Anterior Cervical Corpectomy and Fusion: A Masterclass in Decompression and Stabilization

Key Takeaway
This masterclass guides you through an anterior cervical corpectomy and fusion, a critical procedure for spinal cord compression. We'll meticulously cover patient selection, comprehensive preoperative planning, intricate surgical anatomy, and detailed intraoperative execution from incision to instrumentation. Learn to manage neurovascular risks, optimize graft placement, and prevent complications, ensuring thorough decompression and stable fusion for myelopathic patients.
Definition
Cervical myelopathy describes a constellation of signs and symptoms resulting from cervical spinal cord compression. Common symptoms include gait instability, clumsiness and loss of manual dexterity, and glove-like (rather than dermatomal) numbness of the hands. Because the presentation of myelopathy can be subtle, especially in its early manifestation, the diagnosis can be missed or wrongly attributed to “aging.” Surgical decompression is the mainstay of treatment and can be accomplished anteriorly (ie, corpectomy, discectomy and fusion, or both), posteriorly (ie, laminectomy and fusion or laminoplasty), or through a combined anterior-posterior approach depending on the pattern of spinal cord compression. Anterior corpectomy and fusion will be discussed in this chapter. Corpectomy is performed when retrovertebral compression of the spinal cord exists. If the compression is purely disc-based, corpectomy is not necessary, and an anterior cervical discectomy and fusion approach can be used instead. ## PATHOGENESIS Spondylotic changes (eg, bone spurs, disc degeneration with annular bulging, disc herniations) are the most common causes of cervical cord compression. Ossification of the posterior longitudinal ligament (OPLL) is another not uncommon cause of cord compression. It may arise in discrete locations or be continuous (FIG 1A,B).6 Kyphosis, whether primary or occurring after laminectomy, can also cause cord compression and myelopathy. Cervical myelopathy often arises in the setting of a congenitally narrowed cervical canal (FIG 1C,D). In these patients, the cord may have escaped compression during relative youth but not after the accumulation of a threshold amount of space-occupying spondylotic changes. Although cervical spondylotic myelopathy tends to be a disorder seen in patients 50 years of age or older, depending on the degree of congenital stenosis and the magnitude of the accumulated spondylotic changes, it can be seen in patients who are much younger. ## NATURAL HISTORY Patients with cervical myelopathy are generally thought to have a poor prognosis without surgical treatment, with a gradual stepwise progression of symptoms.1 ## HISTORY AND PHYSICAL FINDINGS Patients with cervical myelopathy present with a spectrum of upper and lower extremity complaints. Upper extremity complaints include a generalized feeling of clumsiness of the arms and hands, “dropping things,” inability to manipulate fine objects such as coins or buttons, trouble with handwriting, and diffuse (nondermatomal) numbness. Lower extremity complaints include gait instability, a sense of imbalance when walking, and “bumping into walls” when walking. Family members may comment that the patient walks as if he or she is intoxicated. Patients with severe spinal cord compression may also complain of Lhermitte symptoms: electric shock-like sensations that radiate down the spine or into the extremities with certain offending positions of the neck (can occur with either flexion or extension). Many myelopathic patients deny any loss of motor strength. Similarly, bowel and bladder symptoms, if present, may arise in the later stages of disease. Despite advanced degrees of spondylosis, many myelopathic patients may have no neck pain. Symptomatic nerve root compression can coexist in patients with myelopathy and presents as a myeloradiculopathy. Physical examination should include the following: Scapulohumeral reflex testing, which is positive with hyperactive elevation of the scapula or abduction of humerus upon tapping the spine of the scapula. This finding may be associated with high cervical cord compression from C1 to C3. Jaw jerk reflex, which is positive with hyperactive jerking of the jaw upon tapping. Test for the Babinski sign, which is positive if the great toe extends while the remaining toes fan apart upon stroking the lateral sole of the foot and then curving across the metatarsal heads medially Test for the Hoffman sign, which is positive with spastic flexion of the index finger and thumb upon flicking the distal phalanx of the middle finger Inverted radial reflex test, which is positive if one observes flexion of fingers rather than a reflex contraction of the brachioradialis upon tapping the brachioradialis tendon. Positive result suggests cord and root compression at the C5-C6 level. Test for finger escape sign, which is positive if the little finger (also possibly the ring finger) cannot be held in this position without falling into abduction and flexion for more than 30 seconds. This is suggestive of cervical myelopathy. Tandem gait test, which is positive if the patient demonstrates significant instability. A positive result confirms gait imbalance but in no way specifies the source of the imbalance as being the cervical spinal cord. It is important to note, however, that patients with cervical myelopathy may not necessarily have “classic” physical findings. One study3 demonstrated that about 20% of patients with myelopathy do not display any obvious physical findings (eg, hyperreflexia, Hoffman sign). Thus, the absence of physical findings does not necessarily exclude the diagnosis of cervical myelopathy.
---
### FIG 1 • OPLL. A. Continuous OPLL causing severe spinal canal stenosis from C1 to C4. B. Axial CT scan in a different patient demonstrating a central stalk of OPLL. C,D. Congenital canal in different patients. Congenital stenosis is defined as a ratio of the canal to the vertebral body of 0.8 or less, and it can be measured on lateral radiographs (C) or advanced imaging such as CT-myelography (D). The CT-myelogram shows superimposed spondylotic changes that further narrow the canal dimensions and cause cord compression.
IMAGING AND OTHER DIAGNOSTIC STUDIES A lateral radiographic view can be helpful in showing the amount of congenital cervical stenosis as well as sagittal alignment. Lateral views are consistent with congenital stenosis when the ratio of the diameter of the canal to the diameter of the vertebral body is less than 0.8. Particularly if OPLL is suspected, computed tomography (CT) scans (with or without myelograms, depending on whether a high-quality magnetic resonance imaging [MRI] is available) are helpful in delineating bony versus soft tissue pathology. ## DIFFERENTIAL DIAGNOSIS Of cervical myelopathy Amyotrophic lateral sclerosis Myopathies Peripheral neuropathy Syringomyelia Multiple sclerosis Diabetic neuropathy Brachial plexopathy ## NONOPERATIVE MANAGEMENT Surgery is generally the treatment of choice for symptomatic cervical myelopathy. Nonoperative treatment of cervical myelopathy is typically reserved for patients who cannot tolerate surgery.4 Controversy exists regarding the management of patients with asymptomatic spinal cord compression. In those with severe asymptomatic compression, consideration should be given to prophylactic surgery, particularly if cord signal changes are present, to prevent spinal cord injury with trauma (eg, central cord syndrome) (FIG 2).
---
### FIG 2 • Sagittal T2-weighted MRI demonstrating spinal cord signal changes.
SURGICAL MANAGEMENT The most common surgical options include anterior decompression and fusion (discectomy vs. corpectomy, depending on the absence or presence of retrovertebral cord compression, respectively), laminoplasty, and laminectomy with fusion. In general, anterior surgery is preferred when cord compression arises from three or fewer disc segments, as the incidence of fusion and graft complications increases substantially with greater number of segments fused. The presence of kyphosis or significant spondylotic neck pain also favors an anterior approach. Conversely, posterior approaches such as laminoplasty are favored when myelopathy arises from three or more motion segments and the cervical alignment is neutral or lordotic, particularly if the patient has minimal to no neck pain. For posterior surgery to adequately decompress the cord, however, enough lordosis must be present to allow cord to drift back after removal of the posterior tethers (lamina, flavum). Combined anterior and posterior surgery should be considered in cases of significant kyphosis, whether primary or postlaminectomy. Multilevel corpectomy as a stand-alone operation is generally not recommended due to a relatively high propensity for frank construct failure or sagging into kyphosis. Plating does not reliably prevent such failures. Failures of stand-alone multilevel corpectomies are even more likely in patients with significant postlaminectomy kyphosis. In cases where multilevel corpectomy is needed, supplemental posterior fixation should be considered. ## Preoperative Planning Preoperative CT and MRI scans should be scrutinized to analyze the course of the vertebral arteries and the width of the spinal canal requiring decompression. CT scans may provide additional information to MRI scans when it is unclear whether the compressive lesions are bony (OPLL, osteophytes) or soft disc material. ## Positioning For anterior cervical corpectomy and fusion, patients are positioned as described in Chapter SP-01. However, greater caution is necessary in positioning the myelopathic versus radiculopathic patient. In particular, one must ensure that the patient is not excessively extended beyond the tolerance of the compressed cord. The amount of extension tolerated preoperatively should be assessed and not exceeded intraoperatively. Gardner-Wells tongs traction is optional when performing corpectomy, especially if a multilevel corpectomy is needed. In general, traction can be generated intraoperatively for one or even two-level corpectomies through Caspar pins without need for external tong traction. Significant distraction on the cervical spine should be avoided until after the cord has been decompressed to avoid stretching the cord over compressive pathology. ## Approach The approach is similar to that for anterior cervical discectomy and fusion but generally needs to be more extensile to access multiple levels. (Please see Chap. SP-01 for further details.) The surgeon should ensure that wide exposure beyond the medial border of the uncinates is achieved, with appropriate elevation of the longus colli muscles bilaterally, to achieve a stable base for the self-retaining retractors as well as to provide orientation to the uncinates, which remain the critical landmarks for either corpectomy or discectomy surgery. ## TECHNIQUES
-
Evaluating the Limits for the Corpectomy The corpectomy is performed after the initial discectomies above and below the vertebra to be resected. The discectomies are performed from uncinate to uncinate as detailed in Chapter SP-11.
---
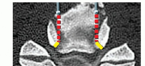
### TECH FIG 1 • Limits of corpectomy. A. The width of the corpectomy is based on that necessary to decompress the spinal cord and can be estimated on preoperative imaging. B. In general, a corpectomy spanning from the medial border of one uncinate to the other will be sufficient at the vertebral body level. (continued) The width of the corpectomy required to decompress the cord should be based on preoperative imaging studies (TECH FIG 1). Generally, sufficient decompression will occur if the width of the decompression spans from uncinate to uncinate. Wider decompressions beyond the medial border to the uncinates are typically performed at the disc level, where a combination of cord and root compression may occur, but are not necessary at the vertebral body level, where only the spinal cord is compressed.
---
TECH FIG 1 • (continued) C. At the level of the disc space, a wider decompression may be necessary for satisfactory root decompression (yellow lines). Staying within the uncinates will allow for thorough decompression while avoiding vertebral artery injury, unless a vertebral artery anomaly exists. Such anomalies are more likely to occur within the vertebral body rather than the disc spaces, and they should be recognized on preoperative imaging to avoid injury. 2. ## Cervical Corpectomy The edges of the corpectomy are longitudinally delineated with a high-speed burr from uncinate to uncinate to define the safe limits of the decompression. Next, a Leksell rongeur can be used to quickly remove large fragments of vertebral body bone (TECH FIG 2). This bone should be saved for grafting. Once the cancellous bone is removed grossly, fine decompression then proceeds with a high-speed burr. Under direct visualization, a high-speed burr is used to remove bone until a thin shell of posterior cortex remains. Microcurettes and Kerrisons are then used to flake off the remaining bone.
---
### TECH FIG 2 • Steps in bone removal. A. Leksell rongeur is used to remove large pieces of vertebral body bone after delineating the lateral edges of the corpectomy longitudinally along the medial border of the uncinates with a high-speed burr. B. After removing the bulk of the vertebra, a burr is used to sequentially remove bone in layers until only a thin remnant of bone remains. C. Finally, curettes and Kerrison rongeurs are used to remove the remaining bone. Adequate thinning of all bone to be removed allows the passage of smaller instruments that do not exert pressure on the spinal cord. Attention should be paid to maintaining the width of the corpectomy as it proceeds posteriorly toward the canal, as the tendency is to cone the decompression narrowly as one proceeds posteriorly. Vertebral body bleeding often hinders visualization during bone removal. The surgeon should take time to achieve hemostasis using bone wax (gently applied when the remaining vertebra is still thick) or powdered Gelfoam-thrombin (when the remnant vertebral body is very thin). Significant dorsal pressure should be avoided during these maneuvers to avoid inadvertently plunging into the spinal canal. Epidural bleeding is best controlled with bipolar cautery as well as Gelfoam-thrombin. 3. ## Removing the Posterior Longitudinal Ligament
If cord compression arises strictly from bony osteophytes or congenital narrowing of the spinal canal, the posterior longitudinal ligament (PLL) does not necessarily need to be resected. In general, we favor removing the PLL to confirm adequate decompression. If, however, there is an extruded or sequestered herniated disc behind the vertebral body or if OPLL is the cause of compression, the PLL should be resected. When resecting the PLL, a small curette is used to probe in between longitudinal fibers of the PLL until it can be passed dorsal to it. Once a plane is created, larger curettes or 2- or 3-mm Kerrisons can be used to complete the resection of the PLL (TECH FIG 3). If severe OPLL is present, the dura may be deficient or absent, and the surgeon should be prepared to perform a dural patch and possibly a subarachnoid lumbar drain. The presence of severe OPLL may favor a posterior approach, all other factors being equal, to avoid complications related to dural deficiencies. In severe OPLL, instead of removing the entire OPLL, an alternative technique is to allow it to float anteriorly by releasing its tethers at nonossified portions, then allowing the ossified portion to float anteriorly along with the underlying adherent dura. However, one downside to this approach can be the potential for regrowth of the OPLL.9
---
### TECH FIG 3 • A curette is used to tease apart the longitudinal fibers and create a plane dorsal to the PLL. Once this plane is identified, a curette or pituitary rongeur is used to elevate the PLL while a small Kerrison removes it. The surgeon must be careful never to exert compression on the cord by passing large instruments.
4. ## Grafting Options Autograft, allograft, or cages can be used. Autograft options include structural iliac crest or autologous fibula. Both are excellent graft materials but can be associated with significant donor site morbidity. Because of its shape, iliac crest is generally suitable for one- or sometimes two-segment corpectomy reconstruction. Fibula is favored for two- segment or more corpectomy reconstruction.8 Because of donor site morbidity issues, allograft fibula or cages filled with local autograft remain popular choices for corpectomy reconstruction. Local corpectomy bone can be used to provide the biologic stimulus for healing, allowing the allograft to serve both structural and osteoconductive roles. Local bone is packed in and around the allograft (TECH FIG 4).
---
### TECH FIG 4 • Local morselized autograft is packed around the strut graft and into the cleared-out uncinate regions. An additional benefit of wide discectomy is the ability to fuse the uncinate regions.
5. ## Endplate Preparation
The endplates above and below the corpectomy should be thoroughly decorticated and denuded of all cartilaginous material. To prevent excessive subsidence, we prefer not to remove as much endplate when performing corpectomy reconstruction as is done when performing anterior cervical discectomy and fusion. Nevertheless, it is helpful to remove the anterior lip on the caudal surface of the cephalad vertebra to allow for better contact of the graft to the endplate. The anterior lip is flattened to be level with the central concavity of the endplate (TECH FIG 5A). The structural integrity of the endplate is maintained in the central third to allow a stable loading surface for the graft. Preserving the curvature on the posterior third of the endplate protects the graft from kicking posteriorly into the canal.
---
### TECH FIG 5 • A. Carpentry of the inferior endplate of the cephalad level: preparing the inferior endplate of the cephalad segment (eg, the inferior endplate of C5 during a C6 corpectomy). Flattening the anterior lip and the anterior third of the endplate allows for proper insertion of a strut graft. They are flattened to be level with the central concavity of the endplate. The central third of the endplate is left as structurally sound as possible to resist excessive subsidence. The posterior third may be left intact to act as a barrier to posterior migration of the graft into the canal. The posterior lip, which is often a source of spondylotic compression, can be removed with a Kerrison after the corpectomy is completed to decompress the floor of the spinal canal. B,C. Carpentry of the superior endplate of the distal level. B. When performing corpectomy reconstructions in which the distal level is lordotic, if the superior endplate of that vertebra is not level with the ground, the graft may be more likely to kick out anteriorly as the compressive loads on the graft are converted into shear at the graft-endplate interface. C. One solution is to flatten the superior endplate of the caudal vertebra. The graft is now less likely to kick out, but the tradeoff is that it may be more likely to piston. If the posterior lip needs to be removed to decompress the cord, it can be done along the floor of the canal with a Kerrison after the corpectomy is completed. Kick out is most likely to occur at the caudal end of the construct where the compressive loads on the graft are translated into a shear force due to the relative lordosis of the caudal vertebra. To prevent kick out, the caudal endplate may be prepared parallel to the floor, such that the shear vector is minimized. The tradeoff is that doing so will result in a greater likelihood of subsidence (TECH FIG 5B,C). 6. ## Graft Sizing If a total corpectomy is performed, care is taken to find a graft that will fill most of the depth of the vertebral body but will still be small enough to stay well clear of the decompressed cord when recessed by 2 to 3 mm from the front of the vertebral body. A reasonable amount of distraction should be performed after the decompression. This can be done by the application of weights to cervical tongs or, in one- or some two-level situations, by Caspar pin distraction (the Caspar spreader is usually not long enough to span multilevel corpectomies). Care should be taken not to distract the spine until all compressive lesions on the cord have been removed to avoid tenting the cord over the compressive lesions. In general, the amount of distraction should result in overall vertebral column length that is slightly longer than it was preoperatively. Excessive distraction is more likely to result in subsequent graft pistoning and subsidence, as the spine naturally recoils to its initial state once the patient is upright. The wooden end of a cotton applicator can be whittled away until it just fits into the corpectomy. This can be used as a template for cutting the graft to appropriate length (TECH FIG 6).
---
### TECH FIG 6 • After applying distraction, a wooden applicator (Q-tip) serves as a useful device for measuring the length of the graft.
7. ## Graft Insertion The graft is gently tamped into the distracted corpectomy site (TECH FIG 7). Distraction is then released, and the stability of the graft is tested by gently pulling on the graft with a clamp. Because bony union is desired not only at the ends of the graft but also side to side between the shaft of the strut graft and the remaining vertebral bodies, intimate contact of graft to host is desirable in all regions. Any open spaces can be grafted with the local bone from the corpectomy. If autograft is scarce, it is best to save it for the ends of the allograft strut and fill the middle portion of the marrow cavity with a bone graft substitute. The uncinate regions at each disc level are a good surface for fusion and can be grafted with local bone. The residual disc spaces lateral to the medial border of the uncinates can be packed with local bone to facilitate fusion.
---
### TECH FIG 7 • The graft is inserted under either tong traction or Caspar pin distraction. The superior end of the graft is inserted first, and then the inferior end is gently tamped into position.
| 8. ## Anterior Cervical Plating Plating is performed as noted during anterior cervical discectomy and fusion. Stand-alone plated multilevel corpectomies (three or more disc levels) have been reported to be associated with high failure rates. Consideration should be given in such cases to supplemental posterior fixation.7 PEARLS AND PITFALLS --- | Limits of ▪ The uncinates should be used as boundaries to prevent injury to the vertebral corpectomy arteries while achieving wide enough cord decompression. Carpentry of ▪ The endplates should be thoroughly decorticated but preserved in the area of the caudal contact with the graft to avoid excessive subsidence. endplate of the cephalad vertebra Carpentry of ▪ If the inferior end of the construct is at a lordotic segment, the endplate should the cephalad be flattened such that the graft will sit parallel to the ground. Doing so will help endplate of avoid kickout, but the tradeoff is greater construct subsidence. Depending on the the caudal circumstances, supplemental posterior fixation may be needed. | | ** vertebra** |
| --- | --- | --- |
POSTOPERATIVE CARE If retraction time on the soft tissues of the neck has been more than 3 hours, a cuff-leak test should be considered before extubation to rule out the presence of edema that may lead to airway obstruction upon extubation. This is performed by deflating the endotracheal tube while obstructing the lumen of the tube, and then determining if there is a leak around the deflated tube. If there is no leak, consideration should be given to keep the patient intubated with the head elevated until a leak is detected. Steroids can also be given to decrease airway edema. The head of the bed should be elevated above 45 degrees in all patients postoperatively to diminish edema. Most patients are placed in a rigid cervical orthosis for 6 weeks. If a drain is placed, it should be followed closely and removed once the output is below an acceptable limit (ie, 30 mL per shift), typically on postoperative day 1. ## OUTCOMES Although the primary goal of surgery in myelopathy is to prevent progression, most patients actually note neurologic improvement after successful corpectomy and fusion.2 ## COMPLICATIONS Complications encountered during the anterior approach to the cervical spine are similar to those discussed in Chapter SP-11. The incidence of airway obstruction may be higher due to soft tissue edema from longer surgical retraction times. Neurologic injury is rare (1% to 2%). Most complications associated with cervical corpectomies are related to graft and plate problems.5 Dislodgement and pistoning of the graft into the adjacent vertebral bodies with loss of lordosis are potential postoperative complications.10 The risk increases as the number of levels corpectomized and the length of the strut graft increases. The rate of graft dislodgement ranged from 7% to 50% despite plating in one early series of multilevel corpectomy. To avoid such complications, hybrid corpectomy constructs can be used instead if the pattern of neural compression allows. Hybrid constructs combine corpectomies at levels with retrovertebral compression along with discectomies at levels demonstrating compression only at the level of the disc space (FIG 3). For a three-disc-level problem, a single-level corpectomy can be combined with a single-level anterior cervical discectomy and fusion. For a four-disc-level problem, two single-level corpectomies can be performed with an intervening intact vertebra or a single-level corpectomy with two single-level anterior cervical discectomies and fusions. Hybrid constructs avoid the negative biomechanical issues associated with long strut grafts and provide more points of segmental screw fixation, leading to constructs that are more stable and less likely to fail. If a posterior approach can be used instead in the patient with multilevel myelopathy, we prefer to do so. Ideal candidates for posterior surgery such as laminoplasty are those with multilevel cervical myelopathy, preserved lordosis, and little to no spondylotic neck pain. In patients like these, fusion and its attendant complications can be avoided altogether with laminoplasty.
---
### FIG 3 • Hybrid constructs. This patient had retrovertebral cord compression behind C5 and disc-based compression at C6-C7. Rather than doing a two-level corpectomy of both C5 and C6, a corpectomy-discectomy construct allows for a shorter strut graft and intermediate points of screw fixation into C6. Exacerbation of axial neck pain can occur after laminoplasty in those who have significant complaints preoperatively, although it rarely becomes of significance in those who have little to no axial pain preoperatively. Also, adequate decompression may not occur after laminoplasty in those with kyphosis, as cord driftback away from anterior compressive lesions is unreliable in this setting. ##
Scientific References
- 1. Clarke E, Robinson PK. Cervical myelopathy: a complication of cervical spondylosis. Brain 1956;79:483-510. 2. Ikenaga M, Shikata J, Tanaka C. Long-term results over 10 years of anterior corpectomy and fusion for multilevel cervical myelopathy. Spine 2006;31:1568-1574. 3. Rhee JM, Heflin JA, Hamasaki T, et al. Prevalence of physical signs in cervical myelopathy: a prospective, controlled study. Spine 2009;34(9):890-895. 4. Rhee JM, Shamji MF, Erwin WM, et al. Nonoperative management of cervical myelopathy: a systematic review. Spine 2013;38(22 suppl 1):S55-S67. 5. Riew KD, Sethi NS, Devney J, et al. Complications of buttress plate stabilization of cervical corpectomy. Spine 1999;24:2404-2410. 6. Tsuyama N. Ossification of the posterior longitudinal ligament of the spine. Clin Orthop Relat Res 1984;184:71-84. 7. Vaccaro AR, Falatyn SP, Scuderi GJ, et al. Early failure of long segment anterior cervical plate fixation. J Spinal Disord 1998;11:410-415. 8. Whitecloud TS, LaRocca H. Fibular strut graft in reconstructive surgery of the cervical spine. Spine 1976;1:33-43. 9. Yamaura I, Kurosa Y, Matuoka T, et al. Anterior floating method for cervical myelopathy caused by ossification of the posterior longitudinal ligament. Clin Orthop Relat Res 1999;359:27-34. [View Source / PubMed]
- 10. Yonenobu K, Hosono N, Iwasaki M, et al. Laminoplasty versus subtotal corpectomy: a comparative study of results in multisegmental cervical spondylotic myelopathy. Spine 1992;17:1281-1284. [View Source / PubMed]
You Might Also Like