; if the talocalcaneal angle exceeds 35 degrees, hindfoot valgus is present.
FIG 1 • A. Standing AP view of both ankles in a 14-year-old boy with a left distal tibial valgus deformity due to congenital pseudarthrosis of the tibia. B. Standing AP radiograph of the left ankle in a 16-year-old boy showing a varus deformity after a healed physeal distal tibial fracture with medial physeal arrest. C. Standing lateral radiograph of the left ankle of the same patient. D. Standing mortise radiograph of the left ankle in the same patient showing a varus deformity after a healed physeal distal tibial fracture with medial physeal arrest.
A standing AP view of the pelvis is obtained to evaluate for leg length discrepancy.
## Computed tomography can be useful in assessing the presence and size of physeal bars.
DIFFERENTIAL DIAGNOSIS
In addition to distal tibial angular deformity, varus or valgus malalignment about the ankle joint may be due to other local bony or ligamentous disorders.
Fixed hindfoot varus or valgus may simulate ankle deformity on clinical examination.
## Apparent ankle valgus may occur secondary to disorders such as angular deformity of the fibula with shortening and associated lateral shift of the talus hindfoot valgus, hindfoot valgus, or fixed forefoot varus.
Apparent ankle varus may occur secondary to disorders such as hindfoot varus as seen in Charcot-Marie-Tooth disease, residual clubfoot, or fixed forefoot valgus.
NONOPERATIVE MANAGEMENT
## Mild distal tibial angular deformity associated with ankle varus or valgus can be managed through the use of custom braces and orthotics or medial or lateral posting of the shoes.
## Surgery is the mainstay of treatment of bony deformity of the distal tibia.
## SURGICAL MANAGEMENT
## An opening or closing wedge supramalleolar osteotomy (SMO) may be performed for simultaneous correction of frontal and sagittal plane deformities of the ankle.
## SMOs allow for immediate correction of the deformity. However, they are considered technically demanding and relatively invasive and require a period of limited weight bearing or non-weight bearing and immobilization.
P.560
## The challenge involved in correcting varus or valgus deformities of the ankle is to correct the deformity without introducing new secondary deformities. The mechanical axis of the tibia should pass through the center of the ankle perpendicular to the joint surface.
## Some SMO techniques may lead to the development of secondary deformities. For instance, a transverse closing wedge osteotomy performed 4 cm proximal to the joint surface to correct a valgus deformity causes lateral shift of the ankle and a prominent medial malleolus.
## In a child with growth remaining, physeal modulation via a hemiepiphysiodesis with an eight-hole plate, transphyseal screw, or staples can be used to correct distal tibial valgus deformities.
## Correction occurs gradually after hemiepiphysiodesis, so it is not ideal for patients requiring acute corrections such as those with skin breakdown or significant pain. Close follow-up after hemiepiphysiodesis is essential to avoid overcorrection.
## Currently, SMOs are the procedure of choice for correcting ankle valgus in the absence of adequate growth to correct the deformity by hemiepiphysiodesis techniques.
## Choosing the Technique
## Several techniques have been used and are described in the following text, including transphyseal SMO, transverse SMO with translation, and the Wiltse SMO.
## Oblique supramalleolar opening or closing wedge osteotomy
Lubicky and Altiok3 described an oblique distal tibial osteotomy to correct varus and valgus deformity of the distal tibia.
## This technique offers the advantage of placing the hinge of the osteotomy at the level of the deformity and thus performing the correction at the site of the deformity so that maximum correction can be obtained without creating a secondary translational deformity.
## Transverse SMO with translation: Concomitant fibular osteotomies are performed to allow for compression at the osteotomy site and translation of the tibial osteotomy.
## Wiltse osteotomy
Wiltse10 noted that a simple wedge resection for correction of distal tibial valgus deformities will lead to malalignment and prominence of the medial malleolus.
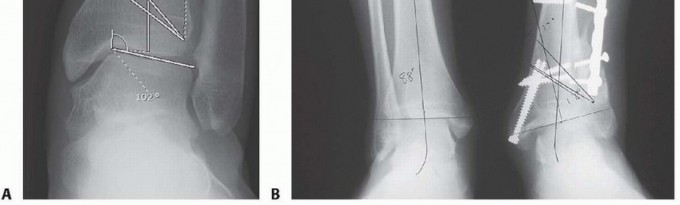
FIG 2 • A. Standing mortise radiograph of the left ankle showing preoperative planning. A 12-degree varus deformity is shown with planning for a 12-degree opening wedge oblique osteotomy with a 10-mm opening at the base. B. Standing AP view of both ankles in a different patient showing preoperative planning, revealing a 17-degree valgus deformity and plans for a 17-degree closing wedge osteotomy. The base of the wedge is planned as 14 mm along the medial tibial cortex.
The author developed and reported the results of resection of a triangular section from the distal tibia with rotation of the distal fragment in order to produce a normal-appearing ankle and improved weight-bearing alignment.
## This procedure is effective because it creates a stable osteotomy and forces the surgeon to lateralize the osteotomy when correcting a valgus deformity, thereby bringing the ankle joint beneath the tibial shaft and preventing medial prominence of the medial malleolus.
## Screw hemiepiphysiodesis is used to address valgus deformities in children with sufficient growth remaining to correct the deformity.
## We have found that the oblique osteotomy allows for correction of the deformity and offers the advantage of improved bone healing, as minimal periosteal stripping is necessary and the deformity is corrected by hinging the osteotomy at a point along the bisector of the deformity.
## Preoperative Planning
## The principal issues to be addressed in surgical correction of distal tibial deformities are the magnitude and
direction of the deformity, any rotational component, and length. The surgeon should address all of these components with a comprehensive plan.
## Length discrepancies in particular are critical because when the limb length discrepancy is greater than 2 cm, a lengthening or shortening procedure should be performed in conjunction with correction of the distal tibia.
Either contralateral epiphysiodesis or shortening should be planned or lengthening of the index limb, which may make the entire procedure preferable to perform with circular external fixation.
## Weight-bearing radiographs of the ankle in the AP and lateral planes are essential to determine the extent of the deformity. In addition, it is important to thoroughly assess the hindfoot and forefoot.
## The magnitude and plane of the deformity to be addressed should be calculated preoperatively and noted in the preoperative plan (FIG 2A).
## After the deformity is assessed using the methods described by Paley and Tetsworth,4, 5 the position of the center of
## P.561
rotation of angulation (CORA) is identified and a bisector is constructed. Most commonly, this point is very near the physis and articular surface ( FIG 2B).
## Although the osteotomy can be performed at a level consistent with the biology of the bone and allowing for adequate fixation, the correction of the deformity should occur along the bisector.
## The goal of surgical correction should be to obtain an LDTA of about 90 degrees with a tibial mechanical axis that passes through the center of the ankle.
## Care should be taken to evaluate the hindfoot motion preoperatively. Patients with fixed varus or valgus hindfoot alignment may require additional procedures, such as a calcaneal osteotomy, or the surgeon may elect to compensate for a mild fixed deformity by leaving the ankle in mild varus or valgus alignment, thereby bringing the hindfoot into neutral alignment.
## Positioning
## The patient is placed in the supine position on a radiolucent operating table with or without a bolster placed under the ipsilateral hip. A well-padded nonsterile tourniquet is placed around the ipsilateral proximal thigh.
## Intraoperative fluoroscopy is essential. The C-arm should be placed on the opposite side of the table. The Carm monitor should be placed with the image intensifier on the opposite side of the table from the limb to be corrected.
## Approach
## Distal tibial osteotomy is performed through either a medial incision centered over the medial malleolus or an anteromedial incision made slightly lateral to the anterior tibialis tendon.
## TECHNIQUES
-
Medial Approach
The proximal extent of dissection is determined by the size of the bone wedge to be resected in a closing wedge osteotomy or by the extent of the fixation required in an opening wedge. If a simple derotational osteotomy is contemplated, a transverse osteotomy is planned.
A medial incision is made directly along the medial border of the tibia extending from just proximal to the
## physis to as far proximal as needed based on the size of the wedge to be removed for correction of the valgus deformities (TECH FIG 1A).
## TECH FIG 1 • A. Outlined incision over medial aspect of tibia prior to tibial derotational osteotomy. B. Superficial dissection to medial tibia showing branch of the saphenous vein. C. Medial subperiosteal dissection over distal tibia.
Care is taken to protect the saphenous vein and nerve (TECH FIG 1B). The distal tibia is exposed to a point just proximal to the physis. If the distal tibial physis is closed, the dissection can be extended beyond the physis and to the epiphysis if needed. The periosteum is divided sharply. This area is exposed subperiosteally anteriorly and posteriorly.
## After the tibia is exposed medially, a limited subperiosteal dissection is made anteriorly and posteriorly in an oblique direction down to the lateral aspect of the distal tibial physis (TECH FIG 1C). Crego or Chandler retractors are then placed to protect the soft tissues.
-
Anterior Approach
## A longitudinal incision is made over the anterior aspect of the ankle extending distally to the ankle joint and proximally about 5 cm. The dissection should be carried down lateral to the anterior tibial tendon, protecting the anterior tibial artery and deep peroneal nerve laterally (TECH FIG 2).
## Subperiosteal dissection is carried out around the tibia distally to the level of the physis. Crego or Chandler retractors are then placed medially and laterally to protect the soft tissues.
## If necessary, the fibular osteotomy is performed using a separate 2-cm lateral incision that parallels the fibula and is centered over the point of the osteotomy.
## TECH FIG 2 • Anterior incision over distal tibia showing interval lateral to the anterior tibialis tendon.
2. ## Oblique Supramalleolar Opening or the Closing Wedge Osteotomy
P.562
## If the osteotomy is performed through a medial approach, the preplanned osteotomy is then performed with an oscillating saw to the physis, leaving the lateral cortex intact.
Valgus Deformities
## For valgus deformities, a second osteotomy is made at an angle to the first corresponding to the amount of bone to be resected according to the preoperative plan. This is also done with a power saw, ending at the lateral extent of the first osteotomy, and the wedge is removed (TECH FIG 3A,B).
## The foot and ankle are then rotated into varus, closing the wedge while leaving the lateral hinge intact, and the correction is assessed using the image intensifier and if necessary plain radiographs. Additional bone can be removed from the proximal fragment if the amount of correction is insufficient.
## Once the osteotomy closes, the drill is passed through the medial malleolus in patients with a closed physis, securing the osteotomy. If the patient has an open physis, an oblique interfragmentary screw is passed across the osteotomy site beginning just proximal to the physis. The screw should be centered in the sagittal plane.
## TECH FIG 3 • A. AP intraoperative view of the ankle showing a Crego elevator in place with a saw blade performing the initial osteotomy. B. AP intraoperative view of the ankle with a saw blade placed into the initial cut and the saw completing the second cut.
If the fibula is an impediment to correction (it usually is not), an oblique osteotomy of the fibula is made and, if necessary, fixed with a plate and screws.
Varus Deformities
## For varus deformities, an opening wedge is created along the same line. Once the osteotomy is made, the osteotomy site is distracted using a lamina spreader to the preplanned distance to correct the deformity (TECH FIG 4A-C).
## It is then held open by a wedge-shaped tricortical iliac crest graft or simply stabilized with a medial plate and screws (TECH FIG 4D-H), beginning with a screw passed from medial to lateral across the osteotomy site.
## After wound closure, a short-leg, non-weight-bearing cast is applied.
##
TECH FIG 4 • A. Position of the two Crego elevators used to protect the soft tissues during the oblique osteotomy. An oscillating saw is used to create the oblique osteotomy. Fluoroscopy is used to confirm the angulation of the cut as well as to ensure that the lateral cortex remains intact. B. A large osteotome is placed into the osteotomy site and used to open the osteotomy. C. A laminar spreader is used to hold open the osteotomy site. D. The amount of medial opening needed for deformity correction is verified by measuring the medial opening in millimeters. (continued)
P.563
## TECH FIG 4 • (continued) E. A bicortical 3.5-mm screw (cortical) is inserted from the proximal to distal fragments to hold the osteotomy site open, allowing for removal of the laminar spreader. F. A 3.5-mm small fragment dynamic compression plate is contoured to the medial aspect of the distal tibia. G. The plate is secured to the distal tibia with 3.5-mm cortical bone screws. H. Intraoperative AP radiograph showing opening wedge osteotomy with internal fixation.
-
Transverse Supramalleolar Osteotomy with Translation
## The tibiotalar joint should be corrected to neutral at the time of surgery.
## A wedge of bone is resected, apex medial in valgus ankles and apex lateral in varus ankles. The angle of the wedge is based on preoperative radiographs. The wedge of bone is harvested so that continuity of the apex is maintained and acts as a hinge.
## An anteromedial longitudinal incision is made over the distal tibial metaphysis. The periosteum is incised
medial to the tibialis anterior tendon. The surgeon should avoid cutting into the physeal perichondral ring distally. The periosteum is elevated and retracted with Crego retractors placed medially and laterally. The level of the distal tibial physis is checked using fluoroscopy.
## When addressing valgus deformities, a closing wedge osteotomy is performed in the metaphyseal bone about 3 cm proximal to the ankle joint. The proximal cut is made first. It is aligned perpendicular to the long axis of the tibia. The second distal osteotomy cut is made obliquely. The triangle formed by the two cuts is medially based. Enough bone is removed to convert the preoperative LDTA to neutral.
## Preoperatively, a sterile template triangle can be prepared with a piece of paper and a goniometer. The paper is placed on the tibia, which is marked with an osteotome and then cut with an oscillating saw.
## The fibular osteotomy, if necessary, is performed at the same level as the tibial osteotomy. The fibular osteotomy is performed because it allows for sufficient compression at the tibial osteotomy site and it also allows for centralization of the distal tibial fragment to improve foot alignment.
## The tibial osteotomy may be fixed with a small fragment plate or Kirschner wires.
## The fibular osteotomy is made through a second incision, laterally over the fibula. The osteotomy is shaped in the form of a triangle. The proximal cut is oblique and ends proximal at the medial cortex. The distal cut is perpendicular to the shaft of the fibula.
## The extent of correction is checked with an intraoperative radiograph.
Care is taken to avoid injury to the distal tibial physis when obtaining fixation of the osteotomy. Internal or external rotation deformities can be addressed at the same time.
## Alternatively, an opening wedge osteotomy may be performed about 2 to 3 cm proximal to the physis. An osteotomy is made parallel to the ankle joint, and an opening wedge correction is performed and filled with bone graft.
-
Wiltse Osteotomy
## The osteotomy is performed through an anterior approach to the distal tibial metaphysis at the level of the metadiaphyseal junction.
## A triangular piece of bone is removed from the region of the distal tibial metadiaphyseal junction. The apex of the cut is centered on the longitudinal axis of the tibia.
## The magnitude of the angle of the lateral portion of the triangle should be equal in size to the magnitude of the deformity to be corrected.
## The osteotomy should be stabilized by a plate and screws or Kirschner wires and the wound is closed. A cast is placed as described in the following text.
If growth is near completion, simple deformity correction should suffice. However, in children with growth remaining, the deformity can be overcorrected to avoid recurrent deformity.
5. ## Derotational Osteotomy
P.564
## If a purely derotational osteotomy is planned, the incision should be slightly oblique to the long axis of the limb, such that after derotation, the resulting closed incision is oriented longitudinally.
## The proposed plate is placed onto the distal tibia and positioned on the bone with the distal end of the plate just proximal to the physis. A site for the osteotomy is selected at the metaphyseal-diaphyseal junction as distal as possible while still allowing for adequate fixation of the distal fragment.
## The plate is then removed and an oscillating saw is used to create an osteotomy perpendicular to the long axis of the tibia (TECH FIG 5A).
##
TECH FIG 5 • A. Transverse osteotomy through distal tibia at metaphyseal-diaphyseal junction. B. Locking plate secured to the proximal fragment prior to derotation of the distal tibia. C. Image from distal of the thigh-foot angle showing correction of external tibial torsion prior to securing the distal fragment. D. Locking plate secured to distal tibia using combination of locking and nonlocking screws after correction of external tibial torsion.
## The plate is then placed once again along the tibia and secured to the tibial shaft (TECH FIG 5B). The distal tibia is then derotated to a position where the thigh-foot angle is neutral (TECH FIG 5C).
## The distal fragment is then secured to the plate using screws. If a locking plate has been selected to stabilize the osteotomy, locking screws should be used to secure the distal fragment to the plate (TECH FIG 5D).
## Adequate fixation should be used to allow weight bearing for transfers.
## Wound closure is carried out in a routine fashion, and immobilization can be achieved using either a short-leg cast or a walking boot.
-
Screw Hemiepiphysiodesis
## Using image intensification, a drill bit is placed into the tip of the medial malleolus through a 3-mm stab wound.
## The drill is advanced under C-arm guidance proximally and medially across the distal tibial physis. Care is taken to avoid injury to the posterior neurovascular bundle, which passes inferior to the tip of the medial malleolus.
## The position of the drill bit is confirmed on AP and lateral fluoroscopic images. In the AP plane, the guide pin should be located as medially as possible. The guide pin should be centered in the sagittal plane.
## The drill bit is then withdrawn, and a 50- to 60-mm fully threaded cancellous screw is placed into the distal tibia. A second screw may be placed if necessary (TECH FIG 6).6
## The wound is closed, and a soft dressing is placed. The child is allowed full weight bearing as tolerated.
##
## TECH FIG 6 • Postoperative AP radiograph of the patient in FIG 1A after plate fixation and bone grafting of the fibula and screw hemiepiphysiodesis of the medial distal tibia.
P.565
-
Staple or Eight-Hole Plate Hemiepiphysiodesis
## We currently prefer a hemiepiphysiodesis plate over hemiepiphyseal staples because of the lower incidence of failure due to backing out or breakage.
A 1- to 2-cm incision is made directly over the medial distal tibial physis. Extraperiosteal dissection is carried out over the physis.
## The physis is localized using image intensification, and a guidewire is placed into the epiphysis. The appropriately sized two-hole plate is then selected and on end placed over the guidewire. A guidewire is then placed into the metaphysis parallel to the epiphyseal guidewire.
## Screws consistent with the anatomy are selected for use. Care must be taken to select screws long enough to provide purchase but not to penetrate the articular surface.
## Screws may be placed under power without drilling, or reaming may be performed over the guidewire and then the screws placed.
PEARLS AND PITFALLS
| ##
| ##
| ## Passive
| 1. ## Full preoperative evaluation of passive hindfoot motion is essential. Correction of a varus or valgus distal tibial deformity when the hindfoot does not have adequate
| ##
Lateral
hinge
-
When performing the oblique osteotomy, the surgeon must leave the lateral bony
hinge intact, whether performing an opening or closing wedge osteotomy. This intact hinge is the key to stability in this osteotomy. If this principle is violated, stable fixation is difficult.
Periosteal ▪ The surgeon should avoid periosteal stripping whenever possible. Limited stripping exposures, when possible, preserve soft tissue attachments and promote healing
and stability.
motion to accommodate the correction requires either additional hindfoot procedures
or modification of the procedure.
hindfoot
motion
POSTOPERATIVE CARE
## After wound closure, a short-leg, non-weight-bearing cast is applied. Non-weight bearing is maintained for 4 to 6 weeks.
Closing wedge osteotomies are typically stable, and patients are allowed full weight bearing at 4 weeks.
## Opening wedge osteotomies are stable based on fixation and grafting, and the patient is kept non-weight bearing for 6 weeks.
## After 4 to 5 weeks, when weight bearing is initiated, the cast is removed and a CAM walker is applied.
## Physical therapy should be instituted to regain motion, strength, and proprioception before resuming activities.
## It is important to follow immature patients closely for the development of a limb length discrepancy, which can be addressed by performing an epiphysiodesis of the contralateral lower limb.
## OUTCOMES
Lubicky and Altiok3 reported their experience in 26 limbs with the oblique osteotomy and found rapid healing and few complications, with all patients resuming their preoperative level of activity.
They noted that patients with preoperative hindfoot valgus had improved alignment with varus overcorrection of the distal tibia and recommended overcorrection by 5 degrees in these patients.
We have not overcorrected patients with normal hindfoot alignment, particularly those with posttraumatic deformities.
COMPLICATIONS
Nonunions, wound healing problems, and loss of correction after surgery may be related to a number of factors.
Historically, the distal tibia is associated with increased difficulty with both soft and hard tissue healing in the traumatized limb. Also, impaired tissue development and growth due to decreased innervation and physiologic stresses can create a barrier to normal healing.
Leg length discrepancy can be seen after opening and closing wedge osteotomies in growing children.
## Delayed union may require prolonged immobilization with weight bearing as tolerated. Nonunion can be managed with improved fixation, autologous bone grafting, and further immobilization in a non-weight-bearing cast.
Malunion can be due to inadequate fixation or slow healing and loss of fixation. Recurrence of the deformity can be due to continued growth with partial physeal arrest.
Premature growth plate closure can occur with the oblique osteotomy. This can occur as a planned portion of the procedure or can be due to periosteal stripping at the level of the physis or fixation crossing the physis.
Pseudarthrosis of the fibula can occur after fibular osteotomies. These are most often asymptomatic and can be observed. When painful, open reduction, plate fixation, and bone grafting should be considered.
P.566
Scientific References
- 1. ## Davids JR, Valadie AL, Ferguson RL, et al. Surgical management of ankle valgus in children: use of a transphyseal medial malleolar screw. J Pediatr Orthop 1997;17:3-8. ## 2. ## Kärrholm J, Hansson LI, Selvik G. Changes in tibiofibular relationships due to growth disturbances after ankle fractures in children. J Bone Joint Surg Am 1984;66(8):1198-1210. ## 3. ## Lubicky JP, Altiok H. Transphyseal osteotomy of the distal tibia for correction of valgus/varus deformities of the ankle. J Pediatr Orthop 2001;21:80-88. ## 4. ## Paley D, Tetsworth K. Mechanical axis deviation of the lower limbs. Preoperative planning of multiapical frontal plane angular and bowing deformities of the femur and tibia. Clin Orthop Relat Res 1992;(280):65-71. ## 5. ## Paley D, Tetsworth K. Mechanical axis deviation of the lower limbs. Preoperative planning of uniapical angular deformities of the tibia or femur. Clin Orthop Relat Res 1992;(280):48-64. ## 6. ## Stevens PM, Belle RM. Screw epiphysiodesis for ankle valgus. J Pediatr Orthop 1997;17:9-12. ## 7. ## Takakura Y, Takaoka T, Tanaka Y, et al. Results of opening-wedge osteotomy for the treatment of a posttraumatic varus deformity of the ankle. J Bone Joint Surg Am 1998;80(2):213-218. ## 8. ## Ting AJ, Tarr RR, Sarmiento A, et al. The role of subtalar motion and ankle contact pressure changes from angular deformities of the tibia. Foot Ankle 1987;7:290-299. ## 9. ## Wagner KS, Tarr RR, Resnick C, et al. The effect of simulated tibial deformities on the ankle joint. Foot Ankle 1984;5:131-141. ## 10. ## Wiltse LL. Valgus deformity of the ankle: a sequel to acquired or congenital abnormalities of the fibula. J Bone Joint Surg Am 1972; 54(3):595-606. [View Source / PubMed]
You Might Also Like
Previous ChapterMasterclass: Extra-articular Reconstruction for DRUJ and Ul…
Next Chapter Sauvé-Kapandji Procedure: A Masterclass in Distal Radioulna…
Medically Verified Content by
Prof. Dr. Mohammed Hutaif
Consultant Orthopedic & Spine Surgeon