Fragment-Specific Fixation of Distal Radius Fractures: An Intraoperative Masterclass

Key Takeaway
This masterclass provides a granular, real-time guide to fragment-specific fixation of distal radius fractures. We meticulously cover comprehensive anatomy, preoperative planning, precise intraoperative execution from incision to hardware placement, and critical pearls to avoid pitfalls. Fellows will gain a deep understanding of restoring articular congruity and stability for optimal patient outcomes and immediate motion.
f
---
## DEFINITION Fragment-specific fixation is a treatment approach for complex articular fracture patterns characterized by independent fixation of each major fracture component with an implant specific for that particular fragment ( FIG 1). Fragment-specific implants are usually low profile and have a certain degree of “spring-like” elasticity; the combination of independent fixation of multiple fragments in different planes can restore articular anatomy without the need for effective thread purchase in small periarticular fragments. Surgical planning is extremely important to determine whether a single approach or a combination of surgical approaches is needed to visualize and fix each of the main fracture components that make up a particular injury. For distal radius fixation, a complete set of implants should be available to address any of the five primary fracture elements: the radial column, ulnar corner, volar rim, dorsal wall, and/or impacted articular fragments. In addition, identification and treatment of distal radioulnar joint (DRUJ) disruption and injuries of the ulnar column should be included. ### FIG 1 • Fragment-specific implants. As a general rule, this technique avoids creation of large holes in small distal fragments, with fixation based and often triangulated to the stable ipsilateral cortex of the proximal fragment. The goal of fragment-specific fixation is creation of a multiplanar, load-sharing construct that restores an anatomic articular surface with enough stability to initiate motion postoperatively. 2, 7, 11 76
---
### FIG 2 • Articular fracture components.
Anatomy
Essential Basic Anatomy The palmar cutaneous branch of the median nerve typically lies in the subcutaneous tissue between the tendons of the flexor carpi radialis (FCR) and palmaris longus; radial-based incisions should not extend distally into a carpal tunnel approach in order to avoid injury to this nerve. The terminal branches of the lateral antebrachial cutaneous nerve and dorsal sensory branch of the radial nerve run in the subcutaneous tissue radial to the course of the radial artery. Exposure of the radial column by elevating a radial skin and subcutaneous flap using blunt dissection from a proximal to distal direction along the surface of the first dorsal compartment tendons helps avoid injury to these structures. The pronator quadratus inserts along the ridge at the distal flare of the radius; dissection distally should be limited to no more than 1 to 2 mm distal to the ridge to avoid compromise of the important volar carpal ligaments. ## Essential Osseous Anatomy Structurally, the wrist can be thought of in terms of three basic support columns: a radial column that includes the radial border of the distal radius and scaphoid facet, a middle column consisting of the central and ulnar part of the radial shaft and lunate facet, and an ulnar column that includes the DRUJ, the triangular fibrocartilage complex (TFCC), and the ulnar head. The radial column fragment involves the pillar of bone along the radial border of the distal radius ( FIG 2). Restoration of radial length is important to correct the axial position of the carpus, unloading deforming compressive forces that can interfere with reduction of middle column injuries. Typically, the terminal portion of the brachioradialis inserts on the base of the radial column fragment and may be a deforming force that contributes to proximal displacement of the radial column fragment. Metaphyseal comminution along the base of the radial column fragment may also contribute to radial column instability. Although not common, radial column injuries with secondary coronal fracture page or segmental comminution into the shaft proximally can be particularly unstable fracture patterns. The volar rim of the lunate facet is a primary load-bearing structure of the articular surface. Instability of the volar rim occurs in two patterns: In the volar instability pattern, the volar rim migrates in a proximal and volar direction resulting in secondary palmar translation of the carpus. In the axial instability pattern of the volar rim, axial impaction of the carpus drives the volar rim into dorsiflexion, resulting in secondary axial and dorsal subluxation of the carpus. The ulnar corner fragment involves the dorsal half of the sigmoid notch and usually includes a small dorsal ulnar corner of the articular surface of the lunate facet. This fracture component is the result of impaction of the lunate into the articular surface, causing the fragment to migrate dorsally and shorten proximally. Residual displacement of the ulnar corner may result in instability of the DRUJ as well as restriction of forearm rotation. Dorsal wall fragmentation may be a typical finding in either dorsal bending or axial loading injuries. If displaced, this fracture component is often associated with dorsal subluxation of the carpus in addition to the typical dorsal angulation of the articular surface. Free articular fragments may be impacted within the metaphyseal cavity and result in incongruity of the articular surface. Elevation of dorsal wall fragments allows direct access to reduction of free articular fragments. ## PATHOGENESIS Distal radius fractures are not all the same; it is a mistake to expect that a single method of treatment is uniformly effective. Careful analysis of the fragmentation pattern and the principle directions of fracture displacement can often provide useful information about the mechanism of injury and type of instability. 4 Dorsal bending injuries result in extra-articular fractures with dorsal displacement ( FIG 3A). Comminution of the dorsal wall and compression into metaphyseal cavity can result in dorsal instability. Volar bending injuries result in extra-articular fractures with volar displacement ( FIG 3B). Fractures with significant volar displacement are nearly always unstable and require some type of intervention to obtain and hold a reduction until union. 77
---
### FIG 3 • Pathogenesis of dorsal radius fractures. A. Dorsal bending. B. Volar bending. C. Dorsal shear. D. Volar shear. E. Radial shear. F. Three-part articular. G. Comminuted articular. H. Carpal avulsion. I. High energy. 78 Dorsal shearing injuries present as fractures of the dorsal rim and are often associated with dorsal instability of the carpus ( FIG 3C). These injuries often have a depressed articular fragment and may have additional radial column involvement. Volar shearing injuries present as displaced fractures of the volar rim and result in volar instability of the carpus ( FIG 3D). This pattern often has multiple articular fragments and is highly unstable. It is not usually amenable to closed methods of treatment. Radial shearing fractures (chauffeur's fracture) are identified by a characteristic transverse fracture line across the radial styloid that extends into the radiocarpal joint. These injuries often have more extensive chondral disruption than may be appreciated from the radiographic findings ( FIG 3E). Simple three-part fractures are usually the result of lowenergy injuries that combine a dorsal bending mechanism with some axial loading across the carpus ( FIG 3F). This pattern is characterized by the presence of an ulnar corner fragment involving the dorsal portion of the sigmoid notch, a main articular fragment, and a proximal shaft fragment. Complex articular fractures are usually the result of axial loading injuries from moderate to high-energy trauma. In addition to articular comminution, this pattern may often generate a significant defect in the metaphyseal cavity or complete disruption of the DRUJ ( FIG 3G). The avulsion/carpal instability pattern is primarily a ligamentous injury of the carpus with associated osseous avulsions of the distal radius. Bone fragments are typically small and very distal ( FIG 3H).
---
### FIG 4 • A. Positioning for standard lateral radiography. B. Standard lateral radiograph. C. Positioning for 10-degree lateral radiography. D. Ten-degree lateral radiograph. Note the improved visualization of the articular surface of the base of the scaphoid facet and the entire lunate facet. Injuries from a high-energy mechanism present as complex comminuted fractures of the articular surface with extension into the radial/ulnar shaft ( FIG 3I). ## IMAGING AND OTHER DIAGNOSTIC STUDIES Posteroanterior (PA), standard lateral ( FIG 4A,B), and 10-degree lateral views are routine views for radiographic evaluation of the distal radius. The 10-degree lateral view (FIG 4C,D) clearly visualizes the ulnar two-thirds of the articular surface from the base of the scaphoid facet through the entire lunate facet. Oblique views may also be helpful for evaluating the injury. The radiographic features of distal radius fractures include the following 8: Carpal facet horizon ( FIG 5A,B). This is the radiodense horizontal landmark that is used to identify the volar and dorsal rim on the PA view. If the articular surface has palmar tilt, the x-ray beam is tangential to the subchondral bone of the volar portion of the lunate facet, with the result that the carpal facet horizon identifies the volar rim. However, if the articular surface has displaced into dorsal tilt, the x-ray beam becomes tangential to the subchondral bone of the dorsal portion of the lunate facet instead, and the carpal facet horizon identifies the dorsal rim (not shown). The carpal facet horizon corresponds to the portion of the articular surface visualized on the 10-degree lateral x-ray projection. Teardrop angle (normal 70 ± 5 degrees; FIG 5C,D). The teardrop angle is used to identify dorsiflexion of the volar 79 rim of the lunate facet. Depression of the teardrop angle to a value less than 45 degrees indicates that the volar rim of the lunate facet has rotated dorsally and impacted into the metaphyseal cavity (axial instability pattern of the volar rim). This may be associated with axial and dorsal subluxation of the carpus. Restoration of the teardrop angle is necessary to correct this type of malreduction.
---
### FIG 5 • A. Carpal facet horizon (arrows). Used to differentiate between the volar and dorsal rim on the PA projection. B. Origin of carpal facet horizon. The carpal facet horizon is formed by that part of the articular surface that is parallel to the x-ray beam and depends on whether the articular surface is in volar or dorsal tilt. C. Normal teardrop angle. D. Depressed teardrop angle in this case is caused by axial instability of the volar rim. E. Normal articular congruency. F. Abnormal articular congruency, indicating disruption across the volar and dorsal surfaces of the lunate facet. G. AP interval is the point-to-point distance between the corners of the dorsal and volar rim. H. DRUJ interval. I. Normal lateral carpal alignment. J. Dorsal subluxation of the carpus. Congruency of the articular surface ( FIG 5E,F). The subchondral outline of the articular surface of the distal radius is normally both congruent and concentric with the subchondral outline of the base of the lunate; a uniform joint interval should be present between the radius and lunate along the entire articular surface. When the joint interval between these articular surfaces is not uniform, discontinuity and disruption of the lunate facet has occurred. Anteroposterior (AP) distance (normal: females 18 ± 1 mm, males 20 ± 1 mm; FIG 5G). The AP distance is the point-to-point distance from the dorsal to palmar rim of the lunate facet. It is best evaluated on the 10- degree lateral view. Widening of the AP distance implies discontinuity of the volar and dorsal portion of the lunate facet. 80 DRUJ interval ( FIG 5H). The DRUJ interval measures the degree of apposition between the head of the ulna and the sigmoid notch (normal: 2 mm or less). This parameter is best measured with the forearm in neutral rotation. Significant widening of the DRUJ interval implies disruption of the DRUJ capsule and TFCC. Coronal malalignment of the distal radial fragment is often suggested by widening of the DRUJ interval. Lateral carpal alignment ( FIG 5I,J). On the 10-degree lateral view and with the wrist in neutral position, the rotational center of the capitate normally aligns with a line extended from the volar surface of the radial shaft. Dorsal rotation of the volar rim results in a dorsal shift of lateral carpal alignment as the carpus subluxes dorsally. This may place the flexor tendons at a mechanical disadvantage, affecting grip strength. In addition to injury films, reassessing radiographs after reduction can be very helpful in determining the personality and specific components of a particular fracture. Computed tomography (CT) scans allow higher resolution and definition of fracture characteristics, particularly for highly comminuted fractures. Preferably, an attempt at closed reduction before obtaining a CT scan will help limit distortion of the image. CT scans are particularly helpful for visualizing intra-articular fragments as well as DRUJ disruption and incongruity of the sigmoid notch. Clinical evaluation of the carpus, interosseous membrane, and elbow, combined with radiographic studies when needed, should be included to identify the presence of other injuries that may affect the decision for a particular treatment. ## SURGICAL MANAGEMENT
Operative Indications General parameters Shortening of more than 5 mm Radial inclination of less than 15 degrees Dorsal angulation of more than 10 degrees Articular step-off of more than 1 to 2 mm Depression of teardrop angle to less than 45 degrees Volar instability DRUJ instability Displaced articular fractures Young, active patients are generally less tolerant of residual deformity and malposition. ## Preoperative Planning Extra-articular fractures: multiple options Volar plating through a volar approach Dorsal plating through a dorsal approach Fragment-specific fixation Radial pin plate (TriMed, Inc., Valencia, CA) and volar buttress pin (TriMed, Inc.) fixation through a limited incision volar or standard volar approach Radial pin plate and either an ulnar pin plate dorsally or a dorsal buttress pin through a dorsal or combined approach Fixed-angle radial column plate using either a volar or dorsal radial column exposure Volar hook plates with or without radial column plate using a volar approach Intra-articular fractures: Surgical approach is based on the fragmentation pattern. Unstable volar rim fragments require a standard volar or rarely an ulnar-based volar approach for adequate visualization. Fixation of the radial column can be done either through a limited-incision volar radial approach (Henry), a volar approach with radial extension combined with pronation of the forearm, or a dorsal approach with radial extension combined with supination of the forearm. Fixation of dorsal, ulnar corner, and free intra-articular fragments can be done through a dorsal approach. ## Positioning The patient is supine. The affected arm is placed on an arm board out to the side. C-arm If the arm board is radiolucent, the C-arm can be brought in from the end of the arm board and images taken directly with the wrist on the arm board. If the arm board is not radiolucent, the C-arm is brought in along the side of the table from the foot, and the arm is brought off the arm board for each image. ## Operative Sequence Initial restoration of radial column length with traction and provisional trans-styloid pin fixation can be helpful to hold the carpus out to length and unload the lunate facet. The volar rim is reduced and fixed. For complex injuries, this is usually the keystone on which to build stable fixation. The dorsal ulnar corner is reduced and fixed if necessary. Free intra-articular fragments and the dorsal wall fragments are reduced and stabilized as necessary. Bone graft is applied if the metaphyseal defect is large. Fixation is completed with a radial column plate. Depending on the nature of the fracture, fixation may be a subset of these steps. ## Approach The repair is undertaken by means of one of the following approaches: Limited-incision volar approach (distal limb of Henry approach) Dorsal approach Extensile volar approach (FCR approach) Volar ulnar approach 81
---
## TECHNIQUES
-
Limited-Incision Volar Approach Make a longitudinal incision along the radial side of the radial artery. Proximally, insert the tip of a tenotomy scissors over the surface of the first dorsal compartment sheath and sweep distally to elevate a radial skin fla Pronate the forearm and sharply expose the bare area of bone over the radial styloid situated in the interval between the first and second dorsal compartments ( TECH FIG 1A). Leaving the distal 1 cm of sheath intact, open the first dorsal compartment proximally and mobilize the tendons. Reflect the insertion of brachioradialis to complete exposure of the radial column ( TECH FIG 1B). If needed, the dissection can be continued through the floor of the incision to expose the volar surface. Detach the insertion of the pronator quadratus radially and distally and reflect to the ulnar side. Alternatively, create an ulnar skin flap superficial to the artery and continue the exposure through a standard volar approach. Exposure of the ulnar side of the volar rim may be difficult with this approach, particularly with large patients or in the presence of significant swelling. TECH FIG 1 • Limited-incision volar approach. A. Sweeping tenotomy scissors to elevate radial skin flap off first dorsal compartment. B. Deep exposure of the radial column. 2. ## Dorsal Approach Make a longitudinal skin incision dorsally along the ulnar side of the tubercle of Lister ( TECH FIG 2A). Identify the extensor digitorum communis (EDC) tendons visible proximally through the translucent extensor sheath. Incise the dorsal retinacular sheath. Develop the interval between the third and fourth compartment tendons for access to dorsal wall and free, impacted articular fragments. Resect a segment of the terminal branch of the posterior interosseous nerve ( TECH FIG 2B). Transpose the extensor pollicis longus (EPL) from the tubercle of Lister if required for additional exposure. Develop the interval between the fourth and fifth extensor compartments to gain access to the ulnar corner fragment. A dorsal capsulotomy can be done to visualize the articular surface and carpus as needed. To gain access to the radial column through a dorsal exposure, extend the incision distally and elevate a radial subcutaneous flap and supinate the wrist. To gain access to the distal ulna, the incision can be extended as needed to elevate an ulnar subcutaneous fla 82
---
TECH FIG 2 • Dorsal approach. A. Initial incision. B. Deep exposure. 3. ## Extensile Volar Approach Start the skin incision at the distal pole of the scaphoid and angle it toward the radial border of the flexor wrist crease. Continue the incision proximally along the FCR tendon ( TECH FIG 3A). Continue the exposure with deeper dissection in the plane between the FCR tendon and the radial artery. Separate the interval between the contents of the carpal tunnel and the surface of the pronator quadratus with blunt dissection with a finger or sponge. Retract the FCR, median nerve, and flexor tendons to the ulnar side ( TECH FIG 3B). Divide the radial and distal attachment of the pronator quadratus and reflect it to the ulnar side. Limit the distal dissection to no more than 1 or 2 mm beyond the distal radial ridge to avoid detachment of the volar wrist capsular ligaments ( TECH FIG 3C).
---
TECH FIG 3 • Extensile volar approach. A. Initial incision. B. Line of incision in pronator quadratus. C. Deep exposure. Reflect the brachioradialis from its insertion on the distal fragment if needed. Bone graft can be applied through the radial fracture defect. If access to the radial column is needed, elevate a radial subcutaneous flap superficial to the radial artery and continue the exposure along the superficial surface of the first dorsal compartment tendon sheath as described with the limited incision volar approach. Pronate the wrist, and retract the radial skin flap to expose the radial column. 4. ## Volar Ulnar Approach 83 Make a longitudinal skin incision along the radial border of the flexor carpi ulnaris (FCU) tendon ( TECH FIG 4A). Reflect the FCU tendon and the ulnar artery and nerve to the ulnar side ( TECH FIG 4B). With blunt finger or sponge dissection, develop the plane along the superficial surface of the pronator quadratus.
---
TECH FIG 4 • Volar ulnar approach. A. Incision. B. Initial exposure. C. Completed exposure. Retract the contents of the carpal tunnel to the radial side ( TECH FIG 4C). Reflect the pronator quadratus from its ulnar and distal attachment. Do not dissect more than 1 to 2 mm beyond the distal radial ridge to avoid detachment of the volar wrist capsule. 5. ## Volar Rim Fragment Small Fragment Plate Fixation Small fragment volar plate fixation may be indicated for treatment of a volar instability pattern of the volar rim. The fragment must be of adequate size to allow buttressing on the volar surface by the plate ( TECH FIG 5A,B). If volar rim fragmentation is associated with an axial instability pattern, the fragment must be of adequate size and strength to allow angular correction of the dorsiflexion deformity with distal locked screw purchase. An appropriate volar approach is used to expose the volar rim fragment. If a shortened radial column fragment is present, restoring radial length and provisionally holding with a transstyloid Kirschner wire may simplify reduction by unloading the lunate facet. Reduce the volar rim fragment; this should restore normal carpal alignment. Apply a small fragment volar plate and fix it proximally with cortical bone screws. If needed, secure the distal fragment with standard or locking bone screws ( TECH FIG 5C,D). Volar Buttress Pin Fixation Volar buttress pin fixation is indicated for unstable volar rim fragments and can be a particularly effective technique when faced with small distal fragments or axial instability patterns of the volar rim (depressed teardrop angle; TECH FIG 6A,B). Use an appropriate volar approach to expose the volar rim fragment. If necessary, restore radial length and provisionally hold it with a trans-styloid Kirschner wire to unload the lunate facet. Continue exposure for up to 1 to 2 mm beyond the distal radial ridge. Reduce the volar rim fragment as much as possible and note the orientation of the teardrop on the 10-degree lateral view. Insert two 0.045-inch Kirschner wires transverse to one another starting at an entry site 1 to 2 mm beyond the distal radial ridge. They should be placed within the center of the teardrop on the lateral view ( TECH FIG 6C). Confirm the position of the Kirschner wires with C-arm. If necessary, the volar buttress pin may be contoured with a wire bender to match the flare of the volar surface of the distal radius. Adjust the trajectory of the legs of the implant to make a 70-degree angle with the base of the wire form. Cut the legs to appropriate length, leaving the ulnar leg 2 to 3 mm longer than the radial leg ( TECH FIG 6D). Place the ulnar leg of the buttress pin adjacent to the entry site of the ulnar Kirschner wire, then remove the ulnar Kirschner wire and immediately engage the ulnar leg of the volar buttress pin into the hole. Repeat the procedure with the radial leg. Impact and seat the implant into the volar rim fragment. Apply to the proximal shaft fragment to correct any dorsiflexion of the volar rim ( TECH FIG 6E). 84
---
TECH FIG 5 • Volar rim fixation with small fragment plate. A,B. Shear fracture of volar rim with volar instability pattern. C,D. Fixation with small fragment plate.
---
TECH FIG 6 • Volar rim fixation with a volar buttress pin. A,B. Articular fracture with axial instability pattern of volar rim. C. Insertion of Kirschner wires. D. Cutting and inserting legs. E. Reduction of teardro (continued) 85
---
TECH FIG 6 • (continued) F. Completed fixation. G,H. Volar buttress pin fixation to control rotational alignment of volar rim fragment. Fine-tune the reduction and fix it proximally with a minimum of two screws and washers ( TECH FIG 6F-H). If needed, a blocking screw can be placed just proximal to the end of the buttress pin to prevent shortening of the fragment. Alternatively, a wire plate can be used to secure the implant proximally. Volar Hook Plate Fixation Volar hook plates are useful alternative to volar buttress pins for fixation of unstable volar rim fragments, particularly for small distal fragments associated with axial instability patterns of the volar rim or volar instability patterns associated with volar shear fractures. Expose and reduce the volar rim fragment according to the technique described for the volar buttress pin. If possible, provisionally hold the reduction with a Kirschner wire in the radial and ulnar border. Position and insert a 0.045-inch Kirschner guidewire distally down the center of the teardrop along the intended path of the hooks of the plate. Confirm the position with the C-arm. For hard bone, place a volar hook plate drill guide over the guidewire, and predrill the cortex for insertion of the hooks. In osteoporotic bone, this step may not be necessary. Insert the volar hook plate over the guide pin and seat into the distal fragment ( TECH FIG 7A-C). Place a distal locking peg of appropriate length after predrilling with a fixed-angle peg guide. Fix the plate proximally with standard bone screws.
---
TECH FIG 7 • Volar rim fixation with a volar hook plate. A. Insertion of volar hook plate over guide pin through predrilled holes. B. Completed fixation. C. Final intraoperative x-ray showing placement of two volar hook plates into separate distal rim fragments. 1. ## Radial Column Fixation with Radial Plate 86 Expose the radial column with any of the approaches previously described. Sharply expose the interval between the first and second dorsal compartments over the tip of the radial styloid. Release the tendon sheath of the first dorsal compartment proximally, leaving the last 1 cm of tendon sheath intact. Retract the tendons of the first dorsal compartment volarly for distal exposure and dorsally for proximal exposure along the shaft. Release the terminal insertion of the brachioradialis to complete exposure of the radial column. After the initial fracture exposure, restore radial length with traction and ulnar deviation of the wrist. If needed, structural bone graft can be inserted through the radial fracture defect. Insert a 0.045-inch trans-styloid Kirschner wire angled to engage the far cortex of the proximal fragment ( TECH FIG 8A). When the advancing tip of the Kirschner wire hits the far cortex, place a drill sleeve over the Kirschner wire and use as a drill stop to limit penetration of the far cortex to 1 to 2 mm. Once the radial column is temporarily fixed with a trans-styloid Kirschner wire, reduce and stabilize other volar, dorsal, and articular fracture elements before completing fixation of the radial column.
---
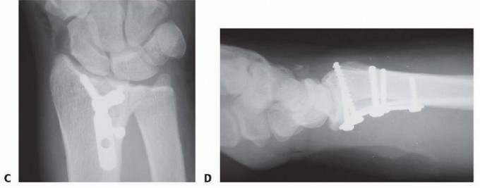
TECH FIG 8 • Radial column fixation with radial pin plate. A. Insertion of trans-styloid Kirschner wire. B,C. Creation of pin hook. D,E. Completion and impaction of pin hook. F,G. Completed radial column fixation. Select a distal pin hole and slide a radial pin plate over the trans-styloid Kirschner wire. Proximally, guide the plate under the tendons of the first dorsal compartment and secure it initially with a single 2.3-mm bone screw. Insert a second trans-styloid Kirschner wire through a nonadjacent distal pin hole. Use the previous technique to limit penetration of the Kirschner wire through the far cortex to 1 to 2 mm. Mark a reference point where the Kirschner wire crosses the surface of the plate. Withdraw the Kirschner wire 1 cm and cut it 1 cm or more above the reference mark ( TECH FIG 8B). Position the reference mark between the lower two posts of a wire bender and create a hook ( TECH FIG 8C). By starting the bend at the reference mark, this ensures that a Kirschner wire of proper length that extends 1 to 2 mm beyond the far cortex is created. Complete the bend with a pin clamp, overbending slightly to allow the hook to snap into an adjacent pin hole or over the edge of the plate ( TECH FIG 8D). With a free 0.045-inch Kirschner wire, predrill a hole to accept the end of the hook. Impact the Kirschner wire with a pin impactor and fully seat the hook ( TECH FIG 8E). Repeat the procedure with the second Kirschner wire. Complete proximal fixation with 2.3-mm cortical bone screws ( TECH FIG 8F,G). 2. ## Radial Column Fixation with Fixed-Angle Radial Column Plate 87 Expose and reduce the radial column with the technique described previously. Position the fixed-angle radial column plate and temporarily fix with a Kirschner wire both proximally and distally ( TECH FIG 9A). Confirm reduction of the radial column and plate position with the C-arm. Using fixed-angle drill guides, drill, measure, and insert locking fixation pegs of appropriate length into the distal fixed-angle holes in the plate and standard bone screws proximally into the shaft ( TECH FIG 9B-E).
---
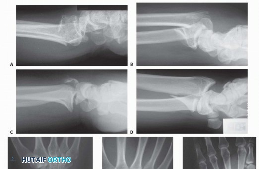
TECH FIG 9 • Radial column fixation with fixed-angle radial column plate. A. Provisional placement of fixed-angle radial column plate. B. Drilling holes for distal fixed-angled pegs. C. Completed fixation. D. Unstable fracture injury films with segmental radial column comminution. E. Films 2 months postoperatively. Fixed-angle radial column support is used to avoid radial column shortening. 88 ## Ulnar Corner and Dorsal Wall Fixation Ulnar Pin Plate Through a dorsal approach, expose and reduce the dorsal ulnar corner fragment, dorsal wall fragment, or both. Insert a 0.045-inch Kirschner wire through the fragment ( TECH FIG 10A), angled proximally and slightly radially to purchase the far cortex of the proximal fragment. Insert structural bone graft into the metaphyseal defect if present to support the subarticular surface. If the plate is aligned along the pulnar border of the shaft, add a 15-degree torsional bend to the plate (twist the proximal end of the plate into slight supination). Often, a little extra extension can be contoured at the distal end of the plate ( TECH FIG 10B).
---
TECH FIG 10 • Ulnar corner fixation with an ulnar pin plate. A. Insertion of the interfragmentary Kirschner wire. B. Contouring the plate. C. Application of the plate and insertion of the initial fixation screw. D. Fixation completed. E,F. Radial and ulnar pin plate fixation of a three-part articular pattern (radial column and ulnar corner fragment). Slide the plate over the Kirschner wire and fix it proximally with a 2.3-mm bone screw ( TECH FIG 10C). Insert a second Kirschner wire if the fragment is large enough. Create and impact hooks as described for the radial pin plate ( TECH FIG 10D-F). If the Kirschner wire tips protrude beyond the volar cortex, they can be cut flush to the bone surface through a volar incision. Dorsal Buttress Pin Through a dorsal approach, expose and reduce the dorsal ulnar corner fragment, dorsal wall fragment, or both. Insert structural bone graft into the metaphyseal defect if present to support the subarticular surface. Insert two 0.045-inch Kirschner wires through the dorsal cortex and behind the subchondral bone; check the position with 89 the C-arm ( TECH FIG 11A). The Kirschner wires should be separated by about 1 cm and should be transverse to the longitudinal axis of the shaft; on the lateral view, it may be necessary to angle the Kirschner wires proximally to avoid penetration into the joint if the entry site is near the dorsal rim. Initially placing a dorsal buttress pin upside-down on the bone can be helpful as a template in order to visualize the proper position and insertion angle of the Kirschner wires ( TECH FIG 11B). Particular attention should be given to determining whether the insertion angle should include some pronation or supination in order to avoid torsion of the wire form as it is secured proximally.
---
TECH FIG 11 • Dorsal buttress pin fixation. A. The position of the Kirschner wires is checked with a Carm before inserting the implant. B. Placing an implant upside-down on bone to template the trajectory of the Kirschner wires. C. Inserting the dorsal buttress pin. D. Buttress pin fixation completed. E,F. Fixation of a three-part articular fracture with radial column and ulnar corner fragment with radial column plate and dorsal buttress pin. Ensure that the leading tips of the legs of the dorsal buttress pin are straight and cut to the required length. Leave the ulnar leg 2 to 3 mm longer than the radial leg so one leg can be engaged at a time. Direct the legs proximally if needed to match the insertion angle of the Kirschner wires. Place the ulnar leg of the buttress pin adjacent to the insertion site of the ulnar Kirschner wire, and then withdraw the Kirschner wire and immediately engage the leg in the hole ( TECH FIG 11C). Repeat with the radial Kirschner wire to engage the radial leg of the buttress pin. Impact and seat the buttress pin ( TECH FIG 11D). Fine-tune the reduction and complete the fixation proximally with one or two 2.3-mm cortical bone screws and washers ( TECH FIG 11E,F). If needed, a blocking screw can be placed just proximal to the end of the buttress pin to prevent shortening of the fragment. Dorsal Hook Plate Fixation Dorsal hook plates are another alternative for fixation of dorsal fragments. Expose and reduce ulnar corner and/or dorsal wall fragments according to the technique described previously. Position and insert a 0.045-inch Kirschner guidewire distally along the intended path of the hooks of the plate. Confirm the position with the C-arm. If needed, predrill the holes for insertion of the hooks. In osteoporotic bone, the hooks can be simply pushed into the fragment ( TECH FIG 12A). Verify the position and reduction with C-arm and complete fixation with proximal bone screws ( TECH FIG 12B). 90
--- TECH FIG 12 • Dorsal hook plate fixation. A. Placement of dorsal hook plate. B. Completed fixation. 1. ## Free Articular Fragment Support with a Buttress Pin Free articular fragments impacted into the metaphyseal cavity can be reduced and stabilized by providing support to the subchondral surface of the fragment, in combination with peripheral cortical stabilization circumferentially around the articular fragment. In some cases, impacted free articular fragments may be adequately supported by a properly applied locking plate to provide subchondral support. TECH FIG 13 • A. Depressed articular fragment. B. Support of free articular fragment with a buttress pin. C. Dorsal buttress pin to support fragment from endosteal surface. An alternative method is to use structural bone graft to support the free articular fragment in combination with fragment-specific fixation of the surrounding cortical shell, resulting in containment of the graft within the metaphysis. A dorsal buttress pin can also be used for direct subchondral support of impacted articular fragments. The legs of the implant are cut to length and inserted through the dorsal defect, slid distally directly behind the articular fragment, and then fixed proximally with a screw and washer. The articular fragment is sandwiched between the base of the lunate and the legs of the implant ( TECH FIG 13A-C). 91 PEARLS AND PITFALLS **---
| Determining ▪ Correlation of the carpal facet horizon with the lateral view allows identification whether a whether a fragment is dorsal or volar. fragment is ▪ If the articular surface is tilted dorsally, the carpal facet horizon identifies the on the volar dorsal rim. or dorsal side ▪ If the articular surface is tilted volarly, the carpal facet horizon identifies the of the distal volar rim. radius on the PA view Reduction of ▪ Identify and initiate reduction with the fragment that best stabilizes the carpus to unstable its normal spatial relationshi Reduction of the volar rim of the lunate facet, fracture paying particular attention to restoration of length and correction of the teardrop pattern angle, is often the keystone to management of complex articular injuries. In addition, initial reduction of the radial column with a provisional trans-styloid Kirschner wire can help restore carpal length and unload impaction along the |
---
lunate facet. 1. The addition of structural bone graft, either through the fracture line at the base of the radial column or through a dorsal defect, can help stabilize the reduction during operative fixation. Coronal malalignment of the distal fragment with widening of the DRUJ 1. Correction of coronal malalignment by reducing radial translation of distal fragments before completing volar fixation both proximally and distally. 2. An elastic, slightly overcontoured radial column plate such as a radial pin plate can help close sagittal fracture gaps and seat the sigmoid notch against the ulnar head. 3. Assess the clinical stability of the DRUJ and consider TFCC repair or ulnar styloid fixation as needed. Small or dorsally rotated volar rim fragment; loss of fixation of small volar ulnar fragment 4. Ensure adequate fixation of volar ulnar corner fragment. 5. Consider volar buttress pin or volar hook plate fixation for extremely distal or dorsally rotated volar rim fragments. 6. Avoid release of the volar wrist capsule. When necessary, the legs of an implant can be inserted through the capsule. 7. Larger fragments may have adequate support with a standard volar plate. Unrecognized carpal ligament injury 8. Maintain a high index of suspicion for ligamentous injuries of the carpus. Consider arthroscopic evaluation, particularly in the context of radial or dorsal shear fractures, carpal avulsion/instability patterns, or articular fractures associated with a significant longitudinal step-off between the scaphoid and lunate facets. Complications Missed fragment: fracture displacement after surgery 9. Careful analysis of radiographic features both before and during reduction; CT scan when needed. 10. Preoperative planning to select approaches that allow complete visualization of all major fragments. 11. Complete set of implants and instruments available before surgery. 12. Evaluate stability of fixation with range of motion under observation before closing operative incision. Loss of radial length: proximal migration of articular surface 13. Graft the metaphyseal defect when needed with structural bone graft. 14. Use implants that buttress the subchondral bone. DRUJ dysfunction: 1. Assess clinical stability of DRUJ at the end of procedure. 2. Use radial column plate to push distal fragment against ulna to seat sigmoid | pain, notch against ulnar head. instability, or ▪ Evaluate and repair TFCC and capsular tears when necessary. limitation of ▪ Reduce and fix ulnar corner and volar rim fragments to restore congruity of forearm sigmoid notch. rotation ▪ Ensure that radial length is restored. 1. Mild, uncomplicated postoperative ulnar-sided wrist pain often spontaneously resolves over 6-12 months. Stiffness: ▪ Early range of motion and mobilization of soft tissues slow, ▪ Avoidance of constricting bandages and postoperative swelling restricted ▪ Consider occupational therapy when needed. return of movement of wrist, forearm, and fingers; associated with pain Tendinitis or ▪ Use implants that have a low distal profile. rupture: pain ▪ Avoid placing sharp, bulky edges of hardware in proximity to tendons. with resisted ▪ Cover plates distally with retinacular flap when needed. motion, loss ▪ Consider use of buttress pins (which have a very low profile) when possible. of tendon ▪ Remove any pins or hardware that back out or become prominent function, postoperatively. clicking and ▪ Ensure that volar plates do not extend up beyond distal volar ridge into soft pain tissues. 2. Avoid long screws or pins, particularly when placed from volar to dorsal. Distal screws should normally be 2-4 mm shy of the dorsal cortical margin. | ---|---|--- 92 ## POSTOPERATIVE CARE At the end of the surgical procedure, confirm the stability of fixation as well as the stability of the DRUJ. If stable, apply a removable wrist brace and instruct the patient to initiate gentle range-of-motion exercises of the fingers, wrist, and forearm twice or more daily as tolerated. For noncompliant patients or injuries with tenuous fixation, use a cast for 2 to 3 weeks postoperatively or until radiographic evidence of healing is identified. Avoid resistive loading across the wrist until signs of radiographic healing are present; typically, this occurs by 4 weeks postoperatively. Specifically instruct older patients not to push up out of a chair or lift heavy objects after surgery. If there is persistent stiffness after 4 weeks, initiate physical and occupational therapy. ## OUTCOMES Konrath and Bahler 5 reported 27 patients with at least 2 years of follow-up: One fracture lost reduction. Patient satisfaction was high (average Disabilities of the Arm, Shoulder, and Hand [DASH] scores 17 and Patient-Rated Wrist Evaluation [PRWE] scores 19 at follow-up). In only three cases was hardware removed; no tendon ruptures occurred. Schnall et al 10 reported on two groups of patients: group I had sustained high-energy trauma and group II had lower energy injuries. Group I patients averaged return to work in 6 weeks, with all fractures uniting without loss of position or deformity. Two patients in group I required removal of painful hardware. Group II patients averaged 2 degrees of loss of volar tilt, a 0.3-mm change in ulnar variance, and no loss of joint congruity at follow-u Grip strength in group II patients was 67% of the contralateral side. Benson et al 3 reported on 85 intra-articular fractures in 81 patients with a mean follow-up of 32 months. There were 64 excellent and 24 good results, with an average DASH score of 9 at final follow-u Flexion and extension motion was 85% and 91% of the opposite side at final follow-u Grip strength was 92% of the opposite side at final follow-u Sixty-two percent of patients had a 100-degree arc of flexion-extension and normal forearm rotation by 6 weeks postoperatively. Postoperative radiographic alignment was maintained at follow-u There were no cases of symptomatic arthritis. Abramo et al 1 reported a randomized, prospective study on 50 unstable fractures too unstable for closed methods of management, with fractures randomized to either external fixation or fragment-specific fixation and with follow-up at 1 year1 and 5 years.6 At 1 year, internal fixation resulted in better grip strength and range of motion. No difference in subjective outcome was observed at 5 years. There were five malunions in the external fixation group, compared to only one malunion in the fragment-specific grou Differences in grip strength tended to equalize at 5-year follow-u Saw et al 9 reported on 22 unstable C2 and C3 fractures of the distal radius treated with fragment-specific fixation with a minimum of 6 months follow-u At follow-up, radial inclination was restored to an average of 25 degrees and volar tilt to 8 degrees. Twenty of 22 fractures had restoration of articular congruity to less than 2 mm. Mean flexion/extension was 50 to 63 degrees, and mean pronation/supination arc of 149 degrees. Mean subjective PRWE score at follow-up was 20. Treatment approach was felt to be a powerful tool for difficult fractures, but acknowledge a significant learning curve. ## COMPLICATIONS Stiffness: common early, uncommon at follow-up Recovery can be accelerated by anatomic fixation that is stable enough to start motion immediately after surgery. The relative degree of trauma to the bone and soft tissues, combined with underlying physiologic factors, is also a critical factor that can lead to slow recovery of motion or residual stiffness. Malunion or nonunion: rare Loss of reduction may occur, particularly if a major fracture component is missed and left untreated. In addition, osteoporosis, failure to graft the metaphyseal defect, and associated DRUJ injuries may contribute to loss of reduction or malunion. Pin plates are able to resist translational displacements but are less effective for preventing loss of length; they require osseous contact between the proximal and distal fragments or additional support by bone graft or a secondary implant that will buttress the subchondral surface. Nonunions are extremely rare. Tendinitis or tendon rupture: uncommon If pins are noted postoperatively to back out, they should be removed. Leaving the distal 1 cm of tendon sheath of the first dorsal compartment intact helps avoid tendon contact with hardware. Using low-profile implants dorsally, covering the distal ends with a strip of retinacular sheath or both is also helpful. The surgeon should avoid leaving screws or pins protruding from the dorsal or volar surfaces of the bone. Painful hardware: rare Painful hardware can be related to migration of a pin or settling of the fracture proximally. Overbending pin hooks and using bone graft or buttressing implants can help avoid this problem. Remove hardware when painful. Late arthritis is uncommon and related to the articular damage at the time of injury as well as the quality of the articular restoration. Infections, bleeding, carpal tunnel syndrome, and other nerve injuries are uncommon and often related to the primary injury. Complex regional pain syndrome is uncommon. ##
Scientific References
- ** 93** 1. Abramo A, Kopylov P, Geijer M, et al. Open reduction and internal fixation compared to closed reduction and external fixation in distal radial fractures. Acta Orthop 2009;80(4):478-485. 2. Barrie K, Wolfe S. Internal fixation for intraarticular distal radius fractures. Tech Hand Up Extrem Surg 2002;6:10-20. 3. Benson LS, Minihane KP, Stern LD, et al. The outcome of intraarticular distal radius fractures treated with fragment-specific fixation. J Hand Surg Am 2006;31(8):1333-1339. 4. Fernandez DL, Jupiter JB. Fractures of the Distal Radius, ed 2. New York: Springer, 2002:42-50. 5. Konrath G, Bahler S. Open reduction and internal fixation of unstable distal radius fractures: results using the trimed fixation system. J Orthop Trauma 2002;16:578-585. 6. Landgren M, Jerrhag D, Tägil M, et al. External or internal fixation in the treatment of non-reducible distal radial fractures? Acta Orthop 2011;82(5):610-613. 7. Leslie BM, Medoff RJ. Fracture-specific fixation of distal radius fractures. Tech Orthop 2000;15:336-352. 8. Medoff R. Essential radiographic evaluation for distal radius fractures. Hand Clin 2005;21:279-288. 9. Saw N, Roberts C, Cutbush K, et al. Early experience with the TriMed fragment-specific fracture fixation system in intraarticular distal radius fractures. J Hand Surg Eur Vol 2008;33(1):53-58. 10. Schnall SB, Kim BJ, Abramo A, et al. Fixation of distal radius fractures using a fragment specific system. Clin Orthop Relat Res 2006;445:51-57. 11.** Swigart C, Wolfe S. Limited incision open techniques for distal radius fracture management. Orthop Clin North Am 2001;32:317-327
You Might Also Like