Full Question & Answer Text (for Search Engines)
Question 1:
Which of the following is the proper sequence (or order) of the classes of macromolecules in articular cartilage in regard to the percentage of dry weight of the components (highest to lowest):
Options:
- Collagen, proteoglycans, noncollagenous proteins/glycoproteins
- Proteoglycans, collagen, noncollagenous proteins/glycoproteins
- Proteoglycans, noncollagenous proteins/glycoproteins, collagen
- Collagen, noncollagenous proteins/glycoproteins, proteoglycans
- Noncollagenous proteins/glycoproteins, collagen, proteoglycans
Correct Answer: Collagen, proteoglycans, noncollagenous proteins/glycoproteins
Explanation:
Articular cartilage has three principal classes of macromolecules: Collagen – 60% Proteoglycans – 25% to 35% Noncollagenous proteins/glycoproteins – 15% to 20%
Question 2:
Which of the following articular cartilage collagens form cross-banded fibrils:
Options:
- Types VI and X
- Types I, III, and V
- Types II, IX, and XI
- Types II, VI, and X
- Types II, VI, IX, X, and XI
Correct Answer: Types II, IX, and XI
Explanation:
Three articular cartilage collagens that form cross bands are types II, IX, and XI. Of particular note: Type XI binds to type II. Type IX binds to the cross-banded fibrils in the superficial layer. Type VI attaches to the matrix around the chondrocytes. Type X is near the calcified layer and is probably involved in mineralization of the calcified layer.
Question 3:
Which of the following molecules binds with type II collagen and may aid in the stabilization of the type II collagen network in articular cartilage:
Options:
- Transforming growth factor beta
- Decorin and fibromodulin
- Biglycan
- Anchorin C II
- C artilage oligomeric protein (C OMP)
Correct Answer: Decorin and fibromodulin
Explanation:
Decorin and fibromodulin bind to type II collagen and likely stabilize the type II collagen network. The other responses refer to: Biglycan: Binds with type VI collagen Anchorin C II: Helps attach chondrocytes to the collagen fibrils COMP: Binds to chondrocytes
Question 4:
A high collagen concentration and a low proteoglycan concentration is found in which of the following zones of articular cartilage:
Options:
- Superficial zone
- Transitional zone
- Middle (radial or deep) zone
- C alcified cartilage zone
- Tidemark zone
Correct Answer: Superficial zone
Explanation:
The superficial zone has a number of important characteristics: Thinnest articular cartilage layer Two layers: Most superficial – fine collagen fibrils (lamina splendens) Deep layer – flattened fibroblast-like chondrocytes (parallel to joint surface) Forms a cartilage skin Important chemical properties: High collagen and low proteoglycan concentration Fibronectin and water concentrations are highest in this zone Great tensile stiffness and strength Seals off the cartilage from the immune system
Question 5:
A high concentration of fibronectin and water is found in which of the following articular cartilage zones:
Options:
- Superficial zone
- Transitional zone
- Middle (radial or deep) zone
- C alcified cartilage zone
- Tidemark zone
Correct Answer: Superficial zone
Explanation:
The superficial zone has a number of important characteristics: Thinnest articular cartilage layer Two layers: Most superficial – fine collagen fibrils (lamina splendens) Deep layer – flattened fibroblast-like chondrocytes (parallel to joint surface) Forms a cartilage skin Important chemical properties: High collagen and low proteoglycan concentration Fibronectin and water concentrations are highest in this zone Great tensile stiffness and strength Seals off the cartilage from the immune system
Question 6:
Which of the following zones of the articular cartilage most likely seals the cartilage off from the immune system:
Options:
- Superficial zone
- Transitional zone
- Middle (radial or deep) zone
- C alcified zone
- Tidemark zone
Correct Answer: Superficial zone
Explanation:
The superficial zone has a number of important characteristics: Thinnest articular cartilage layer Two layers: Most superficial – fine collagen fibrils (lamina splendens) Deep layer – flattened fibroblast-like chondrocytes (parallel to joint surface) Forms a cartilage skin Important chemical properties: High collagen and low proteoglycan concentration Fibronectin and water concentrations are highest in this zone Great tensile stiffness and strength Seals off the cartilage from the immune system
Question 7:
Which of the following statements is true concerning the transitional zone of articular cartilage:
Options:
- Cells are ellipsoid shaped and parallel to the articular surface.
- The extracellular matrix has a high water and a low proteoglycan content.
- The chondrocytes have a high concentration of organelles such as rough endoplasmic reticulum and Golgi apparatus.
- The extracellular matrix has the largest diameter collagen fibers and the highest concentration of proteoglycans.
- The collagen fibers are perpendicular to the surface and resist shear stresses.
Correct Answer: The chondrocytes have a high concentration of organelles such as rough endoplasmic reticulum and Golgi apparatus.
Explanation:
The transitional zone lies between the superficial and middle zones of the articular cartilage. The following important points should be remembered: The chondrocytes have a high concentration of synthetic organelles such as rough endoplasmic reticulum and Golgi apparatus. The collagen fibers are larger than in the superficial zone. The proteoglycan concentration is higher than the superficial zone.
Question 8:
The chondrocytes in which of the following articular cartilage zones have the lowest metabolic activity:
Options:
- Superficial zone
- Transitional zone
- Middle (radial or deep) zone
- C alcified cartilage zone
- Tidemark zone
Correct Answer: C alcified cartilage zone
Explanation:
The chondrocytes in the calcified cartilage zone show the least metabolic activity. In contrast, the chondrocytes of the other areas are very active: Superficial zone Fine collagen fibrils (lamina splendens) High collagen and low proteoglycan concentration Fibronectin and water concentrations are highest in this zone Transitional zone The chondrocytes have a high concentration of synthetic organelles such as rough endoplasmic reticulum and Golgi apparatus. The collagen fibers are larger than in the superficial zone. The proteoglycan concentration is higher than the superficial zone. Middle (radial or deep) zone Largest diameter collagen fibrils Highest proteoglycan content
Question 9:
Which of the following molecules causes the expression of matrix metalloproteinases that can degrade the articular cartilage extracellular matrix:
Options:
- Insulin-dependent growth factor I
- Transforming growth factor beta
- Interleukin I
- Bone morphogenetic protein 2
- Bone morphogenetic protein 7
Correct Answer: Interleukin I
Explanation:
Interleukin I has the potential to increase expression of matrix metalloproteinases that can dissolve the extracellular matrix. The other responses are anabolic factors: Insulin-dependent growth factor I Transforming growth factor beta Bone morphogenetic protein 2 Bone morphogenetic protein 7
Question 10:
Which of the following resist tensile and shear deformation forces in articular cartilage:
Options:
- Biglycan
- Type II collagen fibers
- Glycosaminoglycans
- Anchorin II
- Tidemark
Correct Answer: Type II collagen fibers
Explanation:
Type II collagen fibers resist tensile and shear deformation forces in the articular cartilage. In contrast, the glycosaminoglycan aggregates resist articular cartilage compression and fluid flow.
Question 11:
Which of the following resist articular cartilage compression and fluid flow:
Options:
- Biglycan
- Type II collagen fibers
- Glycosaminoglycan aggregates
- Anchorin II
- Tidemark
Correct Answer: Glycosaminoglycan aggregates
Explanation:
Type II collagen fibers resist tensile and shear deformation forces in the articular cartilage. In contrast, the glycosaminoglycan aggregates resist articular cartilage compression and fluid flow.
Question 12:
Which of the following stimulates aggrecan core protein and glycosaminoglycan synthesis:
Options:
- Static compression within the physiologic range
- C hronic compressive loads outside the physiologic range
- C yclic intermittent hydrostatic pressure and compressive strain
- Interleukin I and matrix metalloproteinases
- Tumor necrosis factor
Correct Answer: C yclic intermittent hydrostatic pressure and compressive strain
Explanation:
Cyclic compressive loads have the ability to stimulate matrix synthesis â aggrecan core protein and the glycosaminoglycans. The other responses are catabolic toward the cartilage â break the cartilage down: Tumor necrosis factor Interleukin I Matrix metalloproteinases Chronic compressive loads outside the physiologic range Static compression (eg, putting a patient in a cast)
Question 13:
Which of the following are characteristic of osteoarthritis:
Options:
- Synovial proliferation, cysts/erosions on both sides of the joint
- Synovial proliferation, periarticular osteopenia, symmetric joint space loss
- Asymmetric joint space loss, subchondral sclerosis and cysts, osteophyte formation
- Subluxation, bone fragmentation, dissolution of the articular surfaces
- Periarticular erosions, preservation of the articular surface
Correct Answer: Asymmetric joint space loss, subchondral sclerosis and cysts, osteophyte formation
Explanation:
The characteristic findings in osteoarthritis are: Asymmetric loss of the joint space Subchondral sclerosis and cysts Osteophyte formation As the cartilage degenerates, progressive bone remodeling occurs. The other responses refer to other synovial proliferative disorders: Pigmented villonodular synovitis: Synovial proliferation, cysts/erosions on both sides of the joint Rheumatoid arthritis: Synovial proliferation with lymphocytic infiltration, periarticular osteopenia, symmetric joint space loss Charcot neuropathy: Subluxation, bone fragmentation, dissolution of the articular surfaces Gout: Periarticular erosions, soft tissue masses, preservation of the articular surfaces
Question 14:
Which of the following chemical changes occur in the first phase (earliest) of osteoarthritis:
Options:
- Constant collagen, decreased proteoglycan, constant water
- Constant collagen, decreased proteoglycan, increased water
- Decreased collagen, decreased proteoglycan, decreased water
- Decreased collagen, decreased proteoglycan, increased water
- Constant collagen, constant proteoglycan, increased water
Correct Answer: Constant collagen, decreased proteoglycan, constant water
Explanation:
The cause of osteoarthritis is unknown. From a chemical standpoint, one of the earliest findings is a decrease in the proteoglycan and an increase in the water content. One should remember: Constant type II collagen content Decreased proteoglycan concentration and decreased chain length Increased water content The decreased proteoglycan content results in increased permeability of the cartilage. A reduction of the stiffness makes the articular cartilage less able to bear loads.
Question 15:
Which of the following is characteristic of the second stage of osteoarthritis:
Options:
- Reduction in proteoglycan concentration
- Decrease in water content
- Formation of type I collagen
- Chondrocyte proliferation
- Reduction in interleukin I levels
Correct Answer: Chondrocyte proliferation
Explanation:
The cause of osteoarthritis is unknown. From a chemical standpoint, one of the earliest findings is a decrease in the proteoglycan and an increase in the water content. One should remember: Constant type II collagen content Decreased proteoglycan concentration and decreased chain length Increased water content In the second stage, there is a cellular response â chondrocyte proliferation. C lusters of chondrocytes producing new matrix are visible. In this stage, there is nitric oxide and interleukin I production. These are catabolic factors that increase matrix metalloproteinase activity. Degradative enzymes break down types IX and XI collagen, which may compromise the stability of the type II collagen framework.
Question 16:
Which of the following is characteristic of the second stage of osteoarthritis:
Options:
- Increased interleukin I levels
- Decrease in water content
- Formation of type I collagen
- Increased proteoglycan concentration
- Reduced chondrocyte proliferation and synthesis
Correct Answer: Increased interleukin I levels
Explanation:
The cause of osteoarthritis is unknown. From a chemical standpoint, one of the earliest findings is a decrease in the proteoglycan and an increase in the water content. One should remember: Constant type II collagen content Decreased proteoglycan concentration and decreased chain length Increased water content In the second stage, there is a cellular response â chondrocyte proliferation. C lusters of chondrocytes producing new matrix are visible. In this stage, there is nitric oxide and interleukin I production. These are catabolic factors that increase matrix metalloproteinase activity. Degradative enzymes break down types IX and XI collagen, which may compromise the stability of the type II collagen framework.
Question 17:
Which of the following is characteristic of the second stage of osteoarthritis:
Options:
- Decrease in water content
- Decreased proteoglycan synthesis
- Increased nitric oxide production
- Reduced matrix metalloproteinase production
- Production of type I collagen
Correct Answer: Increased nitric oxide production
Explanation:
The cause of osteoarthritis is unknown. From a chemical standpoint, one of the earliest findings is a decrease in the proteoglycan and an increase in the water content. One should remember: Constant type II collagen content Decreased proteoglycan concentration and decreased chain length Increased water content In the second stage, there is a cellular response â chondrocyte proliferation. Clusters of chondrocytes producing new matrix are visible. In this stage, there is nitric oxide and interleukin I production. These are catabolic factors that increase matrix metalloproteinase activity. Degradative enzymes break down types IX and XI collagen, which may compromise the stability of the type II collagen framework.
Question 18:
Which of the following is characteristic of the third and final stage of osteoarthritis:
Options:
- Decreased water content
- Increased proteoglycan content
- Reduced interleukin I levels
- Reduced nitric oxide levels
- Reduced chondrocyte proliferation and function
Correct Answer: Reduced chondrocyte proliferation and function
Explanation:
In the last stage of osteoarthritis, there is reduced chondrocyte proliferation and function, which may be secondary to reduced ability to respond to anabolic factors (down regulation). There may be accumulation of molecules that bind to the anabolic factors (and keep the factors from the chondrocytes) such as decorin and insulin-dependent growth factor binding protein.
Question 19:
Three years ago, a patient underwent successful resection of a third web space neuroma. She now presents with identical symptoms in the same location. She requests surgery because all attempts at conservative care have failed. Recommended treatment includes:
Options:
- Phenol injection
- Electrical ablation of the nerve
- Deep transverse metatarsal ligament resection
- Resection of a stump neuroma
- Tarsal tunnel release
Correct Answer: Resection of a stump neuroma
Explanation:
The recurrence rate of a previously resected neuroma is approximately 15%. The deep transverse metatarsal ligament is involved in the pathogenesis of a primary, but not a recurrent, neuroma. None of the present symptoms suggests tarsal tunnel syndrome, although this may exist concurrently with a neuroma. Phenol has ablative neural properties, but it cannot be injected due to the local effect on tissue necrosis.
Question 20:
A 72-year-old woman presents for treatment of a painful hallux valgus deformity. On examination of the foot, crepitus is present to range of motion of the hallux. Pain upon compression of the joint is also present. The hallux valgus angle is 45° and the intermetatarsal angle is 20°. The recommended surgical procedure is:
Options:
- Arthrodesis of the hallux metatarsalphalangeal (MP) joint
- Proximal first metatarsal osteotomy and distal soft tissue release
- Distal metatarsal osteotomy and distal soft tissue release
- Resection arthroplasty MP joint (Keller procedure)
- Arthrodesis first MP joint and distal soft tissue release (Lapidus procedure)
Correct Answer: Arthrodesis of the hallux metatarsalphalangeal (MP) joint
Explanation:
In the presence of metatarsalphalangeal joint arthritis, either resection arthroplasty or arthrodesis is recommended. However, with this degree of intermetatarsal deformity, a resection arthroplasty may lead to a high recurrence rate of hallux valgus deformity.
Question 21:
Resection of the tibial sesamoid may result in which deformity of the hallux:
Options:
- Hallux extensus
- Hallux valgus
- Hallux varus
- C ock-up deformity
- Supination deformity
Correct Answer: Hallux valgus
Explanation:
The abductor hallucis muscle attaches to the tibial sesamoid and resection without repair of the abductor and medial capsule may lead to hallux valgus. Hallux varus may occur after resection of the fibular sesamoid, and a cock- up extension hallux deformity occurs after resection of both sesamoids or with a rupture of the volar plate.
Question 22:
Arthrodesis of the ankle in a 34-year-old woman should be performed with the ankle positioned in:
Options:
- 10° plantarflexion, neutral rotation
- 10° dorsiflexion, 5° external rotation
- Neutral dorsiflexion, 5° valgus
- 10° plantarflexion, 15° external rotation
- 10° plantarflexion, 5° internal rotation
Correct Answer: Neutral dorsiflexion, 5° valgus
Explanation:
Although the woman may wish to wear shoes of varying height, there is sufficient plantarflexion occurring through the transverse tarsal joint to permit the wearing of high-heel shoes. Any plantarflexion of the fusion will cause arthritis of the transverse tarsal joint, particularly the talonavicular joint. Dorsiflexion of an ankle arthrodesis is associated with a calcaneus position and heel pain. The ankle should be fused in a similar position for both male and female patients.
Question 23:
A 27-year-old male athlete presents with a 2-month history of pain along the posteromedial ankle. Swelling is present posteriomedially. The pain is exacerbated with resisted plantarflexion and inversion of the foot. This condition is likely to be associated with:
Options:
- Rheumatoid arthritis
- Repetitive trauma
- Seronegative arthritis
- Gout
- Stress fracture
Correct Answer: Seronegative arthritis
Explanation:
The presence of posterior tibial tendonitis in a young individual should raise the concern for seronegative arthritis. Although a stress fracture of the medial malleolus may be present, pain is not exacerbated with resisted inversion.
Question 24:
A 23-year-old collegiate athlete presents for evaluation of recurrent ankle pain associated with ankle sprains. Upon examination, pain is present along the lateral ankle, an anterior drawer test is negative, and marked instability is apparent with inversion stress of the ankle. Stress radiographs are normal. The most likely cause of the patientâ s symptoms is:
Options:
- Stress fracture of the navicular bone
- Peroneus brevis tear
- Recurrent dislocation of peroneal tendons
- Osteochondral lesion of the talus
- Subtalar instability
Correct Answer: Subtalar instability
Explanation:
Subtalar instability is not common, although a component of instability may be present in conjunction with ankle instability. If symptoms are suggestive of ankle instability but cannot be verified upon clinical or radiographic examination, then subtalar instability is likely to be present. The clinical diagnosis of subtalar instability is difficult.
Question 25:
A 46-year-old nurse presents for treatment of pain in the heel. The pain has been present for 6 months and increases upon rising from bed and after sedentary periods. The pain is focal and reproduced with pressure over the proximal medial heel. The initial treatment most likely to be associated with relief of symptoms is:
Options:
- Semi-rigid orthotic support
- Stiff sole shoe with heel wedge
- Achilles tendon stretching exercises
- C ortisone injection
- Physical therapy modalities
Correct Answer: Achilles tendon stretching exercises
Explanation:
With the exception of physical therapy and a rigid orthotic support, most of the treatment alternatives would be helpful in the initial treatment of plantar fasciitis. Achilles stretching combined with a soft, gel-type heel cushion is consistently the most successful modality.
Question 26:
A 72-year-old man presents for evaluation and treatment of pain and limited motion in his arthritic ankle and subtalar joint. The foot is plantigrade with respect to the leg. Radiographs demonstrate ankle arthritis, an absent joint space, no malalignment of the tibiotalar joint, and a normal subtalar joint. The most reliable surgical procedure consistent with maintaining increased activity and patient function is:
Options:
- Total ankle replacement
- Supramalleolar tibial opening wedge osteotomy
- Supramalleolar tibial closing wedge osteotomy
- Ankle arthrodesis
- Ankle arthroscopy
Correct Answer: Ankle arthrodesis
Explanation:
Ankle replacement is a treatment alternative that is widely recommended today, although it is still not as reliable as an ankle arthrodesis in terms of predictability and absence of complications. One must consider the option of arthrodesis and replacement carefully with each patient.
Question 27:
A 37-year-old construction worker presents for evaluation and treatment of a painful stiff foot. He has noticed the stiffness for approximately 12 years, and particularly feels the stiffness when he is working on uneven ground surfaces. Upon clinical and radiographic examination, he is noted to have a calcaneonavicular coalition without any peritalar arthritis. Your recommended treatment is:
Options:
- Triple arthrodesis
- Subtalar arthrodesis
- Resection of the coalition
- C alcaneal osteotomy
- C alcaneocuboid and talonavicular arthrodesis
Correct Answer: Resection of the coalition
Explanation:
Although arthrodesis has proved reliable with respect to managing tarsal coalition in the adult, resection of a calcaneonavicular coalition should be performed whenever possible. This procedure is preferable to a triple arthrodesis. A subtalar arthrodesis would be applicable as treatment for a middle facet coalition in the adult.
Question 28:
A 28-year-old male runner presents for treatment of a painful lesion under the first metatarsal head (located more toward the medial aspect of the metatarsophalangeal joint). The lesion is associated with painful callosity to palpation, normal hallux function, and a normal position of the first metatarsal. Attempts to relieve the pressure with orthoses and shoe modifications have not been successful. The ideal treatment is:
Options:
- Arthrodesis of the first metatarsophalangeal joint
- Dorsal wedge osteotomy of the distal first metatarsal
- Resection of the tibial sesamoid
- Plantar shaving of the tibial sesamoid
- Proximal first metatarsal osteotomy
Correct Answer: Plantar shaving of the tibial sesamoid
Explanation:
Planing or shaving of the sesamoid is a reliable procedure for treatment of a specific focal keratosis beneath the tibial sesamoid. Resection of the tibial sesamoid is a reasonable alternative, although it should be used only for pathology of the sesamoid itself. In this individual, the position of the first metatarsal is normal. Since no plantarflexion is present, an osteotomy is not indicated.
Question 29:
A 29-year-old football player twisted his foot 1 year ago, and he recalls pain and swelling of the midfoot at the time of the injury. No definitive treatment was provided at that time. Although he returned to athletic activity, he has experienced constant pain and occasional swelling. The pain is present upon passive pronation and abduction of the midfoot, and radiographs demonstrate that there is a 2.5-mm gap between the base of the first and second metatarsal and medial and middle cuneiform. Initial management should include:
Options:
- Medial to middle column tarsometatarsal arthrodesis
- C ortisone injection to the midfoot
- Delayed open reduction and internal fixation
- Physical therapy modalities aimed at mobilization of the midfoot
- A rigid orthotic support and a stiff-soled shoe
Correct Answer: A rigid orthotic support and a stiff-soled shoe
Explanation:
The patientâ s history and clinical findings indicate an injury to the tarsometatarsal joint complex, specifically between the middle and the medial columns. Although surgery may become necessary, initial treatment should consist of support. Physical therapy will worsen foot pain and injection is not indicated.
Question 30:
A 44-year-old man has a 2-year history of pain in his hallux. The pain is accompanied by limited range of motion, pain on passive dorsiflexion of the hallux, and difficulty with athletic activities. Radiographs demonstrate that the plantar two-thirds of the joint is normal, with osteophytes of the dorsal surface of the joint. He has been unsuccessful with shoe wear modifications, and he requests surgery. The ideal procedure for him would be:
Options:
- Resection arthroplasty
- Implant arthroplasty
- Osteotomy of the first metatarsal
- C heilectomy of the hallux
- Arthrodesis of the metatarsophalangeal joint
Correct Answer: C heilectomy of the hallux
Explanation:
Preservation of the joint and maintaining range of motion are important to any active individual. Any procedure, such as resection or implant arthroplasty, is contraindicated in this age group. Arthritis has not progressed to the degree that arthrodesis is necessary.
Question 31:
A 32-year-old woman with a history of diabetes presents with a 1-month history of painless swelling in the foot. The foot is swollen, warm, and erythema is present in the midfoot. She has no fever and her blood sugars are normal. Radiographs demonstrate the presence of fracture and dislocation of the tarsometatarsal joint. There are no new periosteal bone formations, and complete dorsal dislocation of the metatarsals on the cuneiforms is noted. The ideal treatment is:
Options:
- Open reduction and internal fixation
- Bedrest, limb elevation, and cast immobilization
- Tarsometatarsal arthrodesis
- Midfoot biopsy followed by organism-specific antibiotics
- Weight-bearing total contact cast
Correct Answer: Tarsometatarsal arthrodesis
Explanation:
If there is a contraindication to performing surgery, nonoperative methods of treatment for an acute C harcot neuroarthropathy may be acceptable. This patientâ s midfoot is dislocated and is likely to result in a worsening deformity over time, with ulceration and infection possible. Open reduction with internal fixation has not proven sufficient in patients presenting with the symptoms indicated in the scenario. Arthrodesis is most likely to yield a satisfactory outcome.
Question 32:
A 54-year-old woman presents with a 1-year history of medial foot and ankle pain. She does not recall an episode of trauma, and she has had no change in her daily living activities. Her foot is changing shape; it is flatter than the opposite foot. On clinical examination she has a unilateral flatfoot deformity, an inability to perform a single heel rise, and weak inversion strength. The subtalar joint is flexible. Following an initial period of support of the foot, surgery is recommended. The ideal procedure is:
Options:
- Subtalar arthrodesis
- Triple arthrodesis
- Repair torn spring ligament
- Posterior tibial tendon repair
- Flexor digitorum longus transfer with calcaneal osteotomy
Correct Answer: Flexor digitorum longus transfer with calcaneal osteotomy
Explanation:
This patient has a rupture of the posterior tibial tendon. Repair of the tendon will not work because there is a degenerative elongation of the tendon that will not heal. Because the foot is flexible, arthrodesis is not necessary. Flexor digitorum longus transfer with calcaneal osteotomy is a reliable procedure for treatment of Stage II posterior tibial tendon insufficiency.
Question 33:
The anatomic structure responsible for the development of an interdigital neuroma is:
Options:
- The intermetatarsal bursa
- The interosseous tendon
- The deep transverse metatarsal ligament
- The third metatarsal head
- The bifurcation of the lateral plantar nerve
Correct Answer: The deep transverse metatarsal ligament
Explanation:
The deep transverse metatarsal ligament passes between the undersurface of the metatarsal heads and connects the volar plate to the adjacent soft tissue structures. The common digital nerve becomes irritated under the sharp edge of the distal portion of the ligament, resulting in nerve swelling and formation of the neuroma.
Question 34:
A 14-year-old boy with a painful flatfoot deformity presents for evaluation and treatment. He has had pain of the midfoot associated with thickening, callosity, and shoe wear. Shoe wear modifications, orthoses, and restriction of activity have not been successful. On examination, he has a very flexible flatfoot deformity. The hindfoot and midfoot are passively correctable, the subtalar and transverse tarsal joints are mobile, and callosity is present over the talar head. The recommended treatment is:
Options:
- Arthrodesis of the subtalar joint
- Triple arthrodesis
- Lateral column lengthening osteotomy through the neck of the calcaneus
- Medial displacement calcaneal osteotomy with flexor digitorum longus tendon transfer
- Resection of the symptomatic accessory navicular bone and advancement of the posterior tibial tendon
Correct Answer: Lateral column lengthening osteotomy through the neck of the calcaneus
Explanation:
It is unusual for an adolescent to require surgical correction of a flatfoot deformity, however, when the deformity is markedly symptomatic, surgery is a reasonable treatment option. Arthrodesis should not be considered as treatment of the flexible flatfoot in the adolescent. There is no indication of an accessory navicular bone being present. Lateral column lengthening (Evans Procedure) is a reliable procedure in this age group. The most common correction in kids with severe flexible pes planus is a lateral column lengthening. This is because most children, such as in this case, have severe forefoot abduction with significant talo-navicular uncoverage. (The description stated that the patient had a callus under the talar head, which means the talus is protruding beyond the navicular medially.) Medial slide calcaneal osteotomy would only correct the heel valgus, whereas a lateral column lengthening has the potential to correct both heel valgus and forefoot abduction.
Question 35:
A 23-year-old woman with juvenile rheumatoid arthritis presents for treatment of painful forefoot deformity. Painful hallux valgus is present and is associated with dislocation of the lesser metatarsophalangeal joints. The recommended surgical treatment is:
Options:
- Bunionectomy, first metatarsal osteotomy, and arthroplasty of the lesser metatarsophalangeal joints
- Resection arthroplasty (Keller procedure) of the first metatarsophalangeal joint and arthroplasty of the lesser metatarsophalangeal joints
- Arthrodesis hallux metatarsophalangeal joint and resection of the lesser metatarsal heads
- Bunionectomy, first metatarsal osteotomy, and resection of the lesser metatarsal heads
- Resection of all of the metatarsal heads
Correct Answer: Arthrodesis hallux metatarsophalangeal joint and resection of the lesser metatarsal heads
Explanation:
The gold standard surgical treatment for rheumatoid patients with severe forefoot deformities is first metatarsophalangeal fusion with second through fifth metatarsal head resections.
Question 36:
The most common complication following triple arthrodesis in the adult patient is:
Options:
- Malunion of the arthrodesis
- Nonunion of the arthrodesis
- Ankle instability
- Ankle arthritis
- Transverse tarsal arthritis
Correct Answer: Ankle arthritis
Explanation:
Each of the possible answers may occur following triple arthrodesis. In numerous studies, ankle arthritis is the complication most likely to occur regardless of the underlying disease process.
Question 37:
A pantalar arthrodesis is described as a:
Options:
- Subtalar and tibiotalar arthrodesis
- Tibiotalocalcaneal arthrodesis
- Ankle and triple arthrodesis
- Triple arthrodesis and transverse tarsal arthrodesis
- Ankle arthrodesis and transverse tarsal arthrodesis
Correct Answer: Ankle and triple arthrodesis
Explanation:
A pantalar arthrodesis is the combination of an ankle and triple arthrodesis. It should not be confused with an ankle and subtalar arthrodesis (tibiotalocalcaneal).
Question 38:
A 23-year-old woman with a bilateral leg and foot deformity presents for evaluation. She has weakness in the foot and ankle, giving way of the ankle, and difficulty with exercise activities. She mentions that both her brother and uncle have similar problems and deformities with their limbs. On examination, she has a cavovarus foot deformity and muscle weakness. The most likely combination of muscle loss is:
Options:
- Anterior tibial and intrinsic muscles
- Peroneus longus, peroneus brevis, and intrinsic muscles
- Peroneus brevis, anterior tibial, and intrinsic muscles
- Posterior tibial, anterior tibial, and peroneus longus muscles
- Peroneus longus, extensor hallucis longus, and intrinsic muscles
Correct Answer: Anterior tibial and intrinsic muscles
Explanation:
By history, this patient has hereditary sensorimotor neuropathy (C harcot- Marie-Tooth disorder). Historically referred to as peroneal muscular atrophy, this condition initially affects the peroneus brevis, followed by the intrinsic and anterior tibial muscles. Other patterns of deformity and muscle loss are occasionally present.
Question 39:
A 63-year-old woman presents for evaluation and treatment of a painful bunion deformity. She has a moderate hallux valgus deformity. Pain and crepitus are present with range of motion of the hallux metatarsophalangeal joint. The hallux valgus deformity measures 25° and the intermetatarsal angle is 14°. The recommended surgical procedure is:
Options:
- Distal metatarsal osteotomy
- Proximal metatarsal osteotomy
- Distal soft tissue release and proximal metatarsal osteotomy
- Metatarsophalangeal joint arthrodesis
- Distal soft tissue release and first metatarsal cuneiform arthrodesis
Correct Answer: Metatarsophalangeal joint arthrodesis
Explanation:
Although resection arthroplasty (Keller procedure) may be a reasonable alternative, arthrodesis of the hallux metatarsophalangeal joint is required in the presence of arthritis. Other alternatives, such as osteotomies, are impractical.
Question 40:
The nerve commonly associated with painful heel syndrome is the:
Options:
- Medial plantar nerve
- Lateral plantar nerve
- First branch of the lateral plantar nerve
- C alcaneal nerve
- Deep peroneal nerve
Correct Answer: Lateral plantar nerve
Explanation:
The first branch of the lateral plantar nerve (occasionally referred to as the nerve to the abductor digiti quinti) is occasionally involved in pathologic painful heel syndrome and plantar fasciitis.
Question 41:
A 63-year-old woman with diabetes has had an ulcer under the plantar aspect of the foot for 3 months. The ulcer extends from the inferior aspect of the heel pad toward the midfoot. Nonoperative measures have failed to heal the ulcer. The amputation that is most likely to be successful is a:
Options:
- Midfoot amputation with a skin graft
- Symeâ s amputation
- Below the knee amputation
- Transmetatarsal amputation
- Transverse tarsal amputation
Correct Answer: Below the knee amputation
Explanation:
A foot salvage amputation, including the transarticular ankle amputation (Symeâ s amputation), will not work in the presence of a disrupted heel pad (with or without ulceration) and infection of the heel.
Question 42:
A 56-year-old man has a painful flatfoot deformity. Attempts at orthotic support and bracing of the foot have not been successful. On examination, the forefoot is abducted, the heel is fixed in valgus, and the subtalar joint is rigid. The operation that is most likely to correct the foot deformity is:
Options:
- Flexor digitorum longus transfer into the navicular
- C alcaneus osteotomy
- Transverse tarsal arthrodesis
- Triple arthrodesis
- Lateral column lengthening calcaneus osteotomy
Correct Answer: Triple arthrodesis
Explanation:
By history and physical examination, this patient has a Stage III flatfoot deformity. Due to the rigidity, only an arthrodesis will correct this abnormality. Although a transverse tarsal arthrodesis (Choparts arthrodesis) may adequately correct the deformity, a triple arthrodesis will correct all of the components including heel valgus, forefoot abduction, and midfoot pronation.
Question 43:
A 54-year-old woman with a 10-year history of diabetes presents for treatment of a non-healing ulcer that has been present under the plantar aspect of her second metatarsal for 9 months. The ulcer is 1.5 cm in diameter, is associated with mild serous drainage, and has shown no radiographic changes. She has normal circulation to the forefoot. The recommended treatment is:
Options:
- Osteotomy second metatarsal
- Resection of the second metatarsal head
- Shoe wear modification
- Total contact cast
- Orthotic shoe support and shoe modification
Correct Answer: Total contact cast
Explanation:
Management of the non-infected plantar neuropathic ulcer is nonoperative, with the exception of refractory recurrent ulceration. In this case, surgery may be indicated. The most reliable means of healing the ulcer is with the use of a total contact cast that permits immediate ambulation and protection for the rest of the foot. Shoe modifications are required following healing of the ulcer but are insufficient as part of the initial treatment program.
Question 44:
A patient presents for treatment in your emergency department following an injury that he sustained 4 hours earlier. His foot was run over by a piece of heavy industrial equipment. On examination, he has pain in the foot, a displaced fracture of the second metatarsal, a 3-cm area of severe contusion over the forefoot, and numbness of the dorsal surface of the foot. The next examination that you recommend is:
Options:
- Measurement of compartment pressures in the foot
- Magnetic resonance imaging of the tarsometatarsal joint
- C omputerized axial tomography of the midfoot
- Doppler evaluation of the foot pulses
- Laser Doppler flowmetry
Correct Answer: Measurement of compartment pressures in the foot
Explanation:
Because of his history, this patient may have a compartment syndrome of the foot. Although other studies may be relevant as part of his evaluation, a compartment syndrome mandates emergency treatment. Vascular evaluation, including laser Doppler flowmetry is unreliable in diagnosing compartment syndrome. Imaging studies may be performed as part of the surgical work-up, but they are not indicated at this time.
Question 45:
A 63-year-old woman presents for treatment of pain and a burning/tingling sensation along the medial aspect of the foot and hallux. She underwent a tarsal tunnel release 12 months ago, but she has not experienced much symptomatic relief. Upon clinical examination, she has a positive percussion test (Tinel sign) along the course of the distal tibial nerve and pain upon pressure of the tarsal canal. There are no other pertinent clinical findings and a magnetic resonance image does not reveal any pathologic lesion. The next course of treatment is:
Options:
- Multiple cortisone injections
- Implantation of a peripheral nerve stimulator
- Repeat release of the tarsal tunnel, specifically of the medial plantar nerve
- Multiple sessions of physical therapy
- Nerve desensitization with peripheral nerve stimulation
Correct Answer: Repeat release of the tarsal tunnel, specifically of the medial plantar nerve
Explanation:
This patient presents with symptoms of a tarsal tunnel syndrome, specifically involving the medial plantar nerve. Because she did not experience any initial pain relief from her surgery, one may suspect that an inadequate release was initially performed. Cortisone injection and physical therapy have no role in the management of a recurrent tarsal tunnel syndrome, although desensitization treatments with neuroleptic medication and manual massage are beneficial following surgery. It is important to rule out a sympathetically mediated pain syndrome prior to embarking on repeat surgery.
Question 46:
For 3 years, a 23-year-old female gymnast has experienced recurrent ankle sprains associated with a sense of instability of the hindfoot. Upon examination, a positive anterior drawer test is present and stress radiographs are taken. She has attempted rehabilitation numerous times. She is unable to compete with her current symptoms. The recommended treatment is:
Options:
- Reconstruction of subtalar instability with the peroneus brevis tendon
- Reconstruction of ankle instability with an anatomic repair (Brostrom procedure)
- Reconstruction of ankle instability with the split peroneus brevis (Evans procedure)
- Reconstruction of ankle instability with the split peroneus brevis (C hrisman-Snook procedure)
- Arthroscopic evaluation of ankle joint followed by reconstruction with split peroneus brevis tendon
Correct Answer: Reconstruction of subtalar instability with the peroneus brevis tendon
Explanation:
For athletes, particularly those involved in activities that require repetitive proprioceptive and balance activities of the foot and ankle, an anatomic repair (Brostrom procedure) with addition of the extensor retinaculum (Gould modification) is the only procedure that will allow this individual to return to athletic activity. Surgeons must not sacrifice the peroneal tendon, or part thereof, since this may unnecessarily weaken the foot.
Question 47:
A 31-year-old recreational soccer player presents for evaluation of chronic ankle pain during physical activity. He reports a severe inversion ankle sprain that occurred 1 year ago and notes that he was treated with cast immobilization. Upon examination, he does not demonstrate laxity of the ankle ligaments and pain is present along the anterior medial ankle. A radiograph is presented. The recommended treatment is:
Options:
- Ankle arthrotomy and excision of loose body
- Ankle arthrotomy and ankle synovectomy
- Retrograde drilling and bone graft
- Osteochondral autograft procedure
- Arthroscopic debridement and drilling
Correct Answer: Arthroscopic debridement and drilling
Explanation:
This patient has an osteochondral defect of the talus. According to most classification systems, the grade of the defect is not severe. Retrograde drilling of the defect through the sinus tarsi is possible for a posteromedial lesion of the talus for which the cartilage surface is intact. An autogenous osteochondral bone graft is indicated for a severe lesion with bone loss or following failure of previous attempts at arthroscopic drilling. The ideal procedure is arthroscopic debridement and drilling of the subchondral bone.
Question 48:
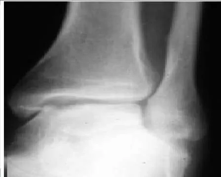
A 43-year-old woman has had a 2-year history of ankle pain. Her ankle pain is associated with swelling, decreased activities, and limited range of motion. Upon examination, diffuse warmth and swelling of the ankle are noted. Radiographs and a clinical picture are presented. The most likely diagnosis is:
Options:
- Rheumatoid arthritis
- Gout
- Septic arthritis
- Synovial sarcoma
- Pigmented villonodular synovitis (PVNS)
Correct Answer: Rheumatoid arthritis
Explanation:
Although pigmented villonodular synovitis (PVNS), infection, or gout may cause inflammatory changes on both sides of the ankle joint, the most likely cause of this inflammatory arthropathy is rheumatoid arthritis. Note the cystic changes, the synovial hypertrophy, and the joint inflammation.
Question 49:
A 25-year-old football player sustained an injury to his ankle 2 months ago. He has ankle pain upon dorsiflexion and external rotation. A radiograph demonstrates widening of the tibiofibular syndesmosis and a 3-mm space between the medial talus and the medial malleolus. The recommended treatment is:
Options:
- Open reduction and internal fixation of a high fibula fracture
- Reconstruction with peroneus brevis followed by aggressive rehabilitation of the ankle
- Repair of the high ankle sprain with syndesmosis screw
- Arthrodesis of the tibiofibular syndesmosis
- Ankle arthroscopy, synovectomy, and repair of the deltoid ligament
Correct Answer: Repair of the high ankle sprain with syndesmosis screw
Explanation:
It is imperative that any diastasis of the tibiofibular joint is repaired to prevent the late sequelae (e.g., arthritis), particularly in the athlete. Arthroscopy is not sufficient, other than evaluation for additional joint pathology, and syndesmosis arthrodesis would rarely be indicated for this condition. There is no evidence of a high fibula fracture, although this must be a concern and should always be considered.
Question 50:
A patient presents for surgical treatment of a third web space neuroma. She inquires as to the potential for complications from the procedure. You inform her that the recurrence rate following excision is approximately:
Options:
Correct Answer: 5%
Explanation:
The reported recurrence rate following excision of a primary interdigital neuroma is approximately 15%. The recurrence rate should always be communicated to the patient preoperatively.