Distal Radius Malunion Corrective Osteotomy: An Intraoperative Masterclass in Precision and Restoration

Key Takeaway
This masterclass guides you through corrective osteotomy for distal radius malunion. We'll meticulously cover indications, comprehensive surgical anatomy, precise preoperative planning, and detailed intraoperative execution, including specific instrument use and fluoroscopic guidance. Learn critical pearls, pitfalls, and postoperative management, ensuring optimal patient outcomes for complex wrist deformities. Precision and anatomical restoration are paramount in this advanced procedure.
Definition
Distal radius malunion is best defined as malalignment associated with dysfunction. Malalignment does not always result in dysfunction. In particular, the vast majority of older, low-demand patients function very well with deformity. Dysfunction can include loss of motion, loss of strength, or pain. 1, 2, 5 Pain can be the most difficult to associate with deformity. Osteotomy for pain—as with any surgery for pain —is relatively unpredictable and should be undertaken with caution. Carpal malalignment, ulnocarpal impaction, and distal radioulnar joint (DRUJ) malalignment are all potentially painful and can be variably addressed. The relationship between distal radius malunion and carpal tunnel syndrome is debated. Some surgeons claim a direct causal relationship as well as the ability to improve carpal tunnel syndrome with osteotomy alone. ## ANATOMY Loss of alignment can be measured on radiographs. Angulation of the articular surface on the lateral view is measured as the angle between a line connecting the dorsal and palmar lips of the distal radius articular surface on the lateral view and a line perpendicular to the radius shaft. Ulnarward inclination (often called radial inclination , a misnomer because the articular surface tilts toward the ulna) is measured as the angle between a line connecting the ulnar limit and the radial limit of the distal radius articular surface on the posteroanterior (PA) view and a line perpendicular to the radial shaft. Ulnar variance is a better measure of shortening of the radius than radial length. It is measured as the distance between two lines drawn perpendicular to the radial shaft on the PA view, one at the level of the most ulnar corner of the lunate facet and the other at the distal limit of the ulnar head. Positive ulnar variance means that the ulna is longer than the radius. Negative means the ulna is shorter. Loss of articular surface alignment can be measured on radiographs as gap, step, or subluxation. This is most accurately measured using computed tomography (CT) images ( FIG 1). Sources of variability in radiographic measurements include variation in the radiographs, imprecision in the measurement techniques, and imprecision in the selection of the points of reference. ## PATHOGENESIS Fractures of the distal radius heal rapidly. A malaligned healing fracture can be considered a malunion within 4 to 6 weeks of injury. Risk factors for fracture instability, loss of reduction, and malunion include age older than 60 years, more than 20 degrees of dorsal angulation, dorsal metaphyseal comminution, comminution extending to the volar metaphyseal cortex, associated fracture of the ulna, and displaced articular fracture. Risk factors for fracture instability include age, metaphyseal comminution, dorsal tilt, ulnar variance, and lack of functional independence. Manipulation of previously reduced fractures that redisplace in a cast or splint signifies instability and is not worthwhile. Limitations of various treatment techniques may contribute to creation of a malunion. Percutaneous pins alone may not be sufficient to maintain alignment when there is substantial metaphyseal comminution. External fixation alone without ancillary percutaneous pin fixation of the fracture
---
FIG 1 • The arc method for measuring articular malalignment of the distal radius. The distance between B and D is the articular step, and the distance between A and C is the maximum articular ga (After Catalano LW III, Cole RJ, Gelberman RH, et al. Displaced intra-articular fractures of the distal aspect of the radius: long-term results in young adults after open reduction and internal fixation. J Bone Joint Surg Am 1997;79[9]:1290-1302.) 143 Early removal of pins or an external fixator. Settling of the fracture can also be observed after implant removal more than 6 weeks after injury, particularly when there is substantial metaphyseal comminution. Nonlocked plates may loosen in osteopenic metaphyseal bone. Complacence must be avoided. Many older patients desire optimal wrist alignment and function, and treatment decisions should not be made on chronologic age alone. ## NATURAL HISTORY Ulnar-sided wrist pain can improve for a year or more after fracture of the distal radius, so patience is warranted. Lack of forearm rotation may be related to capsular contracture or bony malalignment. For slight malunions, patience with exercises and rehabilitation is advisable. Although it is often stated that an extra-articular distal radius malunion leads to future arthrosis, there are no data to support this contention. After a recovery period of 1 to 2 years from fracture, the functional deficits seem fairly stable. Articular incongruity or subluxation in relatively nonarticular areas can be reasonably well tolerated, but in most cases, intra-articular incongruity will lead to arthrosis, pain, and dysfunction. There is no clear time frame for these changes— indeed, symptoms do not correlate well with radiographic anatomy or arthrosis and the predictors of arthrosis are not well established. ## PATIENT HISTORY AND PHYSICAL FINDINGS Pain should be very discrete and specific. It is important that there be a direct correlation of the pain with a clear operative target. Vague, diffuse, or disproportionate pain should not be treated with osteotomy. Pain alone is not a good indication for osteotomy, so the interview should elicit specific aspects of the pain for which there is a good operative target and the risks of surgery are justified.
---
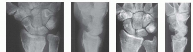
### FIG 2 • A,B. Anteroposterior (AP) and lateral radiographs of extraarticular dorsally angulated malunion. C,D. PA and lateral radiographs of an extra-articular dorsally displaced malunion. E. CT shows rotational deformity associated with a volarly displaced extra-articular fracture. (Copyright Diego Fernandez, MD, PhD.) Lack of motion should be clearly due to malalignment and not due to pain or protectiveness—likewise for instability of the DRUJ. Range of motion: A goniometer is used to measure wrist flexion, extension, radial and ulnar deviation, supination, and pronation. Ulnocarpal compression: The carpus is forcefully ulnarly deviated toward the ulna. Consistent reproduction of usual pain with ulnar deviation tasks is consistent with ulnocarpal impaction. The examiner can test for DRUJ instability by stabilizing the radius and trying to subluxate the distal ulna dorsal and volar from the sigmoid notch of the radius. Substantially, less stability than the opposite side may correlate with symptomatic DRUJ instability, but this is a very difficult and subjective test. Scaphoid shift test: Instability compared to the opposite wrist would indicate a possible scapholunate interosseous ligament tear, indicating a potential dissociative rather than the typical nondissociative carpal malalignment usually associated with distal radius malunion. Grip strength is one of the measure of wrist dysfunction, but it is largely determined by pain and effort—both strongly influenced by psychosocial factors. ## IMAGING AND OTHER DIAGNOSTIC STUDIES PA and lateral radiographs of the wrist ( FIG 2A-D) can be supplemented by specific radiographs for evaluation of the joint surface, particularly for potential articular malunions. Comparison with the opposite, uninjured wrist is useful and serves as a template for surgical correction. CT, particularly three-dimensional CT, is useful to precisely evaluate the joint surfaces ( FIG 2E). Neurophysiologic tests (nerve conduction velocity and electromyography) are ordered to evaluate any symptoms or signs of carpal tunnel syndrome that may need to be addressed. 144 ## DIFFERENTIAL DIAGNOSIS Stiffness: capsular stiffness and tendon adhesions Numbness: idiopathic carpal tunnel syndrome Pain: another discrete source of pain or even nonspecific pain ## NONOPERATIVE MANAGEMENT Nonoperative management is appropriate for low-demand and infirm individuals. Splints are weaned after 6 weeks of cast immobilization. Patients who struggle to regain motion may benefit from working with an occupational therapist or a certified hand therapist. Normal activities are resumed in 3 or 4 months. The patient may return every 2 or 4 months or so until satisfied with the result. Patience is warranted in many situations, particularly for patients with ulnar-sided wrist pain thought to be due to an extra-articular malunion. This discomfort is the last pain to go away after a distal radius fracture and can last up to a year. ## SURGICAL MANAGEMENT Surgery is appropriate when a radiographic deformity correlates with a specific anatomically correctable problem and the deformity is associated with a substantial risk of dysfunction or arthrosis. The patient must understand the risks and benefits of intervening. The surgeon should be wary of pain as the primary complaint because pain is strongly influenced by psychosocial factors, and pain relief is an achievable goal only when consistent with an objective, correctable anatomic deformity such as discomfort clearly associated with a substantial ulnocarpal impingement. When the issue is restriction of motion and there is less than 20 degrees of dorsal tilt or less than 5 mm of ulnar positive variance, a nonoperative approach may be warranted.
---
### FIG 3 • A,B. Preoperative plans for dorsal osteotomy in the patient in TECH FIGS 1, 2, 3: preosteotomy plan ( A) and postosteotomy and corticocancellous bone grafting plan (B). (continued) There are no fixed rules or thresholds for acceptable alignment. The correlation with symptoms and disability is more important. Intra-articular osteotomies should be considered only when the malalignment is simple and the planned correction is straightforward. For instance, osteotomy of a volar shearing fracture would be considered when the fragment is large, there is little or no articular comminution or impaction, and the dorsal fragments are not healed in a malaligned position. Distal radius osteotomy need not be performed urgently. The patient should have demonstrated excellent exercise skills and full finger motion and there should be no significant nerve or tendon dysfunction or edema. In the case of an intra-articular malunion, intervening early (optimally within 10 weeks) when the fracture is not completely healed may take precedence over these concerns. ## Preoperative Planning The desired angular, rotational, and length corrections are planned based on preoperative radiologic studies, including a radiograph of the opposite wrist if uninjured ( FIG 3A,B). It can be useful to draw and write out a reconstruction plan, particularly for complex malunions ( FIG 3C-E). In that way, every contingency is anticipated and the surgery is likely to go more smoothly. ## Positioning The patient is positioned supine with the arm supported on a hand table. A nonsterile pneumatic tourniquet is used and inflated after exsanguination and before the skin incision. ## Approach The operative approach is either dorsal or volar, depending on the deformity and the chosen surgical technique. 145
---
### FIG 3 • (continued) C. Preoperative plan for an extra-articular osteotomy through a volar approach in the patient in TECH FIGS 4 and 5. D,E. Preoperative plans for an intra-articular dorsally angulated malunion in the patient in TECH FIG 6. (Copyright Diego Fernandez, MD, PhD.)*
Techniques
-
Dorsal Extra-articular Distal Radius Osteotomy: Corticocancellous Graft ### Exposure Make a longitudinal incision centered over the tubercle of Lister, in line with the third metacarpal ( TECH FIG 1A). Elevate skin flaps, taking care to protect the branches of the superficial radial nerve in the radial skin fla Incise the retinaculum over the third extensor compartment. Remove the tendon of the extensor pollicis longus (EPL) and transpose it radialward ( TECH FIG 1B). The EPL tendon will be left in the subcutaneous tissues at the completion of the procedure. Elevate the fourth dorsal compartment and its tendons subperiosteally. Preserve the integrity of this compartment. It is usually not possible to elevate the second dorsal compartment subperiosteally, so simply retract the extensor carpi radialis brevis and longus tendons radialward after opening the compartment. ### Osteotomy and Realignment Kirschner wires drilled parallel to the articular surface can facilitate monitoring of realignment ( TECH FIG 2A).
---
TECH FIG 1 • Correction of extra-articular dorsally angulated malunion in the patient in FIG 2A,B. A. Straight longitudinal skin incision. B. The EPL is mobilized and transposed dorsoradially into the subcutaneous tissues. (Copyright Diego Fernandez, MD, PhD.) 146
---
### TECH FIG 2 • A. Kirschner wires are placed parallel to the articular surface. Fluoroscopic image showing pin placement. B. The osteotomy is made with a saw as close as possible to the original fracture site. C. Lateral fluoroscopic image showing use of a lamina spreader to realign the distal fragment. D. The osteotomy has been opened and is ready for graft placement. (Copyright Diego Fernandez, MD, PhD.) A distractor or small external fixator may facilitate realignment and provisionally stabilize the fracture. The proximal threaded pin is drilled into the radial diaphysis perpendicularly in a position that will not interfere with implant application. The distal threaded pin is drilled at an angle equal to the desired correction of the lateral tilt of the distal radius articular surface so that distraction of the two pins will bring this pin parallel to the proximal pin (perpendicular to the radius), thereby restoring alignment. The pins should be drilled so that they also help restore the appropriate ulnarward inclination of the distal radius articular surface when distracted. Planned angular corrections can be monitored with sterile geometric templates. The osteotomy is made parallel with the distal Kirschner wire and as close to the original fracture site as possible using an oscillating saw ( TECH FIG 2B). If the fracture is not yet completely healed (nascent malunion— usually within 4 months of injury), recreate the original fracture line by carefully removing fracture callus at the fracture site. This callus can be saved and used as bone graft. If the fracture is solidly healed, attempt to identify the prior fracture site. If this is uncertain, choose a site that creates a distal fragment large enough to facilitate manipulation and internal fixation while trying to stay distal enough to take advantage of the healing capacity of metaphyseal bone. A lamina spreader can be used to help realign the distal fragment as well ( TECH FIG 2C,D). Care must be taken when operating on osteoporotic bone. Additional provisional stability can be provided by placing 1.6-mm smooth Kirschner wires. If the ulnar variance can be restored with angular realignment alone, the volar cortex can be cracked and hinged open in an attempt to maintain some stability of the osteotomy. If lengthening of the volar cortex is required to restore ulnar variance, a second distractor in another plane (eg, direct radial) may prove useful for obtaining and maintaining alignment. ### Graft Insertion and Fixation Once the osteotomy is created and the radius realigned, bone graft is inserted. Harvest bone graft ( TECH FIG 3A). Either a corticocancellous (structural) bone graft or cancellous bone graft can be used. Potential advantages of a structural graft include immediate structural support ( TECH FIG 3B) and the possibility of using a smaller implant and thereby avoiding tendon irritation. A cancellous (nonstructural) bone graft can be harvested using trephines ( TECH FIG 3C). This avoids tedious, difficult, and unpredictable harvest and contouring of corticocancellous grafts as well as the morbidity associated with harvest of a standard iliac crest bone graft. Apply a single T- or Pi-shaped plate or two 2.0- or 2.4-mm plates (one applied dorsally, ulnar to the tubercle of Lister, and 147 the other applied radially between the first and second dorsal compartments).
---
### TECH FIG 3 • A. Corticocancellous bone graft is harvested from the iliac crest. B. After final sculpting, it is applied to the osteotomy site. C. Autogenous cancellous bone graft is harvested from the iliac crest using a trephine. D. A 2.0-mm condylar blade plate can provide fixed-angle internal fixation. E,F. Intraoperative photographs of the fixation. G,H. Final anteroposterior (AP) and lateral radiographs. (Copyright Diego Fernandez, MD, PhD.) When a structural, corticocancellous bone graft is used, a single plate or a plate and separate screw may be adequate ( TECH FIG 3D-H). Plates with angular stable screws or blades in the distal fragment may be more reliable than standard screws, particularly if the bone is of poor quality and if nonstructural graft is chosen. Once implants are placed and stability is ensured, remove all provisional fixation devices. This entire process is monitored using image intensification to confirm appropriate osteotomy site, correction of alignment, and implant placement. Repair the extensor retinaculum with absorbable suture. In some cases, a flap of retinaculum is brought deep to the tendons to add a layer of protection between the implants and extensor tendons. We usually do not close the retinaculum, and we no longer make retinacular flaps. The tourniquet is deflated and hemostasis ensured. The skin is closed. A bulky dressing incorporating a volar plaster wrist splint is applied. 1. ## Volar Extra-articular Distal Radius Osteotomy ### Exposure 148 Use a volar-radial Henry (flexor carpi radialis [FCR]) approach for both dorsally and volarly angulated malunions (see FIG 2C,D). Make a 5- to 7-cm longitudinal incision over the FCR tendon ending at the wrist flexion crease. If more exposure is required, the incision is angled or zigzagged at least 45 degrees toward the scaphoid distal pole. Incise the FCR sheath, retract the tendon ulnarly, and incise the floor. Leave the radial artery undissected and protected in the radial soft tissues. Sweep the fat overlying the pronator quadratus together with the digital flexors and median nerve ulnarward with a sponge or blunt elevator. Proximally in the incision, elevate the most distal aspect of the origin of the flexor pollicis longus from the volar distal radius (taking care to cauterize a consistent artery in this region) and retract it ulnarly with a small Hohmann retractor placed around the ulnar border of the radius. Expose the radial border of the radius using a blunt elevator and Hohmann retractors. Incise the pronator quadratus over its most radial and distal limits (L-shaped incision) and elevate it subperiosteally. Leaving the periosteum with the muscle can facilitate later repair. For dorsally angulated malunions, release of the radial and dorsal soft tissues facilitates realignment. The brachioradialis is Z-lengthened and the periosteum is elevated from the radius shaft proximally.
---
TECH FIG 4 • A-D. Realignment and provisional fixation of an extra-articular dorsally displaced malunion in the patient in FIG 2C,D. After osteotomy in the manner detailed earlier (for the dorsal approach to malunions), pronate the proximal radius shaft out of the wound, providing access to the dorsal periosteum, which can be isolated and divided. With the release of the brachioradialis and the dorsal periosteum, realignment of the radius is usually comparable to an acute fracture. Volarly angulated malunions do not need an extensive soft tissue release in most cases. The plate can facilitate realignment by pushing the distal fragments into position as the proximal screws are tightened. ### Realignment and Provisional Fixation The fragments are realigned using the techniques described earlier ( TECH FIG 4). The techniques are similar to those for acute fractures once an adequate soft tissue release has been performed. Apply a fixed-angle volar implant. Insert provisional Kirschner wires either through or adjacent to the plate (see TECH FIG 4). ### Plate Fixation Placement of the plate will frequently help reduce the proximal and distal fragments ( TECH FIG 5A,B). After final plate fixation and removal of provisional fixation, apply cancellous graft to the osteotomy site ( TECH FIG 5C-F). Excellent access is available radially for placement of the bone graft. The tourniquet is deflated and hemostasis ensured. Repair the pronator quadratus if possible. It can be sutured to the brachioradialis tendon. The skin is closed. A bulky dressing incorporating a volar plaster wrist splint is applied. 149
---
### TECH FIG 5 • A. Fluoroscopic image of plate fixation and realignment. B. Defect after correction. Autogenous cancellous graft (C) and graft placement (D), showing final clinical appearance. E,F. Final PA and lateral radiographs. (Copyright Diego Fernandez, MD, PhD.) -
** Intra-articular Distal Radius Osteotomy **Intra-articular osteotomy should be attempted only when there is a simple fracture line that can be clearly identified by direct visualization as well as under image intensification ( TECH FIG 6A-C). Incompletely healed fractures (fewer than 3 to 4 months since injury) are ideal. Depending on the locations of the malunited articular fragments, perform either a dorsal or a volar exposure in the manner detailed earlier. When a dorsal exposure is used, a transverse capsulotomy allows access to the joint and monitoring of the articular osteotomy and realignment. In the case of a volar exposure, the capsule is not incised, but articular exposure may be possible through the osteotomy site. The osteotomy should recreate the original fracture line. This is monitored directly and under image intensification. Reduction is accomplished by soft tissue release and direct fragment manipulation. For many malunions, it is necessary to remove bone or callus from the fracture site to realign the fracture fragment. Callus or bone is removed until the fracture fragment fits properly ( TECH FIG 6D). Provisional Kirschner wires are used to hold the reduction ( TECH FIG 6E,F). The implants are then applied. Dorsally, a single T- or Pi-shaped plate or two 2.0- or 2.4-mm plates (one applied dorsally, ulnar to the tubercle of Lister, and the other applied radially between the first and second dorsal compartments) can be used ( TECH FIG 6G,H). Volarly, a T-shaped plate is usually used. After final plate fixation, provisional fixation is removed. This entire process is monitored using image intensification to confirm appropriate osteotomy site, correction of alignment, and implant placement. Deflate the tourniquet, close the wound, and apply the splint in the manner detailed earlier. 150
---
### TECH FIG 6 • A-C. PA and lateral radiographs and CT of an intra-articular dorsally angulated malunion. D. A Freer elevator is used under fluoroscopy to reposition the articular fragment. E,F. Intraoperative fluoroscopic views showing provisional correction and fixation. G,H. Final plate and screw fixation. (Copyright Diego Fernandez, MD, PhD.)
PEARLS AND PITFALLS Preoperative plan 1. A poor or incomplete preoperative plan will increase the amount of uncertainty and hesitation during surgery. This will increase the operative time and the frustration level and will decrease the satisfaction with the surgery. 2. Making a detailed preoperative plan will improve the efficiency and efficacy of the procedure. Extraarticular malunions 1. Manipulating the distal fragment can be much more difficult with poor-quality bone. 2. The use of a distractor or small external fixator greatly facilitates realignment and provisional stabilization of the fragments. 3. Consider using two distractors in perpendicular planes (eg, one dorsal and one direct radial) to help obtain and maintain alignment. 4. Restoration of length in addition to that gained with angular realignment (ie, lengthening of both the dorsal and volar cortices) is much more difficult. 5. The most difficult part of performing an osteotomy for a dorsal angulated malunion from a volar approach is realignment of the bone. 6. An extended FCR exposure allows release of the dorsal periosteum and Z-lengthening of the brachioradialis, both of which facilitate realignment of the radius. Intraarticular malunions 7. Handling small articular fracture fragments can be difficult. 8. Each fragment can be realigned using a Kirschner wire as a joystick. 9. The articular osteotomy is easiest when the original fracture lines can be identified. 10. Try to intervene within 3 months of injury when articular malunion is identified. ## POSTOPERATIVE CARE 151 Active and active-assisted exercise of the fingers and forearm, finger exercises to reduce swelling, and active functional use of the limb for light tasks are encouraged immediately. The initial plaster splint is exchanged for a custom Orthoplast removable splint 2 weeks after the surgery. The patient gradually weans out of the splint between 4 and 6 weeks after surgery and initiates active and active-assisted wrist exercises. Strengthening and forceful use of the arm are restricted until early radiographic union is apparent. Unrestricted use of the limb is allowed when solid union is present clinically and radiographically. ## OUTCOMES Fernandez' 1, 2 articles describing dorsal osteotomy with corticocancellous bone graft with and without Bowers arthroplasty of the DRUJ established the value of the technique for improving function in patients with symptomatic distal radius malunions. He documented good or excellent results in 75% and 80% of patients, respectively, noting that satisfactory results depend on the absence of degenerative changes in the radiocarpal and intercarpal joints, and the presence of adequate preoperative range of motion of the wrist. Corrective osteotomy with carefully preoperatively planned structural corticocancellous bone graft does not reliably achieve the planned correction. 12 Nonunions, loss of alignment, and major complications were not reported in these series. Jupiter and Ring 5 demonstrated that early correction of distal radius deformity shortened the period of disability without increasing complications and that the combination of cancellous autograft and locking plates was as reliable as corticocancellous bone grafting. 9 Nonunions, loss of alignment, and major complications were not reported in these series. Several small articles have established the safety and efficacy of volar osteotomy for a dorsally displaced fracture. 4, 6 Shea et al 10 established the safety and efficacy of osteotomy for volar extra-articular malunions in a case series. Fernandez et al 3 established the safety and efficacy of osteotomy for a radially deviated extra-articular malunion in a case series. Several case series have documented the safety and efficacy of intra-articular osteotomy. 7, 8, 11 ## COMPLICATIONS Nonunion Loss of alignment Loss of fixation Infection Wound problems Nerve injury ##
Scientific References
- 1. Fernandez DL. Correction of post-traumatic wrist deformity in adults by osteotomy, bone grafting, and internal fixation. J Bone Joint Surg Am 1982;64(8):1164-1178. 2. Fernandez DL. Radial osteotomy and Bowers arthroplasty for malunited fractures of the distal end of the radius. J Bone Joint Surg 1988;70(10):1538-1551. 3. Fernandez DL, Capo JT, Gonzalez E. Corrective osteotomy for symptomatic increased ulnar tilt of the distal end of the radius. J Hand Surg Am 2001;26(4):722-732. 4. Henry M. Immediate mobilisation following corrective osteotomy of distal radius malunions with cancellous graft and volar fixed angle plates. J Hand Surg Eur Vol 2007;32:88-92. 5. Jupiter JB, Ring D. A comparison of early and late reconstruction of the distal end of the radius. J Bone Joint **Surg 1996;78(5):739-748.** 6. Malone KJ, Magnell TD, Freeman DC, et al. Surgical correction of dorsally angulated distal radius malunions with fixed angle volar plating: a case series. J Hand Surg Am 2006;31(3):366-372. 7. Marx RG, Axelrod TS. Intraarticular osteotomy of distal radial malunions. Clin Orthop Relat Res 1996; (327):152-157. 8. Ring D, Prommersberger KJ, Gonzalez del Pino J, et al. Corrective osteotomy for intra-articular malunion of the distal part of the radius. J Bone Joint Surg Am 2005;87(7):1503-1509. 9. Ring D, Roberge C, Morgan T, et al. Osteotomy for malunited fractures of the distal radius: a comparison of structural and structural autogenous bone grafts. J Hand Surg Am 2002;27(2):216-222. 10. Shea K, Fernandez DL, Jupiter JB, et al. Corrective osteotomy for malunited, volarly displaced fractures of the distal end of the radius. J Bone Joint Surg Am 1997;79(12):1816-1826. 11. Thivaios GC, McKee MD. Sliding osteotomy for deformity correction following malunion of volarly displaced distal radial fractures. J Orthop Trauma 2003;17:326-333. [View Source / PubMed]
- 12. von Campe A, Nagy L, Arbab D, et al. Corrective osteotomies in malunions of the distal radius: do we get what we planned? Clin Orthop Relat Res 2006;450:179-185. [View Source / PubMed]
You Might Also Like