Full Question & Answer Text (for Search Engines)
Question 1:
Which of the following procedures is not indicated as part of the reconstruction of the cavovarus hindfoot:
Options:
- Anterior tibial tendon transfer to the middle cuneiform
- Peroneus longus tendon to peroneus brevis tendon transfer
- Posterior tibial tendon transfer to the lateral cuneiform
- Extensor hallucis tendon transfer to the first metatarsal
- Posterior tibial tendon transfer to the peroneus brevis tendon
Correct Answer: Anterior tibial tendon transfer to the middle cuneiform
Explanation:
All of the above tendon transfers may be used as part of a reconstruction of the cavus foot except the anterior tibial tendon. The imbalance between the anterior tibial tendon and the peroneus longus tendons are responsible for the cavovarus deformity.
Question 2:
Transfer of the extensor hallucis longus tendon to the first metatarsal and arthrodesis of the hallux interphalangeal joint is indicated for which of the following deformities:
Options:
- A 36-year-old patient with a cavus foot following a compartment syndrome
- A 20-year-old patient with a flexible cavovarus deformity
- C orrection of hallux varus deformity
- C orrection of a laceration of the extensor hallucis longus
- A 42-year-old patient with C harcot-Marie-Tooth disease and pes planovalgus deformity
Correct Answer: A 20-year-old patient with a flexible cavovarus deformity
Explanation:
Correction of the claw hallux and first metatarsal equinus deformity may be accomplished by transfer of the extensor hallucis longus tendon and arthrodesis of the hallux interphalangeal joint. Once the deformity of the forefoot is fixed (e.g., following a compartment syndrome), the extensor hallucis longus tendon can no longer dorsiflex the first metatarsal. Although C harcot-Marie- Tooth disease is often associated with a cavus foot, the transfer is not indicated when a planovalgus foot is present.
Question 3:
A 43-year-old diabetic patient has had an ulcer on the plantar aspect of her foot for 9 months. She has no systemic symptoms. There is minimal drainage from the ulcer, and she has no pain in the foot. Initial management of this patient must include:
Options:
- C ulture and sensitivity of the ulcer with initiation of culture-specific antibiotic therapy
- A technetium bone scan to determine the presence of osteomyelitis
- An indium scan to determine the presence of osteomyelitis
- A total contact cast
- Irrigation and debridement of the ulcer, deep tissue cultures, and appropriate antibiotic therapy
Correct Answer: C ulture and sensitivity of the ulcer with initiation of culture-specific antibiotic therapy
Explanation:
This neuropathic ulcer is stable. There is minimal drainage and no clinical findings to suggest an active infection. C ulture of the ulcer yields multiple nonpathogenic organisms and antibiotic therapy is not indicated. Treatment is initiated with either a total contact cast or a total contact walker boot.C orrect Answer: A total contact cast
Question 4:
The primary cause for the deformity shown (Slide) is:
Options:
- Malunion of the metatarsal osteotomy
- Overplication of the medial capsule of the hallucis metatarsophalangeal joint
- Laceration of the flexor hallucis brevis tendon
- Laceration of the flexor hallucis longus tendon
- Fibular sesamoidectomy
Correct Answer: Fibular sesamoidectomy
Explanation:
Overplication of the medial capsule, overcorrection of the metatarsal osteotomy, and excessive lateral soft tissue release can lead to a hallux varus deformity. The most likely cause, however, is interference with the varus- valgus balance of the hallux as a result of a fibular sesamoidectomy.
Question 5:
A patient had a fixed deformity of the hallux interphalangeal (IP) joint (Slide) for 3 years following forefoot surgery. She complains of pain over the distal aspect of the hallux where rubbing occurs on the shoe. On examination, the hallux is flexible at the metatarsophalangeal (MP) and IP joints, there is no crepitus of the MP joint, and radiographs demonstrate normal alignment of the first metatarsal. The recommended procedure for correcting this deformity is:
Options:
- Arthrodesis of the hallux MP joint
- Resection arthroplasty of the hallux MP joint
- Transfer of the extensor hallucis brevis tendon
- Arthrodesis of the hallux IP joint with transfer of the flexor hallucis longus tendon
- Lengthening of the abductor hallucis and repair of the lateral capsule and the flexor hallucis brevis tendon with a bone suture
Correct Answer: Transfer of the extensor hallucis brevis tendon
Explanation:
anchor Arthrodesis and resection arthroplasty of the hallux MP joint are indicated in the presence of arthritis of the hallux MP joint. A tendon transfer is preferred, and the extensor hallucis brevis tendon is an effective transfer. Use of the extensor hallucis longus tendon with arthrodesis of the hallux IP joint is indicated when there is a fixed deformity of the hallux IP joint.
Question 6:
A 33-year-old recreational athlete presents for treatment of chronic ankle pain. He recalls multiple ankle sprains that occurred 10 years ago. He has not undergone any surgical treatment. On examination, his ankle is stable, there is no crepitus on range of motion, and pain is present to palpation of the posterior ankle. A computerized axial tomography is presented (Slide). The surgical procedure most consistent with a rapid recovery and predictable outcome is:
Options:
- Ankle arthrodesis
- Arthroscopy of the ankle with drilling of the osteochondral defect
- Osteoarticular autograft procedure
- C artilage cell harvest with staged debridement of the talus and cartilage cell implantation
- Osteoarticular allograft procedure
Correct Answer: Arthroscopy of the ankle with drilling of the osteochondral defect
Explanation:
Ankle arthrodesis must be used as a salvage procedure for failed management of the osteochondral lesion of the talus. Although osteoarticular autograft is a popular procedure, the results are variable and unpredictable, particularly in posteromedial lesions. Ankle arthroscopy with transarticular drilling is the most predictable procedure with expected satisfactory results in approximately 80% of patients.
Question 7:
A 52-year-old man presents for treatment of acute pain in the forefoot. He notes that the onset of pain started 24 hours ago, and he is unable to walk. Examination of the hallux (Slide) is uncomfortable. The recommended treatment for this condition is:
Options:
- Bed rest and intravenous antibiotic therapy
- Drainage of the hallux metatarsophalangeal joint, cultures, and initiation of a broad spectrum antibiotic
- Immobilization of the foot in a short leg walking cast
- A wide comfortable shoe or sandal until the joint inflammation settles down
- Intra-articular steroid injection
Correct Answer: Intra-articular steroid injection
Explanation:
This patient presents with a classic acute gout attack. Although the hallux is in severe valgus, it is unlikely that this is the cause of the joint pain. Note the swelling of the hallux and the shiny skin from the acute inflammation. These clinical findings are typical of gout. Intra-articular injection of steroids is effective treatment and can be combined with oral anti-inflammatory agents.
Question 8:
A 43-year-old patient presents for treatment of a chronically painful ankle. He notes pain with ambulation, is unable to exercise, and has had marked swelling of the ankle for the last 6 months. When walking, he notes continued instability of the ankle. Examination of the ankle is unremarkable with the exception of swelling. A plain radiograph and intraoperative photograph are shown (Slide 1 and Slide 2). The most likely cause for this condition is:
Options:
- Recurrent ankle sprain with proliferative synovitis
- Hemorrhagic synovitis
- Early onset rheumatoid arthritis
- Pigmented villonodular synovitis
- Synovitis associated with pseudogout
Correct Answer: Pigmented villonodular synovitis
Explanation:
The appearance of the synovium is typical of pigmented villonodular synovitis. Staining of the synovium is characteristic. It is unlikely that a 43- year-old man will present with rheumatoid arthritis, although synovitis may appear similar. Recurrent ankle sprains cause a nonspecific synovitis that is not pigmented.
Question 9:
A patient sustains a crush injury when heavy farm equipment rolls over his foot. He presents to the emergency department 4 hours later with pain and swelling in the foot. Radiographic examination is normal. You examine him for a compartment syndrome. The intracompartmental pressure in the interosseous compartment is 20 mm Hg. The next phase of management may include all of the following except:
Options:
- Examination under anesthesia followed by fasciotomy
- Application of an intermittent foot pump device
- Observation and repeat compartment pressure monitoring
- Application of a bulky soft tissue dressing with a posterior plaster splint
- Admission to hospital for elevation and management of pain with narcotics
Correct Answer: Examination under anesthesia followed by fasciotomy
Explanation:
Fasciotomy of the foot is not indicated when pressures are less than 20 mm Hg. All of the alternatives are reasonable forms of treatment including application of an intermittent foot pump device that has been demonstrated to decrease compartment pressures of the foot. If pressures were more than 30 mm Hg, then a fasciotomy may be indicated.
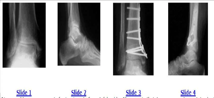
Question 10:
A 61-year-old woman presents for treatment of a painful ankle. She reports that 4 years ago, she sustained a fracture of her ankle that was treated with cast immobilization. She has experienced progressively worsening pain over the past 2 years. On examination, she has good range of motion of the ankle with crepitus and pain. Radiographs are presented (Slide 1 and Slide 2). All of the following are acceptable forms of surgical correction except:
Options:
- Supramalleolar osteotomy of the tibia
- Ankle arthroscopy
- Ankle arthrodesis
- Total ankle replacement
- Distraction lengthening osteotomy of the fibula
Correct Answer: Ankle arthroscopy
Explanation:
Each of the alternatives presented is reasonable except for ankle arthroscopy because it has a limited role in the management of posttraumatic arthritis of the ankle. In this patient, there is a possibility to salvage the ankle before arthrodesis or joint replacement with an osteotomy of the tibia and or the fibula. Both have a definite role in management of ankle deformity and arthritis. A closing wedge osteotomy of the tibia was performed in this patient, and she remains asymptomatic 4 years later (Slide 3 and Slide 4).
Question 11:
This patient developed a peripheral neuropathy of uncertain etiology. She has a partial peroneal nerve palsy with lack of extensor function of the hallux. She repeatedly stubs and catches the hallux when walking. Upon examination, she has good strength of the extensor digitorum longus tendon, as well as the anterior tibial tendon. Flexor strength of the foot is intact. All of the following are acceptable surgical alternatives except:
Options:
- Arthrodesis of the hallux metatarsophalangeal (MP) joint
- Tenodesis of the extensor hallucis longus tendon to the extensor digitorum longus tendon
- Tenodesis of the extensor hallucis longus tendon to the anterior tibial tendon
- Transfer of the peroneus tertius tendon to the extensor hallucis longus tendon
- Transfer of a portion of the extensor digitorum longus tendon to the extensor hallucis longus tendon
Correct Answer: Arthrodesis of the hallux metatarsophalangeal (MP) joint
Explanation:
When arthrodesis of the hallux MP joint is performed, it stabilizes the MP joint and continued flexion of the hallux with recurrent deformity occurs because the hallux interphalangel joint is not controlled with MP arthrodesis. All of the other procedures are satisfactory alternatives.
Question 12:
A 28-year-old professional athlete presents for treatment of foot pain following an inversion injury to her ankle. She has been immobilized in a short leg walker boot for 1 month with minimal relief of symptoms. On examination, pain is present in the sinus tarsi. The patientâ s ankle is not painful or unstable. Radiographs demonstrate a calcaneonavicular coalition. Recommended treatment includes:
Options:
- C orticosteroid and lidocaine injection into the sinus tarsi
- C ontinued immobilization in a boot for an additional month
- Physical therapy treatments aimed at mobilizing the subtalar joint
- Subtalar arthrodesis
- Excision of the tarsal coalition
Correct Answer: Excision of the tarsal coalition
Explanation:
When a tarsal coalition becomes symptomatic in an adult, surgery becomes necessary. Initial immobilization may be attempted, although prolonged immobilization in an athlete is not ideal. Manipulation of the foot will exacerbate the pain, and therapy is not indicated. If arthrodesis of the hindfoot is performed for treatment of a calcaneonavicular coalition, then a triple arthrodesis is performed. Excision of the adult calcaneonavicular coalition is the preferred treatment.
Question 13:
A 43-year-old woman presents for treatment of pain in her forefoot that has been present for 1 year. The pain is localized to the second toe and radiates out to the tip of the toe with activities. When the patient wears high heel shoes, the pain is associated with numbness and burning of the toe. Your initial treatment consists of:
Options:
- Excision of a third web space neuroma
- Excision of a second web space neuroma
- Transfer of the flexor tendon to stabilize the metatarsophalangeal joint
- Oblique metatarsal head osteotomy
- None of the above
Correct Answer: None of the above
Explanation:
This patient has typical symptoms of an interdigital neuroma, most likely involving the second web space. The likelihood of resolution of pain with nonsurgical treatment is good despite the duration of symptoms. Treatment can be initiated with a wide shoe, an orthotic arch support, or an injection of corticosteroid into the affected web space.
Question 14:
A 62-year-old man presents for treatment of ankle pain. He suffered a fibular fracture 7 months ago while hiking in the mountains. He was treated with a short leg walking cast. On examination, he has pain on range of motion of the ankle, pain over the distal fibula, and no instability or crepitus to range of motion of the ankle. Pain is present on external rotation of the foot under the leg. Radiographs of the ankle demonstrate a healed fibular fracture with 7 mm of shortening and slight external rotation. There is a 7° valgus tilt of the tibiotalar joint and a widening of the medial clear space. The joint space laterally appears slightly narrowed. Recommended treatment includes:
Options:
- Total ankle replacement
- Ankle arthrodesis
- Lengthening osteotomy of the fibula
- Deltoid ligament reconstruction
- Ankle arthroscopy
Correct Answer: Lengthening osteotomy of the fibula
Explanation:
This patient has a malunion of the fibula that does not appear to be associated with ankle arthritis, despite the radiographic changes. The valgus tilt of the ankle joint is common with shortening of the fibula and does not imply arthritis. Therefore, arthrodesis and ankle replacement are not indicated. Lengthening osteotomy of the fibular combined with excision of the medial joint scar is ideal to realign the tibiotalar joint. Although ankle arthroscopy may be performed in conjunction with the fibular osteotomy, it is not sufficient treatment.
Question 15:
The most common complication following operative treatment of an acute rupture of the Achilles tendon is:
Options:
- Wound infection
- Sural neuritis
- Re-rupture
- Excessive dorsiflexion of the foot
- Thickening of the tendon
Correct Answer: Excessive dorsiflexion of the foot
Explanation:
Although all of the above complications may occur following repair of an acute Achilles rupture, improper tensioning of the repair and stretching of the repair occur most commonly. This is due to a number of factors including the position of the foot during the repair, incorrect tensioning of the repair, and premature unprotected dorsiflexion of the foot following surgery. When suturing the tendon ends, the sutures must be inserted correctly and not into the frayed tendon ends, which will lead to incorrect tension on the repair. It is preferable to position the foot in slight equinus during the repair.
Question 16:
A 67-year-old obese patient presents for treatment of ankle pain. Twenty- five years ago, he underwent a total ankle replacement. He was asymptomatic for 15 years, and his symptoms have become intolerable. He has limited ankle motion, associated with pain in the ankle. His radiograph is presented (Slide). Which of the following is the preferred surgical procedure:
Options:
- Revision total ankle replacement with graft and a larger prosthesis
- Ankle arthrodesis
- Tibiotalocalcaneal arthrodesis
- Pantalar arthrodesis
- Removal of the implant
Correct Answer: Ankle arthrodesis
Explanation:
Removal of the implant is necessary but will not be sufficient to alleviate pain from arthritis. In this obese patient, an arthrodesis is necessary. An extended hindfoot arthrodesis is only necessary when pain and arthritis are present in joints adjacent to the ankle. An ankle arthrodesis with interposition graft is sufficient.
Question 17:
A 53-year-old woman presents for treatment of recurrent symptoms following excision of a third web space interdigital neuroma. She was asymptomatic for 6 months following surgery. On examination, pain is present in the third web space and reproduced with compression of the forefoot. The likelihood of a good result following revision surgery is:
Options:
Correct Answer: 50%
Explanation:
The reported results following revision surgery following recurrence of symptoms after excision of an interdigital neuroma are poor. In a large series, Stamatis and Myerson reported less than a 50% good outcome following revision surgery.
Question 18:
A patient presents for treatment of a dislocated second metatarsophalangeal joint. Radiographs demonstrate the dislocation. In addition to soft tissue balancing, you perform an oblique shortening osteotomy of the second metatarsal head (Weil). The most common complication following this osteotomy is:
Options:
- Recurrent dislocation
- Avascular necrosis of the metatarsal head
- Arthritis of the second metatarsophalangeal joint
- Elevation of the second toe
- C law toe deformity
Correct Answer: Elevation of the second toe
Explanation:
The Weil osteotomy is a good procedure to correct deformity about the lesser metatarsophalangeal joint but is associated with potential complications, the most common of which is elevation of the second toe. As a result of shortening and plantar shifting of the metatarsal, the intrinsic muscles shift dorsally and can function as a dorsiflexor of the metatarsophalangeal joint.
Question 19:
A 26-year-old professional football player presents for evaluation of ankle pain. He was playing in a match 2 days ago and felt a pop in his ankle. On examination, the peroneal tendon is felt to subluxate anterior to the fibula. Magnetic resonance imaging confirms a tear of the superior peroneal retinaculum. Recommended treatment includes:
Options:
- Immobilization in a short leg walking cast
- Immobilization in a hinged range of motion walker boot
- Repair of the superior peroneal retinaculum
- Deepening of the fibular groove
- Periosteal-tendon flap repair of the subluxated tendon
Correct Answer: Repair of the superior peroneal retinaculum
Explanation:
An acute dislocation of the peroneal tendon must be repaired. The results of immobilization are not predictable and, in a professional athlete, the added potential for failure with nonoperative treatment must be considered. With a rupture of the superior peroneal retinaculum likely to be the cause of the dislocation, the peroneal tendon should be repaired. When repair of an acute dislocation is performed, it should not be necessary to deepen the fibular groove.
Question 20:
A patient presents for treatment of a painful hallux. The pain is over the dorsal surface of the hallux metatarsophalangeal joint and is worsened with plantar flexion of the toe. The passive range of motion is 30° of dorsiflexion and 10° of plantarflexion. The radiographs confirm the presence of mild arthritis of the metatarsophalangeal joint, with dorsal osteophytes on the metatarsal head. Which of the following procedures is most likely to be associated with a long-term satisfactory outcome:
Options:
- Arthrodesis of the hallux metatarsophalangeal joint
- Soft tissue interposition arthroplasty
- Implant hemiarthroplasty
- Total joint arthroplasty
- C heilectomy of the metatarsophalangeal joint
Correct Answer: C heilectomy of the metatarsophalangeal joint
Explanation:
The pain present in plantarflexion is common and associated with friction of the capsule against the dorsal osteophytes. This patient has noted only mild arthritis of the metatarsophalangeal joint. An arthrodesis is not a necessary treatment, although it is a reasonable alternative. Implant and interposition arthroplasty are alternatives for the treatment of arthritis of the metatarsophalangeal joint but preferably only when the condition is advanced.
Question 21:
This patient is a 17-year-old athlete who presents for treatment of a feeling of giving way of the ankle. The inversion clinical stress is demonstrated below (Slide). Which statement concerning the image presented below is correct:
Options:
- Ankle instability is present.
- Subtalar instability is present.
- Ankle and subtalar instability are present.
- Generalized ligamentous laxity is present.
- No determination of instability can be made from this picture.
Correct Answer: No determination of instability can be made from this picture.
Explanation:
Although some laxity may be present in this patient, it is impossible to determine whether this is present in the ankle or the subtalar joint based upon this clinical test. Simple inversion stress without simultaneously palpating the lateral shoulder of the talus cannot indicate the presence or the type of instability. An anterior drawer that is positive and, in particular, is associated with a vacuum phenomenon in the anterolateral ankle is more diagnostic of ankle instability.
Question 22:
What structure is held in between the forceps in this photograph (Slide):
Options:
- Anterior talofibular ligament
- Peroneus tertius tendon
- C alcaneofibular ligament
- Extensor retinaculum
- Interosseous ligament
Correct Answer: Extensor retinaculum
Explanation:
The extensor retinaculum is an important structure in maintaining and possibly augmenting the stability of the lateral ankle and subtalar joint. The inferior root of the extensor retinaculum inserts in the floor of the sinus tarsi, improving stability of the subtalar joint. This structure can be used to augment a repair of ankle instability.
Question 23:
A 37-year-old woman injured her ankle 17 weeks ago when stepping off a sidewalk. She has experienced pain in the ankle since that time, and no treatment has yet been initiated. Presented is a view of the ankle performed with external rotation stress (Slide). The recommended treatment at this time is:
Options:
- Repair of the deltoid ligament
- Repair of the deltoid ligament and open reduction of the syndesmosis
- Screw fixation of the syndesmosis
- Open reduction internal fixation of a high fibular fracture
- Open reduction internal fixation of a high fibular fracture and repair of the deltoid ligament
Correct Answer: Screw fixation of the syndesmosis
Explanation:
This unstable ankle is associated with a complete disruption of the syndesmosis. With the information available, it is not likely that a high fibular fracture is present. One has to assume that the injury is limited to the syndesmosis. Although the deltoid ligament may be torn, one cannot determine this until the time of surgery. At surgery, if the mortise reduces well following insertion of screw(s), then the deltoid is left alone. If the talus does not reduce, then there may be deltoid tissue that needs to be removed before the reduction can be accomplished.
Question 24:
A 42-year-old male patient presents with a history of repeated giving way of his ankle. He notes that this has been present for 1 year. He does not experience any pain, even with the episodic bouts of the ankle buckling. On examination, the ankle range of motion is normal, no pain is elicited, and there is no crepitus. A stress radiograph (Slide 1) and a lateral weight- bearing radiograph (Slide 2) are presented. The patient does not want to undergo surgery, but he needs to know the possibility of problems with his ankle in the future. The patient should be advised that:
Options:
- A high incidence of subsequent ankle arthritis is likely.
- The episodes of ankle instability will decrease over time.
- He is likely to develop an osteochondral injury of the talus.
- His ankle may dislocate with a future inversion injury.
- He is not likely to experience any problem other than intermittent giving way of the ankle in the future.
Correct Answer: A high incidence of subsequent ankle arthritis is likely.
Explanation:
Ankle arthritis is rarely idiopathic. In the United States, the most common source of ankle arthritis is following trauma, usually of a major nature. Repetitive ankle injury, particularly when associated with recurrent instability and a varus or cavus foot, will likely lead to the development of ankle arthritis. Patients should be counseled that recurrent instability of the ankle, particularly when osteophytes are already present, frequently leads to arthritis.
Question 25:
A 73-year-old woman states that she has been tripping over her right foot for the past year (Slide). She walks with a limp, and she states that her foot â slapsâ the ground. On examination, weakness in which muscle is likely present:
Options:
- Gastrocnemius
- Anterior tibial
- Posterior tibial
- Flexor hallucis longus
- Peroneus longus and brevis
Correct Answer: Anterior tibial
Explanation:
This patient presents with a typical rupture of the anterior tibial tendon. She reports a drop foot, commonly perceived by the patient as a slapping sensation of the foot when attempting to lift the foot up as the heel contacts the ground. Note the slight extension of the hallux, indicating chronic overuse in an attempt to provide accessory dorsiflexion of the ankle.
Question 26:
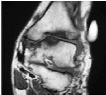
A 76-year-old man has experienced aching in the anterior aspect of his ankle for 6 months. He felt a sudden onset of soreness 6 months ago. Since then, he has noted weakness of the foot. He walks with a limp, and the foot hits the ground during the heel contact phase of gait. On examination there is a mobile subcutaneous mass in the anterior ankle. The patientâ s magnetic resonance image (MRI) is presented (Slide). Which of the following is the most accurate diagnosis:
Options:
- A ganglion of the anterior ankle
- Synovial sarcoma
- Pigmented villonodular synovitis
- A rupture of the anterior tibial tendon
- An accessory extensor hallucis longus
Correct Answer: A rupture of the anterior tibial tendon
Explanation:
This MRI presents the typical appearance of an anterior tibial tendon rupture. There is no continuity of the tendon distally, and the retracted tendon end has formed a scar palpable as a subcutaneous mass. The clinical history of the weakness associated with a drop foot gait is characteristic of the tendon rupture.
Question 27:
A 23-year-old carpenter fell off a roof 4 weeks ago. He has pain in the ankle and a deformity. The lateral radiograph is presented (Slide). Which of the following treatments is most likely to return this patient to work with a functioning foot and ankle:
Options:
- Open reduction internal fixation of the calcaneus fracture
- Short leg cast, no weight bearing for 8 weeks, followed by physical therapy
- Immediate vigorous physical therapy emphasizing range of motion
- Open reduction internal fixation of the calcaneus fracture with primary subtalar arthrodesis
- Physical therapy, followed by subtalar arthrodesis at 6 months
Correct Answer: Open reduction internal fixation of the calcaneus fracture
Explanation:
The calcaneus fracture is associated with subluxation of the subtalar joint, giving the appearance of injury to the talus and calcaneus. The true extent of the injury cannot be determined without a computed tomography scan; however, the question is not as to the outcome of treatment, but the ability to return this patient to his occupation. At 4 weeks following injury, while open reduction internal fixation of the fracture is possible, anatomic reduction may be difficult. The most likely means of returning this patient to work is
with early arthrodesis, which should be combined with an open reduction internal fixation of the calcaneus.
Question 28:
A patient underwent an arthrodesis of the hallux metatarsophalangeal joint for correction of painful arthritis (Slide 1 and Slide 2). She remains symptomatic and cannot walk without pain. The most likely cause for her pain is:
Options:
- Fusion of the hallux in too much plantarflexion
- Fusion of the hallux in too much dorsiflexion
- Fusion of the hallux in too much varus
- Removal of too much bone in the metatarsophalangeal joint during fusion, leading to claw hallux
- Removal of too much bone in the metatarsophalangeal joint during fusion, leading to lesser toe metatarsalgia
Correct Answer: Fusion of the hallux in too much plantarflexion
Explanation:
The ideal position for arthrodesis of the hallux metatarsophalangeal joint is in 5° of valgus, 10° of dorsiflexion relative to the ground, and neutral rotation. Although the hallux is short and may be associated with painful metatarsalgia, the most likely cause of pain is abutment of the hallux against the shoe because it was fused in varus.
Question 29:
A 53-year-old woman presents for treatment of painful toe and metatarsal deformities (Slide). She underwent surgery to the hallux 2 years ago for correction of arthritis of the hallux metatarsophalangeal joint. Pain in the joint persists. She has no systemic disease, and the opposite foot is normal. What is the ideal surgical correction for her forefoot:
Options:
- C apsulotomy of the lesser toe metatarsophalangeal joints and extensor tendon lengthening with temporary K-wire fixation
- Resection of the lesser metatarsal heads
- Arthrodesis of the hallux metatarsophalangeal joint with interposition bone block graft
- Shortening osteotomies of the lesser toe metatarsals and arthrodesis of the hallux metatarsophalangeal joint
- Revision resection arthroplasty of the hallux and resection of the lesser metatarsal heads
Correct Answer: Arthrodesis of the hallux metatarsophalangeal joint with interposition bone block graft
Explanation:
Resection of the lesser metatarsal heads is an operation that is commonly performed for patients with rheumatoid arthritis; however, this may also be performed for patients with debilitating metatarsalgia in the absence of systemic disease. Capsulotomy and tendon lengthening will not correct the alignment of the lesser toes or address the metatarsalgia. Revision of the resection arthroplasty will not address the metatarsalgia, and recurrent deformity of the hallux is likely. Shortening osteotomies of the metatarsal will decompress the joint, realign the toes, and decrease the metatarsalgia, particularly if performed in conjunction with metatarsophalangeal arthrodesis. A lengthening bone block fusion is not necessary.
Question 30:
A 17-year-old patient presents with pain in the second toe. Pain becomes worse with exercise and has been present for 6 months. On examination, swelling is present around the metatarsophalangeal joint, and pain is present over the joint and upon squeezing the forefoot. Radiographic evaluation demonstrates a lucency in the second metatarsal head. The most likely cause of this condition is:
Options:
- Second web space neuroma
- Idiopathic synovitis of the second metatarsophalangeal joint
- Stress fracture of the second metatarsal
- Pigmented villonodular synovitis of the second metatarsophalangeal joint
- Osteochondrosis of the second metatarsal head
Correct Answer: Osteochondrosis of the second metatarsal head
Explanation:
This patient has the typical features of Freibergs osteochondrosis of the second metatarsal head. There is swelling present, which is not noted in association with a neuroma, even though the clinical findings may be similar. Synovitis is common but not associated with radiographic changes.
Question 31:
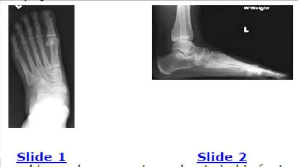
An 11-year-old girl presents with chronic foot pain. Her mother notes that her daughter has had flatfeet since birth, but the condition is worsening. The patient has aching in her foot, the arch of her foot, and her leg with walking and activities. She has been treated for 3 years with various orthotic arch supports. The foot is mobile and flexible on examination. Radiographs (Slide 1 and Slide 2) and a photograph (Slide 3) of her foot are presented. Which of the following surgical treatment alternatives is unacceptable in this patient:
Options:
- Excision of an accessory navicular
- Subtalar arthroerisis
- Excision of a middle facet tarsal coalition
- Medial calcaneus osteotomy
- Lateral column lengthening osteotomy of the calcaneus
Correct Answer: Excision of an accessory navicular
Explanation:
This patient has a flexible flatfoot deformity associated with a painful accessory navicular. No clinical or radiographic findings of a tarsal coalition are present. In addition to excision of the accessory navicular and advancement of the posterior tibial tendon, either a subtalar arthroerisis or an osteotomy of the calcaneus may be necessary.C orrect Answer: Excision of a middle facet tarsal coalition
Question 32:
A 12-year-old girl was successfully treated for a flexible flatfoot deformity on the left foot. A clinical photograph (Slide 1) of her foot and a lateral radiograph (Slide 2) are presented. What is the purpose of the implant noted under the talus in the radiograph:
Options:
- To plantarflex the first metatarsal
- To tighten the Achilles tendon
- To restrict eversion of the subtalar joint
- To control sinus tarsi irritation by joint distraction
- To improve the alignment of the foot
Correct Answer: To restrict eversion of the subtalar joint
Explanation:
The subtalar arthroerisis, as demonstrated in the radiograph, is used to control eversion of the subtalar joint during the foot flat phase of gait. A subtalar arthroerisis limits excessive eversion but does not restrict subtalar
motion further. This procedure is indicated for a patient who has a flexible flatfoot deformity and can be used either as the sole or an adjunctive procedure for correction.
Question 33:
The patient presented (Slide 1 and Slide 2) has a hereditary sensory motor neuropathy. Based upon the photographs, a surgeon should be able to determine the pattern of muscle weakness. Weakness in which muscle is most likely the cause of this deformity:
Options:
- Anterior tibial
- Posterior tibial
- Gastrocnemius
- Peroneus longus
- Peroneus brevis
Correct Answer: Peroneus brevis
Explanation:
Although the anterior tibial muscle is weak, the cavus is the predominant deformity of this condition, caused by weakness of the peroneus brevis. The peroneus longus is functioning and is responsible for the plantarflexion of the first metatarsal.
Question 34:
You are planning a tendon transfer to help correct deformity in a patient with hereditary sensory motor neuropathy. Which of the following muscles will be used for the transfer based upon the clinical appearance of the foot (Slide 1 and Slide 2):
Options:
- Posterior tibial
- Anterior tibial
- Extensor hallucis longus
- Peroneus brevis
- Flexor hallucis longus
Correct Answer: Posterior tibial
Explanation:
The posterior tibial tendon transfer is a commonly performed surgery for correction of cavus foot deformity associated with weakness of the anterior tibial muscle and varying degrees of drop foot deformity. The removal of the force of the posterior tibial tendon adds to the correction of the deformity of the foot by balancing the absent peroneus brevis. Although the extensor hallucis longus can be used as a tendon transfer, it will not be the primary muscle used or sufficient to correct deformity.
Question 35:
Which combination of muscle weakness is typically associated with hereditary sensory motor neuropathy:
Options:
- Anterior tibial, extensor hallucis longus
- Peroneus longus, extensor hallucis brevis
- Gastrocnemius, peroneus brevis
- Posterior tibial, extensor digitorum brevis
- Anterior tibial, peroneus brevis
Correct Answer: Anterior tibial, extensor hallucis longus
Explanation:
The peroneus brevis is usually the first muscle to atrophy. Varying patterns of loss of the other muscles of the lower extremity include the anterior tibial and, in particular, the intrinsic foot muscles. Weakness in these muscles accounts for the cavus and the claw foot deformities noted in patients with hereditary sensory motor neuropathy.
Question 36:
A 42-year-old man with diabetes presents for treatment of a swollen foot (Slide). He does not recall the onset of swelling, and he states that his foot is not painful. On examination, the foot is hot to touch and swollen. Upon radiographic examination, no deformities are evident. Which of the following treatment options should be used next:
Options:
- Short leg cast
- Magnetic resonance image scan
- Biopsy of the midfoot
- Technetium and indium scan
- Initiation of organism-specific intravenous antibiotic therapy
Correct Answer: Short leg cast
Explanation:
This patient presents with an acute neuroarthropathy. The acute painless swelling, associated with warmth and absence of radiographic findings, is typical of the acute phase of a Charcot process. A short leg cast or a boot to immobilize the foot is ideal, and no weight bearing should be permitted until the acute phase of this neuroarthropathy has subsided.
Question 37:
A 29-year-old woman presents for treatment of a swollen foot. Although her foot is not painful, it has been swollen for 2 weeks. The patient walks into the office without any assistive device. On examination, the foot is swollen and warm. The patient does not have protective sensation in the foot, and she denies a history of diabetes and does not have a clinically relevant medical history. A radiograph of her foot is presented (Slide). Which of the following tests will be most helpful in determining the etiology of her condition:
Options:
- Hemoglobin A1
- C -reactive protein
- White cell count
- Sedimentation rate
- Spinal fluid analysis from lumbar puncture
Correct Answer: Hemoglobin A1
Explanation:
This patient most likely has diabetes. Patients may present for the first time with an acute neuroarthropathy of the foot as a result of diabetes, even without a clinical history of the disease. Although the sedimentation rate will likely be elevated, it will not help in the diagnosis. Infection is not a likely consideration in this patient.
Question 38:
A patient with diabetes and severe peripheral neuropathy has been treated for a C harcot ankle deformity for 9 months (Slide 1, Slide 2, and Slide 3). An ankle foot orthosis has been used for 4 months. No skin breakdown occurred in the brace. Swelling is present but has decreased over the past month. Ankle range of motion is limited, and crepitus is present upon examination of the ankle. Which surgical procedure is most consistent with the future treatment of this patient:
Options:
- Surgery with tibiotalocalcaneal arthrodesis
- Surgery with ankle arthrodesis
- Surgery with pantalar arthrodesis
- Talectomy and tibiocalcaneal arthrodesis
- C ontinued use of an orthosis
Correct Answer: C ontinued use of an orthosis
Explanation:
The indication for surgery is intractable deformity, which is refractory to all forms of bracing. By refractory, one implies that skin breakdown or imminent infection is present. If surgery were performed, then it would consist of a tibiotalocalcaneal arthrodesis. There are no indications for this surgery in this patient. Once the neuropathic process has reached a stable point, a deformity is not likely to progress.
Question 39:
An 83-year-old woman presents for treatment of a painful second toe deformity. The hallux, the bunion, and the third toe are not painful. A fixed crossover toe deformity is present (Slide), with a dislocation of the second metatarsophalangeal joint noted radiographically. Which procedure is likely to give the patient rapid pain relief:
Options:
- Arthrodesis of the hallux metatarsophalangeal joint and resection arthroplasty of the second proximal interphalangeal joint
- Osteotomy of the second toe and metatarsal
- Shortening osteotomies of the second and third metatarsals and interphalangeal arthroplasty
- Amputation of the second toe at the metatarsophalangeal joint
- Resection arthroplasty of the hallux metatarsophalangeal joint
Correct Answer: Arthrodesis of the hallux metatarsophalangeal joint and resection arthroplasty of the second proximal interphalangeal joint
Explanation:
In this age group, amputation of the second toe is a reasonable treatment. It is not possible to correct the second toe deformity without correction of the hallux, either by arthrodesis or arthroplasty at the metatarsophalangeal joint. The hallux is asymptomatic, which is common in this age group, and the simplest treatment is to amputate the toe.C orrect Answer: Amputation of the second toe at the metatarsophalangeal joint
Question 40:
A 60-year-old man experiences pain under the lesser metatarsal heads. Prominence of the metatarsal heads under the second, third, and fourth metatarsal is noted, as well as associated fixed claw toe deformities (Slide). The etiology of the foot pain is:
Options:
- C ontracture of the long flexor tendons
- Fat pad atrophy
- Atrophy of the intrinsic muscles of the foot
- C ontracture of the long extensor tendon
- Idiopathic (the cause is either unknown or not understood)
Correct Answer: Atrophy of the intrinsic muscles of the foot
Explanation:
The cause of claw toe deformity is not idiopathic. C law toe deformity is a common deformity in adults, particularly in women as a result of lack of use of the intrinsic muscles of the foot, leading to an imbalance between the extrinsic and intrinsic muscles in the foot. As the intrinsic muscle atrophies, the long extensor and flexor tendons cause the deformity (as presented in this patient), with resulting metatarsalgia.
Question 41:
A patient presents with a claw toe deformity (Slide). What is the strongest flexor of the metatarsophalangeal joint, which in this patient is not functioning adequately:
Options:
- Flexor digitorum longus
- Flexor digitorum brevis
- Lumbrical
- Volar plate
- Interosseous
Correct Answer: Interosseous
Explanation:
Although the long and short flexor tendons have some effect albeit indirect on the flexion of the metatarsophalangeal joint, the flexor that acts directly on the joint is the interosseous muscle. Intrinsic atrophy will lead to claw toe deformity.
Question 42:
A 54-year-old woman presents for treatment of an ulcer (Slide). She has diabetes, no protective sensation, and slight deformity of the foot. There is no inflammation of the foot and no purulent drainage. Slight serous oozing is present daily. Initial evaluation and treatment should consist of:
Options:
- Ambulation in a total contact cast
- Biopsy, culture, and organism-specific oral antibiotic therapy
- Bed rest, no weight bearing, and daily dressing changes
- Ambulation in a stiff-soled surgical shoe with a protective dressing
- C orrection of the C harcot foot deformity and antibiotic therapy
Correct Answer: Ambulation in a total contact cast
Explanation:
Ambulatory treatment for a patient with diabetes is always the preferable treatment. In this patient, there is no evidence of infection. Unless drainage is purulent and the ulcer is in contact with bone, there should be minimal concern for infection. Reconstruction of a Charcot deformity of the midfoot is only indicated following repeated failure of nonoperative treatments.
Question 43:
A 63-year-old patient underwent a triple arthrodesis for correction of flatfoot deformity. He presents with continued ankle pain, as well as a hindfoot valgus deformity. The ankle deformity is flexible, and the joint can be reduced. All of the following are reasonable surgical alternatives as a single or staged procedure with the exception of:
Options:
- Ankle arthrodesis
- Revision of the triple arthrodesis and translational osteotomy of the calcaneus
- Total ankle replacement
- Deltoid ligament repair
- Peroneal tendon transfer
Correct Answer: Ankle arthrodesis
Explanation:
Repair of a chronically torn deltoid ligament is not sufficient to correct this type of deformity. The ligament has degenerated, and the quality of the ligament is insufficient. Each of the other alternatives is reasonable either performed as the sole or adjunctive procedure.C orrect Answer: Deltoid ligament repair
Question 44:
A 34-year-old patient presents for treatment of painful ankle arthritis. Deformity of the ankle is present with posttraumatic arthritis and 20° of varus deformity as a result of erosion of the distal tibial plafond. There is minimal motion of the subtalar joint, and the forefoot is plantigrade. You plan an ankle arthrodesis. In addition to the position of the ankle arthrodesis, what additional procedure should you consider:
Options:
- Subtalar arthrodesis
- Ankle ligament reconstruction
- Medial translational calcaneus osteotomy
- First metatarsal dorsal wedge osteotomy
- Triple arthrodesis
Correct Answer: First metatarsal dorsal wedge osteotomy
Explanation:
This patient has a fixed deformity of the ankle, as well as the hindfoot. The subtalar joint has adapted to the varus position of the ankle but is stiff. Following the ankle arthrodesis, which has to be performed by bringing the ankle into a few degrees of varus, the forefoot will not be able to compensate for the fixed changes that have taken place in the hindfoot. To keep the forefoot plantigrade, a dorsal wedge osteotomy of the first metatarsal should be performed to keep the foot plantigrade.
Question 45:
A 26-year-old woman presents for treatment of ankle arthritis following trauma. She is an active individual despite her arthritis. On examination, her foot is fixed in equinus, no ankle motion is present, and the motion in the subtalar joint is normal. Ankle arthritis is noted radiographically. In a preoperative discussion, she states the desire to have as mobile a foot as possible, wear high heel shoes, and participate in realistic exercise activities. You perform an ankle arthrodesis. What is the ideal position for the arthrodesis:
Options:
- 10° of dorsiflexion, 5° of valgus, and neutral rotation
- Neutral dorsiflexion, 15° of valgus, and neutral rotation
- 10° of plantarflexion, 10° of valgus, and neutral rotation
- 10° of plantarflexion, neutral valgus, and 10° of external rotation
- Neutral dorsiflexion, 5° of valgus, and neutral rotation
Correct Answer: Neutral dorsiflexion, 15° of valgus, and neutral rotation
Explanation:
Regardless of patient activities, desire for shoe wear, and age, the ankle must be fused in a standard position of neutral dorsiflexion and slight valgus. This is important because any deviation of this position, particularly in equinus, will increase th likelihood of arthritis in the talonavicular and subtalar joint.
Question 46:
A 22-year-old man has experienced pain in his foot and ankle for 10 years. His radiographs are presented (Slide 1 and Slide 2). The foot is flexible, and pain is present in the sinus tarsi and along the medial border of the foot. With the subtalar joint held in a reduced neutral position, the forefoot is in 15° of supination. You attempt orthotic arch supports and when these do not alleviate his pain, a brace is suggested. He refuses to wear a brace. You plan an osteotomy of the calcaneus with lengthening bone graft at the neck of the calcaneus (lateral column lengthening). The most common complication following this procedure is:
Options:
- C alcaneocuboid joint arthritis
- Subtalar arthritis
- Persistent sinus tarsi pain
- Equinus deformity
- Elevation of the first metatarsal
Correct Answer: C alcaneocuboid joint arthritis
Explanation:
This patient demonstrates the common finding of fixed forefoot varus associated with a flexible flatfoot deformity. It is likely that a gastrocnemius contracture is also present, but this is not always the case. Arthritis of the calcaneocuboid joint rarely occurs following a lengthening calcaneal osteotomy in an adult. C orrection of the forefoot varus is best accomplished with an opening wedge osteotomy of the medial cuneiform. Arthrodesis of the first tarsometatarsal joint may be performed in selected patients with noted instability at this joint.C orrect Answer: Elevation of the first metatarsal
Question 47:
A 44-year-old obese man presents for treatment of acute ankle pain. He does not have a history of trauma or a systemic history of note. His opposite foot has had multiple episodes of acute pain in the past, lasting from 3 to 5 days. On examination, the ankle is warm, swollen, and exquisitely tender to palpation and any range of motion (Slide1, Slide 2, and Slide 3). Concerned about the source of pain, you aspirate the joint and send the sample for analysis. You expect to find:
Options:
- Gram-positive cocci
- Gram-negative rods
- Normal joint fluid
- Sodium monourate crystals
- A high red cell count
Correct Answer: Sodium monourate crystals
Explanation:
This patient most likely has an acute attack of gout. The prior episodes of foot pain and the sudden onset lasting 5 days for each bout is characteristic. The ankle is not a common location for gout (the most frequent site is the hallux metatarsophalangeal joint). The treatment should consist of injection of a corticosteroid into the joint and administration of appropriate oral anti-inflammatory medication.
Question 48:
This patient presents for treatment of a painful hallux varus deformity following correction of hallux valgus deformity (Slide). All of the following procedures may be acceptable surgical alternatives for correction of deformity with the exception of:
Options:
- Split extensor hallucis longus tendon transfer
- Abductor hallucis transfer
- Extensor hallucis brevis tendon transfer
- First metatarsal osteotomy
- Hallux metatarsophalangeal joint arthrodesis
Correct Answer: Split extensor hallucis longus tendon transfer
Explanation:
The extensor hallucis longus or the extensor hallucis brevis (rarely the abductor hallucis) may be used as a tendon transfer for correction. Arthrodesis of the hallux interphalangeal joint may be performed for
correction of a fixed claw deformity of the interphalangeal joint, usually in conjunction with a tendon transfer. Arthrodesis of the metatarsophalangeal joint is a reasonable alternative provided there is no fixed deformity of the interphalangeal joint present and when arthritis or fixed deformity of the metatarsophalangeal joint is present.C orrect Answer: First metatarsal osteotomy
Question 49:
Which of the following is true concerning Achilles tendon ruptures:
Options:
- More common in women than men
- More common on the right side compared to the left
- More common in patients using cephalosporins
- A common mechanism of injury is sudden forced foot plantarflexion
- Occurs most commonly in normal tendons
Correct Answer: A common mechanism of injury is sudden forced foot plantarflexion
Explanation:
Important points to remember about Achilles tendon ruptures: A. Most common in middle-aged men B. Often intermittent sports activity C . Left more than right D. Often the tendon is abnormal (degenerative) E. Mechanism 1. Sudden forced plantarflexion 2. Unexpected dorsiflexion 3. Violent dorsiflexion of the plantar flexed foot Factors which may make the patient more prone to rupture: A. Steroids B. Fluoroquinolones
Question 50:
Which of the following is true concerning the repair of acute Achilles tendon ruptures:
Options:
- Open treatment has a higher rerupture and infection rate than nonoperative treatment.
- Open treatment has a higher rerupture rate but lower infection rate compared to nonoperative treatment.
- Open treatment has a lower rerupture rate but higher infection rate compared to nonoperative treatment.
- Open treatment has a lower rerupture rate and lower infection rate compared to nonoperative treatment.
- Open treatment has the same rerupture rate compared to nonoperative treatment.
Correct Answer: Open treatment has a higher rerupture and infection rate than nonoperative treatment.
Explanation:
This meta-analysis showed: Operative versus nonoperative (pooled rates): Rerupture Operative 3.5% (6/173) (relative risk 0.27) Nonoperative 12.6% (23/183) Complications (adhesions, infection, disturbed sensibility) Operative 34.1% (59/173) (relative risk 10.60) Nonoperative 2.7% (5/183) Infection Operative 4.0% (7/173) (relative risk 4.89) Nonoperative 0%